Правильный прикус зубов важен для здоровья полости рта и организма в целом. Неправильный прикус, или аномалии смыкания зубов, могут вызвать дискомфорт при жевании, нарушения речи и заболевания суставов челюсти. В статье рассмотрим основные виды прикусов и аномалии, возникающие при формировании зубочелюстной системы. Это поможет читателям лучше понимать стоматологическое здоровье и вовремя обращаться к специалистам.
Прикусные аномалии
Аномалии прикуса могут проявляться в различных формах: верхние и нижние зубы могут смыкаться с разнообразными отклонениями. Специалисты рассматривают эти отклонения в трех основных плоскостях: трансверзальной, вертикальной и сагиттальной.
Физиологические типы прикуса у человека классифицируются следующим образом:
- постоянный;
- патологический;
- физиологический.
Следует отметить, что любые виды неправильного прикуса можно выявить только после того, как все молочные зубы сменятся на постоянные, что происходит примерно в возрасте 12-15 лет.
Врачи-стоматологи отмечают, что правильный прикус играет ключевую роль в здоровье зубов и всей челюстно-лицевой системы. Существует несколько видов прикусов, включая прямой, глубокий, открытый и перекрестный. Каждый из них может иметь свои особенности и последствия для здоровья. Например, глубокий прикус может привести к износу зубов и проблемам с деснами, тогда как открытый прикус затрудняет жевание и может вызывать дискомфорт. Аномалии прикуса часто требуют ортодонтического вмешательства, так как они могут негативно сказаться на эстетике лица и функциональности зубочелюстной системы. Врачи подчеркивают важность ранней диагностики и коррекции таких нарушений для предотвращения более серьезных проблем в будущем.
https://youtube.com/watch?v=C0DjF8UlcU4
Разновидности патологий челюстного ряда
- Сагиттальная патология.
Сагиттальными отклонениями называют такие виды прикуса, при которых зубы смещаются слишком далеко вперед или назад. К примеру, это может быть прогенический (мезиальный) или прогнатический (дистальный) прикус, характеризующийся смещением одной из челюстей в определенном направлении, что приводит к несоответствию в взаимодействии зубных рядов.
Для коррекции таких нарушений ортодонты могут стимулировать рост и развитие отклоняющейся челюсти или, наоборот, замедлять его. Также иногда требуется корректировка зубов в области их смыкания. Выбор методов лечения зависит от индивидуальных особенностей зубочелюстной системы пациента, его возраста, а также от степени выраженности патологии и ее влияния на повседневную жизнь.
Если у пациента на момент обращения имеется только временный или сменный прикус, коррекция осуществляется с помощью механических (сменных) ортодонтических аппаратов или миогимнастики. Для взрослых и детей старше 12 лет возможно использование брекет-систем, которые перемещают зубы в нужное положение. В сложных случаях может потребоваться комбинированное лечение, включая хирургическое вмешательство.
- Вертикальная патология.
К основным примерам вертикальных патологий относятся открытый и глубокий прикус. Эти состояния проявляются в слишком низком или высоком положении нескольких зубов относительно контрольной плоскости, а также при чрезмерном удлинении одного зуба в случае потери или повреждения его антагониста.
Клинические проявления вертикальных патологий могут варьироваться в зависимости от множества факторов, способствующих их развитию, а также от степени выраженности морфологических нарушений и их локализации в зубном ряду.
Для лечения вертикальных патологий у детей в первую очередь устраняются этиологические факторы, а у взрослых применяются несъемные ортодонтические аппараты с резиновыми тягами между челюстями, а также дуги, направляющие коронки и съемные каппы.
- Трансверсальная патология.
Патологический прикус в трансверсальной плоскости характеризуется сужением одного из зубных рядов и несоответствием их ширины, а также боковыми смещениями челюстей. К таким аномалиям также относится перекрестное смыкание, когда зубы соединяются, как ножницы.
Для предотвращения несимметричного развития височных нижнечелюстных суставов и нарушений в формировании лицевого скелета лечение таких заболеваний следует начинать сразу после их выявления.
Как только ортодонт обнаруживает признаки перекрестного прикуса, он рекомендует пациенту разобщить зубные ряды. Для исправления сильно суженной челюсти в любом возрасте применяются расширяющие пластиночные аппараты с винтами и пружинами. Иногда эти устройства комбинируются с наклонными активаторами или регуляторами функций Френкеля.
Хирургическое вмешательство необходимо в случаях, когда патологии выражены резко и наблюдаются сложные деформации.
| Вид прикуса / Аномалия | Описание | Возможные последствия |
|---|---|---|
| Ортогнатический (нормальный) | Верхние зубы перекрывают нижние на 1/3, резцы смыкаются внахлест, боковые зубы имеют плотный контакт. | Идеальное распределение жевательной нагрузки, эстетика, отсутствие проблем с речью и пищеварением. |
| Прямой прикус | Режущие края верхних и нижних резцов смыкаются в одной плоскости. | Повышенная стираемость резцов, риск травм передних зубов, возможные проблемы с височно-нижнечелюстным суставом (ВНЧС). |
| Глубокий прикус | Верхние резцы перекрывают нижние более чем на 1/3, иногда полностью закрывая их. | Травмирование слизистой оболочки неба нижними зубами, повышенная стираемость передних зубов, эстетические нарушения, проблемы с ВНЧС. |
| Открытый прикус | Между верхними и нижними зубами (чаще передними, реже боковыми) остается щель при смыкании челюстей. | Нарушение жевания, глотания, речи (шепелявость), эстетические проблемы, повышенная нагрузка на смыкающиеся зубы. |
| Мезиальный (прогенический) прикус | Нижняя челюсть выдвинута вперед, нижние резцы перекрывают верхние. | Нарушение жевания, глотания, речи, эстетические проблемы (выступающий подбородок), повышенная нагрузка на ВНЧС. |
| Дистальный (прогнатический) прикус | Верхняя челюсть выдвинута вперед, верхние резцы значительно перекрывают нижние, часто с образованием сагиттальной щели. | Нарушение жевания, глотания, речи, эстетические проблемы (скошенный подбородок, выступающие верхние зубы), повышенный риск травм верхних резцов. |
| Перекрестный прикус | Нарушение смыкания зубов в боковых отделах, когда верхние зубы перекрывают нижние не с внешней, а с внутренней стороны, или наоборот. | Одностороннее жевание, асимметрия лица, повышенная нагрузка на ВНЧС, стираемость зубов, проблемы с пародонтом. |
| Скученность зубов | Недостаток места в зубном ряду, приводящий к неправильному расположению зубов (повороты, наклон, смещение). | Затруднение гигиены полости рта (кариес, пародонтит), эстетические нарушения, нарушение жевательной функции. |
| Диастема | Щель между центральными резцами. | Эстетические проблемы, нарушение речи (свистящие звуки), возможное нарушение функции жевания. |
| Тремы | Щели между другими зубами. | Эстетические проблемы, возможное нарушение функции жевания, застревание пищи. |
Виды правильного зубного ряда
Нейтральные и физиологические прикусы, которые в стоматологии считаются нормальными, обеспечивают выполнение всех необходимых функций. Тем не менее, каждый из них обладает своими уникальными характеристиками. При желании любой человек может самостоятельно оценить форму своего зубного ряда.
Зубы обеих челюстей в норме соприкасаются и располагаются практически напротив своих антагонистов. Верхняя челюсть немного выдвинута вперед, что позволяет ее зубам слегка перекрывать нижние. При этом зубы обеих челюстей наклонены внутрь. В нормальном состоянии верхняя зубная дуга имеет полуэллиптическую форму, а нижняя — параболическую.
Однако универсальной схемы, которую ортодонты могли бы использовать в своей практике, не существует, поэтому к нормальным видам прикусов у человека относятся:
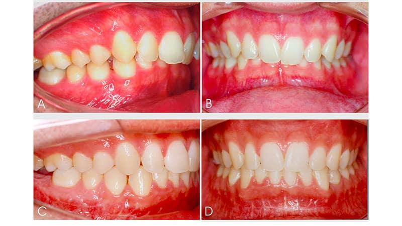
- ортогнатический прикус (фото представлены немного ниже);
- бипрогнатический;
- прямой;
- прогенический;
- опистогнатический.
Если ортодонт утверждает, что у пациента ортогнатический прикус, то его характеристика будет следующей: верхние резцы на одну треть своей длины накладываются на нижние, выступая на несколько миллиметров и контактируя друг с другом. Именно такое положение считается правильным и принимается врачами за норму, а описанные выше признаки ортогнатического прикуса рассматриваются как эталон во всех учебниках.
Бипрогнатическим называется разновидность правильного прикуса, при которой передние зубы человека слегка наклонены вперед. Опистогнатическим называется прикус, при котором передние зубы вместе с альвеолярными участками наклонены к внутренней поверхности рта.
Прямой прикус (фото можно увидеть внизу этой страницы) отличается от классической нормы тем, что верхние резцы плотно смыкаются с нижними, не закрывая их поверхности. В таком случае передние зубы обеих челюстей испытывают повышенную нагрузку, что может привести к их преждевременному стиранию, однако это не считается аномалией прикуса. Прогеническим прикусом называют зубной ряд, при котором нижняя челюсть немного выдвинута вперед.
Ортогенический постоянный прикус, также известный как нейтральный, не создает человеку никаких проблем при жевании пищи и разговоре, а зубы при этом растут без искривлений и промежутков.
https://youtube.com/watch?v=lxsSOC5JyQQ
Что такое аномалии и почему они появляются
Чаще всего люди не рождаются с нарушениями прикуса или предрасположенностью к ним. Формирование расположения зубов занимает значительное время и проходит через несколько ключевых этапов:
- новорожденный (молочный) прикус (до полугода);
- временный прикус (от полугода до трех лет);
- окончательный временный прикус (3-6 лет);
- смешанный прикус (6-12 лет);
- постоянный прикус (с 12 лет и старше).
Если в процессе роста костей происходит сбой на любом из этих этапов, это может привести к возникновению патологии, которая повлияет на прикус. Проявления могут быть различными, и стоматологи выделяют несколько типов аномальных прикусов в зависимости от характера нарушения:
- дистальный (прогенический) прикус;
- мезиальный (медиальный);
- перекрестный;
- открытый;
- глубокий;
- дистопический.
Если аномалия возникает из-за недостаточного или, наоборот, чрезмерного развития верхней челюсти, такой прикус называется прогеническим. В случае, когда нижняя челюсть развивается так, что нижние зубы перекрывают верхние, это будет мезиальный прикус. Упомянутые виды прикуса иногда называют обратными.
Открытым прикусом врачи обозначают ситуацию, когда зубы не смыкаются. Этот тип может быть передним или боковым. При переднем варианте пациенты могут сомкнуть только резцы, а при боковом — лишь передние зубы.
Нейтральный прикус может считаться аномальным, если одна из челюстей недоразвита. Такую аномалию называют перекрестным или ножницеобразным прикусом, так как зубы в этом случае пересекаются, напоминая ножницы.
Глубокий прикус возникает, когда верхние резцы значительно нависают над нижними, а дистопический формируется, когда зубы располагаются не на своих местах. Также существуют небольшие аномалии, которые незначительно влияют на жевательные функции или не нарушают их вовсе.
По статистике, патологии прикуса наблюдаются у 80% населения планеты, однако это не всегда создает проблемы для здоровья.
Неправильное расположение зубов и его причины
Патологии зубных рядов могут возникать в результате различных заболеваний, как наследственных, так и приобретенных, а также после травм челюсти, таких как открытые или закрытые переломы. Хронические заболевания, затрагивающие дыхание носом, также способны привести к изменению расположения зубов.
Наиболее часто такие патологии начинают формироваться в детском возрасте. Если ребенок по каким-либо причинам не может дышать носом, он вынужден дышать ртом, что приводит к его полуоткрытому состоянию. Это, в свою очередь, влияет на мягкие ткани, такие как губы, язык и щеки, которые могут изменить формирование челюстной системы, вызывая смещение зубного ряда.
По этой причине стоматологи не рекомендуют слишком долго использовать соски: это, как и длительное сосание пальца, может привести к возникновению открытой передней патологии.
Иногда проблемы могут начинаться еще в утробе матери, что происходит при наличии патологической беременности, внутриутробной инфекции, анемии или нарушениях обмена веществ. После рождения ребенка на формирование его прикуса могут влиять такие факторы, как:
- родовые травмы;
- сложности с прорезыванием зубов;
- искусственное вскармливание;
- несвоевременное удаление или позднее выпадение молочных зубов;
- недостаток необходимых микроэлементов, таких как кальций и фтор, в рационе.
К серьезным отклонениям, которые приводят к нарушению правильного расположения зубов, стоматологи относят случаи, когда функционирование всей системы челюстей и зубов оказывается под угрозой, например, когда зубы не смыкаются при открытой патологии или смыкаются с другими дефектами.
Опасность патологий прикуса для организма
Проблемы со здоровьем могут возникнуть из-за различных форм неправильного смыкания зубов. В большинстве случаев это приводит к заболеваниям органов пищеварения, так как людям сложно нормально пережевывать пищу, и они вынуждены глотать ее большими кусками. Особенно опасным является открытый прикус, при котором жевание становится практически невозможным, пока стоматолог не предложит корректировку прикуса.
Важно отметить, что такие нарушения могут также вызвать проблемы с зубами, на которые оказывается неравномерная нагрузка, что, в свою очередь, может привести к преждевременному развитию пародонтоза.
Неправильное расположение зубов может стать причиной заболеваний височных суставов, что может проявляться в виде головных болей, щелчков при открывании рта и дискомфорта в жевательных мышцах. В некоторых случаях могут повреждаться мягкие ткани, и на месте травм могут образовываться язвы.
Кроме того, проблемы со смыканием зубов являются и эстетической проблемой, так как они могут изменять лицевой профиль и приводить к искривлению зубов. Также фронтальный открытый прикус затрудняет речь, а прогенический прикус мешает нормальному дыханию.
Профилактические и лечебные мероприятия
Если учесть, что аномалии могут возникнуть еще в утробе матери, беременным женщинам следует уделять особое внимание продуктам, способствующим поддержанию оптимального уровня кальция в организме. Начиная с 20-й недели беременности, у плода начинается формирование зубов, что требует значительного количества минералов. После рождения малыша крайне важно обеспечить его полноценным питанием.
У новорожденных нижняя челюсть значительно меньше верхней, однако со временем эта разница сглаживается. Важно внимательно следить за развитием лицевых мышц ребенка и при обнаружении каких-либо отклонений незамедлительно обратиться за консультацией к специалисту.
https://youtube.com/watch?v=Z9KhjAsnlRg
Методы диагностики аномалий прикуса
Диагностика аномалий прикуса является важным этапом в стоматологии, так как правильное определение типа и степени нарушения позволяет выбрать наиболее эффективные методы лечения. Существует несколько методов, которые стоматологи используют для диагностики аномалий прикуса.
1. Визуальный осмотр
Первым шагом в диагностике является визуальный осмотр полости рта. Стоматолог оценивает положение зубов, их форму, размер и состояние. Важно обратить внимание на симметрию лица, так как аномалии прикуса могут влиять на внешний вид. Специалист также проверяет, как зубы смыкаются при закрытии рта, и выявляет возможные отклонения.
2. Ортопантомография
Ортопантомография — это рентгенологический метод, который позволяет получить панорамный снимок всей челюсти. Этот метод помогает выявить не только аномалии прикуса, но и другие стоматологические проблемы, такие как кариес, заболевания десен и наличие зубов, которые еще не прорезались. Ортопантомограмма дает возможность оценить взаимное расположение зубов и челюстей, а также выявить скрытые патологии.
3. Телерентгенография
Телерентгенография — это еще один рентгенологический метод, который используется для диагностики аномалий прикуса. Этот метод позволяет получить боковой снимок черепа, что помогает оценить положение зубов и челюстей в трехмерном пространстве. Телерентгенография особенно полезна для определения углов наклона зубов и их взаимного расположения, что является важным для планирования ортодонтического лечения.
4. Моделирование прикуса
Создание моделей челюстей — это еще один важный метод диагностики. Стоматолог может использовать специальные оттиски, чтобы создать гипсовые модели зубов пациента. Эти модели позволяют детально изучить прикус и выявить аномалии, которые могут быть не видны при визуальном осмотре. Модели также помогают в планировании ортодонтического лечения и оценке его эффективности.
5. Компьютерная томография
Компьютерная томография (КТ) является высокотехнологичным методом, который позволяет получить трехмерные изображения челюстей и зубов. Этот метод дает возможность детально изучить анатомию зубочелюстной системы, выявить аномалии и планировать сложные хирургические вмешательства. КТ особенно полезна при наличии сложных случаев аномалий прикуса, когда требуется высокая точность диагностики.
6. Оценка функциональных характеристик
Функциональная диагностика включает в себя оценку работы жевательных мышц, артикуляции и других функций, связанных с прикусом. Стоматолог может использовать специальные тесты и приборы для оценки мышечного тонуса и координации движений челюсти. Это позволяет выявить функциональные нарушения, которые могут быть связаны с аномалиями прикуса.
Таким образом, диагностика аномалий прикуса включает в себя комплексный подход, который сочетает визуальный осмотр, рентгенологические методы, моделирование и функциональную оценку. Это позволяет стоматологам точно определить тип аномалии и разработать индивидуальный план лечения для каждого пациента.
Влияние аномалий прикуса на общее здоровье
Аномалии прикуса могут оказывать значительное влияние не только на стоматологическое здоровье, но и на общее состояние организма. Неправильное положение зубов и челюстей может привести к различным проблемам, которые затрагивают не только ротовую полость, но и другие системы организма.
Одним из основных последствий аномалий прикуса является нарушение функции жевания. Неправильный прикус может затруднить пережевывание пищи, что, в свою очередь, может привести к проблемам с пищеварением. Неполное или неэффективное пережевывание пищи увеличивает нагрузку на желудок и кишечник, что может вызвать дискомфорт, изжогу и другие расстройства пищеварительной системы.
Кроме того, аномалии прикуса могут стать причиной неправильной осанки. Из-за неравномерного распределения нагрузки на челюсти и зубы, человек может начать компенсировать это, изменяя положение головы и шеи. Со временем это может привести к болям в спине, шее и головным болям, что негативно сказывается на общем самочувствии.
Не менее важным аспектом является влияние аномалий прикуса на речь. Неправильное расположение зубов может затруднить произношение определенных звуков, что может вызвать комплексы и снизить уверенность в себе. Это особенно актуально для детей, чья речь еще формируется, и которые могут столкнуться с насмешками со стороны сверстников.
Также стоит отметить, что аномалии прикуса могут способствовать развитию заболеваний десен и кариеса. Неправильное смыкание зубов затрудняет гигиену полости рта, что увеличивает риск накопления налета и бактерий. В результате этого могут возникнуть воспалительные процессы, такие как гингивит и пародонтит, которые могут привести к потере зубов и другим серьезным стоматологическим проблемам.
В заключение, аномалии прикуса представляют собой комплексную проблему, которая требует внимания не только со стороны стоматологов, но и других специалистов. Правильная диагностика и своевременное лечение аномалий прикуса могут значительно улучшить качество жизни пациента, способствуя не только здоровью зубов, но и общему физическому и психологическому состоянию.
Современные технологии в коррекции прикуса
Коррекция прикуса является важной частью стоматологической практики, и с развитием технологий появились новые методы, которые значительно улучшили результаты лечения и сделали его более комфортным для пациентов. В этой статье мы рассмотрим современные технологии, используемые для коррекции прикуса, их преимущества и недостатки.
1. Лингвальные брекеты
Лингвальные брекеты устанавливаются на внутренней стороне зубов, что делает их практически незаметными для окружающих. Они идеально подходят для взрослых пациентов, которые хотят исправить прикус, не привлекая внимания. Лингвальные брекеты могут быть индивидуально изготовлены для каждого пациента, что обеспечивает максимальную точность и эффективность лечения.
Преимущества:
- Эстетика: невидимость брекетов делает их популярными среди взрослых.
- Эффективность: способны исправлять сложные аномалии прикуса.
Недостатки:
- Комфорт: могут вызывать дискомфорт в первые недели после установки.
- Стоимость: обычно дороже традиционных брекетов.
2. Прозрачные элайнеры
Прозрачные элайнеры, такие как Invisalign, представляют собой набор съемных кап, которые постепенно перемещают зубы в нужное положение. Эти устройства практически незаметны и могут быть сняты во время еды и чистки зубов, что делает их удобными для пациентов.
Преимущества:
- Эстетика: прозрачные капы не заметны на зубах.
- Удобство: возможность снимать элайнеры позволяет поддерживать гигиену полости рта.
Недостатки:
- Ограничения: не все случаи аномалий прикуса можно исправить с помощью элайнеров.
- Дисциплина: для достижения результатов необходимо носить капы не менее 20-22 часов в сутки.
3. 3D-моделирование и CAD/CAM технологии
Современные стоматологические клиники все чаще используют 3D-моделирование и CAD/CAM технологии для планирования лечения и создания индивидуальных ортодонтических аппаратов. Эти технологии позволяют стоматологам точно визуализировать положение зубов и разрабатывать наиболее эффективные стратегии коррекции прикуса.
Преимущества:
- Точность: 3D-моделирование позволяет избежать ошибок при планировании лечения.
- Индивидуальный подход: аппараты изготавливаются с учетом анатомических особенностей пациента.
Недостатки:
- Стоимость: оборудование и программное обеспечение могут быть дорогими.
- Необходимость в обучении: стоматологи должны пройти обучение для работы с новыми технологиями.
4. Лазерная терапия
Лазерная терапия используется для уменьшения дискомфорта и ускорения процесса лечения при использовании брекетов. Лазеры могут помочь в коррекции мягких тканей, что делает процесс более комфортным для пациента.
Преимущества:
- Минимальная инвазивность: лазерная терапия менее травматична по сравнению с традиционными методами.
- Скорость: процедуры с использованием лазера могут быть выполнены быстрее.
Недостатки:
- Стоимость: лазерные процедуры могут быть дороже традиционных методов.
- Ограниченная доступность: не все стоматологические клиники имеют необходимое оборудование.
В заключение, современные технологии в коррекции прикуса предоставляют множество возможностей для достижения желаемых результатов. Выбор метода зависит от индивидуальных потребностей пациента, степени аномалии прикуса и финансовых возможностей. Консультация с квалифицированным ортодонтом поможет определить наилучший подход для каждого конкретного случая.




