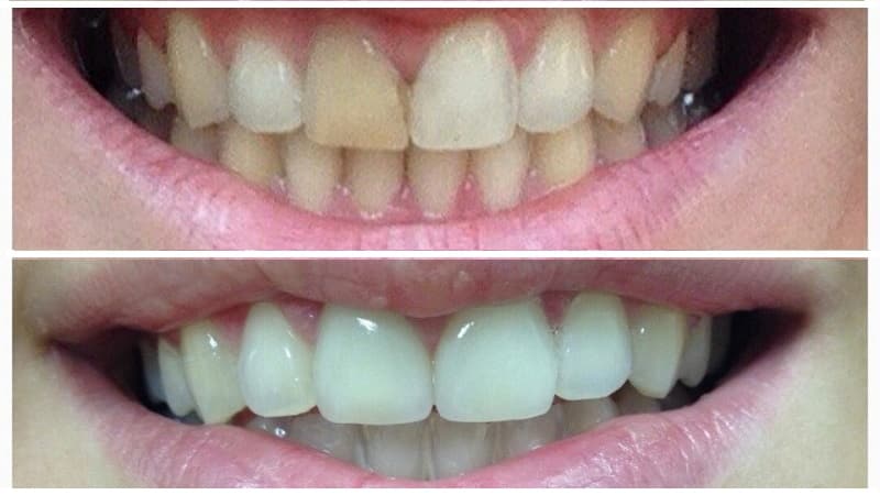
Протезирование зубов с помощью коронок является важным этапом восстановления функции и эстетики улыбки. В статье рассмотрим основные виды зубных коронок, их преимущества и недостатки, а также факторы, влияющие на выбор. Обсудим ценовую политику на коронки и рекомендации по выбору клиники, что поможет сделать осознанный выбор и обеспечить долговечность протезирования.
Когда необходимо протезирование
Манипуляция по установке коронок осуществляется в следующих случаях:
- повреждение более 50% зуба, когда была проведена процедура депульпирования. В такой ситуации зубы становятся крайне уязвимыми, так как теряют кровоснабжение;
- истираемость эмали. В этом случае коронки помогают остановить процесс износа и сохраняют правильное положение прикуса;
- необходимость восстановления отсутствующего зуба;
- изменение цвета, формы или размера зуба.
Протезирование не рекомендуется при наличии повышенной подвижности зубов.
Различные типы коронок выбираются в зависимости от используемых материалов. Обычно применяются металлические сплавы, а также комбинации керамики с металлами и другими материалами.
Врачи-стоматологи отмечают, что выбор вида зубных коронок зависит от множества факторов, включая состояние зуба, его расположение и предпочтения пациента. Металлокерамические коронки, например, пользуются популярностью благодаря своей прочности и эстетичному внешнему виду. Они идеально подходят для задних зубов, где требуется высокая нагрузка. В то же время, керамические коронки, обладающие отличной прозрачностью и естественным цветом, часто рекомендуются для передних зубов, так как они обеспечивают более эстетичный результат. Врачи также подчеркивают важность индивидуального подхода: для некоторых пациентов могут быть рекомендованы циркониевые коронки, которые сочетают в себе прочность и красоту. В конечном итоге, правильный выбор коронки может значительно улучшить качество жизни пациента и его уверенность в себе.
https://youtube.com/watch?v=RsJDQfb4rg4
Виды зубных коронок
Разнообразие стоматологических приспособлений определяется используемыми для их изготовления материалами:
- Керамические фарфоровые. Эти изделия внешне схожи с натуральной эмалью, обладают способностью отражать свет и делают улыбку более естественной. Однако их стоимость достаточно высока;
- Керамические из диоксида циркония. Они хорошо прилегают к деснам, отличаются высокой прочностью и светопропускной способностью;
- Цельнометаллические штампованные. Эти варианты имеют низкую цену и не требуют депульпирования перед установкой. Однако существует риск аллергических реакций, а их эстетические характеристики оставляют желать лучшего, так как они не плотно прилегают к зубу и имеют короткий срок службы;
- Литые изделия изготавливаются по индивидуальным слепкам, отличаются высокой прочностью и долговечностью, а также имитируют естественную форму зубов. Несмотря на свои преимущества, они имеют низкие эстетические показатели и могут вызывать аллергические реакции;
- Золотые коронки могут быть установлены не во всех стоматологических клиниках, так как работа с благородными металлами требует специального разрешения. Они обладают отличной совместимостью с организмом, не вызывают аллергии, устойчивы к разложению и плотно прилегают к зубу. Однако их стоимость довольно высока, и эстетические качества также не идеальны;
- Комбинированные металлокерамические. Эти коронки имитируют натуральный цвет эмали, не изменяются под воздействием окрашивающих продуктов, но со временем может обнажаться каркас. Перед установкой необходимо удалить нервы;
- Металлопластмассовые. Они имеют доступную цену, быстро изготавливаются и являются хорошим временным решением. Однако такие коронки не очень прочные, могут менять цвет под воздействием пищи, со временем начинают издавать неприятный запах, а также иногда просвечивается металлическая часть. Подобрать подходящий оттенок под цвет зубов бывает сложно.
Также эти изделия могут устанавливаться на специальные мосты, при этом депульпирование не требуется. Если зуб отсутствует, в эту область устанавливают имплант. Как видно, приспособления различаются по материалам, из которых они изготовлены.
| Вид коронки | Материал | Преимущества | Недостатки | Показания |
|---|---|---|---|---|
| Металлокерамическая | Металлический каркас, покрытый керамикой | Прочность, долговечность, эстетичность (частично) | Может просвечивать металл у десны, возможны аллергические реакции на металл | Восстановление жевательных зубов, мостовидные протезы |
| Цельнокерамическая (безметалловая) | Диоксид циркония, прессованная керамика (E-max) | Высокая эстетичность, биосовместимость, отсутствие металлического каркаса | Меньшая прочность по сравнению с металлокерамикой (для некоторых видов), более высокая стоимость | Восстановление передних зубов, одиночные коронки |
| Металлическая (литая) | Сплавы кобальт-хрома, никель-хрома, золото | Высокая прочность, долговечность, низкая стоимость | Низкая эстетичность, возможны аллергические реакции на металл | Восстановление жевательных зубов при ограниченном бюджете, при сильном разрушении зуба |
| Композитная | Композитный материал | Относительно низкая стоимость, возможность ремонта | Меньшая прочность и долговечность по сравнению с другими видами, со временем может менять цвет | Временные коронки, восстановление зубов при небольших дефектах |
| Коронка на основе диоксида циркония | Диоксид циркония | Высокая прочность, отличная эстетика, биосовместимость, отсутствие металлического каркаса | Высокая стоимость, требует специального оборудования для изготовления | Восстановление как передних, так и жевательных зубов, мостовидные протезы |
Как устанавливаются коронки
Манипуляция проводится под местной анестезией, поэтому пациент не испытывает дискомфорта. Процесс включает несколько этапов, о которых пациент узнает на первой консультации:
- подготовительный этап. На этом этапе осуществляется лечение кариеса, депульпация и пломбирование зубов;
- для правильной установки коронки необходимо немного обрезать зубную ткань, после чего происходит установка коронки;
- создание гипсовых слепков зубов. Слепок передается зубному технику, который изготавливает гипсовую модель;
- изготовление коронки на основе гипсовой модели. Этот процесс может занять продолжительное время, поэтому на время устанавливается временная пластиковая коронка;
- примерка. На этом этапе обычно проверяется металлический каркас, после чего наносится облицовка;
- временные коронки. Важно убедиться, что изделие хорошо приживается, этот период обычно длится от двух недель до месяца;
- установка постоянной коронки. Если нет противопоказаний и все предыдущие этапы прошли успешно, временные коронки удаляются, и устанавливается постоянная коронка.
> В данном случае удалить коронку можно только с помощью распилки.
Как видно, процедура требует не только финансовых затрат, но и терпения со стороны пациента. Тем не менее, лучше иметь красивые зубы, чем обходиться без них.
https://youtube.com/watch?v=lScwGGNn878
Виды коронок на зубы: что лучше
Протезирование зубов — это процесс, который требует серьезного подхода и ответственности, так как он не из дешевых. Важно учитывать такие факторы, как качество, прочность, эстетика и цена. Опытные специалисты рекомендуют рассмотреть следующие варианты коронок.
Для задних зубов:
- литые конструкции. Они являются экономичным вариантом, так как задние зубы не видны, что позволяет сэкономить на более дорогих материалах;
- золотые коронки идеально подходят для людей с аллергией, так как не вызывают раздражения;
- металлокерамика. Эти коронки отлично подойдут тем, кто не хочет, чтобы их протезы были заметны. Каркас будет скрыт, а внешний вид будет максимально приближен к натуральным зубам;
- керамические коронки прекрасно подходят для тех, кто не желает экономить на своем здоровье. Они выглядят как настоящие зубы, однако некоторые пациенты отмечают, что при сильной жевательной нагрузке могут возникать проблемы с их целостностью.
Для передних зубов:
- металлокерамика — отличное решение для передних зубов, но стоит учитывать, что при опущении десен металлическая основа может стать заметной;
- керамические коронки являются наиболее эффективным способом восстановления передних зубов. Этот материал хорошо имитирует натуральную эмаль, что делает улыбку очень привлекательной.
Сколько стоит коронка на зуб
На окончательную стоимость влияет множество факторов. К числу основных можно отнести:
- характеристики коронок: чем выше эстетические и качественные показатели, тем больше цена;
- тарифы конкретной клиники и квалификация специалиста. Некоторые учреждения ориентируются на определенный уровень дохода пациентов;
- качество и страна происхождения используемых материалов. Например, одни клиники применяют недорогие отечественные компоненты, в то время как другие выбирают более качественные импортные. Соответственно, стоимость этих изделий будет различаться;
- необходимость дополнительных процедур;
- наличие зуботехнической лаборатории. Не все стоматологические клиники располагают собственными лабораториями, и в таких случаях они сотрудничают с другими организациями. Это также влияет на цену услуги. Если у клиники есть своя лаборатория, стоимость будет значительно ниже.
Цены на коронки часто высоки, но в конечном итоге они оправдывают себя, ведь деньги можно заработать, а зубы у нас только одни.
Штампованные керамические коронки уже не актуальны и не используются в современной стоматологии. Однако высокая цена изделия не всегда гарантирует его долговечность. Важную роль играет и профессионализм врача. Бывают случаи, когда пациенты страдают годами, испытывая дискомфорт и неприятный запах изо рта, обвиняя в этом процедуру протезирования.
На самом деле, причиной может быть некачественная подготовка перед манипуляцией, когда врач не полностью запломбировал каналы, что привело к развитию патологического процесса.
На что нужно обращать внимание
Стоматологические клиники иногда прибегают к различным уловкам, чтобы сократить свои расходы.
При выборе протезирования важно обращать внимание не только на сами протезы, но и на репутацию врачей и медицинского учреждения, где будет проводиться процедура.
На чем клиники экономят:
- на недостаточно опытном медицинском персонале. Новичкам и стажерам не требуется выплачивать высокую зарплату;
- на использовании более дешевых материалов для изготовления коронок, например, от отечественных производителей. Такие изделия могут не идеально прилегать к зубам, их прозрачность значительно отличается от натуральной эмали, что негативно сказывается на эстетике, а также увеличивает риск сколов у недорогих вариантов.
Выбор типа коронок для зубов врач рекомендует в каждом конкретном случае, принимая во внимание пожелания и финансовые возможности пациента. Некоторые стремятся решить вопрос максимально экономно, в то время как для других важнее эстетические характеристики.
https://youtube.com/watch?v=ffVMEZJf9_g
Преимущества и недостатки различных видов коронок
Зубные коронки представляют собой искусственные конструкции, которые используются для восстановления формы, функции и эстетики зуба. Существует несколько видов коронок, каждая из которых имеет свои преимущества и недостатки, что делает выбор подходящего варианта важным этапом в стоматологическом лечении.
Металлические коронки
Металлические коронки изготавливаются из различных сплавов, включая золото, платину и никель. Они обладают высокой прочностью и долговечностью, что делает их идеальными для задних зубов, которые подвергаются значительным нагрузкам при жевании.
- Преимущества:
- Высокая прочность и устойчивость к износу.
- Долговечность, срок службы может достигать 15-20 лет.
- Минимальная потеря здоровых тканей зуба при установке.
- Недостатки:
- Низкая эстетика, так как коронки имеют металлический цвет.
- Могут вызывать аллергические реакции у некоторых пациентов.
Керамические коронки
Керамические коронки изготавливаются из фарфора или других керамических материалов. Они часто используются для передних зубов благодаря своей естественной эстетике и способности имитировать цвет натуральных зубов.
- Преимущества:
- Высокая эстетика, коронки выглядят как натуральные зубы.
- Не вызывают аллергических реакций.
- Устойчивость к окрашиванию и потере цвета.
- Недостатки:
- Меньшая прочность по сравнению с металлическими коронками.
- Более высокая стоимость.
- Могут быть менее устойчивыми к механическим повреждениям.
Композитные коронки
Композитные коронки изготавливаются из смол и других композитных материалов. Они часто используются для временных коронок или в случаях, когда требуется быстрое восстановление зуба.
- Преимущества:
- Эстетика, возможность подбора цвета под натуральные зубы.
- Относительно низкая стоимость.
- Легкость в установке и ремонте.
- Недостатки:
- Меньшая прочность и долговечность по сравнению с другими видами коронок.
- Могут быть подвержены окрашиванию и износу.
Металлокерамические коронки
Металлокерамические коронки сочетают в себе прочность металлической основы и эстетические качества керамического покрытия. Они являются одним из самых распространенных видов коронок.
- Преимущества:
- Комбинация прочности и эстетики.
- Долговечность, срок службы может достигать 10-15 лет.
- Подходят для различных участков зубного ряда.
- Недостатки:
- Могут быть менее эстетичными, чем полностью керамические коронки.
- Металлическая основа может вызывать аллергические реакции.
Выбор типа коронки зависит от множества факторов, включая расположение зуба, его функциональную нагрузку, эстетические предпочтения пациента и финансовые возможности. Консультация с квалифицированным стоматологом поможет определить наиболее подходящий вариант для каждого конкретного случая.
Уход за зубными коронками
Уход за зубными коронками является важным аспектом поддержания здоровья полости рта и долговечности самих коронок. Правильный уход поможет предотвратить развитие кариеса, заболеваний десен и других стоматологических проблем.
Первым шагом в уходе за зубными коронками является регулярная гигиена полости рта. Рекомендуется чистить зубы не менее двух раз в день с использованием мягкой зубной щетки и фторсодержащей зубной пасты. Важно уделять внимание не только коронкам, но и окружающим зубам и деснам, так как здоровье всей зубной системы взаимосвязано.
Кроме того, использование зубной нити или межзубных щеток поможет удалить налет и остатки пищи из труднодоступных мест, что особенно важно для коронок, которые могут иметь промежутки между зубами. Это поможет предотвратить накопление бактерий и развитие воспалительных процессов.
Также стоит обратить внимание на выбор средств для полоскания рта. Антисептические растворы помогут снизить количество бактерий и улучшить общее состояние десен. Однако следует избегать агрессивных средств, которые могут повредить поверхность коронок.
Регулярные визиты к стоматологу также играют ключевую роль в уходе за коронками. Специалист сможет провести профессиональную чистку, оценить состояние коронок и десен, а также выявить возможные проблемы на ранних стадиях. Рекомендуется посещать стоматолога не реже двух раз в год.
Важно помнить, что некоторые виды коронок, такие как металлические или керамические, могут требовать особого ухода. Например, керамические коронки более подвержены сколам и трещинам, поэтому следует избегать жесткой пищи и привычек, таких как кусание ногтей или открывание упаковок зубами.
Наконец, стоит отметить, что при наличии коронок следует избегать курения и чрезмерного потребления сладостей, так как это может негативно сказаться на здоровье зубов и десен. Соблюдение всех этих рекомендаций поможет продлить срок службы зубных коронок и сохранить здоровье полости рта в целом.
Сравнение коронок с другими методами восстановления зубов
Восстановление зубов – это важный аспект стоматологической практики, который включает в себя различные методы, среди которых коронки занимают особое место. Коронки представляют собой протезы, которые накладываются на поврежденные или ослабленные зубы, обеспечивая их защиту и восстановление функциональности. Однако, помимо коронок, существуют и другие методы восстановления зубов, такие как пломбы, виниры и имплантаты. Рассмотрим подробнее, как коронки соотносятся с этими альтернативами.
Пломбы – это один из самых распространенных методов восстановления зубов, который применяется при наличии небольших кариозных поражений. Пломбы позволяют восстановить форму и функцию зуба, однако они не всегда подходят для более серьезных повреждений. В отличие от коронок, которые охватывают весь зуб, пломбы заполняют только пораженные участки, что может быть недостаточно в случаях значительного разрушения зуба.
Виниры – это тонкие керамические или композитные накладки, которые устанавливаются на переднюю поверхность зубов для улучшения их внешнего вида. В отличие от коронок, виниры не обеспечивают такой же уровень защиты, так как они не покрывают весь зуб. Виниры чаще всего используются для коррекции эстетических недостатков, таких как изменение цвета или формы зубов, но не подходят для зубов с серьезными структурными повреждениями.
Имплантаты представляют собой альтернативный метод восстановления зубов, который включает в себя хирургическую установку искусственного корня в челюсть, на который затем крепится коронка. Имплантаты являются более инвазивным и дорогостоящим вариантом, но они обеспечивают долговечное решение для замены утраченных зубов. В отличие от коронок, которые применяются для восстановления существующих зубов, имплантаты используются в случаях полной утраты зуба.
Таким образом, выбор между коронками и другими методами восстановления зубов зависит от конкретной клинической ситуации. Коронки являются отличным решением для зубов с серьезными повреждениями, обеспечивая надежную защиту и восстановление функции. В то время как пломбы, виниры и имплантаты могут быть более подходящими в других случаях, коронки остаются важным инструментом в арсенале стоматолога для восстановления здоровья зубов.





