Гингивит — воспаление десен, часто встречающееся у беременных из-за гормональных изменений и повышенной чувствительности тканей. Своевременное выявление и лечение гингивита улучшают состояние полости рта и предотвращают негативные последствия для здоровья матери и ребенка. В статье рассмотрим причины гингивита у беременных, методы диагностики, эффективные способы лечения и рекомендации по профилактике.
Причины возникновения недуга
Не все медикаменты оказывают положительное влияние на плод, и некоторые процедуры следует применять с осторожностью.
Лечение гингивита у женщин в положении не вызывает серьезных трудностей, однако важно соблюдать определенные меры предосторожности, так как в этот период организм становится более чувствительным ко многим факторам, включая внешние воздействия.
Существует распространенное заблуждение, что гингивит не может возникнуть у здоровых будущих матерей. На самом деле, даже абсолютно здоровые женщины могут столкнуться с этой проблемой. Гингивит часто развивается при осложненной беременности или наличии каких-либо заболеваний. Исследования показывают, что более половины беременных женщин сталкиваются с этой проблемой. Таким образом, вопрос лечения гингивита во время беременности является актуальным и требует внимательного изучения.
Хотя это заболевание не кажется особенно опасным, оно может доставить значительные неудобства, особенно учитывая, что женщины в этот период становятся более чувствительными и эмоциональными. Кроме того, здоровье плода не следует подвергать ненужному риску.
Гингивит представляет собой воспаление слизистой оболочки рта. Однако у беременных женщин существует особая форма этого заболевания. Будущие матери составляют отдельную группу заболевших, и обычно симптомы исчезают после родов, если не предпринимать никаких мер для их устранения.
Причины возникновения, как видно из описания, связаны с этим уникальным этапом в жизни женщины. Гормональный фон может изменяться довольно резко, поэтому подходы к лечению гингивита у беременных имеют свои особенности.
Это основная причина, но также существуют сопутствующие факторы, способствующие развитию заболевания. Важным является не только изменение гормонального фона, но и увеличение общего уровня гормонов в организме. Одним из таких гормонов является прогестерон, который отвечает за все изменения в организме. Он вырабатывается либо самим плодом, либо специальным органом, который формируется только в этот период — плацентой.
После рождения ребенка уровень прогестерона резко снижается, что приводит к уменьшению выраженности симптомов. Однако они могут вновь проявиться, если женщина решит кормить грудью.
Не следует забывать и о других факторах, способствующих возникновению гингивита. Почему же возникает это заболевание? Стоматологи считают, что основная причина кроется в зубном налете. Он создает неблагоприятную микрофлору, в которой размножаются бактерии и патогенные микроорганизмы. Это приводит к раздражению тканей десен, снижению иммунитета, появлению кровоточивости и воспалительных очагов.
Существует и другая точка зрения среди стоматологов. Многие специалисты полагают, что на развитие гингивита влияет нехватка витаминов и микроэлементов в организме. Как известно, у будущих матерей может наблюдаться дефицит витаминов и микроэлементов, так как активно развивается плод. Кроме того, на состояние здоровья может повлиять и токсикоз.
Изменения в микрофлоре могут происходить под воздействием токсикоза, а также возможны нарушения обмена веществ. Вероятно, что гингивит формируется под влиянием всех этих факторов. При планировании беременности важно учитывать эти моменты, заранее формируя рацион и обеспечивая поступление необходимых витаминов. Существуют специальные витаминные комплексы, а также можно составить индивидуальное меню вместе с врачом. Однако реакцию организма предсказать не всегда возможно, например, токсикоз может проявляться неожиданно. Поэтому необходимо действовать в зависимости от обстоятельств, учитывая особенности конкретной ситуации и принимая решения о том, как лечить гингивит во время беременности.
Если не предпринимать никаких мер для лечения, то заболевание, симптомы которого обычно проявляются уже в первом триместре, к третьему может перейти в хроническую форму. В таком случае после рождения ребенка симптомы не исчезнут.
Врачи подчеркивают важность своевременного лечения гингивита у беременных женщин. Изменения в гормональном фоне, происходящие во время беременности, могут способствовать развитию воспалительных процессов в деснах. Специалисты рекомендуют регулярные стоматологические осмотры и тщательную гигиену полости рта. Лечение должно быть безопасным как для матери, так и для плода, поэтому врачи часто выбирают щадящие методы, такие как профессиональная чистка зубов и использование антисептических растворов. Важно также следить за питанием и включать в рацион продукты, богатые витаминами, особенно витамином C, который способствует укреплению десен. Игнорирование симптомов гингивита может привести к более серьезным проблемам, поэтому консультация с врачом является необходимостью.
https://youtube.com/watch?v=So_KHsDtl6g
Принципы и этапы лечения
Принципы терапии гингивита у беременных женщин имеют свои особенности по сравнению с обычными методами лечения, так как необходимо избегать использования некоторых препаратов, которые могут негативно сказаться на здоровье плода.
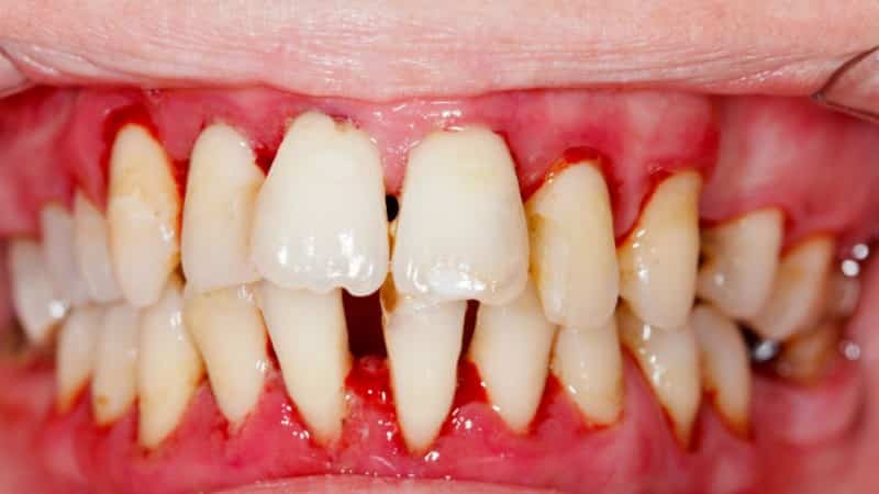
Какие же признаки этого заболевания? Они вытекают из самого названия недуга. Десневые ткани воспаляются, увеличиваются в размерах и начинают закрывать зубы. В большинстве случаев все начинается с незначительной кровоточивости.
Сначала можно заметить кровь во время ежедневной чистки зубов, затем десны становятся более чувствительными, и даже небольшие травмы приводят к кровотечению.
Специалисты выделяют три стадии прогрессирования заболевания. Они различаются по степени покрытия зуба десневой тканью. На последней стадии десна практически полностью охватывает зуб, что сопровождается болевыми ощущениями и неприятным запахом изо рта. В тяжелую стадию заболевание может долго не переходить, или же после временного улучшения симптомы могут вновь появляться.
Лечение гингивита проходит в несколько этапов и носит комплексный характер. Основное внимание уделяется устранению факторов, способствующих воспалению, однако у беременных это не всегда возможно, так как изменения в гормональном фоне могут быть причиной появления симптомов.
Поэтому рекомендуется пройти обследование еще до планирования беременности. В этом случае стоматолог проведет осмотр, устранит кариес и, при необходимости, выполнит полную санацию полости рта.
Однако часто бывает так, что беременность наступает неожиданно. В таких случаях женщина обращается к врачу с жалобами на симптомы гингивита. Первым шагом в лечении является удаление зубного камня. Даже если он не является причиной заболевания, его наличие всегда усугубляет ситуацию. Удаление камня может быть затруднительным, так как при разрастании десневой ткани добраться до зуба становится сложно, что делает процедуру болезненной.
Не все методы анестезии могут быть использованы в этот период, поэтому применяется местное обезболивание. Этот способ позволяет анестезировать область лечения, избегая попадания веществ в кровь, что может быть опасно для плода.
Затем врач разрабатывает план лечения, рекомендуя противовоспалительные препараты. Это могут быть мази и гели, которые полностью безопасны для беременных. Также назначаются полоскания с отварами трав и специальными ополаскивателями. В случае необходимости может быть проведено оперативное вмешательство под местным наркозом. Это крайняя мера, но иногда требуется удалить избыточную ткань.
| Аспект | Рекомендации | Примечания |
|---|---|---|
| Гигиена полости рта | Чистка зубов 2 раза в день мягкой щеткой, использование зубной нити. | Выбирайте зубную пасту без агрессивных абразивов. |
| Полоскания | Антисептические растворы (хлоргексидин, мирамистин) по назначению врача. | Не глотать раствор. Использовать не более 7-10 дней. |
| Профессиональная чистка | Удаление зубного налета и камня у стоматолога. | Рекомендуется во втором триместре беременности. |
| Диета | Уменьшение потребления сахара и кислых продуктов. | Увеличьте потребление витаминов и минералов. |
| Витамины | Прием витаминов группы В, С, D, кальция по назначению врача. | Важно для здоровья десен и зубов. |
| Обезболивание | Парацетамол при сильной боли (по согласованию с врачом). | Избегать НПВС (ибупрофен, аспирин). |
| Народные средства | Отвары ромашки, шалфея для полосканий (с осторожностью). | Проконсультируйтесь с врачом перед использованием. |
| Консультация врача | Регулярные осмотры у стоматолога. | Важно для контроля состояния десен и своевременного лечения. |
Принципы профилактики
Прежде всего, женщина обязана уведомить стоматолога о своем состоянии, иначе любое лечение может представлять опасность.
Специалист также подберет необходимые средства, витамины и дополнительные комплексы. Если заболевание только начинает развиваться и проявляются первые симптомы, следует исключить все возможные факторы, способствующие его прогрессированию. Даже при наличии кровоточивости необходимо тщательно чистить зубы и язык. Рекомендуется также делать массаж десен мягкой щеткой.
Гигиене полости рта следует уделять особое внимание, не забывая о флоссах — зубных нитях, которые помогают очищать межзубные пространства. Однако одной лишь чистки может быть недостаточно, если ситуация запущена. В таких случаях может потребоваться использование специализированных паст и зубных порошков, которые эффективно удаляют налет.
На сегодняшний день существует множество ополаскивателей с различными дополнительными эффектами. Лучше выбирать те, которые способствуют укреплению десен.
Не стоит пренебрегать чисткой зубов ни в коем случае, даже при выраженной кровоточивости. Запускать здоровье зубов нельзя.
Важно сформировать особый рацион, увеличив потребление натуральных продуктов и сезонных овощей. Во фруктах содержится много фруктозы и сахаров, поэтому стоит выбирать менее сладкие варианты. Яблоки и морковь могут помочь избавиться от лишнего налета уже во время их употребления. Необходимо увеличить потребление зелени и рыбы, так как они богаты кальцием, необходимым для укрепления тканей. Этот микроэлемент также содержится во всех молочных продуктах. Однако стоит выбирать натуральные продукты, так как магазинные йогурты и творожки часто содержат много сахара и дополнительных компонентов. Они не только калорийные, но и могут включать искусственные добавки, что снижает их пользу.
Кроме того, не следует откладывать визиты к врачу — консультации должны быть регулярными. При возникновении любых вопросов или появлении признаков воспаления необходимо обратиться к лечащему врачу.
https://youtube.com/watch?v=TTGx2N1qciQ
https://youtube.com/watch?v=cGLObCCcX3c
Влияние гингивита на здоровье матери и ребенка
Гингивит – это воспаление десен, которое может возникнуть у женщин в период беременности из-за гормональных изменений, происходящих в организме. Эти изменения могут привести к повышенной чувствительности десен, их отеку и покраснению, что делает беременных женщин более подверженными заболеваниям полости рта. Важно понимать, что гингивит не только вызывает дискомфорт, но и может иметь серьезные последствия как для здоровья матери, так и для здоровья ребенка.
Во-первых, гингивит может привести к более серьезным заболеваниям десен, таким как пародонтит, если его не лечить. Пародонтит, в свою очередь, может вызвать потерю зубов и другие стоматологические проблемы, что негативно сказывается на общем состоянии здоровья женщины. Кроме того, воспаление десен может быть связано с системными заболеваниями, такими как диабет и сердечно-сосудистые заболевания, что также может повлиять на беременность.
Во-вторых, существует связь между гингивитом и преждевременными родами. Исследования показывают, что женщины с воспалительными заболеваниями десен имеют более высокий риск преждевременных родов и низкой массы тела новорожденного. Это связано с тем, что воспаление может вызывать выброс простагландинов, которые могут спровоцировать родовую деятельность.
Также стоит отметить, что здоровье полости рта матери может влиять на развитие плода. Некоторые исследования указывают на то, что инфекции, возникающие в результате гингивита, могут привести к инфекциям у новорожденного, а также повысить риск развития различных заболеваний у ребенка в будущем.
Таким образом, важно не игнорировать симптомы гингивита во время беременности. Регулярные визиты к стоматологу и соблюдение правил гигиены полости рта могут помочь предотвратить развитие этого заболевания и его негативные последствия. Беременным женщинам рекомендуется уделять особое внимание уходу за зубами и деснами, а также сообщать своему врачу о любых изменениях в состоянии полости рта.
Безопасные методы лечения и средства
Лечение гингивита во время беременности требует особого внимания, так как многие традиционные методы могут быть небезопасны для будущей матери и её ребенка. Однако существует ряд безопасных и эффективных способов, которые помогут справиться с этим заболеванием.
1. Регулярная гигиена полости рта: Основой профилактики и лечения гингивита является тщательная гигиена полости рта. Беременным женщинам рекомендуется чистить зубы не менее двух раз в день с использованием мягкой зубной щетки и фторсодержащей зубной пасты. Также важно использовать зубную нить для удаления остатков пищи между зубами.
2. Полоскания: Полоскания рта могут помочь уменьшить воспаление и облегчить симптомы гингивита. Рекомендуется использовать растворы на основе соли (1 чайная ложка соли на стакан теплой воды) или специальные антисептические растворы, безопасные для беременных. Полоскания следует проводить 2-3 раза в день.
3. Увлажнение слизистой: Сухость во рту может усугублять симптомы гингивита. Увлажнение слизистой можно достичь с помощью специальных спреев или гелей, безопасных для беременных. Также полезно пить достаточное количество воды в течение дня.
4. Правильное питание: Сбалансированное питание играет важную роль в поддержании здоровья десен. Беременным женщинам рекомендуется включать в рацион продукты, богатые витаминами C и D, а также кальцием. Эти вещества способствуют укреплению десен и улучшению общего состояния полости рта. Избегайте сладких и кислых продуктов, которые могут способствовать развитию кариеса и воспаления десен.
5. Профессиональная чистка зубов: Регулярные визиты к стоматологу для профессиональной чистки зубов помогут удалить зубной налет и камень, что значительно снизит риск развития гингивита. Важно сообщить стоматологу о беременности, чтобы он мог выбрать наиболее безопасные методы лечения.
6. Использование безопасных средств: При выборе средств для ухода за полостью рта следует избегать продуктов, содержащих спирт и агрессивные химические вещества. Лучше отдать предпочтение натуральным ополаскивателям и пастам, которые не содержат вредных добавок.
7. Консультация с врачом: Перед началом любого лечения гингивита беременным женщинам следует проконсультироваться с врачом или стоматологом. Специалист сможет рекомендовать наиболее подходящие методы и средства, учитывая индивидуальные особенности здоровья.
Соблюдение этих рекомендаций поможет эффективно справиться с гингивитом во время беременности и сохранить здоровье как матери, так и ребенка. Важно помнить, что профилактика и раннее обращение к специалисту играют ключевую роль в успешном лечении данного заболевания.
Рекомендации по уходу за полостью рта во время беременности
Уход за полостью рта во время беременности имеет особое значение, так как изменения в организме женщины могут повлиять на здоровье зубов и десен. Гормональные изменения, происходящие в этот период, могут привести к повышенной чувствительности десен, их воспалению и, как следствие, к гингивиту. Поэтому важно следовать определённым рекомендациям, чтобы минимизировать риск возникновения стоматологических проблем.
1. Регулярная гигиена полости рта: Беременным женщинам следует уделять особое внимание ежедневной гигиене полости рта. Рекомендуется чистить зубы не менее дважды в день с использованием мягкой зубной щётки и фторсодержащей зубной пасты. Это поможет удалить налёт и предотвратить воспаление десен.
2. Использование зубной нити: Зубная нить помогает удалить остатки пищи и налёт из межзубных пространств, где обычная щётка не может достать. Это особенно важно во время беременности, когда десны могут быть более подвержены воспалению.
3. Полоскания: Полоскания антисептическими растворами могут помочь снизить уровень бактерий в полости рта. Однако перед использованием любых ополаскивателей необходимо проконсультироваться с врачом, чтобы убедиться в их безопасности для беременных.
4. Правильное питание: Сбалансированное питание, богатое витаминами и минералами, особенно кальцием и витамином D, способствует здоровью зубов и десен. Употребление свежих фруктов и овощей, а также отказ от сладостей и кислых напитков помогут поддерживать здоровье полости рта.
5. Регулярные визиты к стоматологу: Беременным женщинам рекомендуется посещать стоматолога не реже одного раза в триместр. Это позволит своевременно выявить и устранить проблемы с зубами и деснами, а также получить профессиональную чистку, что особенно важно для профилактики гингивита.
6. Избегание вредных привычек: Курение и употребление алкоголя негативно сказываются на здоровье полости рта и могут усугубить проблемы с деснами. Беременным женщинам следует избегать этих привычек для поддержания здоровья как своего, так и будущего ребёнка.
7. Обращение к врачу при первых симптомах: Если у беременной женщины появились признаки гингивита, такие как кровоточивость десен, их отёк или болезненность, необходимо незамедлительно обратиться к стоматологу. Раннее вмешательство поможет предотвратить развитие более серьёзных заболеваний.
Следуя этим рекомендациям, беременные женщины могут значительно снизить риск возникновения гингивита и других стоматологических заболеваний, обеспечивая здоровье своей полости рта и будущего малыша.


