Открытый прикус — распространенная ортодонтическая проблема, затрагивающая детей и взрослых. Он проявляется недостаточным смыканием зубов при закрытом рте и может вызывать эстетические неудобства и функциональные нарушения, влияя на речь, жевание и здоровье полости рта. В статье рассмотрим причины открытого прикуса и эффективные методы его лечения, что поможет родителям и пациентам выбрать оптимальный путь к исправлению.
Причины
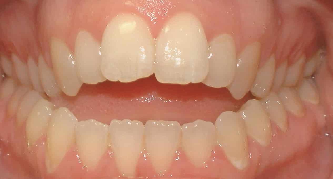
У детей младше трех лет одной из наиболее распространенных причин формирования открытого прикуса является рахит. Некоторые стоматологические клиники даже выделяют так называемый рахитический открытый прикус. К факторам, способствующим развитию этой патологии, можно отнести недостаток времени, проведенного на свежем воздухе, нехватку витамина Д3 в рационе, а также частые простудные заболевания. На приведенном ниже фото можно наглядно увидеть, как выглядит передний открытый прикус.
Кроме того, к возникновению ортодонтической проблемы могут привести следующие факторы:
- соматические заболевания, перенесенные в раннем детстве;
- обменные расстройства, такие как сахарный диабет;
- заболевания, вызывающие нарушения носового дыхания;
- сон с запрокинутой головой;
- врожденные аномалии расположения зубных зачатков;
- травмы верхней или нижней челюсти;
- вредные привычки, такие как кусание ногтей или твердых предметов (карандаша или ручки);
- врожденная расщелина верхнего неба;
- патологии у матери во время беременности;
- генетическая предрасположенность.
Врачи отмечают, что исправление открытого прикуса является важной задачей как для детей, так и для взрослых. Открытый прикус может привести к различным проблемам, включая затруднения в жевании, нарушение речи и эстетические дефекты. Специалисты подчеркивают, что ранняя диагностика и лечение открытого прикуса у детей значительно повышают шансы на успешное исправление. Варианты лечения могут включать ортодонтические аппараты, такие как брекеты, а также хирургические вмешательства в более сложных случаях. Врачи рекомендуют регулярные посещения стоматолога для мониторинга состояния зубочелюстной системы и своевременного выявления проблем. Важно помнить, что индивидуальный подход к каждому пациенту и комплексное лечение способствуют достижению наилучших результатов.
https://youtube.com/watch?v=GmXNInqFkjc
Симптомы патологии
При наличии данного заболевания формируется характерный внешний вид: подбородок располагается ниже угла нижней челюсти, верхняя губа становится уже и немного натянутой, губы не смыкаются плотно и могут оставаться слегка приоткрытыми. Однако у некоторых пациентов наблюдается, наоборот, плотное смыкание губ, так как они пытаются скрыть стоматологический дефект. Кроме того, нижняя часть лица выглядит несколько более выраженной по сравнению с верхней частью лицевого скелета.
У людей с открытым прикусом может наблюдаться увеличение языка (макроглоссия), на кончике которого могут появляться мелкие кровоизлияния. Также характерны аномалии в расположении зубов, изменения формы зубных коронок, плотно и неправильно расположенные зубы нижнего ряда, а также частое развитие кариеса на фронтальных зубах.
При наличии этой патологии у пациента возникают трудности при откусывании и пережевывании пищи, что может привести к нарушениям пищеварения. Дети с этой проблемой часто имеют нечеткую речь из-за нарушенной артикуляции. У них возникают сложности с произношением некоторых твердых и шипящих звуков (в, м, б, ф, ш, с).
Из-за постоянно приоткрытого рта у ребенка может возникать пересыхание слизистой оболочки верхних дыхательных путей. Это приводит к частым простудным заболеваниям и нарушает оксигенацию крови.
Степень патологии зависит от размеров образующейся щели между верхними и нижними зубными рядами:
- 1 степень — до пяти миллиметров
- 2 степень — от пяти до девяти миллиметров
- 3 степень — более девяти миллиметров
| Аспект | Дети | Взрослые |
|---|---|---|
| Причины | Генетика, вредные привычки (сосание пальца, длительное использование соски), нарушение носового дыхания, аденоиды. | Нелеченный открытый прикус в детстве, травмы, заболевания височно-нижнечелюстного сустава, неправильное протезирование. |
| Диагностика | Визуальный осмотр, рентген (ОПТГ, ТРГ), функциональные пробы. | Визуальный осмотр, рентген (ОПТГ, ТРГ, КТ), функциональные пробы, анализ окклюзии. |
| Методы лечения | Аппаратные: съемные пластинки с заслонками для языка, несъемные аппараты (брекеты, аппараты для расширения челюсти). Миофункциональная терапия: упражнения для нормализации функции языка и губ. Удаление вредных привычек. | Ортодонтическое: брекет-системы (лингвальные, вестибулярные), элайнеры. Ортогнатическая хирургия: при выраженных скелетных аномалиях. Комплексное лечение: ортодонтия + хирургия. |
| Длительность лечения | От 1 года до 3 лет (зависит от сложности и возраста). | От 1,5 до 3 лет (ортодонтическое), плюс реабилитация после операции. |
| Прогноз | Благоприятный при своевременном начале лечения и соблюдении рекомендаций. | Зависит от степени аномалии, выбранного метода лечения и сотрудничества пациента. |
| Особенности | Активное формирование челюстно-лицевой системы, высокая адаптивность тканей. | Ограниченная возможность роста челюстей, необходимость более радикальных методов при выраженных аномалиях. |
| Возможные осложнения | Рецидив прикуса при несоблюдении ретенционного периода. | Рецидив прикуса, проблемы с ВНЧС, эстетические неудовлетворенности. |
Лечение
Что делать, если у ребенка в возрасте 2-3 лет диагностирован открытый прикус? В первую очередь, лечение должно сосредоточиться на устранении причин, приведших к возникновению этой ортодонтической проблемы. Исправление открытого прикуса у детей включает в себя следующие шаги:
- Лечение соматических заболеваний и рахита, при необходимости назначение витамина D3.
- Избавление от вредных привычек, таких как кусание предметов или языка.
- Обеспечение ребенку возможности жевать твердую пищу.
- Лечение стоматологических проблем с молочными зубами.
- Восстановление носового дыхания и лечение ЛОР-заболеваний.
- Применение специальной миогимнастики для укрепления круговой мышцы рта.
Для детей старшего возраста коррекция открытого прикуса осуществляется с использованием специализированных ортодонтических методов. Наиболее часто применяются расширяющие пластинки, фиксируемые в области верхней челюсти, которые могут сочетаться с окклюзионными накладками на боковые зубы, или же пластинки, фиксируемые в обеих челюстях с окклюзионными накладками и рестракционной дугой. В дальнейшем рекомендуется использование брекет-систем для формирования правильного прикуса.
Методы коррекции открытого прикуса у взрослых можно увидеть на фотографиях:
Выбор подходящей методики аппаратного лечения определяется ортодонтом и зависит от степени выраженности симптомов, наличия сопутствующих стоматологических заболеваний и возраста пациента.
На следующем изображении можно увидеть открытый прикус до и после лечения:
После устранения симптомов прикуса важно соблюдать профилактические меры: санация полости рта, своевременное лечение ЛОР-заболеваний, избавление от вредных привычек, профилактика рахита и правильное положение во время сна.
https://youtube.com/watch?v=xz3ed4PfxtA
https://youtube.com/watch?v=TCQKv_4X3K4
Профилактика открытого прикуса
Профилактика открытого прикуса является важным аспектом стоматологического здоровья как у детей, так и у взрослых. Открытый прикус может возникнуть по ряду причин, включая генетическую предрасположенность, неправильные привычки (например, сосание пальца или использование пустышки), а также недостаточное внимание к ортодонтическому лечению в детском возрасте. Поэтому профилактические меры должны быть направлены на устранение этих факторов.
Одним из ключевых моментов в профилактике открытого прикуса является раннее выявление и коррекция неправильных привычек. Родителям следует внимательно следить за поведением своих детей, особенно в возрасте до 5 лет, когда формируются основные привычки. Если ребенок сосет палец или использует пустышку дольше, чем это необходимо, важно обратиться к специалисту для получения рекомендаций по устранению этих привычек.
Кроме того, регулярные посещения стоматолога и ортодонта помогут выявить потенциальные проблемы на ранних стадиях. Специалисты могут провести осмотр и предложить индивидуальные рекомендации по уходу за зубами и челюстями, а также назначить профилактические процедуры, если это необходимо. Важно, чтобы дети посещали стоматолога не реже двух раз в год, начиная с раннего возраста.
Также стоит обратить внимание на правильное питание. Употребление жесткой пищи способствует развитию правильного прикуса, так как требует активной работы челюстей. Включение в рацион свежих овощей и фруктов, а также отказ от слишком мягкой пищи могут помочь в формировании правильного прикуса.
Физическая активность и занятия спортом также играют важную роль в профилактике открытого прикуса. Они способствуют общему развитию организма, включая мышцы челюсти. Упражнения, направленные на укрепление мышц лица и шеи, могут помочь в поддержании правильного положения челюстей.
Наконец, важно учитывать влияние стресса на здоровье зубов и челюстей. У детей и взрослых стресс может приводить к бруксизму (скрежетанию зубами), что, в свою очередь, может способствовать развитию открытого прикуса. Техники релаксации, такие как йога или медитация, могут помочь снизить уровень стресса и предотвратить его негативные последствия.
Таким образом, профилактика открытого прикуса требует комплексного подхода, включающего внимание к привычкам, регулярные визиты к специалистам, правильное питание и физическую активность. Забота о здоровье зубов и челюстей с раннего возраста поможет избежать серьезных проблем в будущем и обеспечит красивую улыбку на всю жизнь.
Методы диагностики
Диагностика открытого прикуса является важным этапом в процессе его исправления, так как правильное определение причины и степени выраженности аномалии позволяет выбрать наиболее эффективный метод лечения. Существует несколько методов диагностики, которые могут быть использованы как для детей, так и для взрослых.
1. Клинический осмотр
Первым шагом в диагностике открытого прикуса является клинический осмотр, который проводит ортодонт. Специалист оценивает положение зубов, их взаимное расположение, а также состояние челюстей. Важно обратить внимание на наличие других аномалий прикуса, таких как скученность зубов или неправильное положение челюстей. Ортодонт также может провести функциональные тесты, чтобы оценить работу жевательных мышц и артикуляцию.
2. Рентгенография
Рентгенографические исследования, такие как ортопантомограмма (ОПТГ) и телерентгенография, играют ключевую роль в диагностике открытого прикуса. ОПТГ позволяет получить общее представление о состоянии зубочелюстной системы, а телерентгенография помогает оценить соотношение челюстей и положение зубов в трехмерном пространстве. Эти изображения помогают выявить аномалии в развитии челюстей и зубов, а также определить степень открытого прикуса.
3. Моделирование зубных рядов
Создание моделей зубных рядов с использованием оттисков позволяет ортодонту более детально изучить анатомию зубочелюстной системы пациента. Модели могут быть изготовлены как из гипса, так и с использованием современных технологий 3D-печати. Это дает возможность визуализировать проблему и планировать дальнейшие шаги по исправлению прикуса.
4. Функциональные исследования
Функциональные исследования, такие как анализ артикуляции и жевательной функции, помогают определить, как открытый прикус влияет на повседневную жизнь пациента. Оценка речевых функций также может быть важной, особенно у детей, так как открытый прикус может влиять на правильное произношение звуков.
5. Опрос и сбор анамнеза
Сбор анамнеза и опрос пациента о наличии вредных привычек (например, сосание пальца или использование пустышки) также являются важными аспектами диагностики. Эти привычки могут способствовать развитию открытого прикуса и должны быть учтены при выборе метода лечения.
Таким образом, диагностика открытого прикуса включает в себя комплексный подход, который сочетает клинический осмотр, рентгенографические исследования, моделирование зубных рядов, функциональные исследования и сбор анамнеза. Это позволяет ортодонту точно определить причины аномалии и разработать индивидуальный план лечения для каждого пациента.
Психологические аспекты и влияние на качество жизни
Открытый прикус — это стоматологическая аномалия, при которой верхние и нижние зубы не смыкаются должным образом, что приводит к образованию зазора между ними. Эта проблема может оказывать значительное влияние не только на физическое здоровье, но и на психологическое состояние пациента, как детей, так и взрослых.
Психологические аспекты открытого прикуса могут проявляться в различных формах. У детей, страдающих от этой аномалии, часто наблюдаются проблемы с самооценкой. Неправильный прикус может вызывать насмешки со стороны сверстников, что может привести к социальной изоляции и снижению уверенности в себе. Дети могут избегать общения, стесняться улыбаться или говорить, что в свою очередь может негативно сказаться на их учебе и развитии социальных навыков.
У взрослых открытый прикус также может стать источником психологического дискомфорта. Взрослые пациенты могут испытывать стыд и неуверенность в себе, что может повлиять на их профессиональную жизнь и личные отношения. Неправильный прикус может затруднять произношение некоторых звуков, что может привести к трудностям в общении и снижению качества жизни. Кроме того, постоянный дискомфорт при жевании может вызывать раздражительность и стресс.
Исследования показывают, что наличие открытого прикуса может негативно сказываться на общем психоэмоциональном состоянии пациента. Люди с этой аномалией чаще подвержены депрессии и тревожным расстройствам. Они могут испытывать постоянное беспокойство о своем внешнем виде и здоровье, что приводит к снижению качества жизни и ухудшению общего самочувствия.
Важно отметить, что исправление открытого прикуса может значительно улучшить не только физическое состояние пациента, но и его психологическое здоровье. После успешного лечения многие пациенты отмечают улучшение самооценки, повышение уверенности в себе и улучшение социальных взаимодействий. Устранение проблемы открытого прикуса позволяет людям свободно улыбаться и общаться, что положительно сказывается на их эмоциональном состоянии и общем качестве жизни.
Таким образом, открытый прикус — это не только стоматологическая проблема, но и серьезный психологический вызов. Важно учитывать все аспекты этой аномалии и подходить к лечению комплексно, чтобы обеспечить пациентам не только физическое, но и психологическое благополучие.

