Зубные протезы восстанавливают утраченные зубы и поддерживают здоровье полости рта, но их изготовление требует специальных знаний и навыков. В статье рассмотрим процесс создания протезов, используемые материалы и технологии, а также советы по ремонту протезов в домашних условиях. Эта информация будет полезна как тем, кто планирует установить протезы, так и тем, кто уже сталкивался с необходимостью их ремонта, предоставляя практические рекомендации и наглядные материалы.
Этапы изготовления зубных протезов
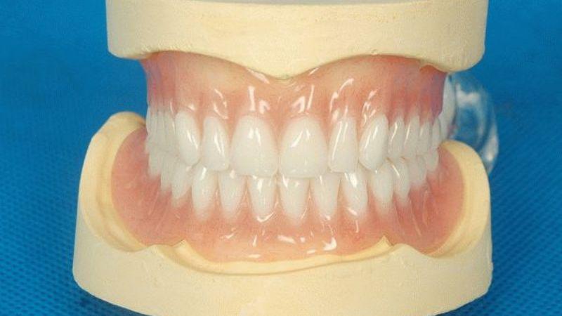
Из каких материалов изготавливаются зубные протезы и как проходит этот процесс? Создание протезов осуществляется квалифицированными зубными техниками. Этот процесс имеет свои особенности, так как многое зависит от индивидуальных характеристик пациента и анатомии его ротовой полости.
Не существует универсального понятия «стандартный протез». Каждая искусственная модель разрабатывается с учетом физиологических и анатомических особенностей конкретного человека.
В протезировании выделяют несколько ключевых этапов:
- планирование;
- снятие слепков;
- первая примерка;
- укрепление рабочей модели;
- вторая примерка;
- моделирование восковой конструкции;
- отделка специальными материалами;
- сдача готового изделия.
Процесс изготовления протеза требует внимательности и времени. Сначала пациент должен обратиться к специалисту. На первой консультации врач оценивает состояние ротовой полости. Он также учитывает эстетические параметры и лицевые особенности. Форма и цвет имплантата подбираются в соответствии с оттенком зубов и общей улыбкой пациента.
Снятие оттисков является важным этапом в создании протеза. Врач анализирует состояние зубочелюстной системы и выбирает подходящую конструкцию.
Снятие слепка выполняется с помощью специальной слепочной массы. Какие материалы используются для съемных зубных протезов на этом этапе? Чаще всего применяется слепочная глина. На рабочих моделях используется исключительно восковой базис.
Определить правильное взаиморасположение челюстей помогают специальные валики. После первой примерки производится подгонка конструкции. Если все элементы совпадают, используется восковой базис.
После второй примерки выполняется еще одна подгонка, затем имплантат формируется из специального материала. Полимеризация происходит с использованием акриловой пластмассы. Далее протез подвергается шлифовке и полировке.
Готовая конструкция снова примеряется пациентом, и при необходимости она может быть возвращена на доработку. После завершения всех этапов протез устанавливается.
Врачи-стоматологи единодушны в том, что изготовление зубных протезов в домашних условиях — это крайне рискованное занятие. Процесс требует не только специальных знаний, но и профессионального оборудования, которое невозможно заменить подручными средствами. Врачам известны случаи, когда попытки самостоятельно создать протезы приводили к серьезным осложнениям, таким как инфекции, неправильное прикусывание и даже повреждение соседних зубов.
Кроме того, профессиональные протезы изготавливаются с учетом индивидуальных особенностей пациента, что невозможно учесть без должного опыта и технологий. Стоматологи настоятельно рекомендуют обращаться к специалистам, которые могут предложить качественные и безопасные решения. В конечном итоге, здоровье зубов и десен — это вопрос, который не стоит ставить под угрозу ради экономии времени или денег.
https://youtube.com/watch?v=Mlt9spVYVgo
Какие материалы используются в работе
Из каких материалов изготавливаются зубные протезы и насколько это важно? Современные технологии позволяют создавать разнообразные имплантаты, которые учитывают анатомические особенности каждого человека.
Наиболее популярные конструкции производятся из следующих материалов:
- металл;
- металлокерамика;
- керамика;
- пластик;
- металлопластик.
Металлические мосты используются довольно редко. Они были в моде несколько десятилетий назад, но их популярность снизилась из-за быстрого развития технологий и неудобства с точки зрения эстетики.
Металлические имплантаты отличаются высокой прочностью, но могут вызывать множество неудобств у своих владельцев.
На смену устаревшим моделям пришли металлокерамические протезы. Они обладают прочностью, сопоставимой с металлическими имплантатами, но значительно превосходят их по эстетическим характеристикам.
Специальная облицовка создает эффект натурального зуба, что делает его подмену практически невозможной. Керамические конструкции являются наиболее выгодным вариантом. Они не имеют металлического каркаса и полностью изготовлены из высококачественной керамики, что делает их непревзойденными по эстетике.
Наиболее доступным вариантом являются стандартные пластмассовые мосты. Это бюджетное решение, которое ценится в основном с точки зрения внешнего вида.
Пластмасса накладывает определенные ограничения на употребление некоторых продуктов питания. Она может легко сломаться под воздействием твердой и тяжелой пищи. Пластмассовые мосты обычно используются только как временные имплантаты.
Более прочными и надежными являются протезы из металлопластмассы. По своим характеристикам и сроку службы они не уступают металлокерамическим и керамическим имплантатам.
Выбор типа протеза осуществляется с учетом индивидуальных особенностей пациента. Если потеря зубов произошла из-за опухолей в ротовой полости, в течение трех лет пациент может использовать только пластмассовый протез.
По истечении этого срока можно применять керамические или металлокерамические конструкции. В остальных случаях выбор зависит от финансовых возможностей пациента и рекомендаций стоматолога.
| Аспект | Профессиональное изготовление зубных протезов | Изготовление зубных протезов в домашних условиях |
|---|---|---|
| Материалы | Высококачественные медицинские акрилы, нейлон, металлы (кобальт-хром, титан), керамика, цирконий. | Дешевые, немедицинские материалы: пластик, смолы, клей, подручные средства. |
| Оборудование | Специализированное стоматологическое оборудование: 3D-сканеры, CAD/CAM-системы, вакуумные формовщики, печи для обжига, зуботехнические лаборатории. | Простые инструменты: ножницы, пилки, клей, нагревательные приборы (фен, зажигалка). |
| Процесс | 1. Диагностика и планирование: Осмотр, рентген, слепки челюстей. 2. Изготовление модели: Точные гипсовые модели. 3. Моделирование и фрезеровка/литье: Создание каркаса/базиса протеза. 4. Нанесение искусственных зубов: Подбор цвета, формы, размера. 5. Финишная обработка: Полировка, подгонка. 6. Примерка и коррекция: Несколько визитов для идеальной посадки. | 1. Поиск инструкций: Часто сомнительные источники в интернете. 2. Покупка «наборов для самостоятельного изготовления»: Обычно низкого качества, не сертифицированы. 3. Попытка создания слепка: Неточные, искаженные слепки. 4. Формовка/лепка: Грубое, неточное создание формы протеза. 5. Приклеивание зубов: Ненадежное крепление, риск отпадания. 6. Подгонка: Отсутствие возможности точной подгонки, дискомфорт. |
| Безопасность | Строгое соблюдение санитарных норм, использование биосовместимых материалов, стерильность инструментов. Минимальный риск инфекций и аллергических реакций. | Высокий риск: 1. Инфекции: Нестерильные материалы и инструменты. 2. Аллергические реакции: Использование немедицинских материалов. 3. Травмы: Повреждение десен, слизистой оболочки, зубов. 4. Проглатывание: Отвалившихся частей протеза. 5. Токсичность: Выделение вредных веществ из некачественных материалов. |
| Эффективность | Восстановление жевательной функции, эстетики, дикции. Долговечность, комфорт, надежная фиксация. | 1. Отсутствие функциональности: Невозможность нормально жевать, говорить. 2. Эстетический дефект: Неестественный вид, неправильный прикус. 3. Дискомфорт и боль: Натирание, давление на десны. 4. Кратковременность: Быстрый износ, поломка. 5. Ухудшение состояния полости рта: Развитие кариеса, заболеваний десен. |
| Стоимость | Значительные инвестиции, но оправданные качеством, долговечностью и безопасностью. | Низкая начальная стоимость, но потенциально высокие затраты на лечение осложнений и последующее профессиональное протезирование. |
| Юридический аспект | Изготовление и установка зубных протезов осуществляется лицензированными специалистами в соответствии с медицинскими стандартами. | Самостоятельное изготовление и использование медицинских изделий без соответствующей квалификации и лицензии может быть незаконным и опасным. |
| Результат | Функциональный, эстетичный, долговечный протез, улучшающий качество жизни. | Потенциально опасный, нефункциональный, неэстетичный «протез», наносящий вред здоровью и требующий дорогостоящего лечения. |
Что делать если нужен протез
Где можно быстро и недорого сделать зубные протезы, и что для этого нужно? Создание имплантата, который будет соответствовать всем анатомическим и физиологическим особенностям ротовой полости пациента, является задачей для квалифицированного специалиста.
Этим вопросом должен заниматься только опытный профессионал. Доверять изготовление зубного моста следует только стоматологической клинике. Обратиться можно в любое медицинское учреждение, расположенное рядом с домом.
Если нет желания посещать государственную клинику, хорошей альтернативой станет частная стоматология. Каждый человек сам решает, куда обратиться.
Стоимость имплантата зависит от выбранного материала. Разнообразие мостов позволяет подобрать оптимальный вариант, соответствующий финансовым возможностям каждого пациента.
Наиболее доступным вариантом протеза является пластмассовый, а самым дорогим – металлокерамический. Ценовая категория имплантата полностью определяется его характеристиками. Для установки простого пластмассового моста потребуется небольшая сумма.
Экономия на качестве материала может негативно сказаться на здоровье человека. Пластмасса легко ломается и не выдерживает нагрузки от твердой пищи.
Более прочными и дорогими являются керамика и металлокерамика. Протезы из этих материалов обладают высокими эксплуатационными характеристиками. Их основное преимущество перед пластмассой – это длительный срок службы.
Некоторые конструкции могут носиться на протяжении всей жизни. При этом нет особых ограничений в питании. Пластмассовые протезы – это временное решение, их необходимо заменять каждые 2-3 года. Какой материал выбрать, решает сам пациент, учитывая не только финансовые аспекты, но и качество.
Можно ли самостоятельно изготовить зубные протезы в домашних условиях? Это зависит от того, что именно имеется в виду. Если протез сломался, его можно попытаться отремонтировать самостоятельно.
Однако создать новый протез без специальных навыков невозможно. Этот процесс требует терпения, усидчивости и определенных умений.
https://youtube.com/watch?v=czuw-jDWgz4
Самостоятельный ремонт протеза
В жизни случаются разные обстоятельства, включая непредвиденные ситуации. Неприятные события могут негативно сказаться на настроении и иногда значительно изменить заранее запланированные дела.
Одной из распространенных проблем современного человека является повреждение протеза. Это неприятное событие требует немедленного вмешательства. Как же поступить в такой ситуации?
Проблему можно попытаться решить самостоятельно, но в первую очередь нужно определить причину поломки. Существует множество материалов о том, как изготовить зубные протезы в домашних условиях — видео и фотографии это подтверждают, однако такие действия могут быть очень рискованными и настоятельно не рекомендуются.
Многие протезы изготавливаются из высококачественных и прочных материалов, но даже это не гарантирует их защиту от повреждений. Наиболее частыми причинами возникновения непредвиденных ситуаций являются:
- истечение срока службы моста;
- недостаточная гибкость материала;
- употребление жесткой пищи;
- появление потертостей.
Специалисты выделяют еще одну категорию специфических причин. Указанные факторы связаны с невнимательностью пользователя и несоблюдением основных рекомендаций по ношению моста. Вторая категория причин включает в себя ошибки, допущенные врачами.
Согласно имеющимся данным, повреждение имплантата может произойти из-за остатков слюны при снятии слепка, неправильного формирования протеза или несоответствия конструкции деснам.
Ошибки при изготовлении моста могут привести к его быстрому повреждению.
Исправить ситуацию можно только после определения истинной причины поломки. Если повреждена пластиковая коронка, решить проблему можно лишь с помощью нового имплантата. Ремонт конструкции в данном случае невозможен. Быстро устранить непредвиденную ситуацию можно только при расцементировании коронки, когда она просто снимается с зуба.
Не рекомендуется пытаться установить искусственную конструкцию самостоятельно. Рассасывание пломбировочного материала создает идеальные условия для смещения зуба. Поэтому лечение кариозных участков и повторная установка протеза должны быть доверены опытному специалисту.
Самостоятельно изготовить или отремонтировать протез невозможно. Этот процесс требует тщательной подготовки и использования качественных материалов.
Работа выполняется опытными специалистами с применением современных технологий. Все, что может сделать пациент, — это обратиться в медицинское учреждение.
https://youtube.com/watch?v=GrX1jlBFeJs
Преимущества и недостатки зубных протезов
Преимущества зубных протезов
Зубные протезы представляют собой важное решение для восстановления утраченных зубов и имеют множество преимуществ. Во-первых, они значительно улучшают эстетику улыбки, что положительно сказывается на самооценке пациента. Протезы помогают восстановить нормальную функцию жевания, что позволяет человеку полноценно питаться и наслаждаться пищей.
Кроме того, зубные протезы способствуют поддержанию правильной артикуляции, что важно для ясной речи. Они также предотвращают смещение соседних зубов и помогают сохранить здоровье десен, так как отсутствие зубов может привести к различным стоматологическим проблемам.
Современные технологии позволяют создавать протезы, которые максимально приближены к естественным зубам по цвету и форме, что делает их практически незаметными. Также существуют различные типы протезов, включая съемные и несъемные, что позволяет выбрать наиболее подходящий вариант в зависимости от индивидуальных потребностей пациента.
Недостатки зубных протезов
Несмотря на множество преимуществ, зубные протезы имеют и свои недостатки. Во-первых, они могут вызывать дискомфорт, особенно в первые дни после установки. Некоторые пациенты отмечают, что протезы могут натирать десны или вызывать чувство инородного тела во рту.
Кроме того, зубные протезы требуют регулярного ухода и замены, так как со временем они могут изнашиваться или терять свою функциональность. Съемные протезы необходимо снимать на ночь и чистить, что может быть неудобно для некоторых людей.
Также стоит отметить, что не все пациенты могут быть кандидатами на установку зубных протезов. В некоторых случаях, например, при наличии серьезных заболеваний десен или недостатке костной ткани, может потребоваться предварительное лечение или даже хирургическое вмешательство.
Наконец, стоимость зубных протезов может быть значительной, особенно если речь идет о высококачественных материалах и индивидуальном подходе. Это может стать преградой для некоторых пациентов, желающих восстановить свою улыбку.
Советы по уходу за зубными протезами
Уход за зубными протезами является важной частью поддержания их функциональности и долговечности. Правильный уход не только продлевает срок службы протезов, но и способствует сохранению здоровья полости рта. Ниже представлены основные рекомендации по уходу за зубными протезами.
1. Регулярная чистка
Протезы необходимо чистить ежедневно, чтобы избежать накопления налета и бактерий. Используйте мягкую зубную щетку и специальную пасту для протезов или мыло. Избегайте использования обычной зубной пасты, так как она может повредить поверхность протезов.
2. Замачивание в растворе
Раз в неделю рекомендуется замачивать протезы в специальном растворе для дезинфекции. Это поможет удалить бактерии и предотвратить неприятный запах. Следуйте инструкциям на упаковке дезинфицирующего средства, чтобы избежать повреждения материала протезов.
3. Правильное хранение
Когда протезы не используются, их следует хранить в чистом, сухом контейнере. Если вы не планируете носить протезы в течение длительного времени, рекомендуется держать их в воде или специальном растворе, чтобы избежать их высыхания и деформации.
4. Избегание жесткой пищи
При ношении зубных протезов старайтесь избегать жесткой и липкой пищи, которая может повредить протезы или вызвать дискомфорт. Лучше всего выбирать мягкие продукты, которые легко пережевываются.
5. Регулярные визиты к стоматологу
Не забывайте о регулярных осмотрах у стоматолога. Специалист сможет оценить состояние ваших протезов, провести их профессиональную чистку и при необходимости внести коррективы. Это поможет избежать серьезных проблем и обеспечит комфортное ношение протезов.
6. Обращение внимания на изменения
Если вы заметили изменения в ощущениях при ношении протезов, такие как дискомфорт, боль или изменение в их посадке, обязательно обратитесь к стоматологу. Эти симптомы могут указывать на необходимость коррекции или замены протезов.
Соблюдение этих простых рекомендаций поможет вам поддерживать зубные протезы в хорошем состоянии и обеспечит комфортное использование на протяжении долгого времени.
Альтернативы зубным протезам
Существует несколько альтернатив зубным протезам, которые могут быть рассмотрены в зависимости от индивидуальных потребностей пациента и состояния его зубочелюстной системы. Эти альтернативы могут варьироваться от временных решений до более постоянных и инвазивных методов восстановления зубов.
1. Импланты: Зубные импланты представляют собой один из самых современных и эффективных способов замещения утраченных зубов. Они включают в себя хирургическую установку титанового стержня в челюстную кость, на который затем крепится коронка. Импланты обеспечивают высокую степень стабильности и функциональности, а также позволяют избежать повреждения соседних зубов.
2. Мосты: Зубные мосты используются для замещения одного или нескольких отсутствующих зубов. Они крепятся на соседние здоровые зубы с помощью коронок и могут быть выполнены из различных материалов, таких как металл, керамика или композитные материалы. Мосты обеспечивают хорошую эстетику и функциональность, но требуют обточки соседних зубов.
3. Временные протезы: Временные или съемные протезы могут быть использованы как временное решение до установки постоянных протезов или имплантов. Они могут быть изготовлены из акрила или других легких материалов и обеспечивают возможность жевания и эстетики на период ожидания более постоянного решения.
4. Ортодонтические устройства: В некоторых случаях, если зубы смещены или неправильно расположены, может быть целесообразно использовать ортодонтические устройства, такие как брекеты или капы. Эти устройства помогают исправить прикус и выровнять зубы, что может снизить необходимость в протезировании в будущем.
5. Профессиональные средства для домашнего использования: Существуют также различные наборы для восстановления зубов, которые можно использовать в домашних условиях. Эти наборы обычно включают в себя специальные материалы для создания временных коронок или пломб. Однако важно отметить, что такие решения не могут заменить профессиональную стоматологическую помощь и могут быть лишь временной мерой.
Каждая из этих альтернатив имеет свои преимущества и недостатки, и выбор подходящего метода зависит от состояния зубов пациента, его финансовых возможностей и предпочтений. Перед принятием решения о восстановлении зубов всегда рекомендуется проконсультироваться с квалифицированным стоматологом, который сможет предложить наилучший вариант в зависимости от индивидуальных обстоятельств.



