Оголение корней зубов — распространенная проблема, приводящая к стоматологическим осложнениям и дискомфорту. В статье рассмотрим причины этого явления и предложим методы лечения и профилактики. Узнаете о народных средствах для борьбы с оголением шейки зуба и получите советы по уходу за полостью рта. Эта информация поможет сохранить здоровье зубов и избежать неприятных последствий.
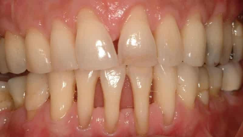
Чем плохо оголение шейки или корня
Если вы заметили, что корни зубов становятся видимыми, и не знаете, как с этим справиться или в чем причина, важно обратиться к специалистам. Кроме того, что это может испортить вашу улыбку, оголение корней может привести к другим неприятным симптомам, таким как:
- Кариес
- Кровоточивость и отек десен
- Уязвимость зубов
- Повышенная чувствительность эмали
- Клиновидный дефект
- Зубная боль
- Визуальное увеличение зуба
- Появление желтизны на верхней части зуба
Кроме перечисленных проблем, зубы становятся более хрупкими, могут начать расшатываться и в конечном итоге выпасть. Поэтому не стоит откладывать визит к стоматологу, если у вас оголился зуб у десны. Специалист сможет определить причины, предположить возможные заболевания и назначить соответствующее лечение.
Врачи отмечают, что оголение корней зубов является распространенной проблемой, которая может привести к различным осложнениям, включая повышенную чувствительность и риск кариеса. Специалисты рекомендуют в первую очередь обратиться к стоматологу для диагностики и определения причины этого состояния. Важно учитывать, что оголение корней может быть связано с пародонтитом, неправильной гигиеной полости рта или даже генетической предрасположенностью.
Для предотвращения дальнейшего прогрессирования проблемы врачи советуют соблюдать правила гигиены: использовать мягкие щетки и специальные пасты для чувствительных зубов. Также может быть рекомендовано применение фторсодержащих средств для укрепления эмали. В некоторых случаях может потребоваться профессиональная чистка зубов или даже хирургическое вмешательство для восстановления десен. Важно не игнорировать симптомы и своевременно обращаться за помощью, чтобы избежать серьезных последствий для здоровья зубов.
https://youtube.com/watch?v=B7_s_akRj6I
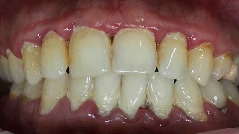
В связи с чем происходит оголение корней
Основным фактором, способствующим опущению десен, является недостаточный или, наоборот, чрезмерный уход за полостью рта.
Недостаток гигиенических процедур приводит к образованию налета и зубного камня, что, в свою очередь, способствует развитию кариеса, гингивита и парадонтита. Эти заболевания могут вызвать оголение шейки или корня зуба. С другой стороны, слишком частая и агрессивная чистка зубов жесткими щетками также может привести к травмированию десен и их опущению.
На вопрос о причинах оголения шейки зубов и возможных действиях в такой ситуации могут ответить следующие факторы:
- У некоторых людей корни зубов располагаются близко к деснам, создавая впечатление, что десна находится на корне, а не на кости.
- Неправильный прикус.
- Неверное соотношение между фиксированной и подвижной частями десны.
- Анатомические особенности челюсти.
- Индивидуальные характеристики слизистой оболочки рта, такие как тонкие десны, которые легко подвержены травмам и опущению.
- Неправильное стоматологическое лечение, включая некачественные коронки, пломбы и мягкие протезы, которые негативно сказываются на здоровье полости рта.
- Процесс старения зубов и десен.
| Причина оголения корней зубов | Симптомы и последствия | Рекомендуемые действия |
|---|---|---|
| Неправильная техника чистки зубов (слишком сильное давление, жесткая щетка) | Чувствительность к холодному/горячему, кровоточивость десен, рецессия десны. | Использование мягкой зубной щетки, обучение правильной технике чистки зубов у стоматолога, использование зубной пасты для чувствительных зубов. |
| Пародонтит и гингивит (воспаление десен и окружающих тканей) | Покраснение, отек и кровоточивость десен, неприятный запах изо рта, подвижность зубов, оголение корней. | Профессиональная чистка зубов (удаление зубного камня и налета), лечение пародонтита у пародонтолога, соблюдение гигиены полости рта, использование антисептических ополаскивателей. |
| Травма десны (например, при использовании зубной нити, ковырянии зубочисткой) | Локальное оголение корня, боль, кровоточивость. | Аккуратное использование средств гигиены, избегание травмирующих действий, консультация стоматолога при значительном повреждении. |
| Бруксизм (скрежетание зубами) | Повышенная стираемость зубов, оголение корней, боль в челюстных суставах, головные боли. | Использование ночной капы, лечение бруксизма (например, с помощью ботулотоксина), снижение стресса. |
| Ортодонтическое лечение (неправильное перемещение зубов) | Локальное оголение корней в процессе или после лечения. | Регулярные осмотры у ортодонта, корректировка плана лечения при необходимости. |
| Неправильный прикус | Неравномерная нагрузка на зубы, что может приводить к рецессии десны. | Ортодонтическое лечение для коррекции прикуса. |
| Курение | Ухудшение кровоснабжения десен, что способствует развитию пародонтита и оголению корней. | Отказ от курения. |
| Возрастные изменения | Естественное истончение десны с возрастом. | Регулярные осмотры у стоматолога, поддержание хорошей гигиены полости рта, использование специальных средств для чувствительных зубов. |
| Недостаток витаминов и минералов | Ослабление тканей десны. | Сбалансированное питание, прием витаминно-минеральных комплексов по рекомендации врача. |
| Генетическая предрасположенность | Повышенный риск развития рецессии десны. | Регулярные профилактические осмотры, тщательная гигиена полости рта, раннее выявление и лечение проблем. |
| Некачественные пломбы или коронки | Травмирование десны краями реставраций. | Замена некачественных пломб или коронок. |
| Пирсинг губы или языка | Постоянное травмирование десны украшением. | Удаление пирсинга или замена на менее травматичное украшение. |
Лечение оголенных корней
При оголении корней зубов врач может предложить следующие методы лечения:
- Процедура фторирования зубной эмали включает использование специализированных средств, содержащих фтор. Фторирование может быть поверхностным или глубоким. В первом случае эмаль укрепляется снаружи, во втором — фтор проникает вглубь. Глубокое фторирование более эффективно, но в обоих случаях эмаль становится менее чувствительной.
- Пломбирование может быть рекомендовано на ранних стадиях заболевания.
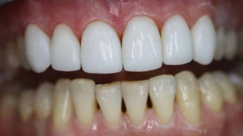
- Установка коронки — это распространенный метод лечения оголенных корней и шейки зуба, который предлагается, когда другие варианты не подходят.
- Реминерализация эмали с использованием препаратов, содержащих кальций, является абсолютно безболезненной процедурой. В процессе эмаль насыщается кальцием и укрепляется. Процедура занимает около десяти минут, после чего зубы становятся более блестящими и крепкими. Однако для достижения результата потребуется пройти курс процедур.
- Установка виниров рассматривается в запущенных случаях, когда другие методы уже неэффективны. Эта процедура позволяет навсегда устранить проблему и улучшить эстетический вид зубов.
Что касается лечения десен, если известны причины оголения зубов, чаще всего потребуется хирургическое вмешательство. Обычно причина, вызывающая оголение корней из-за опущения десны, заключается в тонкой слизистой оболочке рта. Пациенту может быть рекомендована консультация у хирурга-имплантолога. После осмотра ротовой полости врач, скорее всего, предложит операцию, в ходе которой под десну будет вживлена соединительная ткань с неба пациента. Это укрепит десну, и потребуется наложить всего один шов. Обнаженный корень будет полностью закрыт. После операции стоматолог будет наблюдать за пациентом в течение недели, а затем визиты будут необходимы только раз в полгода.
Важно отметить, что после лечения пациент должен строго следовать рекомендациям по уходу за полостью рта, иначе результаты операции могут оказаться бесполезными, если десны вновь подвергнутся травмам.
https://youtube.com/watch?v=aBEnaDh4pFU
Народные методы лечения
Многие люди испытывают страх перед визитом к стоматологу, поэтому пытаются лечить оголение шейки зуба с помощью народных средств, часто ищут фотографии для наглядности. Однако заниматься самолечением в домашних условиях — это рискованное и зачастую бесполезное занятие, так как никто не может гарантировать эффективность народной медицины. Кроме того, на это может уйти много времени, и в итоге лечение в стоматологической клинике станет более сложным. Тем не менее, в народной практике применяются следующие методы:
- Полоскание рта настойкой зверобоя.
- Полоскание полости рта отваром коры дуба.
- Массаж десен с использованием эфирных масел, таких как эвкалипт, мята или лимон.
- Компрессы на основе оливкового масла.
- Протирание десен бинтом, смоченным в облепиховом и пихтовом маслах.
- Жевание листьев подорожника в течение 15-20 минут, предварительно замоченных в холодной воде на час и нарезанных на мелкие кусочки.
- Использование мазей для десен, содержащих различные травы.
- Нанесение тертой свеклы на десны на 20-30 минут.
- Смесь из соли и банановой кожуры, которую следует держать на деснах 10 минут в день.
Важно помнить, что народные средства могут служить лишь вспомогательными методами лечения или профилактики заболеваний. Если шейки зубов оголились и корни вызывают боль или дискомфорт, а также имеют непривлекательный вид, необходимо незамедлительно обратиться в стоматологическую клинику, избегая самостоятельного лечения. Врач проведет обследование ротовой полости и назначит медикаментозное или хирургическое лечение, которое поможет устранить все неприятные симптомы и саму проблему. Кроме того, специалист предоставит рекомендации по уходу за полостью рта, следуя которым пациент сможет избежать повторного возникновения недуга.
Кроме правильной чистки зубов, пациенту, прошедшему лечение, потребуется использовать специальные зубные пасты, разработанные для чувствительных зубов, а также регулярно применять ополаскиватели для рта.
Оголение шейки и корня зуба — это серьезная проблема, которая может привести к различным осложнениям и даже потере зубов, поэтому не стоит пытаться лечить это самостоятельно или оставлять ситуацию без внимания.
https://youtube.com/watch?v=daLvMGIhBeY
Профилактика оголения корней зубов
Профилактика оголения корней зубов является важным аспектом поддержания здоровья полости рта. Оголение корней зубов может привести к повышенной чувствительности, кариесу и другим стоматологическим проблемам. Чтобы избежать этих неприятностей, необходимо следовать нескольким рекомендациям.
1. Правильная гигиена полости рта: Регулярная и тщательная чистка зубов — основа профилактики. Используйте зубную щетку с мягкой щетиной и фторсодержащую зубную пасту. Чистите зубы дважды в день, уделяя особое внимание линии десен. Не забывайте о зубной нити и ополаскивателях для рта, которые помогают удалить налет из труднодоступных мест.
2. Избегайте агрессивной чистки: Чрезмерное давление при чистке зубов может привести к истиранию эмали и оголению корней. Используйте легкие, круговые движения, чтобы не повредить десны и зубы.
3. Регулярные визиты к стоматологу: Профилактические осмотры у стоматолога помогут выявить проблемы на ранних стадиях. Специалист может предложить профессиональную чистку зубов и дать рекомендации по уходу за полостью рта.
4. Правильное питание: Употребление продуктов, богатых кальцием и витаминами, способствует укреплению зубов и десен. Избегайте чрезмерного потребления сахара и кислых продуктов, которые могут способствовать разрушению эмали.
5. Отказ от вредных привычек: Курение и употребление алкоголя негативно сказываются на здоровье десен и зубов. Отказ от этих привычек поможет сохранить здоровье полости рта.
6. Использование защитных средств: Если вы занимаетесь спортом или имеете привычку скрежетать зубами (бруксизм), рассмотрите возможность использования защитных капп. Они помогут предотвратить повреждение зубов и десен.
7. Обращение к специалистам: Если у вас есть предрасположенность к заболеваниям десен или другим стоматологическим проблемам, проконсультируйтесь с пародонтологом. Он сможет предложить индивидуальные меры профилактики и лечения.
Соблюдение этих рекомендаций поможет вам избежать оголения корней зубов и сохранить здоровье вашей улыбки на долгие годы.
Рекомендации по уходу за зубами
Оголение корней зубов — это серьезная проблема, которая может привести к различным стоматологическим заболеваниям, таким как кариес, пародонтит и чувствительность зубов. Чтобы предотвратить дальнейшее ухудшение состояния зубов и десен, необходимо соблюдать ряд рекомендаций по уходу за полостью рта.
1. Правильная техника чистки зубов: Используйте мягкую зубную щетку и зубную пасту с фтором. Чистите зубы дважды в день, уделяя особое внимание линии десен. Движения должны быть мягкими и круговыми, чтобы не травмировать десны. Избегайте слишком сильного нажатия на щетку, так как это может привести к еще большему оголению корней.
2. Использование зубной нити: Зубная нить помогает удалить остатки пищи и налет из межзубных промежутков, где щетка не может достать. Регулярное использование зубной нити способствует снижению риска воспаления десен и образования карманов, что может усугубить проблему оголения корней.
3. Полоскания антисептическими растворами: Полоскания с антисептическими средствами могут помочь в борьбе с бактериями, вызывающими воспаление десен. Выбирайте растворы, содержащие хлоргексидин или другие антисептики, которые рекомендует ваш стоматолог.
4. Избегайте агрессивных средств для ухода: Не используйте абразивные зубные пасты или жесткие щетки, так как они могут повредить эмаль и десны. Также стоит избегать средств, содержащих кислоты, которые могут усугубить состояние зубов.
5. Регулярные визиты к стоматологу: Профилактические осмотры у стоматолога помогут выявить проблемы на ранних стадиях. Специалист сможет провести профессиональную чистку зубов и дать рекомендации по уходу, а также предложить лечение, если это необходимо.
6. Здоровое питание: Обратите внимание на свой рацион. Употребление продуктов, богатых кальцием и витаминами, особенно витамином C, способствует укреплению десен. Ограничьте потребление сахара и кислых продуктов, которые могут способствовать разрушению зубной эмали.
7. Отказ от вредных привычек: Курение и чрезмерное употребление алкоголя негативно сказываются на здоровье десен и зубов. Отказ от этих привычек поможет улучшить общее состояние полости рта.
Следуя этим рекомендациям, вы сможете значительно улучшить состояние своих зубов и десен, а также предотвратить дальнейшее оголение корней. Помните, что забота о здоровье полости рта — это залог вашей уверенности и комфорта в повседневной жизни.
Когда обращаться к стоматологу
Обнажение корней зубов — это серьезная проблема, которая может привести к различным стоматологическим заболеваниям и дискомфорту. Если вы заметили, что ваши зубы выглядят иначе, чем раньше, или испытываете болезненные ощущения, важно не игнорировать эти симптомы и обратиться к стоматологу. Существует несколько признаков, которые могут указывать на необходимость визита к специалисту.
Во-первых, если вы заметили, что десны вокруг зубов стали красными, воспаленными или кровоточат, это может быть признаком гингивита или пародонтита. Эти заболевания могут привести к потере десневой ткани и обнажению корней зубов. Во-вторых, если вы испытываете повышенную чувствительность зубов к горячему или холодному, это также может указывать на проблемы с деснами и корнями. Чувствительность может возникать из-за того, что корни зубов, лишенные защитного слоя эмали, становятся более уязвимыми к внешним раздражителям.
Кроме того, если вы заметили, что ваши зубы стали выглядеть длиннее или между зубами появились промежутки, это также может быть сигналом о том, что корни оголились. Важно помнить, что такие изменения могут быть вызваны не только заболеваниями десен, но и неправильной техникой чистки зубов, которая может привести к механическому повреждению десен.
Если вы испытываете постоянную боль в области зубов или десен, это также является серьезным поводом для обращения к стоматологу. Боль может быть вызвана инфекцией, которая требует немедленного лечения. Не стоит откладывать визит к врачу, особенно если вы заметили, что состояние ваших зубов ухудшается.
Наконец, если у вас есть предрасположенность к заболеваниям десен (например, если у вас есть диабет или вы курите), регулярные осмотры у стоматолога становятся особенно важными. Профилактика и раннее выявление проблем помогут избежать серьезных осложнений и сохранить здоровье ваших зубов и десен.



