Металлокерамические коронки на передние зубы — популярное решение для восстановления эстетики и функциональности улыбки. В статье представлены фото до и после установки коронок, что позволяет оценить результаты процедуры. Обсудим показания и противопоказания к установке металлокерамики, а также подготовку и этапы установки коронки. Эта информация поможет тем, кто планирует восстановление зубов и хочет понять, чего ожидать от процедуры.
Металлокерамика на передние зубы –виды
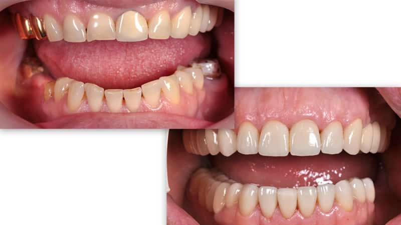
Металлокерамические коронки широко используются в несъемных протезах. Их каркас изготавливается из различных металлов, а затем на него слоями наносится керамика, после чего происходит обжиг. Разнообразие таких коронок можно увидеть на фотографиях до и после установки на передние зубы.
Эти коронки отличаются высокой эстетикой, прочностью и доступной ценой, что стало возможным благодаря современным технологиям. Они идеально подходят для восстановления жевательных зубов, несмотря на значительные нагрузки и износ. Популярность металлокерамических коронок позволяет специалистам проводить эксперименты и внедрять новшества, что способствует более комфортному использованию.
На сегодняшний день выделяют два типа металлокерамических коронок: с использованием неблагородных и драгоценных металлов. Коронки с неблагородными металлами имеют более низкую стоимость и простоту в производстве. Их металлический каркас может быть выполнен из хрома, кобальта, никеля или их сплавов. Наиболее прочными считаются коронки из хрома и кобальта.
Сплавы с высокой твердостью обеспечивают долговечность и надежность коронки. При правильном изготовлении срок службы может превышать десять лет.
Однако у металлокерамических коронок есть и недостатки, такие как низкая биологическая совместимость у некоторых пациентов, возможные аллергические реакции. Со временем могут возникать отеки, гиперемия пародонта, болевые ощущения и дискомфорт. Искусственные конструкции могут вызывать потемнение десен из-за окислительных процессов. Керамические коронки с драгоценными металлами, особенно с золотом, пользуются наибольшей популярностью. Они обладают антисептическими свойствами, предотвращающими воспаления в мягких тканях, и не вызывают аллергии. Золото, благодаря своей пластичности, хорошо выдерживает нагрузки, а легкое желтоватое просвечивание через искусственный слой эмали придает зубам натуральный вид. Однако прочность золота ниже, чем у неблагородных металлов, поэтому срок службы таких коронок обычно не превышает пяти лет. К тому же, высокая стоимость золота является значительным недостатком.
Фотографии до и после установки металлокерамических коронок на передние зубы наглядно иллюстрируют различия между конструкциями с драгоценными и неблагородными металлами.
Врачи-стоматологи отмечают, что металлокерамика на передние зубы является одним из самых популярных решений для восстановления эстетики улыбки. По их мнению, этот материал сочетает в себе прочность металла и естественный вид керамики, что делает его идеальным для видимых участков. Специалисты подчеркивают, что правильная установка и тщательная подготовка зуба перед процедурой играют ключевую роль в конечном результате.
Медики также акцентируют внимание на том, что фотографии «до» и «после» установки металлокерамических коронок на передние зубы часто демонстрируют значительное улучшение внешнего вида пациента. Однако они предупреждают, что для достижения долговечного результата необходимо соблюдать рекомендации по уходу и регулярные визиты к стоматологу. В целом, врачи уверены, что металлокерамика может стать отличным выбором для тех, кто стремится к красивой и здоровой улыбке.
https://youtube.com/watch?v=tpB1j7vCsrI
Подготовка и установка
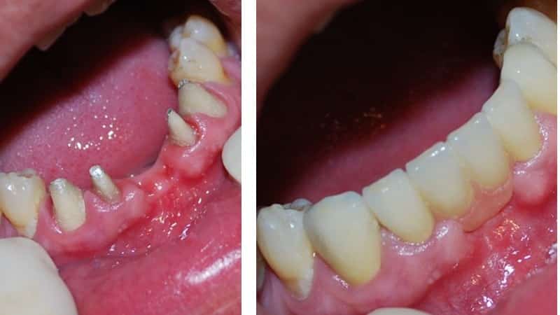
Для начала процесса протезирования необходимо провести рентгенологическое обследование, чтобы исключить наличие воспалительных процессов и обеспечить качественную установку пломб в зубных каналах. В случае выявления каких-либо дефектов осуществляется лечение, включающее очищение каналов и их заполнение пломбировочным материалом. Депульпирование является обязательной процедурой для передних зубов, тогда как для задних это не столь критично из-за их многокорневой структуры. Затем стоматолог выполняет лечение зубов, заменяя старые пломбы на новые, а при значительном разрушении зуба устанавливаются штифты для дальнейшего наращивания. Также проводятся различные лечебные и профилактические процедуры, включая обтачивание зубов. После этого протезист делает слепок, который отправляется в лабораторию.
Во время создания металлокерамической индивидуальной коронки пациенту устанавливаются временные пластиковые конструкции, которые защищают обнаженные ткани и обеспечивают эстетичный внешний вид.
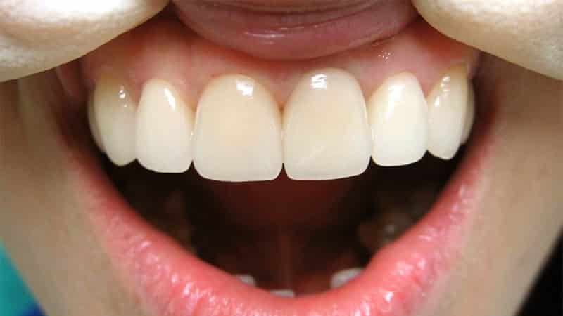
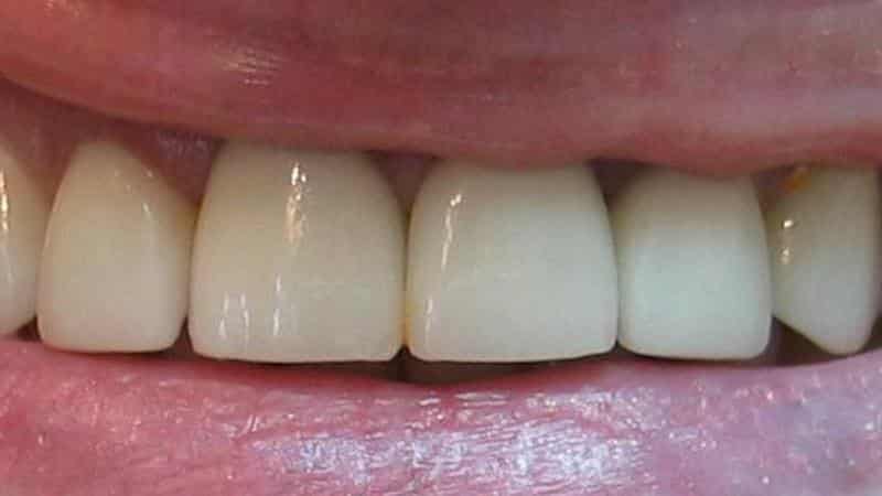
Цвет коронок подбирается так, чтобы максимально соответствовать естественным зубам. Конструкция примеряется без глазури, что позволяет внести необходимые коррективы в форму и цвет, после чего проводится глазирование. Готовое изделие фиксируется с помощью специальных клеящих составов.
| Параметр | До установки металлокерамики | После установки металлокерамики |
|---|---|---|
| Внешний вид зубов | Сколы, трещины, изменение цвета, старые пломбы, неровности, промежутки | Естественный цвет, правильная форма, ровный зубной ряд, отсутствие дефектов |
| Функциональность | Затруднения при жевании, чувствительность, дискомфорт | Восстановление жевательной функции, комфорт, отсутствие чувствительности |
| Эстетика улыбки | Неудовлетворительный внешний вид, стеснение при улыбке | Привлекательная, естественная улыбка, уверенность в себе |
| Состояние десен | Воспаление, кровоточивость (при наличии проблем с зубами) | Здоровые десны, отсутствие воспаления |
| Ощущения пациента | Дискомфорт, боль (при наличии проблем), неудовлетворенность | Комфорт, отсутствие боли, удовлетворенность результатом |
Протезирование передних зубов металлокерамикой
Когда пациент теряет передние зубы, специалист осознает всю серьезность ситуации. Передние зубы играют ключевую роль в формировании первого впечатления о человеке, и привлекательная улыбка может оказать значительное влияние на различные аспекты жизни. Для тех, кто столкнулся с проблемой отсутствия или серьезного повреждения передних зубов, вопрос протезирования металлокерамикой становится особенно актуальным.
Фотографии до и после установки металлокерамических коронок на передние зубы наглядно иллюстрируют, как правильно и эстетично выполнить эту процедуру. Важно, чтобы протезирование восстановило не только функции зубов, но и их форму, цвет, а также эстетику десен.
Металлокерамические коронки прекрасно имитируют натуральный оттенок зубной ткани и структуру зуба.
Для протезирования в области улыбки используются керамические коронки цельной формы или на каркасах, изготовленных из таких материалов, как диоксид циркония или оксид. Это обусловлено тем, что неблагородные металлы могут просвечивать через керамическое покрытие, что негативно сказывается на эстетическом восприятии. Протезирование металлокерамикой на два отсутствующих передних зуба является распространенной практикой благодаря своей доступной стоимости и привлекательному внешнему виду. Однако перед началом процедуры необходимо значительно обрабатывать зубные ткани, проводить депульпацию, пломбирование и удаление нерва.
https://youtube.com/watch?v=Xl-uPV3uZyU
Показания
Среди пациентов существует мнение, что металлокерамические коронки являются универсальным решением и могут быть применены в любых случаях. Однако такие заблуждения могут привести к нежелательным последствиям, поэтому важно обсудить возможность их установки с вашим лечащим врачом. К основным показаниям для применения коронок относятся:
- значительные повреждения передних зубов;
- кариозные и некариозные поражения;
- заболевания эмали и дентита (как врожденные, так и приобретенные);
- повышенное стирание твердых тканей;
- аллергия на пластмассовые материалы в несъемных протезах.
Одним из ключевых условий для установки коронок является достаточная толщина зубных стенок, соответствующая определенным показаниям. Высокая степень стираемости может быстро привести к потере нескольких зубов. В таких случаях необходимо незамедлительно принять меры, и оптимальным решением станет использование металлокерамических коронок. Также важно учитывать, что коронки изготавливаются в определенной форме, что помогает избежать повреждения пульпы и предотвращает необходимость вскрытия полости зуба в будущем.
Противопоказания
Установка металлокерамических коронок обладает множеством преимуществ и показаний, однако существуют и противопоказания, которые важно учитывать пациентам. К абсолютным противопоказаниям относятся следующие случаи:
- зубы с тонкими стенками или плоской формой, а также мелкие коронки опорных зубов;
- протезирование не проводится на зубах с живой пульпой у детей и подростков;
- наличие значительных дефектов (отсутствие трех и более зубов);
- тяжелая форма пародонтита.
Относительные противопоказания, которые могут быть устранены со временем или частично, включают:
- небольшие коронки и наличие живой пульпы в резцах нижней челюсти;
- аномалии прикуса;
- повышенная стираемость твердых тканей зубов;
В ходе осмотра специалисты могут выявить и другие противопоказания, которые могут помешать проведению протезирования.
Преимущества
К преимуществам металлокерамических коронок можно отнести их выдающуюся эстетику, которая обеспечивает высокий уровень схожести с естественными зубами. Идеальное прилегание коронки к деснам предотвращает попадание пищи, что значительно уменьшает вероятность возникновения кариеса под коронкой. Высокая функциональность изделия обеспечивает отличное пережевывание пищи, что также является одним из ключевых достоинств. Металлокерамические конструкции отличаются долговечностью по сравнению с другими современными протезами.
Использование драгоценных металлов гарантирует длительный срок службы, который может превышать пятнадцать лет. При этом коронки, содержащие недорогие металлы, также могут служить не менее двенадцати лет. Металлокерамика считается гигиеничной, так как на ней микробы оседают менее активно, чем на металлических или зубных тканях. Эти коронки идеально подходят в случаях, когда другие методы коррекции зубных форм оказываются неэффективными.
https://youtube.com/watch?v=JmJXPpQ45Ys
Уход за металлокерамическими зубами
Уход за металлокерамическими зубами является важным аспектом, который влияет на их долговечность и эстетический вид. Металлокерамика сочетает в себе прочность металла и естественный вид керамики, что делает её популярным выбором для реставрации передних зубов. Однако, чтобы сохранить их в идеальном состоянии, необходимо соблюдать определённые правила ухода.
Первое, на что стоит обратить внимание, это регулярная гигиена полости рта. Чистить зубы следует дважды в день с использованием зубной пасты, содержащей фтор. Рекомендуется использовать мягкую зубную щётку, чтобы избежать повреждения поверхности металлокерамических коронок. Также важно не забывать о зубной нити и ополаскивателях для рта, которые помогут удалить остатки пищи и налёт из труднодоступных мест.
Второй аспект ухода — это регулярные визиты к стоматологу. Специалист сможет оценить состояние металлокерамических зубов, провести профессиональную чистку и при необходимости выполнить коррекцию. Рекомендуется посещать стоматолога не реже двух раз в год.
Третий момент — это избегание чрезмерных нагрузок на зубы. Металлокерамика, хотя и прочная, может быть подвержена повреждениям при чрезмерном жевании твердых продуктов, таких как орехи или льд. Также стоит избегать использования зубов в качестве инструмента, например, для открытия упаковок.
Кроме того, следует обратить внимание на питание. Избегайте чрезмерного употребления красящих продуктов и напитков, таких как кофе, чай и красное вино, которые могут привести к изменению цвета керамической части коронки. Если вы всё же употребляете такие продукты, рекомендуется полоскать рот водой после еды.
Наконец, важно помнить о том, что металлокерамические зубы могут быть чувствительными к температурным изменениям. Поэтому старайтесь не употреблять слишком горячие или холодные напитки и пищу, чтобы избежать дискомфорта.
Соблюдение этих простых рекомендаций поможет сохранить металлокерамические зубы в идеальном состоянии, обеспечивая их долговечность и привлекательный внешний вид на протяжении многих лет.
Сравнение с другими материалами для протезирования
Металлокерамика является одним из самых популярных материалов для протезирования передних зубов благодаря своим эстетическим и функциональным характеристикам. Однако, для выбора оптимального варианта протезирования важно сравнить металлокерамику с другими материалами, такими как композитные и керамические коронки, а также полимерные конструкции.
Эстетика: Металлокерамические коронки обладают высокой эстетикой, что делает их идеальными для передних зубов. Они имеют естественный цвет и прозрачность, что позволяет им гармонично вписываться в зубной ряд. В отличие от металлокерамики, композитные коронки могут со временем терять свою цветовую насыщенность и блеск, что может негативно сказаться на внешнем виде. Керамические коронки, хотя и обладают отличной эстетикой, могут быть более хрупкими и менее устойчивыми к механическим повреждениям.
Прочность: Металлокерамика сочетает в себе прочность металла и эстетические свойства керамики. Это делает ее более устойчивой к нагрузкам и износу по сравнению с композитными коронками, которые могут быть менее прочными и подвержены сколам. Керамические коронки, хотя и прочные, могут быть более подвержены трещинам при сильных механических воздействиях.
Долговечность: Металлокерамические конструкции имеют длительный срок службы, который может достигать 10-15 лет при правильном уходе. Композитные коронки, как правило, требуют более частой замены, так как они могут изнашиваться и терять свои свойства быстрее. Керамические коронки также могут служить долго, но их хрупкость может привести к необходимости замены в случае повреждения.
Стоимость: Металлокерамика, как правило, находится в среднем ценовом сегменте. Она дешевле, чем полностью керамические коронки, но дороже, чем композитные. Это делает ее доступным вариантом для многих пациентов, которые ищут баланс между ценой и качеством. Композитные коронки могут быть более экономичным вариантом, но их долговечность и эстетика могут не соответствовать ожиданиям.
Устойчивость к окрашиванию: Металлокерамика менее подвержена окрашиванию по сравнению с композитными коронками, которые могут впитывать пигменты от пищи и напитков. Керамические коронки также имеют высокую устойчивость к окрашиванию, но их стоимость и хрупкость могут быть недостатками для некоторых пациентов.
В заключение, выбор между металлокерамикой и другими материалами для протезирования передних зубов зависит от индивидуальных потребностей пациента, его бюджета и предпочтений. Металлокерамика предлагает оптимальный баланс между эстетикой, прочностью и долговечностью, что делает ее одним из лучших вариантов для восстановления передних зубов.
Отзывы пациентов и стоматологов
Металлокерамика на передние зубы является одним из самых популярных решений в стоматологии для восстановления эстетики улыбки. Отзывы пациентов и стоматологов о данном материале часто подчеркивают его преимущества и недостатки, что позволяет потенциальным клиентам сделать осознанный выбор.
Пациенты, которые прошли процедуру установки металлокерамических коронок, отмечают значительное улучшение внешнего вида своих зубов. Многие из них подчеркивают, что коронки выглядят очень естественно и гармонично вписываются в общий контур улыбки. Важным аспектом является то, что металлокерамика позволяет добиться высокой степени прозрачности, что делает зубы более реалистичными. Кроме того, пациенты часто упоминают о том, что коронки не вызывают дискомфорта и хорошо переносятся в процессе эксплуатации.
Стоматологи, в свою очередь, отмечают, что металлокерамика обладает хорошими механическими свойствами, что делает её надежным материалом для восстановления передних зубов. Они подчеркивают, что коронки из металлокерамики имеют высокую прочность и устойчивость к износу, что позволяет им служить долго. Однако стоматологи также предупреждают о необходимости соблюдения правил гигиены, так как накопление налета и зубного камня может негативно сказаться на состоянии десен и окружающих зубов.
Некоторые пациенты выражают недовольство по поводу возможного потемнения металлокерамических коронок со временем, что может быть связано с качеством используемых материалов или неправильным уходом. Стоматологи рекомендуют регулярно посещать стоматолога для профессиональной чистки и контроля состояния коронок, что поможет избежать подобных проблем.
В целом, отзывы о металлокерамике на передние зубы в большинстве своем положительные. Пациенты ценят эстетику и долговечность, а стоматологи отмечают надежность и функциональность данного материала. Тем не менее, важно помнить, что каждый случай индивидуален, и перед принятием решения о установке коронок стоит проконсультироваться со специалистом, который сможет оценить состояние зубов и предложить оптимальное решение.



