Протезирование передних зубов — важная стоматологическая процедура для восстановления эстетики и функциональности зубного ряда. В статье рассмотрим ключевые аспекты протезирования: подготовку, установку протезов и примеры с фото до и после. Узнаете о показаниях и противопоказаниях, а также о различных видах коронок, что поможет сделать осознанный выбор и вернуть уверенность в улыбке.
Описание процедуры
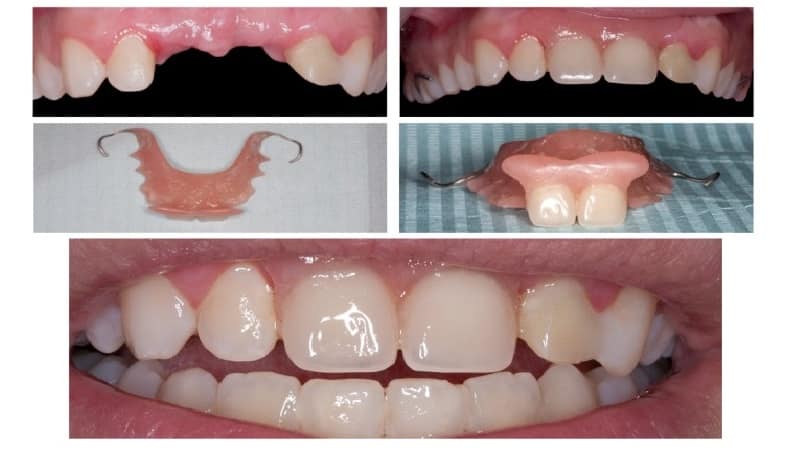
Если восстановление передних зубов невозможно с использованием пломб или виниров, современные стоматологические клиники предлагают пациентам различные варианты коронок, которые отличаются высоким уровнем эстетики и функциональности. В случаях, когда отсутствуют два или более зуба, применяются мостовые протезы.
Стоматологи при протезировании стремятся решить ключевые задачи, такие как:
- восстановление жевательных функций;
- восстановление эстетической привлекательности.
Особое внимание уделяется передним зубам, которые являются своеобразной визитной карточкой человека. Часто процедуры проводятся для улучшения внешнего вида, исправления дефектов, изменения цвета и формы. Для достижения эстетической привлекательности специалисты учитывают такие параметры, как прозрачность, светоотражающие свойства и форма зубов. Важным аспектом при проведении процедур является предотвращение возникновения заболеваний в будущем.
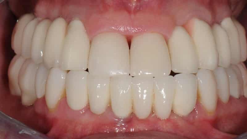
На сегодняшний день популярными протезными конструкциями являются металлокерамические и безметалловые коронки, виниры и имплантаты. Разнообразие этих протезов можно увидеть на фотографиях (выше) до и после протезирования передних зубов.
Врачи-стоматологи отмечают, что протезирование передних зубов является важной процедурой, способствующей восстановлению не только функциональности, но и эстетики улыбки пациента. По мнению специалистов, современные технологии и материалы позволяют добиться высококачественных результатов, которые выглядят естественно и долговечно. Врачи подчеркивают, что выбор метода протезирования зависит от индивидуальных особенностей пациента, таких как состояние зубов и десен, а также его пожеланий. Важно, чтобы процедура проводилась квалифицированным специалистом, что минимизирует риски и обеспечивает комфорт во время и после лечения. Своевременное обращение к стоматологу и правильный уход за протезами играют ключевую роль в успешности результата.
https://youtube.com/watch?v=HH-9xjrIUyA
Коронки из металлокерамики на передние зубы
Металлокерамическая коронка, предназначенная для установки на передние зубы, является одним из типов зубных протезов.
Это изделие по своему внешнему виду полностью имитирует натуральные передние зубы.
Коронки изготавливаются из комбинации металла и керамики. Металлический каркас обеспечивает надежность и долговечность, а керамическая оболочка придает изделию привлекательный и эстетичный вид. Для наглядности можно ознакомиться с фотографией (выше), демонстрирующей протезирование передних верхних зубов.
| Метод протезирования | Преимущества | Недостатки |
|---|---|---|
| Виниры | Эстетичный вид, минимальная обточка зуба, долговечность | Высокая стоимость, необратимость процедуры, не подходят при сильном разрушении зуба |
| Коронки | Восстановление сильно разрушенных зубов, прочность, долговечность | Требуется значительная обточка зуба, высокая стоимость, возможна аллергия на материалы |
| Мостовидные протезы | Замещение нескольких отсутствующих зубов, восстановление жевательной функции | Требуется обточка соседних зубов, не предотвращает атрофию костной ткани, ограниченный срок службы |
| Имплантация | Полное восстановление зуба, предотвращение атрофии костной ткани, долговечность | Высокая стоимость, длительный процесс лечения, наличие противопоказаний |
| Съемные протезы | Доступная стоимость, возможность снятия для ухода, подходят при отсутствии большого количества зубов | Неудобство при ношении, необходимость адаптации, возможны проблемы с дикцией |
Показания
Давайте подробнее рассмотрим показания для протезирования передних нижних зубов.
Передние зубы, которые восстанавливаются с помощью коронок или протезов, имеют следующие показания:
- наличие сколов, трещин и других повреждений;
- кариес, требующий реставрации;
- заметная стертость эмали;
- отсутствие одной или нескольких зубных единиц;
- проблемы, возникшие из-за неправильного протезирования или неправильного прикуса;
- необходимость улучшения эстетических характеристик.
Коронки из металлокерамики и керамики имеют определенные требования к использованию. Прежде всего, это касается прочности и эстетики, что особенно важно для жевательных и передних зубов. Например, протезирование нижних зубов с использованием металлокерамики в одном мосту позволяет восстановить несколько зубов одновременно, что не всегда возможно с другими типами протезов. Желтые или металлические коронки, которые не учитывают эстетические предпочтения пациента, практически не используются и считаются устаревшими методами.
Если отсутствуют жевательные зубы, предпочтительнее устанавливать коронки из металлокерамики. Одиночные конструкции можно применять в случаях, когда корень зуба сохранен или используется имплантат. Если корень зуба сохранен, его необходимо пролечить, а затем частично восстановить коронковую часть и зафиксировать коронку. Коронковая часть может быть восстановлена с помощью штифта, который требует обточки культи для надежного крепления коронки, или с использованием культевой вкладки. Штифты и вкладки изготавливаются из металла.
Важно отметить, что протезирование на имплантатах исключает необходимость препарирования соседних зубов.
Протезирование с использованием имплантатов с последующей фиксацией коронки является выгодным решением. Также успешно проводится восстановление зубов с помощью мостовидного протезирования.
https://youtube.com/watch?v=Mlt9spVYVgo
Противопоказания
Противопоказания для протезирования передних зубов в большей степени касаются металлокерамических конструкций из-за наличия в них металла. Безметалловое протезирование практически не имеет ограничений. У некоторых пациентов может возникать аллергическая реакция на металлическую основу, однако чаще всего такие конструкции изготавливаются из сплавов, которые не подвержены окислению, не ржавеют и считаются биологически инертными.
В случае появления аллергии рекомендуется использовать протезы, содержащие цирконий или золото.
После установки протезов могут возникнуть следующие проблемы:
- появление синюшности в области десен, которая может проявиться как сразу после установки, так и спустя некоторое время, что связано с основой конструкции;
- металлокерамические протезы в одиночной установке могут отличаться от естественных зубов, однако в мостовидных протезах такая проблема отсутствует.
Преимущества металлокерамических и безметалловых коронок
Современные технологии позволяют создавать протезы для передних зубов как верхнего, так и нижнего ряда, которые практически не отличаются от естественных. К основным достоинствам таких протезов можно отнести:
- использование материалов, обеспечивающих отличные эстетические характеристики;
- высокая прочность и долговечность;
- способность выдерживать значительные нагрузки;
- отсутствие повреждений;
- доступная цена, что делает их доступными для многих пациентов;
- длительное сохранение блеска;
- стойкость к воздействию пищи;
- отсутствие износа во время еды;
- легкость в уходе.
При соблюдении правил гигиены срок службы коронок может превышать пятнадцать лет. Протезирование двух отсутствующих передних зубов осуществляется с применением металлокерамики, даже если имеются небольшие дефекты. Для достижения высокого функционального и эстетического результата используется бюгельный протез в области моляров и премоляров. Однако стоит учитывать и некоторые недостатки при установке металлокерамических коронок, такие как значительное сошлифовывание твердой ткани до 2 мм с каждой стороны. В некоторых случаях также требуется депульпирование зубов.
Неправильное выполнение процедуры может повредить пульпу, что в дальнейшем может привести к воспалительным процессам и необходимости повторного лечения с новым протезированием.
Безметалловые коронки, изготовленные из высокопрочной керамики, считаются одним из лучших вариантов протезирования для передних зубов. Они обладают отличными эстетическими свойствами, не скалываются и не теряют цвет со временем, легко подбираются по оттенку и имеют длительный срок службы. Однако их стоимость в два-три раза выше, чем у металлокерамических конструкций.
Подготовка
Сначала проводится обследование ротовой полости пациентов с использованием рентгеновских снимков. При необходимости после этого осуществляется лечение.
Проверяется качество установки пломб: если они находятся в плохом состоянии, каналы очищаются, и выполняется повторное пломбирование.
Далее выполняется депульпация, которая является обязательной процедурой перед протезированием. В поврежденный зуб устанавливается штифт или культевая вкладка.
Установка
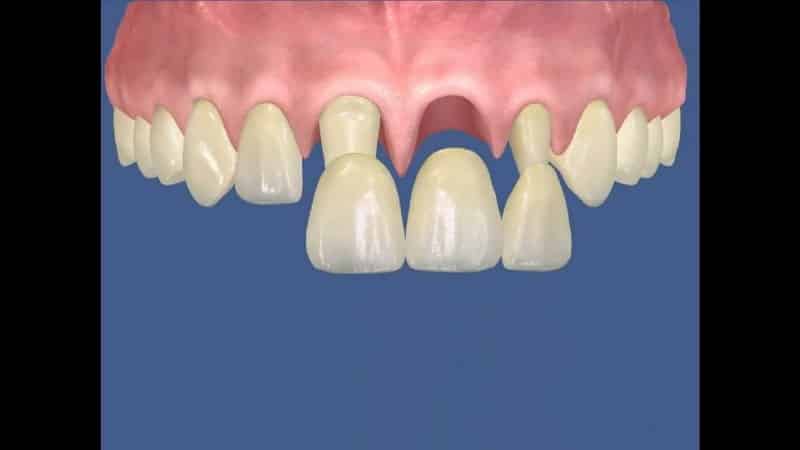
Установка коронки включает в себя обточку зуба с созданием уступа для надежной опоры.
Затем с челюсти снимается слепок, который отправляется в лабораторию для изготовления коронки или мостовидного протеза. На время производства этих конструкций пациентам устанавливаются временные протезы, чтобы защитить открытые ткани и восстановить внешний вид. Когда коронка готова, проводится ее примерка без покрытия, чтобы внести необходимые изменения, скорректировать форму и подобрать цвет. После этого конструкцию покрывают глазурью. Финальным этапом является фиксация коронки на зуб с помощью стоматологического цемента.
Рекомендации стоматологов
Современные достижения в области стоматологии предоставляют пациентам возможность заменить как одну зубную единицу, так и целые ряды зубов, восстанавливая их эстетические и функциональные характеристики без ущерба для соседних зубов.
Пациенты, которые выбрали конструкции из металлокерамики или керамики, могут долго наслаждаться комфортом и привлекательным внешним видом своих зубов.
Эксперты в области стоматологии рекомендуют для восстановления передних зубов использовать два типа коронок: металлокерамические и безметалловые. Однако ключевым моментом является выбор квалифицированного стоматолога и клиники, оснащенной современным оборудованием и высококачественными материалами.
https://youtube.com/watch?v=AWsekjW2wR4
Уход за протезами
Уход за протезами передних зубов является важной частью поддержания их функциональности и эстетического вида. Правильный уход не только продлевает срок службы протезов, но и способствует сохранению здоровья полости рта.
Первым шагом в уходе за протезами является регулярная гигиена. Протезы необходимо очищать дважды в день, используя специальные щетки и средства для ухода за зубными протезами. Обычные зубные пасты могут быть слишком абразивными и повредить поверхность протеза, поэтому рекомендуется использовать пасты, предназначенные именно для этой цели. Чистка должна проводиться аккуратно, чтобы не повредить как сам протез, так и десны.
Кроме того, важно помнить о необходимости удаления протезов на ночь. Это позволяет деснам отдохнуть и предотвращает развитие заболеваний, таких как гингивит. В ночное время протезы можно помещать в специальный раствор для дезинфекции, что поможет избежать накопления бактерий и неприятных запахов.
Также следует обращать внимание на состояние десен и окружающих тканей. Если вы заметили покраснение, отек или болезненность, необходимо обратиться к стоматологу. Эти симптомы могут указывать на наличие воспалительного процесса, который требует своевременного лечения.
Важно помнить, что протезы могут быть чувствительными к температурным изменениям. Поэтому рекомендуется избегать употребления слишком горячей или холодной пищи и напитков, чтобы не повредить материал протеза и не вызвать дискомфорт.
Наконец, регулярные визиты к стоматологу для проверки состояния протезов и здоровья полости рта являются неотъемлемой частью ухода. Специалист сможет оценить состояние протезов, провести профессиональную чистку и при необходимости внести коррективы.
Таким образом, соблюдение простых правил ухода за протезами передних зубов поможет сохранить их в хорошем состоянии и обеспечит комфортное использование на протяжении долгого времени.
Сравнение материалов для протезирования
При выборе материала для протезирования передних зубов важно учитывать несколько факторов, таких как эстетика, прочность, биосовместимость и стоимость. На сегодняшний день существует несколько основных типов материалов, которые используются в стоматологии для создания протезов: металлы, керамика, композиты и акриловые смолы.
Металлы (например, золото, платина, нержавеющая сталь) обладают высокой прочностью и долговечностью. Они часто используются в качестве основы для коронок или мостов. Однако, несмотря на свои прочностные характеристики, металлические протезы могут быть менее эстетичными, особенно в области передних зубов, где видимость играет ключевую роль. Кроме того, некоторые пациенты могут иметь аллергию на определенные металлы, что также следует учитывать при выборе материала.
Керамика является одним из самых популярных материалов для протезирования передних зубов благодаря своей высокой эстетике. Керамические коронки и виниры могут имитировать естественный цвет и текстуру зубов, что делает их практически незаметными. Керамика также обладает хорошей прочностью, но в сравнении с металлом может быть более хрупкой. Важно отметить, что керамические протезы могут быть более дорогими, чем металлические, но их эстетические качества часто оправдывают затраты.
Композитные материалы представляют собой смесь смол и наполнителей, которые обеспечивают хорошую прочность и эстетические свойства. Они часто используются для создания виниров и пломб. Композиты могут быть менее долговечными, чем керамика, и со временем могут терять свои эстетические качества, однако они более доступны по цене и могут быть легко отремонтированы.
Акриловые смолы обычно используются для временных протезов или в качестве основы для съемных протезов. Они легкие и относительно недорогие, но не обладают такой прочностью и долговечностью, как другие материалы. Акрил может быть менее эстетичным, чем керамика или композит, и со временем может изменять цвет.
При выборе материала для протезирования передних зубов важно учитывать индивидуальные потребности пациента, включая его бюджет, предпочтения по эстетике и состояние здоровья зубов. Консультация с опытным стоматологом поможет определить наилучший вариант, учитывая все вышеперечисленные факторы.
Стоимость и сроки протезирования
Первоначально, стоимость протезирования может зависеть от выбранного метода. Существует несколько основных вариантов протезирования передних зубов:
- Коронки — это наиболее распространенный метод, который применяется для восстановления формы и функции зуба. Коронки могут быть изготовлены из различных материалов, таких как металл, керамика или композитные материалы. Стоимость коронки может колебаться от 5,000 до 30,000 рублей за единицу в зависимости от материала и сложности работы.
- Мосты — используются для замещения одного или нескольких отсутствующих зубов. Мосты также могут быть выполнены из различных материалов, и их стоимость может варьироваться от 15,000 до 50,000 рублей за единицу.
- Виниры — это тонкие керамические накладки, которые накладываются на переднюю поверхность зубов для улучшения их внешнего вида. Стоимость виниров может составлять от 10,000 до 25,000 рублей за единицу.
- Импланты — это более сложный и дорогостоящий вариант, который включает в себя хирургическую установку искусственного корня зуба. Стоимость имплантации может варьироваться от 30,000 до 100,000 рублей за зуб, включая стоимость самого импланта и протеза.
Кроме того, на общую стоимость протезирования могут влиять дополнительные процедуры, такие как лечение кариеса, удаление зубов, подготовка зубов к протезированию и другие манипуляции. Эти услуги могут добавить к общей стоимости от 1,000 до 10,000 рублей в зависимости от сложности и объема работ.
Что касается сроков протезирования, то они также зависят от выбранного метода и состояния зубов пациента. В среднем, процесс протезирования может занять от нескольких дней до нескольких недель. Например, установка коронки может занять от 1 до 2 недель, включая подготовку зуба, снятие слепков и изготовление самой коронки. Мосты могут потребовать аналогичного времени, в то время как имплантация может занять несколько месяцев, так как необходимо время для заживления и интеграции импланта в костную ткань.
Важно отметить, что сроки и стоимость могут варьироваться в зависимости от клиники и квалификации стоматолога. Рекомендуется заранее проконсультироваться с врачом и получить подробную смету на все необходимые процедуры, чтобы избежать неожиданных расходов и задержек в процессе лечения.




