Бутылочный кариес — распространенная проблема у детей, возникающая из-за неправильного питания и ухода за зубами. В статье рассмотрим причины, симптомы, методы лечения и профилактику этого заболевания. Знание этих аспектов поможет родителям вовремя реагировать на первые признаки кариеса и заботиться о здоровье зубов детей.
Причины болезни
Кислоты и токсины, выделяемые патогенными микроорганизмами, приводят к активному разрушению эмали и твердых тканей зуба. Бактерии продолжают оставаться в ротовой полости после употребления углеводной и молочной пищи.
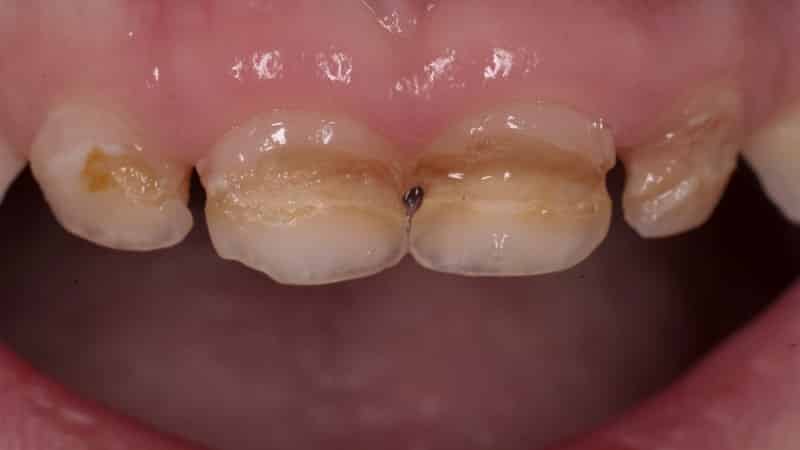
Рассмотрим ключевые факторы, способствующие развитию бутылочного кариеса у детей (см. фото ниже).
- Ночное кормление. Лактоза, являющаяся молочным сахаром, представляет собой простой углевод, который идеально подходит для размножения микробов. Она поступает в организм ребенка как из грудного молока, так и из специализированных смесей, независимо от способа кормления (грудью или из бутылочки).
-
Слабый иммунитет и качество слюны.
В норме защитные механизмы малыша способны противостоять микробам в ротовой полости. Однако у детей, не следящих за гигиеной полости рта и имеющих привычку есть сладости (особенно на ночь), кариес может не развиваться, что указывает на хорошие антибактериальные свойства слюны.
Уменьшение этих свойств может происходить из-за различных заболеваний (вирусных, грибковых, бактериальных, респираторных), кишечных инфекций, диабета и прочих факторов.
- Неправильное питание ребенка. Когда малыш подрастает, родители начинают предлагать ему сладкие каши, магазинные соки и напитки, а также хлебобулочные и кондитерские изделия. Углеводы и сахар, содержащиеся в этих продуктах, оседают на зубах и деснах, способствуя росту патогенной микрофлоры. Кроме того, отсутствие в рационе твердой пищи, которая удаляет микробные отложения и зубной камень, негативно сказывается на состоянии зубов. Твердые овощи и фрукты, орехи и другие продукты во время жевания эффективно очищают зубы от налета. Еще одной причиной повреждения зубов может быть нехватка фтора, кальция и фосфора в организме. Эти микроэлементы можно получить из молочных и кисломолочных продуктов, рыбы и субпродуктов.
- Недостаток фтора. Этот микроэлемент играет важную роль в обеспечении прочности и устойчивости эмали, а также в ее способности противостоять разрушительному воздействию органических кислот и токсинов. Большую часть фтора мы получаем не из пищи, а из питьевой воды. При недостатке этого элемента в воде (что зависит от региона, марки покупной воды и других факторов) эмаль становится тоньше и слабее, что в большинстве случаев приводит к развитию детского кариеса.
- Наследственность. Это понятие включает не только генетическую предрасположенность к раннему кариесу, но и недостаточное внимание родителей к состоянию зубов ребенка, а также нежелание очищать их перед сном.
Врачи подчеркивают важность раннего выявления и лечения бутылочного кариеса, который часто встречается у детей. Основной причиной этого заболевания является частое употребление сладких напитков и неправильная гигиена полости рта. Специалисты рекомендуют родителям следить за рационом детей, ограничивая количество сахара и обеспечивая регулярное чистку зубов. В случае обнаружения кариеса, необходимо обратиться к стоматологу, который проведет профессиональную чистку и, при необходимости, установит пломбы. Также врачи советуют проводить профилактические осмотры каждые шесть месяцев, чтобы предотвратить развитие более серьезных проблем с зубами. Важно помнить, что здоровье зубов в детстве закладывает основу для их состояния во взрослом возрасте.
https://youtube.com/watch?v=9_vniTYUcoc
Симптомы заболевания
Лечение бутылочного кариеса зависит от стадии заболевания и проявляющихся симптомов.
На начальной стадии, как и у взрослых, можно заметить меловые матовые пятна на зубах. Обычно такие изменения возникают в области шейки и корней зубов, где минерализация эмали недостаточна.
Со временем матовая поверхность становится неровной и шероховатой на ощупь. Эмаль постепенно повреждается, образуется кариозная полость, которая темнеет. Патологические процессы начинают распространяться по всему периметру зуба.
Средняя стадия заболевания охватывает соседние зубы, чаще всего верхние резцы и клыки. Это связано с инстинктом сосания у малыша: язык закрывает зубы нижней челюсти, защищая их от контакта с пищей и бактериями. В то же время верхние зубы активно участвуют в процессе, на них скапливается микробный налет, остатки пищи и органические кислоты.
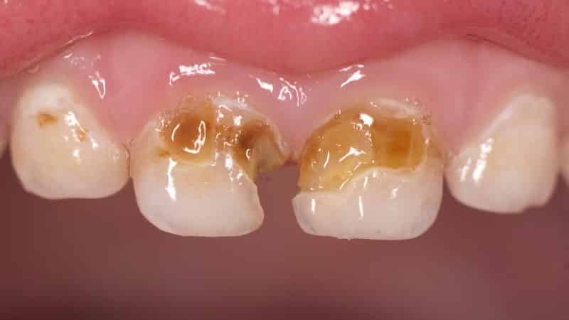
На пораженных зубах могут появляться желтоватые, коричневые и даже черные пятна. Ребенок может жаловаться на боль в зубах после употребления горячей или холодной пищи, а также сладких и кислых блюд. В остальное время родители замечают капризность и беспокойство малыша, его стремление тянуть в рот различные предметы (игрушки, столовые приборы, а также свои руки), а также трогать зубы и рот.
Глубокий кариес (поздняя стадия) характеризуется значительным разрушением не только эмали, но и дентина. Мягкая ткань темнеет под воздействием пищевых красителей, пигментов, токсинов и органических кислот, поэтому по степени окрашивания дентина можно судить о глубине поражения.
Последствия бутылочного кариеса могут быть серьезными, так как инфекция может затрагивать не только молочные зубы, которые со временем выпадут, но и скрытые зачатки коренных зубов. В такой ситуации возможна преждевременная потеря первых коренных зубов.
Также серьезным последствием может стать развитие периодонтита, пародонтоза и пульпита даже на молочных зубах, что приведет к длительному лечению и сильной боли для ребенка.
| Стадия кариеса | Симптомы | Рекомендуемое лечение |
|---|---|---|
| Начальная (стадия пятна) | Белые или желтоватые пятна на эмали, без боли. | Реминерализирующая терапия (фторирование, кальцийсодержащие гели), коррекция гигиены и питания. |
| Поверхностный | Шероховатость эмали, чувствительность к сладкому, холодному. | Пломбирование, реминерализация, обучение правильной гигиене. |
| Средний | Появление полости, боль при приеме пищи, чувствительность к температурным раздражителям. | Удаление пораженных тканей, пломбирование. |
| Глубокий | Большая полость, сильная боль, особенно ночью, возможно воспаление пульпы. | Удаление пораженных тканей, пломбирование, в некоторых случаях – депульпирование (удаление нерва). |
| Осложненный (пульпит, периодонтит) | Острая, пульсирующая боль, отек десны, повышение температуры. | Эндодонтическое лечение (лечение корневых каналов), в тяжелых случаях – удаление зуба. |
Методы лечения заболевания
Каждому родителю важно понимать, что лечение молочных зубов является необходимостью, а не делом, которое можно отложить до их естественной потери. Это связано с тем, что инфекции, а также грибковые и вирусные заболевания имеют тенденцию распространяться, затрагивая не только отдельные участки, но и проникая в более глубокие слои твердых и мягких тканей.
Несвоевременное вмешательство при кариесе может привести к утрате первых зубов, изменению прикуса и смещению моляров, а также к речевым нарушениям.
Кроме того, зубы, которые потемнели и начали гнить, выглядят крайне непривлекательно и могут стать причиной насмешек со стороны сверстников, что может привести к формированию комплексов у ребенка.
На начальных стадиях заболевания, когда зубы имеют белое матовое пятно, стоматолог может предложить восстановление эмали с помощью реминерализации. Родители могут самостоятельно проводить эту процедуру, используя профессиональные средства, такие как R.O.C.S. Medical Minerals или GC Tooth Mousse.
Также восстановление эмали может осуществить и стоматолог с помощью инфильтрантов. Процесс сглаживания пористости поверхности занимает 1-2 часа, так как это довольно сложная и кропотливая процедура, требующая использования резиновой завесы, и рекомендуется проводить ее под местной анестезией.
В дополнение к минерализации часто назначают глубокое фторирование при бутылочном кариесе. Эта процедура не только восстанавливает поврежденный зуб, но и обеспечивает ему длительную защиту от микробов и кислот.
Среди устаревших, но все еще эффективных методов лечения и профилактики кариеса можно выделить серебрение кариозных зубов. Эта безболезненная и надежная процедура позволяет защитить зубы на срок до одного года. Для этого на эмаль наносят слой сплава из металлического серебра и его солей, которые обладают бактерицидными свойствами и защищают зуб от инфекций. Однако у этого метода есть недостатки: необходимость обновления слоя каждые 3-6 месяцев и неэстетичный вид зубов, которые могут окраситься в коричневый или черный цвет.
При срединном кариесе проводится стандартное лечение — высверливание кариозной полости и ее заполнение композитной пломбой.
Глубокий кариес также лечится с использованием бормашины и местной анестезии. Стоматолог удаляет некротические ткани эмали и дентина, проводит санацию полости и закладывает мощное бактерицидное средство. Затем в полость помещается специальная пломба для молочных зубов, изготовленная на основе стеклоиономерных цементов или материалов, затвердевающих под светом.
Стеклоиономеры выделяют фтор, что способствует восстановлению зуба даже после установки пломбы. Кроме того, срок службы таких материалов совпадает с жизненным циклом молочных зубов, что позволяет забыть о кариесе на весь этот период.
https://youtube.com/watch?v=kejIyNJTJd4
Профилактика болезни
Мы обсудили, как справляться с бутылочным кариесом, если он уже появился.
Имейте в виду, что гораздо легче и безопаснее придерживаться профилактических мер, чем потом лечить последствия и проявления заболевания.
-
Приучайте ребенка к гигиене ротовой полости с раннего возраста, даже если у него всего один зубик. Для младенцев до года можно аккуратно протирать зачатки молочных зубов и десны с помощью бинта или марлевого тампона, смоченного в зеленом чае, зубном ополаскивателе или отваре трав. Для детей постарше подойдут щетки с мягкой щетиной, которые надеваются на палец родителя, а также специальные бактерицидные влажные салфетки с фтором.
С двухлетнего возраста начинайте учить ребенка самостоятельно чистить зубы детской щеткой, а чуть позже и использовать фруктовую пасту.
-
Регулярно наносите на зубную эмаль противокариозные и фторирующие гели, чтобы предотвратить разрушение верхних слоев и проникновение бактерий.
-
Следите за режимом питания. Постарайтесь отучить малыша от ночного кормления. Также не рекомендуется кормить ребенка после вечерней гигиены полости рта.
-
Скорректируйте рацион вашего ребенка. Уберите из его меню частое употребление сладостей, мучных изделий, газированных напитков, сахара и леденцов. Приучите малыша к полезным и вкусным блюдам из рыбы, фруктов и овощей. Чаще покупайте йогурты и другие молочные продукты.
-
Отучайте ребенка брать в рот столовые приборы с остатками пищи и продолжать сосать соску после кормления. Как можно раньше избавьте малыша от пустышки.
Следуя этим простым рекомендациям, вы сможете избежать длительного и порой болезненного лечения вашего ребенка, а также сохранить его детские воспоминания счастливыми. Не забывайте регулярно посещать стоматолога, даже если нет явных симптомов. Порой специалист может выявить проблемы на ранней стадии, что поможет сократить время лечения и снизить стресс для ребенка.
https://youtube.com/watch?v=9_vniTYUcoc
Влияние бутылочного кариеса на общее здоровье ребенка
Бутылочный кариес, также известный как кариес, связанный с употреблением молока или сладких напитков из бутылочек, может оказать значительное влияние на общее здоровье ребенка. Это заболевание зубов возникает, когда бактерии, находящиеся в ротовой полости, взаимодействуют с сахаром, содержащимся в жидкости, и образуют кислоту, которая разрушает зубную эмаль. Если не принять меры, бутылочный кариес может привести к серьезным последствиям не только для зубов, но и для общего состояния здоровья ребенка.
Во-первых, бутылочный кариес может вызвать болевые ощущения и дискомфорт, что затрудняет ребенку прием пищи и питья. Это может привести к недостаточному потреблению питательных веществ, необходимых для нормального роста и развития. Дети, страдающие от болей в зубах, могут отказываться от твердой пищи, что может привести к дефициту витаминов и минералов, необходимых для их здоровья.
Во-вторых, наличие кариеса может повлиять на речь ребенка. Зубы играют важную роль в формировании звуков и произношении. Если зубы повреждены или отсутствуют, это может затруднить правильное произношение слов, что в свою очередь может повлиять на развитие речевых навыков.
Кроме того, бутылочный кариес может привести к инфекциям. Разрушенные зубы могут стать источником инфекции, которая может распространиться на другие части тела. Воспалительные процессы в ротовой полости могут вызвать проблемы с деснами и даже привести к системным заболеваниям, таким как инфекционный эндокардит или пневмония.
Также стоит отметить, что бутылочный кариес может негативно сказаться на психоэмоциональном состоянии ребенка. Дети с проблемами зубов могут испытывать стыд или неуверенность в себе, что может повлиять на их социальные взаимодействия и общее качество жизни.
В заключение, бутылочный кариес — это не просто стоматологическая проблема, а серьезное заболевание, которое может оказать влияние на общее здоровье ребенка. Поэтому важно своевременно выявлять и лечить кариес, а также проводить профилактические меры, чтобы избежать его появления в будущем.
Рекомендации по выбору детских напитков
Выбор напитков для детей играет ключевую роль в профилактике бутылочного кариеса. Бутылочный кариес, также известный как ранний детский кариес, возникает из-за частого контакта зубов с сахаросодержащими жидкостями, особенно если ребенок часто пьет из бутылочки или соски. Поэтому важно обращать внимание на состав и тип напитков, которые вы предлагаете своему ребенку.
Во-первых, следует избегать сладких напитков, таких как газированные напитки, фруктовые соки с добавлением сахара и сладкие чаи. Эти напитки содержат высокие уровни сахара, которые способствуют размножению бактерий в ротовой полости и образованию кислоты, разрушающей зубную эмаль. Вместо этого рекомендуется предлагать ребенку чистую воду или разбавленные натуральные соки, которые содержат меньше сахара.
Во-вторых, если вы выбираете молочные продукты, такие как молоко или йогурт, убедитесь, что они не содержат добавленного сахара. Молоко является хорошим источником кальция и витамина D, которые необходимы для здоровья зубов, но сладкие молочные напитки могут способствовать развитию кариеса.
Также стоит обратить внимание на то, как и когда ребенок употребляет напитки. Лучше всего предлагать питье в течение еды, а не между приемами пищи. Это помогает снизить время, в течение которого зубы подвергаются воздействию сахара. Если ребенок пьет из бутылочки, старайтесь ограничить время, когда он держит ее во рту, особенно во время сна, так как это может привести к длительному контакту зубов с сахаром.
Важно также приучать ребенка к гигиене полости рта с раннего возраста. После употребления сладких напитков рекомендуется промыть рот водой или почистить зубы, чтобы удалить остатки сахара и предотвратить развитие кариеса. Регулярные визиты к стоматологу помогут контролировать состояние зубов и выявлять проблемы на ранних стадиях.
В заключение, выбор правильных напитков и соблюдение гигиенических норм являются важными факторами в профилактике бутылочного кариеса. Обратите внимание на состав напитков, ограничьте потребление сахара и приучайте ребенка к здоровым привычкам, чтобы сохранить его зубы здоровыми на долгие годы.
Роль стоматолога в профилактике и лечении бутылочного кариеса
Стоматолог играет ключевую роль в профилактике и лечении бутылочного кариеса, который чаще всего встречается у детей, использующих бутылочки с напитками, содержащими сахар. Профилактика начинается с регулярных визитов к стоматологу, который может оценить состояние зубов ребенка и выявить ранние признаки кариеса. Специалист обучает родителей правильной гигиене полости рта, включая чистку зубов и использование зубной нити, а также рекомендует ограничить потребление сладких напитков.
Во время профилактических осмотров стоматолог может провести профессиональную чистку зубов, что помогает удалить налет и предотвратить развитие кариеса. Также он может рекомендовать фторсодержащие препараты или лак для укрепления эмали зубов. Важно, чтобы родители понимали, что бутылочный кариес может развиваться даже при использовании сосок, поэтому стоматолог может предложить альтернативные варианты для кормления, которые минимизируют риск.
Если кариес уже развился, стоматолог проведет диагностику и предложит соответствующее лечение. В зависимости от степени поражения зуба, это может включать фторирование, пломбирование или, в более серьезных случаях, удаление зуба. Стоматолог также может предложить рекомендации по изменению рациона питания и улучшению гигиенических привычек, чтобы предотвратить повторное возникновение кариеса.
Кроме того, стоматолог может работать в сотрудничестве с педиатрами и другими специалистами, чтобы обеспечить комплексный подход к лечению и профилактике бутылочного кариеса. Важно, чтобы родители активно участвовали в процессе, следуя рекомендациям стоматолога и обеспечивая регулярные осмотры для своего ребенка.



