Виниры на зубы — популярное решение для улучшения эстетики улыбки. В статье рассмотрим, что такое виниры, из каких материалов они изготовлены и для каких зубов их установка наиболее эффективна. Также будут представлены фото до и после установки виниров, демонстрирующие их влияние на внешний вид зубов. Эта информация поможет тем, кто планирует коррекцию зубного ряда и интересуется преимуществами и долговечностью виниров.
Разновидности виниров
Чтобы разобраться в том, как выглядят виниры, важно рассмотреть их классификацию. Существует три основных типа, которые различаются в зависимости от используемого материала.
- Керамические виниры толщиной от 0,3 до 0,5 мм обладают высокой прочностью и надежностью. Они изготавливаются в лабораториях с использованием диоксида циркония и медицинского фарфора. Эти виниры долго сохраняют цвет, полностью совпадая с оттенком натуральных зубов.
- Композитные виниры менее популярны по сравнению с более современными и долговечными вариантами. Их установка происходит быстро, однако они не отличаются высокой эстетикой и подвержены быстрому износу.
- Фарфоровые люминиры, имеющие толщину от 0,2 мм, пришли к нам из Калифорнии. Они не требуют предварительного обтачивания зубов, устанавливаются быстро и имеют достаточно длительный срок службы.
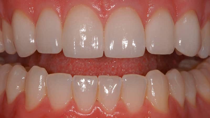
Врачи-стоматологи отмечают, что виниры на зубы становятся все более популярными среди пациентов, стремящихся улучшить свою улыбку. По их мнению, фото до и после установки виниров наглядно демонстрируют значительные изменения в эстетике зубного ряда. Специалисты подчеркивают, что виниры могут исправить множество проблем, таких как сколы, трещины, неправильная форма или цвет зубов. Однако важно помнить, что установка виниров требует тщательной диагностики и индивидуального подхода. Врачи рекомендуют выбирать квалифицированных специалистов, чтобы избежать возможных осложнений и достичь желаемого результата. В целом, при правильном подходе виниры могут стать эффективным решением для создания красивой улыбки.
https://youtube.com/watch?v=6llMDlX2-5E
Методики изготовления виниров
Для многих людей термин «виниры на зубы» остается загадкой: это универсальное решение для устранения проблем или серьезное вмешательство стоматолога? Виниры представляют собой простые стоматологические конструкции, которые эффективно восстанавливают красоту вашей улыбки.
Существует несколько методов изготовления керамических виниров:
- классический метод – это поэтапное нанесение керамических порошков, которые затем обжигаются;
- прессование – создание прочных микро-протезов из керамики или литья под давлением;
- фрезерование – вырезание необходимых пластин из блоков.
Процесс создания пластины из диоксида циркония начинается с подготовки зуба и снятия слепка. Затем с помощью компьютерного моделирования создается модель винира, которая автоматически обрабатывается на фрезерном станке. Фиксация осуществляется с использованием цементного состава.
Важно отметить, что композитные зубные виниры представляют собой микропротезы, которые прошли длительный период использования.
Их изготавливают традиционно с применением двух технологий:
- терапевтический метод, который выполняется прямо в стоматологическом кресле. После снятия слоя эмали врач наносит тонкие слои специального композитного материала из светополимерных составов, восстанавливая зубную поверхность до ее прежнего состояния;
- метод, при котором винир изготавливается зубным техником по слепку, полученному от предварительно обточенного зуба стоматологом.
| До установки виниров | После установки виниров | Преимущества |
|---|---|---|
| Неровный зубной ряд | Идеально ровные зубы | Коррекция прикуса, эстетика |
| Желтоватый оттенок эмали | Ослепительно белые зубы | Отбеливание, устойчивость к пятнам |
| Сколы и трещины на зубах | Восстановленная целостность зубов | Защита от дальнейшего разрушения |
| Диастема (щель между зубами) | Отсутствие щелей | Улучшение дикции, эстетика |
| Неправильная форма зубов | Гармоничная форма зубов | Улучшение пропорций лица |
| Старые пломбы, изменившие цвет | Естественный вид зубов | Долговечность, незаметность |
| Незначительные дефекты эмали | Гладкая, блестящая поверхность | Защита от кариеса, эстетика |
Мотивация установки
Вопрос о том, что такое виниры для зубов, часто возникает в ситуациях, когда необходимо провести деликатную реставрацию зубных поверхностей, утративших свою привлекательность. Причин для этого может быть множество:
- эрозия эмали;
- заметная желтизна передних зубов;
- серьезные дефекты, затрагивающие зубные ткани;
- потемнение после удаления нерва;
- большие промежутки между зубами;
- непривлекательная форма зубов;
- сколы;
- флюорозные пятна;
- чрезмерная скученность резцов;
- неудачные реставрации;
- неправильное положение зуба;
- наличие пломб, отличающихся по цвету.
Восстановлению подлежат как одиночные зубы, так и несколько соседних, что позволяет достичь более впечатляющего результата. Все чаще люди обращаются к этой процедуре, стремясь получить «голливудскую улыбку».
https://youtube.com/watch?v=BdCNC7NOgBE
Противопоказания
Перед тем как установить виниры, важно осознать, что реставрация зубов с использованием микро протезов, как и любая медицинская процедура, имеет свои противопоказания, о которых обязательно расскажет квалифицированный стоматолог:
- неправильный прикус;
- разрушение эмали с внутренней стороны;
- прогрессирующая предрасположенность к стиранию зубов;
- значительное отсутствие (более шести) жевательных зубов;
- выраженный непроизвольный скрежет зубов;
- занятия (например, бокс), которые могут привести к травмам челюсти;
- привычки, негативно влияющие на эмаль: открытие бутылок, грызение семечек, раскусывание орехов, кусание ногтей;
- наличие крупной пломбы.
Будущих обладателей ослепительной улыбки, безусловно, заинтересуют как преимущества, так и недостатки виниров, чтобы они могли оценить возможные риски.
Достоинства
Эффективный способ достижения идеальной ровности зубов обладает множеством преимуществ:
- скорость производства;
- высокая прочность керамических материалов;
- отличные эстетические качества;
- близость к натуральным цветам зубной эмали.
Недостатки
Перед тем как отправиться к стоматологу, разумно тщательно ознакомиться с винирами, их преимуществами и недостатками. Несмотря на очевидные плюсы, современный информированный человек обязательно учтет и некоторые минусы:
- низкая прочность композитных материалов;
- невозможность полностью скрыть серьезные дефекты;
- высокая цена керамических пластин;
- при каждой новой установке конструкций потребуется обтачивание эмали.
Процесс установки
Процесс установки керамических виниров включает в себя несколько последовательных этапов.
- Выбор оттенка для будущей пластинки.
- В зависимости от состояния зуба, перед установкой виниров проводится подготовка зубной поверхности.
- Снимается слепок с помощью специальной пластичной массы, который затем отправляется в лабораторию к техникам.
- На подготовленные зубы устанавливается временная пластиковая накладка.
- На основе слепка мастера создают гипсовую модель, которая служит основой для изготовления самой пластины.
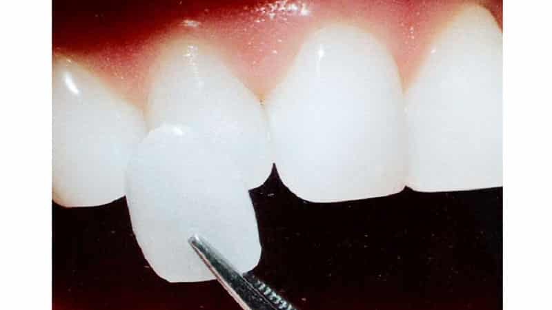
Наглядно показать процесс установки виниров на зубы можно с помощью фотографий до и после реставрации. В стоматологическом кабинете виниры фиксируются с использованием специального клея, после чего осуществляется контроль прикуса и удаление излишков клеевого состава.
Более щадящий метод без обтачивания зубов представлен инновационными конструкциями – люминирами. Эти тонкие лепестки легко прикрепляются к реставрируемой поверхности с помощью стоматологического клея. Фотографии установки виниров на зубы позволяют детально рассмотреть этот процесс.
Стандартизированные люминиры подбираются по определённым параметрам из готовых наборов, в то время как индивидуальные пластинки изготавливаются специально для каждого пациента в лаборатории.
Восстановительный период
Виниры способны значительно изменить внешний вид и омолодить человека, а фотографии до и после позволяют наглядно это продемонстрировать.
Для того чтобы виниры служили долго, необходимо следовать рекомендациям стоматолога. Обычно через две недели после установки назначается контрольный визит, который помогает оценить надежность конструкции и реакцию десен и окружающих тканей на новые пластинки.
Некоторые пациенты сообщают о повышенной чувствительности зубов к горячим и холодным напиткам. Если возникают признаки разрушения восстановленного зуба, принимается решение о его защите с помощью коронки.
Выбор варианта
При выборе виниров важно учитывать несколько ключевых аспектов.
Керамические виниры требуют больше времени для изготовления по сравнению с композитными, однако их срок службы значительно превышает.
Если рассматривать финансовую сторону вопроса, композитные виниры окажутся более доступными по цене при установке. Но стоит помнить, что примерно через пять лет их придется заменять, что делает такую экономию довольно сомнительной.
Керамические виниры, обладая прочностью и эстетической привлекательностью, значительно улучшают внешний вид зубов, что наглядно подтверждают фотографии. Эти пластинки практически не теряют своей первоначальной белизны, в отличие от композитных материалов, которые могут со временем менять цвет. Однако стоит отметить, что при установке более современных виниров зубы подвергаются большему стачиванию.
Принятие решения о выборе виниров должно происходить в сотрудничестве с врачом, так как только специалист способен предоставить полную и квалифицированную консультацию.
https://youtube.com/watch?v=t91xQLG6-3I
Уход за винирами
Уход за винирами является важным аспектом, который напрямую влияет на их долговечность и внешний вид. Виниры — это тонкие керамические или композитные накладки, которые устанавливаются на переднюю поверхность зубов для улучшения их эстетики. Чтобы сохранить виниры в идеальном состоянии, необходимо следовать нескольким простым, но важным рекомендациям.
1. Регулярная гигиена полости рта: Виниры требуют такого же ухода, как и натуральные зубы. Это включает в себя регулярную чистку зубов дважды в день с использованием мягкой зубной щетки и фторсодержащей зубной пасты. Не забывайте также о зубной нити, которая помогает удалять остатки пищи и налет между зубами и винирами.
2. Избегайте жесткой пищи: Виниры могут быть чувствительными к механическим повреждениям. Поэтому рекомендуется избегать жесткой пищи, такой как орехи, твердые конфеты или лед. Если вы привыкли грызть ногти или открывать упаковки зубами, постарайтесь отказаться от этих привычек, чтобы не повредить виниры.
3. Ограничение потребления красящих продуктов: Некоторые продукты и напитки, такие как кофе, красное вино, соевый соус и ягоды, могут оставлять пятна на винирах. Чтобы избежать изменения цвета, старайтесь ограничивать их потребление или полоскать рот водой после их употребления.
4. Регулярные визиты к стоматологу: Профилактические осмотры у стоматолога помогут выявить возможные проблемы на ранних стадиях. Специалист сможет оценить состояние виниров и при необходимости провести профессиональную чистку, что поможет сохранить их блеск и привлекательный внешний вид.
5. Использование защитных средств: Если вы занимаетесь спортом или у вас есть привычка скрипеть зубами (бруксизм), рекомендуется использовать защитные капы. Это поможет предотвратить повреждение виниров и сохранить их целостность.
6. Правильный выбор средств для ухода: Используйте только те средства для ухода за полостью рта, которые рекомендованы вашим стоматологом. Некоторые отбеливающие пасты или ополаскиватели могут содержать абразивные вещества, которые могут повредить поверхность виниров.
Следуя этим рекомендациям, вы сможете продлить срок службы виниров и сохранить их эстетические качества на долгие годы. Помните, что виниры — это инвестиция в вашу улыбку, и правильный уход поможет вам наслаждаться ею максимально долго.
Сравнение с другими методами эстетической стоматологии
Виниры на зубы представляют собой тонкие керамические или композитные накладки, которые устанавливаются на переднюю поверхность зубов с целью улучшения их внешнего вида. В последние годы виниры стали одним из самых популярных методов эстетической стоматологии, однако важно рассмотреть их в сравнении с другими доступными вариантами.
Одним из основных методов, которые часто сравнивают с винирами, являются отбеливающие процедуры. Отбеливание зубов может значительно улучшить их цвет, однако оно не решает проблемы с формой, размером или структурными дефектами зубов. Виниры, в отличие от отбеливания, могут скрыть не только потемнение, но и неровности, сколы и другие эстетические недостатки.
Еще одним распространенным методом является установка коронок. Коронки обеспечивают более полное покрытие зуба и могут использоваться для восстановления сильно поврежденных или разрушенных зубов. Однако процесс их установки более инвазивен, так как требует значительного обтачивания зуба. Виниры же требуют минимального вмешательства, что делает их более щадящим вариантом для пациентов, которые хотят сохранить максимальное количество своей зубной ткани.
Также стоит упомянуть о брекетах, которые используются для исправления прикуса и выравнивания зубов. Хотя брекеты могут значительно улучшить положение зубов, процесс их ношения занимает много времени и требует регулярного посещения стоматолога. Виниры, напротив, могут быть установлены за одно или несколько посещений и сразу же обеспечивают заметный эстетический результат.
Важно отметить, что выбор между винирами и другими методами зависит от индивидуальных потребностей пациента. Например, если у человека есть только небольшие эстетические недостатки, виниры могут стать идеальным решением. В случае же серьезных проблем с зубами, таких как кариес или значительное разрушение, может потребоваться более комплексный подход, включая коронки или другие методы лечения.
В заключение, виниры на зубы предлагают уникальное сочетание эстетики и минимального вмешательства, что делает их привлекательным выбором для многих пациентов. Однако перед принятием решения о том, какой метод выбрать, важно проконсультироваться с квалифицированным стоматологом, который поможет оценить все возможные варианты и выбрать наиболее подходящий для конкретной ситуации.
Отзывы пациентов и результаты
Установка виниров на зубы становится все более популярной процедурой в стоматологии, и многие пациенты делятся своими впечатлениями и результатами. Отзывы варьируются от восторженных до осторожных, и важно рассмотреть различные аспекты, которые влияют на общее восприятие этой процедуры.
Многие пациенты отмечают, что виниры значительно улучшили их улыбку и уверенность в себе. После установки виниров они чувствуют себя более привлекательными, что положительно сказывается на их социальной жизни и самооценке. Визуальные изменения, которые можно увидеть на фотографиях «до» и «после», часто впечатляют: зубы становятся ровными, белыми и эстетически привлекательными.
Однако не все отзывы являются исключительно положительными. Некоторые пациенты сообщают о дискомфорте в первые дни после установки виниров, особенно если процедура была выполнена на нескольких зубах одновременно. Это может быть связано с адаптацией к новым условиям и изменением привычного восприятия зубов. Важно отметить, что такие ощущения обычно проходят через несколько дней.
Также стоит упомянуть о необходимости соблюдения рекомендаций стоматолога после установки виниров. Некоторые пациенты не всегда следуют указаниям по уходу, что может привести к проблемам, таким как сколы или изменение цвета виниров. Важно понимать, что виниры требуют бережного обращения и регулярного ухода, чтобы сохранить их эстетические качества на долгий срок.
Результаты установки виниров могут варьироваться в зависимости от индивидуальных особенностей пациента, таких как состояние зубов, форма челюсти и цвет эмали. Поэтому перед процедурой важно провести консультацию с опытным стоматологом, который сможет оценить ситуацию и предложить оптимальное решение.
В целом, большинство пациентов, прошедших процедуру установки виниров, остаются довольны результатом и рекомендуют эту процедуру другим. Фотографии «до» и «после» служат наглядным подтверждением эффективности виниров, демонстрируя, как можно преобразить улыбку и улучшить внешний вид зубов.





