Слюннокаменная болезнь — это образование камней в слюнных железах, вызывающее дискомфорт и боль. В статье рассмотрим основные симптомы, позволяющие заподозрить наличие камней, а также методы диагностики и лечения. Понимание причин возникновения болезни и возможных способов лечения, включая домашние методы, поможет читателям вовремя обратиться за медицинской помощью и избежать осложнений.
Почему возникают камни
В данной статье мы рассмотрим причины формирования камней, их симптомы и процесс лечения как в стационаре, так и в домашних условиях.
Сиалолитиаз – это заболевание, связанное с образованием «камней» в слюнных каналах, которые могут различаться по размеру и структуре.
Наименьшие образования можно увидеть только под микроскопом, тогда как более крупные могут достигать размеров куриного яйца.
У человека имеется три пары слюнных желез, расположенных под челюстью, под языком и в области мочки уха. Кроме этих крупных желез, существуют также мелкие (например, щечные и губные), которые также производят слюну.
К сожалению, медицина не может дать точного ответа на вопрос о причинах образования камней в протоках. Тем не менее, существуют определенные внешние и внутренние факторы, способствующие этому процессу:
- дисфункция слюнных желез и их повреждения;
- генетические или анатомические особенности челюсти (лицевой структуры), которые могут приводить к застою секрета в протоках, способствуя образованию осадка;
- недостаток витаминов (в частности, витаминов группы А);
- повышенная свертываемость крови;
- механические травмы (удары, ушибы, попадание инородных тел, вывихи или переломы челюсти, повреждения от разрушенных зубов, коронок или протезов) в области слюнных желез и их протоков;
- нарушения обмена веществ (например, обмен кальция);
- воспалительные процессы и гнойные инфекции в области желез (такие как абсцессы, кисты, гранулемы).
Таким образом, можно сделать вывод, что любое нарушение работы протоков приводит к застою секрета. В результате этого естественным образом происходит осаждение солей, которые образуют камни.
Каждое новое образование усугубляет ситуацию. Небольшие камни могут легко вымываться секретом в полость рта, тогда как крупные образуют «пробку» в канале, накапливая все больше солей на своей поверхности.
Слюннокаменная болезнь вызывает у врачей серьезные опасения, так как она может привести к значительным осложнениям. Основные симптомы, на которые обращают внимание специалисты, включают резкую боль в области челюсти, отек и воспаление слюнных желез, а также затрудненное глотание. Врачам важно отметить, что при появлении этих признаков необходимо незамедлительно обратиться за медицинской помощью.
Лечение заболевания зависит от стадии и тяжести состояния. Врачами часто применяется консервативный подход, включающий массаж слюнных желез, обильное питье и применение противовоспалительных препаратов. В более сложных случаях может потребоваться хирургическое вмешательство для удаления камней. Специалисты подчеркивают важность профилактики, включая регулярные осмотры у стоматолога и соблюдение гигиенических норм, что может значительно снизить риск развития данной патологии.
https://youtube.com/watch?v=aZq0mCQfpkU
Симптоматика заболевания
Лечение камней в слюнных железах зависит от проявлений заболевания, его стадии и размеров образований.
Основным признаком данной патологии является отечность лица в области шеи, ушей и челюсти. Это происходит из-за блокировки протоков и накопления жидкости в них. Человек может самостоятельно определить место, где находится камень, так как именно в этой зоне отек будет наиболее выраженным и напоминать болезненную шишку.
Пациент испытывает дискомфорт при открывании рта, что затрудняет прием пищи и общение, вызывая неприятные ощущения. Каждая мышца челюсти напрягается, чтобы выполнить привычные действия. Если камни становятся крупными, это может негативно сказаться на питании пациента, так как ему сложно размыкать челюсти.
Все эти процессы сопровождаются напряжением и болевыми ощущениями в ротовой полости, а также в области щек, ушей и челюстей.
В ротовой полости при сиалолитиазе наблюдается сильная сухость, и в некоторых местах могут появляться трещины, так как слюна практически не вырабатывается.
Напряжение в области лица и щек приводит к их покраснению, что может напоминать другие заболевания.
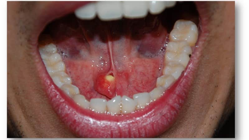
Если слюннокаменная болезнь (см. фото ниже) не будет своевременно лечиться на этих стадиях, существует риск развития инфекции и появления гнойных процессов в протоках. На фоне воспаления состояние пациента ухудшается, возникает повышенная температура, слабость. Больной теряет аппетит, испытывает проблемы со сном и периодически жалуется на головные боли. Если воспаление затрагивает околоушные протоки, мочки ушей могут оттопыриваться под необычным углом.
Воспалительный процесс также приводит к изменению состава секрета, в нем могут появляться примеси гноя и других патологических жидкостей. Пациент может заметить неприятный привкус и запах изо рта.
| Категория | Симптомы | Лечение |
|---|---|---|
| Общие симптомы | Боль в области пораженной слюнной железы (усиливается во время еды), отек железы, сухость во рту, неприятный привкус во рту, повышение температуры тела (при присоединении инфекции). | Консервативное (стимуляция слюноотделения, массаж, тепло), хирургическое (удаление камня или железы). |
| Симптомы в зависимости от локализации | Поднижнечелюстная железа: боль под челюстью, отек в подчелюстной области, затруднение глотания. | Околоушная железа: боль перед ухом, отек в околоушной области, затруднение открывания рта. |
| Осложнения | Острый сиалоаденит (воспаление слюнной железы), абсцесс (гнойное воспаление), флегмона (разлитое гнойное воспаление), свищи, рецидивы. | Антибиотики, дренирование абсцесса, хирургическое вмешательство. |
Диагностика сиалолитиаза
К сожалению, пациенты зачастую не сразу осознают, что болезненные ощущения и отечность в области ушей, челюсти или лица могут быть связаны с другими причинами, а не только с ЛОР-заболеваниями или стоматологическими проблемами. Некоторые из них даже начинают самостоятельно назначать себе лечение, откладывая визит к терапевту.
На приеме у опытного специалиста сразу же может быть назначено рентгенографическое исследование, которое поможет выявить наличие инородного тела в протоках. Врач также проводит тщательный опрос пациента, собирает анамнез и осматривает воспаленную область с помощью пальпации. В большинстве случаев специалист способен нащупать камень и сразу же поставить диагноз: сиалолитиаз.
Если рентген не подтвердил наличие инородных объектов в протоке, но пациент продолжает жаловаться на низкую выработку слюны и болезненные ощущения в области шеи или челюсти, может быть назначено рентгенографическое исследование протоков с использованием контрастного вещества. Врач вводит в канал железы препарат на основе йода, что позволяет получить детальное изображение строения протока и местоположения камня.
Еще одним современным методом для выявления камня в слюнной железе является ультразвуковое исследование. Оно позволяет точно определить размер образования и глубину его залегания.
В редких случаях может быть назначена компьютерная томография слюнных желез.
https://youtube.com/watch?v=NmqYYYU4Kks
Лечение сиалолитиаза с помощью классической медицины
После проведения диагностики и точного определения заболевания, врач устанавливает стадию болезни, размеры камня и выбирает наиболее подходящий и эффективный метод лечения.
Как правило, для терапии сиалолитиаза применяются как консервативные подходы (медикаментозная терапия), так и хирургические вмешательства (операции на слюнных железах). В некоторых ситуациях может потребоваться комбинированное использование этих методов.
Консервативное лечение включает в себя назначение антибактериальных и противовоспалительных препаратов (для приема внутрь). Для облегчения неприятных болей могут использоваться обезболивающие средства умеренной силы. Полоскания ротовой полости антисептическими и заживляющими растворами также широко применяются в медицинской практике, особенно при наличии гнойных процессов.
При определенных симптомах наличия камня в слюнной железе могут быть полезны физиотерапевтические процедуры: массажи, гирудотерапия, электрофорез, озонирование и другие.
К сожалению, если заболевание перешло в тяжелую стадию или стало хроническим, лечение требует хирургического вмешательства.
На этом этапе наиболее эффективным методом является удаление камней под инфильтрационной анестезией. Этот вид обезболивания предполагает введение слабого раствора новокаина (1%) в мягкие ткани ротовой полости. Дозировка может достигать 5 мл. Перед введением анестетика врач зондирует полость железы, чтобы достичь камня. С каждым движением инструмента доктор делает небольшие надрезы до тех пор, пока камень не станет хорошо виден. Затем хирург накладывает шов. Удаление образования осуществляется с помощью специальной ложки «кюретки», после чего шов снимается, и устанавливается дренаж из ткани или резины.
В тяжелых случаях сиалолитиаза врач может столкнуться с трудностями при удалении камня, особенно если он находится в подчелюстной железе. В таких ситуациях может быть назначена экстирпация железы, что подразумевает удаление части протока вместе с камнем.
Возможно ли удаление камней в домашних условиях
Врачи с осторожностью относятся к попыткам самостоятельно избавиться от образований в слюнных протоках, будь то методы «разбивания» камней снаружи или использование народных средств для их растворения.
Опыт пациентов показывает, что некоторые проявления слюнокаменной болезни могут быть облегчены народными средствами, хотя и не полностью.
Наиболее популярным и действенным способом является полоскание ротовой полости раствором соли и соды. Для этого нужно растворить по одной чайной ложке пищевой соды и экстра соли в 200 мл теплой воды. Для дополнительного антисептического эффекта можно добавить несколько капель йода. Полоскать рот таким раствором рекомендуется 3-4 раза в день. Для усиления результата можно прикладывать компрессы к области, где ощущается дискомфорт.
Народная практика свидетельствует о том, что «вымыть» мелкие камни можно с помощью травяных отваров, например, из шалфея, липы, коры дуба, ромашки, мяты или эвкалипта.
Некоторые пациенты отмечают положительное воздействие ароматерапии при лечении сиалолитиаза. Считается, что вдыхание паров эфирных масел таких растений, как мята, эвкалипт, хвоя и алоэ, может помочь очистить слюнные железы.
Даже если вы заметили улучшение состояния при использовании народных рецептов, обязательно проконсультируйтесь с врачом для подтверждения выздоровления. Иногда регулярные полоскания действительно способствуют удалению микроскопических камней.
Однако, если заболевание прогрессирует, а образ жизни остается прежним, вскоре могут появиться более крупные образования, которые потребуют срочного хирургического вмешательства.
Чтобы избежать осложнений или перехода болезни в хроническую форму, не откладывайте визит к терапевту или стоматологу.
https://youtube.com/watch?v=oHrOjTivSTo
Профилактика слюннокаменной болезни
Профилактика слюннокаменной болезни играет ключевую роль в поддержании здоровья слюнных желез и предотвращении образования камней. Основные меры профилактики включают в себя соблюдение правильного режима питья, регулярную гигиену полости рта и сбалансированное питание.
Во-первых, важно поддерживать достаточный уровень гидратации. Недостаток жидкости может привести к сгущению слюны, что способствует образованию камней. Рекомендуется употреблять не менее 1,5-2 литров воды в день, особенно в жаркую погоду или при физической активности.
Во-вторых, регулярная гигиена полости рта также является важным аспектом профилактики. Необходимо чистить зубы дважды в день, использовать зубную нить и ополаскиватели для рта, чтобы предотвратить накопление бактерий и остатков пищи, которые могут способствовать воспалению слюнных желез.
Сбалансированное питание также играет важную роль в профилактике. Избегайте избыточного потребления продуктов, богатых кальцием и оксалатами, таких как шпинат, свекла и орехи, так как они могут способствовать образованию камней. Вместо этого рекомендуется включать в рацион больше фруктов, овощей и продуктов, богатых клетчаткой, что поможет улучшить обмен веществ и нормализовать работу слюнных желез.
Кроме того, стоит избегать длительных периодов без еды, так как это может привести к снижению слюноотделения. Регулярные приемы пищи способствуют стимуляции слюнообразования и помогают предотвратить застой слюны в железах.
Также следует обратить внимание на здоровье зубов и десен. Заболевания полости рта могут привести к воспалению слюнных желез и увеличивают риск образования камней. Регулярные визиты к стоматологу помогут выявить и устранить проблемы на ранних стадиях.
Наконец, важно избегать стрессов и переутомления, так как они могут негативно сказаться на общем состоянии организма и, в частности, на работе слюнных желез. Практика релаксации, физическая активность и полноценный сон помогут поддерживать здоровье и предотвратить развитие слюннокаменной болезни.
Современные методы лечения и инновационные подходы
Лечение слюннокаменной болезни (слюнокаменной болезни) включает в себя как консервативные, так и хирургические методы, в зависимости от размера, расположения и состава камней, а также от выраженности симптомов. Современные подходы к лечению направлены на минимизацию инвазивности процедур и ускорение процесса выздоровления.
Консервативные методы лечения часто применяются на ранних стадиях заболевания или в случаях, когда камни небольшие и не вызывают серьезных осложнений. К таким методам относятся:
- Гидратация: Увеличение потребления жидкости помогает стимулировать слюноотделение и может способствовать естественному выведению мелких камней.
- Массаж слюнных желез: Легкий массаж области слюнных желез может помочь в продвижении камней и облегчении симптомов.
- Применение теплых компрессов: Тепло может помочь расслабить мышцы и улучшить кровообращение, что способствует уменьшению боли и дискомфорта.
- Медикаментозное лечение: В некоторых случаях могут быть назначены противовоспалительные препараты или антибиотики для предотвращения инфекций.
Если консервативные методы не приносят результата, или если камни большие и вызывают серьезные симптомы, может потребоваться хирургическое вмешательство. Современные хирургические методы включают:
- Эндоскопическая хирургия: Это минимально инвазивная процедура, при которой через рот вводится эндоскоп для удаления камней из слюнных желез. Этот метод позволяет избежать больших разрезов и сокращает время восстановления.
- Лазерная литотрипсия: Использование лазера для дробления камней на мелкие фрагменты, которые затем легче выводятся из организма. Этот метод также минимально инвазивен и позволяет сохранить целостность слюнных желез.
- Открытая хирургия: В редких случаях, когда другие методы неэффективны, может потребоваться открытая операция для удаления камней и, возможно, самой слюнной железы.
Кроме того, в последние годы наблюдается рост интереса к инновационным подходам в лечении слюннокаменной болезни. К ним относятся:
- Использование ультразвука: Ультразвуковая терапия может помочь в разрушении камней и облегчении их выведения.
- Нанотехнологии: Исследуются возможности применения наноматериалов для создания препаратов, способствующих растворению камней.
- Генетические исследования: Ученые работают над выявлением генетических предрасположенностей к образованию камней, что может привести к разработке профилактических мер.
Важно отметить, что выбор метода лечения должен основываться на индивидуальных особенностях пациента и рекомендациях врача. Регулярные обследования и консультации со специалистами помогут предотвратить рецидивы и сохранить здоровье слюнных желез.
Влияние питания на развитие слюннокаменной болезни
Питание играет ключевую роль в развитии слюннокаменной болезни, так как состав и качество потребляемой пищи могут существенно влиять на образование слюнных камней. Слюннокаменная болезнь, или салиолития, возникает в результате нарушения нормального оттока слюны и изменения ее химического состава, что может быть связано с различными факторами, включая диету.
Одним из основных факторов, способствующих образованию камней, является недостаток жидкости в организме. Дегидратация приводит к сгущению слюны, что увеличивает вероятность образования кристаллов и, в конечном итоге, камней. Поэтому важно поддерживать оптимальный уровень гидратации, особенно в жаркую погоду или при физической активности.
Кроме того, определенные продукты могут способствовать образованию слюнных камней. Например, высокое содержание кальция в пище может привести к образованию кальциевых камней. Это может быть связано с чрезмерным потреблением молочных продуктов, таких как молоко, сыр и йогурт. Также стоит отметить, что продукты, богатые оксалатами, такие как шпинат, свекла и шоколад, могут способствовать образованию оксалатных камней.
Сахар и углеводы также могут играть роль в развитии слюннокаменной болезни. Избыточное потребление сладких и углеводистых продуктов может привести к изменению микрофлоры полости рта и увеличению вязкости слюны, что создает благоприятные условия для образования камней. Поэтому рекомендуется ограничить потребление сладостей и обработанных углеводов.
Некоторые исследования также указывают на связь между диетами с низким содержанием клетчатки и повышенным риском развития слюннокаменной болезни. Клетчатка способствует нормализации обмена веществ и улучшению работы пищеварительной системы, что может снизить риск образования камней. Включение в рацион фруктов, овощей и цельнозерновых продуктов может помочь в профилактике данной патологии.
Важно отметить, что индивидуальные особенности организма также могут влиять на риск развития слюннокаменной болезни. У людей с предрасположенностью к образованию камней может быть полезно проконсультироваться с врачом или диетологом для составления индивидуального плана питания, который поможет минимизировать риск.
В заключение, правильное питание и поддержание водного баланса являются важными аспектами профилактики слюннокаменной болезни. Уделяя внимание своему рациону и образу жизни, можно значительно снизить риск развития этой неприятной патологии.




