Скол на зубе — распространенная проблема, возникающая из-за механических повреждений или естественного износа эмали. В статье рассмотрим, что делать при отколе эмали, методы лечения, причины возникновения сколов и возможные осложнения. Понимание этих аспектов поможет вовремя обратиться к стоматологу и избежать дальнейших проблем с зубами.
Чем обусловлена проблема
Существует множество факторов, которые могут негативно сказаться на здоровье зубов.
Даже незначительные проблемы со здоровьем способны оказать вредное воздействие на эмаль, что может привести к ее отколу и разрушению зуба.
Наиболее распространенные причины:
- недостаток витаминов и минералов в организме, что может быть связано с беременностью или возрастными изменениями;
- истончение эмали. Употребление сладкой и кислой пищи может снизить защитные свойства зубов;
- развитие кариеса, поражающего эмаль и ткани зуба;
- нарушения прикуса;
- гормональные сбои;
- ослабленный иммунитет;
- вредные привычки;
- некачественное пломбирование корневых каналов и использование устаревших пломб;
- механические повреждения;
- употребление жесткой пищи.
Существует множество причин, способствующих возникновению подобных проблем, но если они уже произошли, важно незамедлительно предпринять правильные шаги. Это поможет хотя бы частично сохранить целостность зуба.
Врачи-стоматологи подчеркивают, что скол на зубе — это не только эстетическая проблема, но и потенциальная угроза для здоровья. При обнаружении скола важно не откладывать визит к специалисту. Врач проведет осмотр и оценит степень повреждения. Если скол небольшой и не затрагивает нерв, возможно, достаточно будет провести реставрацию с использованием композитных материалов. В случае более серьезных повреждений может потребоваться установка коронки или даже лечение корневых каналов. Специалисты также рекомендуют избегать жесткой пищи и соблюдать гигиену полости рта, чтобы предотвратить дальнейшие проблемы. Регулярные профилактические осмотры помогут выявить и устранить проблемы на ранних стадиях.
https://youtube.com/watch?v=Sv9Xa7TcQ-0
Разновидности сколов
Существуют различные виды повреждений зубов:
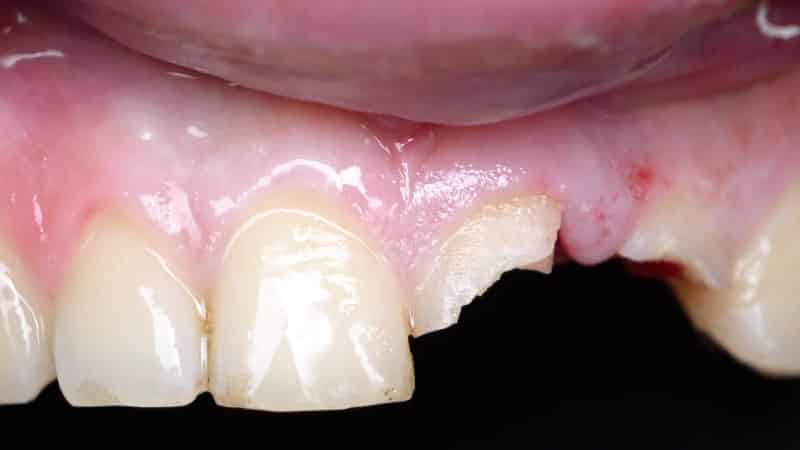
- Скол эмали зуба имеет самый благоприятный прогноз. Пациент обычно замечает отколовшуюся часть, но это не вызывает у него дискомфорта или боли. Из-за этого многие не спешат обращаться к стоматологу, считая проблему несущественной. Однако такая ситуация создает значительную нагрузку на зуб, и в дальнейшем может привести к развитию патогенной флоры. В результате зуб будет постепенно разрушаться. Особенно это негативно сказывается на внешнем виде улыбки, если повреждение находится на передней части челюсти;
- Если откололся дентин, это также может протекать безболезненно, но представляет собой серьезную угрозу. Ткани начинают разрушаться, и при механическом воздействии возникают трещины, которые усугубляют состояние дентина;
> Если не обратиться за медицинской помощью вовремя, можно потерять зуб. - Наиболее опасным является скол с повреждением нервов. Это происходит, когда зуб раскалывается на две части. В таком случае человек испытывает сильную боль. Обязательно нужно посетить стоматологическую клинику, чтобы избежать инфицирования и получить необходимое лечение.
| Тип скола | Что делать | Возможные последствия без лечения |
|---|---|---|
| Небольшой скол эмали (поверхностный, без боли) | Обратиться к стоматологу для оценки. Возможно, потребуется шлифовка или реминерализация. | Повышенная чувствительность, дальнейшее разрушение эмали, кариес. |
| Средний скол (затронута эмаль и дентин, может быть чувствительность) | Немедленно обратиться к стоматологу. Возможно, потребуется пломбирование или установка винира. | Сильная боль, пульпит (воспаление нерва), разрушение зуба, потеря зуба. |
| Глубокий скол (затронута пульпа, сильная боль, кровотечение) | Срочно обратиться к стоматологу. Потребуется эндодонтическое лечение (удаление нерва) и последующее восстановление зуба (коронка). | Острая боль, инфекция, абсцесс, потеря зуба, распространение инфекции на другие ткани. |
| Скол на переднем зубе (эстетический дефект) | Обратиться к стоматологу для восстановления эстетики. Возможны пломбирование, виниры, коронки. | Психологический дискомфорт, проблемы с дикцией, дальнейшее разрушение зуба. |
| Скол на жевательном зубе (нарушение функции) | Обратиться к стоматологу для восстановления функции. Возможны пломбирование, вкладки, коронки. | Нарушение прикуса, проблемы с пищеварением, перегрузка других зубов, дальнейшее разрушение зуба. |
| Скол с острыми краями | Обратиться к стоматологу для сглаживания острых краев. | Повреждение языка, щек, десен, дискомфорт при еде и разговоре. |
Скол зуба: лечение
Если вы столкнулись с подобной проблемой, не стоит расстраиваться. Лишние переживания не принесут пользы, поэтому лучше позаботьтесь о своих нервах. Оцените степень повреждения и разработайте план действий. В случае небольших сколов рекомендуется незамедлительно обратиться к стоматологу и записаться на консультацию.
Если же повреждение серьезное, и вы испытываете сильную боль, ждать не имеет смысла. В таком случае лучше сразу обратиться в стоматологию на экстренный прием к дежурному врачу. Чтобы облегчить боль и снизить чувствительность, можно приложить компресс с новокаином.
В любом случае, постарайтесь сохранить отколотую часть зуба, чтобы специалист мог лучше понять суть проблемы.
Если по каким-то причинам вы не можете посетить врача, внимательно следите за гигиеной полости рта и обязательно полощите рот соленым раствором.
https://youtube.com/watch?v=gRIgvcGu1uo
Скол зуба: что делать
Даже если возникшая проблема кажется вам несущественной и вы не из тех, кто впадает в панику из-за мелочей, все же стоит обратиться к врачу. Зубы не восстанавливаются, как ногти, и вам потребуется квалифицированная помощь для решения возникшей ситуации.
Многие испытывают страх перед стоматологами, но лучше устранить небольшую трещину на раннем этапе, чем позже столкнуться с потерей всего зуба. Специалист проведет тщательную оценку вашего состояния и предложит оптимальный план лечения. В зависимости от характера повреждения и типа скола, подход к терапии может варьироваться.
Как быть если обломился передний зуб
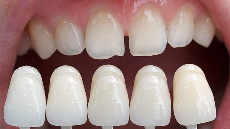
Для людей, которые активно общаются и выступают на публике, такая ситуация может стать настоящей катастрофой. В зависимости от степени повреждения, стоматолог подберет оптимальную стратегию лечения. В большинстве случаев врач способен сохранить поврежденный зуб, применяя специальные художественные материалы. Он подбирает нужный оттенок реставрационной пасты и наносит ее слоями, используя световое излучение для закрепления результата.
Окружающие не заметят, что у вас было наращивание. Этот метод считается одним из самых эффективных и экономичных. В настоящее время он широко применяется в стоматологических клиниках. Пломбы отличаются высокой прочностью и привлекательным внешним видом.
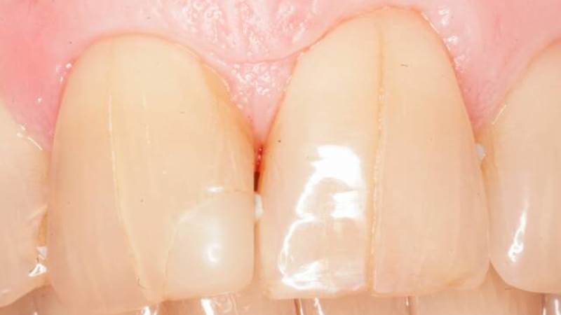
Более затратным вариантом решения проблемы является использование виниров. Обычно к этой методике прибегают в случаях значительного повреждения, когда наращивание уже невозможно.
Керамический материал наносится от основания зуба и точно повторяет его форму. Эти изделия отличаются высокой прочностью и стойкостью к износу, со временем не теряя своего цвета и внешнего вида.
Если произошел облом больших фрагментов, необходимо устанавливать специальные коронки. В зависимости от предпочтений пациента, могут использоваться различные материалы: керамика, металлокерамика или оксид циркония.
Коронки фиксируются на крайних зубах или с помощью штифтов. В сложных случаях стоматологи прибегают к последнему варианту.
Если вы своевременно обратитесь к специалисту, вам потребуется лишь небольшая стоматологическая процедура.
Терапия боковых зубов
В процессе восстановления боковых или задних зубов применяются аналогичные методы, однако не всегда они оправданы. Поскольку эти зубы не видны, достаточно просто запломбировать канал.
С помощью светоотвердевающей пломбы стоматолог сможет восстановить утраченные части зуба, что позволит продлить срок его службы. Виниры редко используются для восстановления боковых зубов, и даже если остается небольшая часть зуба или корня, можно прибегнуть к наращиванию с использованием композитных материалов.
Важно уделить особое внимание поврежденным нервам. В первую очередь терапия направлена на дезинфекцию. Если нерв поврежден, восстановление пройдет достаточно быстро. Зуб будет служить вам надежно даже в «мертвом» состоянии.
Вертикальные повреждения
Это явление, безусловно, одно из самых неприятных, с которыми можно столкнуться. Поражение пульпы делает невозможным решение проблемы с помощью пломбирования. Один из обломков может быть подвижным. Такая ситуация приносит множество неудобств, не говоря уже о серьезных повреждениях. Каждый день на ткани оказывается давление, и они постепенно, но верно разрушаются. В конечном итоге возникает трещина, которая вызывает не только дискомфорт, но и сильную боль.
Микротрещины можно эффективно устранить с помощью восстановления эмали. Укрепление поверхности зуба помогает продлить его срок службы. Если этот метод не даст результатов, стоматолог предложит использовать другие материалы для укрепления эмали.
Игнорирование лечения в конечном итоге приведет к тому, что восстановление станет невозможным. В результате вы рискуете потерять зуб, и вам придется прибегнуть к установке протеза. Аналогичное лечение потребуется и в случае, если зуб расколется на две части.
Поражение молочных зубов
Некоторые взрослые ошибочно полагают, что молочные зубы не подлежат лечению. Однако игнорирование проблем с ними может привести к тому, что и коренные зубы начнут болеть. Особенно это касается случаев, когда зубы скалываются.
Правильный уход за полостью рта с раннего возраста – залог здоровья. Если произошел обломок зуба, важно выяснить причину повреждения. Чаще всего это связано с травмами. Ребенку необходимо провести дезинфекцию ротовой полости и обратиться к стоматологу. Специалист применит гель и предложит эффективное лечение. В большинстве случаев достаточно простого пломбирования каналов, что поможет укрепить зуб до его естественного выпадения.
Важно защищать детей от травм, так как это может привести к развитию заболеваний, таких как стоматит. Кроме того, даже высокая чувствительность зубов может негативно сказаться на настроении вашего ребенка и его общем самочувствии.
Вероятные осложнения
Повреждение зуба — это всегда неприятная ситуация для любого человека. Не стоит игнорировать такие случаи, так как в будущем это может привести к различным осложнениям:
- инфицирование пульпы — это крайне нежелательное последствие. Зараженная ткань не только вызывает сильные боли, но и может полностью разрушиться;
- образование кист и гранулем;
- изменение угла наклона корня. Это может привести к смещению зубного ряда и ухудшению прикуса, что в свою очередь потребует протезирования;
- повышенная чувствительность зуба — это наименее серьезное расстройство. Пациент может испытывать дискомфорт от температуры пищи и испытывать неприятные ощущения при использовании привычных средств гигиены.
Хотя сколы зубов могут показаться незначительной проблемой, они требуют внимательного отношения. Лучше обратить внимание на небольшие изменения, чем столкнуться с ситуацией, когда единственным выходом станет протезирование или имплантация.
https://youtube.com/watch?v=2S8imhit6yk
Профилактика сколов зубов
Профилактика сколов зубов является важной частью ухода за полостью рта и общим здоровьем. Сколы могут возникать по различным причинам, включая травмы, неправильное питание и недостаточную гигиену. Чтобы минимизировать риск их появления, следует придерживаться нескольких простых, но эффективных рекомендаций.
1. Регулярная гигиена полости рта. Ежедневная чистка зубов дважды в день с использованием зубной пасты, содержащей фтор, помогает предотвратить не только кариес, но и повреждения эмали. Не забывайте также о чистке языка и использовании зубной нити для удаления остатков пищи между зубами.
2. Правильное питание. Употребление продуктов, богатых кальцием и фосфором, таких как молочные продукты, рыба и орехи, способствует укреплению зубной эмали. Избегайте чрезмерного потребления сладостей и кислых напитков, которые могут разрушать эмаль и увеличивать риск сколов.
3. Защита зубов при занятиях спортом. Если вы занимаетесь контактными видами спорта, обязательно используйте защитные капы. Они помогут предотвратить травмы зубов и снизят риск возникновения сколов.
4. Регулярные визиты к стоматологу. Профилактические осмотры у стоматолога не только помогут выявить проблемы на ранних стадиях, но и позволят получить рекомендации по уходу за зубами. Стоматолог может предложить профессиональную чистку и фторирование, что также способствует укреплению эмали.
5. Избегайте вредных привычек. Курение и жевание твердых предметов (например, ручек или льда) могут привести к повреждению зубов. Постарайтесь отказаться от таких привычек, чтобы сохранить здоровье зубов.
6. Использование фторсодержащих средств. Применение ополаскивателей для рта и гелей с фтором может дополнительно укрепить зубную эмаль и снизить риск образования сколов. Обсудите с вашим стоматологом, какие средства подойдут именно вам.
Следуя этим рекомендациям, вы сможете значительно снизить риск возникновения сколов на зубах и сохранить их здоровье на долгие годы. Помните, что профилактика всегда проще и дешевле, чем лечение!
Когда обращаться к стоматологу
Скол на зубе — это не только эстетическая проблема, но и потенциальная угроза для здоровья зубов. Важно понимать, когда необходимо обратиться к стоматологу для получения квалифицированной помощи. Существует несколько ситуаций, при которых визит к специалисту становится неотложным.
Во-первых, если скол сопровождается болевыми ощущениями, это может свидетельствовать о повреждении нервных окончаний или о развитии воспалительного процесса. Боль может быть как острой, так и ноющей, и в любом случае требует внимания стоматолога.
Во-вторых, если скол затрагивает значительную часть зуба или его эмали, это может привести к дальнейшему разрушению зуба. В таких случаях важно как можно скорее обратиться к врачу, чтобы предотвратить развитие кариеса или других заболеваний.
Третьим признаком, при котором стоит записаться на прием, является наличие чувствительности зуба к горячему или холодному. Если вы замечаете, что зуб реагирует на температурные изменения, это может указывать на то, что скол нарушил защитный слой эмали и зуб стал более уязвимым.
Также стоит обратить внимание на визуальные изменения. Если вы заметили, что скол увеличивается или зуб начинает менять цвет, это может быть признаком более серьезной проблемы. В таких случаях необходимо провести диагностику, чтобы определить степень повреждения.
Не стоит забывать и о профилактических осмотрах. Даже если скол не вызывает дискомфорта, регулярные визиты к стоматологу помогут выявить проблему на ранней стадии и предотвратить ее развитие.
В заключение, если вы столкнулись со сколом на зубе, не откладывайте визит к стоматологу. Чем раньше вы получите профессиональную помощь, тем меньше вероятность возникновения серьезных осложнений и тем легче будет восстановить здоровье ваших зубов.
Домашние средства для временного облегчения
Если у вас произошел скол на зубе, и вы не можете сразу обратиться к стоматологу, существуют несколько домашних средств, которые могут помочь временно облегчить дискомфорт и защитить поврежденный зуб до визита к специалисту.
Во-первых, важно помнить, что любые домашние средства являются лишь временной мерой и не заменяют профессионального лечения. Однако они могут помочь снизить болевые ощущения и предотвратить дальнейшее повреждение зуба.
1. Полоскания солевым раствором: Один из самых простых и доступных способов облегчить боль — это полоскание рта теплым солевым раствором. Для этого растворите половину чайной ложки соли в стакане теплой воды. Полощите рот несколько раз в день, чтобы уменьшить воспаление и очистить область вокруг поврежденного зуба.
2. Ледяные компрессы: Если у вас есть отек или боль в области поврежденного зуба, прикладывание ледяного компресса может помочь. Оберните лед в ткань и приложите к щеке на 15-20 минут. Это поможет уменьшить отек и облегчить боль.
3. Использование гвоздичного масла: Гвоздичное масло обладает анальгезирующими и антисептическими свойствами. Нанесите небольшое количество масла на ватный диск и аккуратно приложите к поврежденному зубу. Это может помочь временно уменьшить боль и предотвратить инфекцию.
4. Избегание определенных продуктов: Чтобы минимизировать дискомфорт, старайтесь избегать жесткой, горячей или холодной пищи, а также сладостей, которые могут усугубить боль. Лучше всего придерживаться мягкой и нейтральной пищи, чтобы не раздражать поврежденный зуб.
5. Обезболивающие препараты: Если боль становится невыносимой, можно принять безрецептурные обезболивающие препараты, такие как ибупрофен или парацетамол. Однако обязательно следуйте инструкциям на упаковке и не превышайте рекомендуемую дозу.
Помните, что эти средства являются временными мерами. Как только у вас появится возможность, обязательно обратитесь к стоматологу для профессионального осмотра и лечения. Скол на зубе может привести к более серьезным проблемам, если его не лечить вовремя.





