Эрозия эмали зубов — распространенное стоматологическое заболевание, способное вызвать серьезные проблемы с полостью рта. В статье рассмотрим основные причины эрозии и методы лечения на разных стадиях. Вы также узнаете о профилактических мерах для сохранения здоровья зубов и получите рекомендации специалистов, что будет полезно для заботящихся о своем стоматологическом здоровье.
Что такое эрозия эмали
Эрозия эмали — это процесс, при котором происходит разрушение поверхности зубов. Существует распространенное мнение, что данное заболевание может развиваться исключительно на фоне кариеса. Однако это утверждение является серьезной ошибкой.
Эрозия зубной эмали — это отдельное стоматологическое заболевание, обладающее своей специфической симптоматикой и требующее соответствующего лечения.
Важно отметить, что это заболевание может быть связано и с другими патологическими состояниями в организме. Поэтому настоятельно рекомендуется при первых признаках обратиться за консультацией к стоматологу.
Своевременное лечение обычно дает хорошие прогнозы. В то же время запущенные случаи могут привести к необратимым последствиям в полости рта.
Врачи-стоматологи подчеркивают, что эрозия зубной эмали является серьезной проблемой, требующей внимания. По их мнению, основными факторами, способствующими развитию этого заболевания, являются неправильное питание, частое употребление кислых продуктов и напитков, а также недостаточная гигиена полости рта. Специалисты отмечают, что эрозия может привести к повышенной чувствительности зубов, кариесу и другим осложнениям. Врачи рекомендуют регулярно посещать стоматолога для профилактических осмотров и профессиональной чистки зубов. Кроме того, они советуют использовать зубные пасты с фтором и избегать агрессивных кислотных продуктов. Своевременное обращение к специалисту и соблюдение рекомендаций помогут сохранить здоровье зубов и предотвратить дальнейшее разрушение эмали.
https://youtube.com/watch?v=nA0NruJKyy8
Причины возникновения недуга
Эрозия зубов, как и другие стоматологические проблемы, возникает по различным причинам. Эксперты выделяют несколько основных факторов, способствующих развитию эрозии эмали:
- Кислоты, содержащиеся в некоторых продуктах, негативно влияют на состояние зубной эмали. Люди, часто употребляющие маринованные овощи, находятся в группе риска по развитию стоматологических заболеваний. Врачи не рекомендуют полностью отказываться от таких продуктов, но советуют ограничить их потребление.
- Газированные напитки способствуют деминерализации зубной поверхности. Это приводит к повреждению эмали и образованию микротрещин, что увеличивает риск стоматологических заболеваний. Рекомендуется сократить потребление минеральной воды. Наилучшим вариантом для утоления жажды остается простая фильтрованная или кипяченая вода.
- Избыточное количество витамина С в организме также может способствовать развитию эрозии эмали. Витамины, безусловно, полезны, но их уровень должен быть сбалансированным. В медицине не существует правила «чем больше, тем лучше». Все полезные вещества следует употреблять в разумных пределах.
- Механическое воздействие является одной из частых причин эрозии эмали. Повреждение зубной поверхности может произойти из-за использования слишком жесткой зубной щетки или чрезмерного усилия при чистке зубов. Понимание важности чистоты зубов вполне естественно, но для достижения этой цели необходимо правильно выбирать зубную щетку.
- Применение зубного порошка для чистки зубов может привести к образованию царапин на эмали. Хотя отбеливание зубов имеет значение, не стоит злоупотреблять порошками для чистки.
- Заболевания внутренних органов также могут быть причиной стоматологических проблем. В данном случае эрозия зубов является следствием, а не первопричиной. Лечение должно быть комплексным.
Эрозия эмали — это патологический процесс, который может быстро прогрессировать и привести к серьезным последствиям. Поэтому при первых признаках рекомендуется обратиться к стоматологу. Самолечение может причинить больше вреда, чем пользы, особенно если диагноз не подтвержден специалистом.
| Причина эрозии эмали | Механизм воздействия | Профилактические меры |
|---|---|---|
| Кислотные продукты и напитки (цитрусовые, газировка, уксус) | Кислоты растворяют минералы эмали, делая ее мягкой и уязвимой. | Ограничить потребление, использовать соломинку, полоскать рот водой после еды/питья, чистить зубы не ранее чем через 30 минут. |
| Гастроэзофагеальная рефлюксная болезнь (ГЭРБ) | Желудочная кислота попадает в ротовую полость, вызывая эрозию. | Лечение основного заболевания, избегание поздних приемов пищи, сон с приподнятой головой. |
| Булимия и частая рвота | Регулярное воздействие желудочной кислоты на зубы. | Лечение булимии, полоскание рта водой или фторидным ополаскивателем после рвоты (не чистить зубы сразу). |
| Некоторые лекарства (например, аспирин, витамин С в жевательных формах) | Кислотный состав некоторых препаратов может повреждать эмаль. | Принимать лекарства по назначению, запивать большим количеством воды, проконсультироваться с врачом о возможных альтернативах. |
| Сухость во рту (ксеростомия) | Недостаток слюны, которая нейтрализует кислоты и реминерализует эмаль. | Пить больше воды, использовать заменители слюны, стимулировать слюноотделение (жевательная резинка без сахара). |
| Чрезмерное или неправильное использование зубной щетки | Агрессивная чистка может механически стирать ослабленную эмаль. | Использовать мягкую зубную щетку, чистить зубы круговыми движениями, не давить сильно. |
| Бруксизм (скрежетание зубами) | Механическое истирание эмали из-за чрезмерного давления. | Использование ночной капы, лечение стресса, консультация стоматолога. |
| Профессиональные факторы (работа с кислотами) | Воздействие кислотных паров или брызг на зубы. | Использование средств индивидуальной защиты (маски, респираторы), регулярные осмотры у стоматолога. |
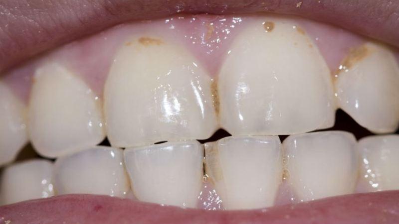
Первая стадия заболевания
Первая стадия заболевания является началом патологического процесса. На этом этапе пациент начинает ощущать дискомфорт в ротовой полости, однако определить, какая именно область вызывает ноющую боль, бывает непросто.
Чаще всего неприятные ощущения возникают при контакте с холодными или горячими продуктами и напитками. Боль появляется так же быстро, как и исчезает. Эрозия на начальной стадии может быстро распространяться по всей поверхности рта.
Особенно выраженный дискомфорт человек испытывает во время чистки зубов, когда зубная щетка раздражает десны и поврежденную эмаль.
При первых признаках заболевания настоятельно рекомендуется обратиться к врачу. Лечение на ранней стадии дает хорошие результаты в короткие сроки.
https://youtube.com/watch?v=dVrdn4AzKeE
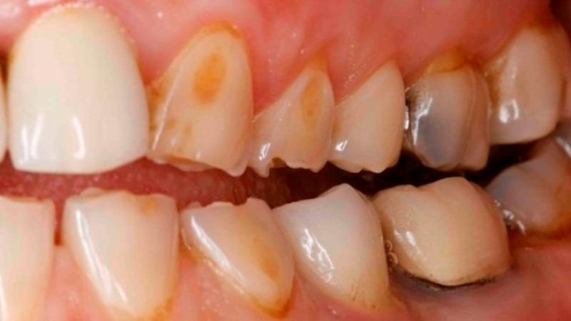
Вторая стадия заболевания
Вторая стадия заболевания характеризуется более серьезной формой эрозии. На этом этапе болезнь начинает развиваться без явных признаков и значительно медленнее. Это делает её особенно опасной, так как разрушение эмали продолжается, и человек может даже не подозревать об этом.
С течением времени на зубах появляются темные пятна, которые становятся заметными и могут вызывать дискомфорт при общении с другими людьми. Также бывают случаи, когда вторая стадия периодически проявляет симптомы, характерные для первой.
Чтобы условно определить наличие эрозии эмали на стадии стабилизации, важно внимательно следить за состоянием своей ротовой полости и регулярно посещать стоматолога для профилактических осмотров.
Специалист проводит осмотр всей полости рта и, при обнаружении патологий, незамедлительно назначает лечение.
Лечение всегда разрабатывается индивидуально, основываясь на стадии заболевания, выявленного у пациента.
Лечение эрозии эмали в домашних условиях
Эрозия зубной эмали, лечение которой обычно требует комплексного подхода со стороны стоматолога, в некоторых случаях может быть начато и в домашних условиях. Это возможно только на ранних этапах развития проблемы.
На начальных стадиях процесса эрозии лечение может заключаться в строгом соблюдении гигиенических рекомендаций, к которым относятся:
- Использование зубной щетки со средней жесткостью щетины, что помогает избежать повреждений эмали. Слишком мягкие щетки могут не обеспечить должной очистки ротовой полости.
- Рекомендуется полоскать рот антисептическими растворами после чистки зубов. Для курильщиков это особенно важно и желательно делать чаще.
- Рекомендуется применять зубные пасты, содержащие фтор, так как они способствуют укреплению эмали. Если заболевание уже проявилось, зубы следует чистить чаще, чем дважды в день. Это временная мера, и после полного выздоровления частоту чистки следует нормализовать.
Лечение в домашних условиях должно проводиться только с одобрения врача после установления диагноза. На более запущенных стадиях заболевания такой подход не будет эффективным и не даст заметных результатов.
Лечение эрозии эмали стоматологом
Лечение лучше всего проводить в стоматологическом кабинете. Терапия подбирается индивидуально, в зависимости от стадии заболевания и особенностей организма пациента. Существует несколько наиболее распространенных методов, которые стоматологи применяют для лечения эрозии:
-
Наиболее часто рекомендуемым способом предотвращения эрозии зубов является фторирование. Эта процедура заключается в обогащении зубной эмали фтором – важным микроэлементом.
Процесс начинается с тщательной очистки полости рта стоматологом. При необходимости выполняется бережное отбеливание зубов. Затем врач делает слепок зубов пациента, на который наносится фторсодержащая паста. Слепок помещается на зубы, что позволяет эмали впитать фтор.
Результат заметен сразу: на поверхности эмали образуется защитная пленка, которая защищает от внешних раздражителей. -
В некоторых случаях, когда патологический процесс привел к разрушению зубов, требуется пломбирование. Это необходимо для восстановления эстетического вида зуба и сохранения его функциональности.
- Доктора также могут назначать анализы для определения уровня витаминов в организме пациента. Если выявляется авитаминоз, назначается курс витаминов, которые можно приобрести в аптеке.
- Лечение продолжается и в домашних условиях, его продолжительность и интенсивность определяются индивидуально для каждого пациента. Прекращать лечение можно только с разрешения лечащего врача.
Если пациент будет следовать всем рекомендациям врача, он может рассчитывать на быстрое восстановление и положительный прогноз. Самостоятельно ставить диагноз и начинать лечение строго запрещается. Неправильное лечение может причинить больше вреда, чем пользы.
Важно своевременно диагностировать эрозию эмали и начать лечение. Следует отметить, что патологический процесс не всегда возникает из-за недостаточной гигиены ротовой полости, поэтому защититься от его проявлений бывает сложно.
Регулярные визиты к стоматологу и внимательное отношение к сигналам своего организма обеспечивают надежную защиту от различных заболеваний. Если вы заметили какие-либо симптомы, рекомендуется обратиться к специалисту.
https://youtube.com/watch?v=dokWM9A-cy8
Профилактика эрозии зубной эмали
Профилактика эрозии зубной эмали является важным аспектом поддержания здоровья зубов и предотвращения их разрушения. Эрозия эмали может быть вызвана различными факторами, включая неправильное питание, недостаточную гигиену полости рта и воздействие кислот. Чтобы минимизировать риск возникновения этой проблемы, следует соблюдать несколько ключевых рекомендаций.
1. Правильное питание: Рацион, богатый витаминами и минералами, способствует укреплению зубной эмали. Ограничьте потребление кислых продуктов и напитков, таких как цитрусовые, газированные напитки и уксус. Если вы употребляете такие продукты, старайтесь делать это в умеренных количествах и запивать водой, чтобы нейтрализовать кислоту.
2. Гигиена полости рта: Регулярная чистка зубов дважды в день с использованием фторсодержащей зубной пасты помогает укрепить эмаль и защитить зубы от эрозии. Не забывайте о зубной нити и ополаскивателях для рта, которые помогают удалить остатки пищи и налет, особенно в труднодоступных местах.
3. Посещение стоматолога: Регулярные осмотры у стоматолога позволяют выявить проблемы на ранних стадиях. Стоматолог может рекомендовать профессиональную чистку зубов и применение фторсодержащих препаратов для укрепления эмали.
4. Употребление воды: Питьевая вода, особенно с добавлением фтора, помогает нейтрализовать кислоты и способствует восстановлению эмали. Убедитесь, что вы пьете достаточное количество воды в течение дня.
5. Избегание вредных привычек: Курение и жевание табака могут негативно сказаться на состоянии зубов и способствовать эрозии эмали. Отказ от этих привычек не только улучшит здоровье зубов, но и общее состояние организма.
6. Использование защитных средств: Если вы занимаетесь спортом или другими активными видами деятельности, подумайте о ношении капы для защиты зубов от травм и износа.
Следуя этим рекомендациям, вы сможете значительно снизить риск эрозии зубной эмали и сохранить здоровье своих зубов на долгие годы. Помните, что профилактика всегда проще и дешевле, чем лечение уже возникших проблем.
Влияние питания на здоровье зубной эмали
Питание играет ключевую роль в поддержании здоровья зубной эмали. Эмаль — это внешняя защитная оболочка зуба, которая подвержена воздействию различных факторов, включая пищу и напитки. Некоторые продукты могут способствовать эрозии эмали, в то время как другие помогают ее укрепить.
Одним из основных факторов, способствующих эрозии зубной эмали, является высокая кислотность пищи и напитков. Кислые продукты, такие как цитрусовые (апельсины, лимоны), уксус, газированные напитки и некоторые виды фруктов, могут снижать pH во рту, что приводит к деминерализации эмали. При длительном воздействии кислоты эмаль становится более уязвимой к повреждениям и кариесу.
Кроме того, сахаросодержащие продукты также представляют опасность для зубной эмали. Бактерии, находящиеся в полости рта, используют сахар в качестве источника энергии и производят кислоты в процессе своего метаболизма. Эти кислоты, в свою очередь, могут разрушать эмаль, особенно если гигиена полости рта не соблюдается должным образом.
Однако не все продукты оказывают негативное влияние на эмаль. Молочные продукты, такие как йогурт и сыр, содержат кальций и фосфор, которые способствуют реминерализации зубной эмали. Эти минералы помогают восстановить утраченные элементы эмали и укрепить ее структуру. Также стоит отметить, что вода, особенно фторированная, может значительно улучшить здоровье зубов, так как фтор способствует укреплению эмали и снижает риск кариеса.
Важно также учитывать режим питания. Частое употребление кислых и сладких продуктов в течение дня может увеличить риск эрозии эмали. Рекомендуется ограничивать частоту потребления таких продуктов и напитков, а также соблюдать баланс между ними и более нейтральными или щелочными продуктами, такими как овощи и орехи.
В заключение, правильное питание является важным аспектом в поддержании здоровья зубной эмали. Осознание влияния различных продуктов на зубы и соблюдение сбалансированной диеты помогут предотвратить эрозию эмали и сохранить здоровье зубов на долгие годы.
Советы по уходу за зубами для предотвращения эрозии
Эрозия зубной эмали — это процесс, при котором происходит разрушение верхнего слоя зуба, что может привести к повышенной чувствительности, кариесу и другим стоматологическим проблемам. Чтобы предотвратить эрозию и сохранить здоровье зубов, важно следовать нескольким простым, но эффективным рекомендациям по уходу за зубами.
1. Правильная гигиена полости рта: Регулярная чистка зубов дважды в день с использованием фторсодержащей зубной пасты помогает укрепить эмаль и защитить зубы от кислотного воздействия. Не забывайте использовать зубную нить для удаления остатков пищи и налета между зубами.
2. Избегайте кислых продуктов и напитков: Кислоты, содержащиеся в цитрусовых, газированных напитках, вине и других продуктах, могут способствовать эрозии эмали. Старайтесь ограничивать их потребление и, если возможно, употребляйте их с пищей, чтобы снизить кислотное воздействие на зубы.
3. Полоскание рта: После употребления кислых продуктов полезно прополоскать рот водой или использовать безалкогольный ополаскиватель для рта. Это поможет нейтрализовать кислоты и уменьшить их воздействие на эмаль.
4. Использование соломинок: При питье кислых напитков используйте соломинки, чтобы минимизировать контакт кислоты с зубами. Это особенно актуально для детей, чьи зубы более подвержены эрозии.
5. Регулярные визиты к стоматологу: Профилактические осмотры у стоматолога помогут выявить ранние признаки эрозии и других проблем с зубами. Стоматолог может предложить индивидуальные рекомендации по уходу за зубами и при необходимости назначить фторирование или другие процедуры для защиты эмали.
6. Увлажнение: Обезвоживание может привести к снижению слюноотделения, что увеличивает риск эрозии. Убедитесь, что вы пьете достаточное количество воды в течение дня, чтобы поддерживать нормальный уровень слюны, которая помогает нейтрализовать кислоты и защищает зубы.
7. Избегайте частого перекуса: Частое употребление пищи, особенно кислой или сладкой, может увеличить риск эрозии. Если вы хотите перекусить, выбирайте менее кислые и более нейтральные продукты, такие как орехи или сыры.
Следуя этим простым советам, вы сможете значительно снизить риск эрозии зубной эмали и сохранить здоровье своих зубов на долгие годы. Помните, что забота о зубах — это не только эстетика, но и важный аспект общего здоровья.


