Кюретаж пародонтальных карманов — стоматологическая процедура для лечения заболеваний пародонта и восстановления здоровья десен. В статье рассмотрим два типа кюретажа: открытый и закрытый, а также современные методы выполнения, их преимущества и недостатки. Читатели узнают, в каких случаях назначается кюретаж, и смогут ознакомиться с фото и видео, что поможет лучше понять процесс и его значимость для здоровья полости рта.
Зачем назначается кюретаж
Из-за недостаточной гигиены, генетических предрасположенностей, анатомических особенностей или особенностей питания у пациента образуется мягкий микробный налет, белковые отложения и твердые темные камни на зубах. Бактерии, активно размножающиеся в этих отложениях, инициируют воспалительные процессы как в зубах, так и в окружающих мягких тканях.
Пациент начинает испытывать дискомфорт, замечая кровоточивость десен и отечность мягких тканей, которые при прикосновении вызывают сильную боль.
Если не предпринять эффективные меры, пародонтоз может привести к подвижности зубов, их смещению и даже выпадению. Воспалительные процессы могут сопровождаться выделением гноя из-под десен и общим ухудшением состояния здоровья.
На фоне этих процессов у пациента могут развиться два критических состояния.
- Атрофия околозубной костной ткани. В местах разрушения костной ткани формируется заместительная грануляционная ткань, содержащая микробы и остеокласты, что способствует дальнейшему разрушению.
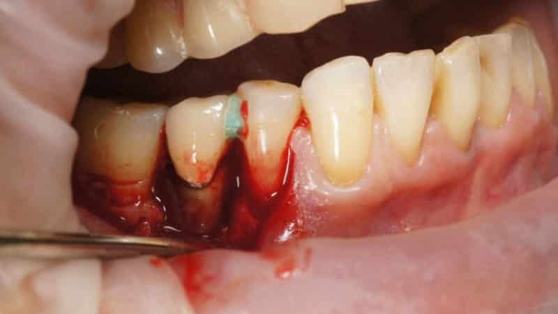
- Рассасывание периодонта. Воспаление достигает области соединения зуба с костью. Периодонт — это соединительная ткань, состоящая из мелких связок, которые обеспечивают надежное крепление зуба к челюстной кости. Воспалительный процесс разрушает эти связки и костную ткань, что приводит к образованию так называемых «пародонтальных карманов» (см. фото ниже). Эти карманы представляют собой пустоты, соответствующие объему разрушенного периодонта и месту его крепления к поврежденной кости. Пустоты заполняются заместительной тканью, микробами, патологическими жидкостями и гноем.
Хирургическое вмешательство в данном случае позволяет очистить каналы и грануляционную ткань, что способствует улучшению состояния пациента.
Крупные пустоты (от 4 мм и более), однажды возникшие, не исчезают самостоятельно, даже при эффективном лечении противовоспалительными средствами, антибиотиками и стоматологическими процедурами (лазерными, ультразвуковыми, гигиеническими и т.д.). Даже если вы запишетесь на процедуру удаления камней и налета, стоматолог не сможет с помощью стандартного оборудования очистить пародонтальные карманы. Если отложения остаются, воспаление продолжает существовать, что ведет к дальнейшему разрушению костной ткани и зубов.
Даже если удалось очистить карманы и остановить воспалительный процесс, в организме сохраняются анатомические изменения, способствующие регулярным рецидивам пародонтита.
Таким образом, кюретаж пародонтального кармана остается единственным методом, который обеспечивает полное излечение от заболевания.
Он способствует:
- удалению пустот, заполненных патологическим содержимым;
- очищению зубов от поддесневых камней и отложений;
- очищению периодонта и костной ткани от заместительной ткани.
Существует две методики кюретажа: открытая и закрытая.
Врачи-стоматологи отмечают, что кюретаж пародонтальных карманов является важной процедурой для лечения пародонтита. Эта манипуляция позволяет удалить воспалённые ткани и зубной налёт, что способствует улучшению состояния десен и предотвращает дальнейшее разрушение зубов. Специалисты подчеркивают, что кюретаж может быть как ручным, так и ультразвуковым, в зависимости от степени заболевания и индивидуальных особенностей пациента.
Многие врачи отмечают, что после процедуры пациенты часто отмечают значительное облегчение и улучшение состояния десен. Однако важно, чтобы кюретаж проводился квалифицированным специалистом, так как неправильное выполнение может привести к осложнениям. Врачи также рекомендуют сочетать кюретаж с регулярной гигиеной полости рта и профессиональными чистками для достижения наилучших результатов.
https://youtube.com/watch?v=6MhoV6HisPc
Закрытая методика
Процедура назначается для удаления микробного налета под деснами, а также грануляционной ткани из карманов.
Эта методика эффективна только при глубине карманов не более 3 мм (начальные стадии пародонтита). Если заболевание перешло в более тяжелую форму, закрытый метод может лишь замедлить развитие проблемы.
Такой вид лечения осуществляется в клиниках, где нет опытных хирургов-пародонтологов. В этом случае стоматологи-терапевты, не обладающие достаточной квалификацией для выполнения более сложных процедур (таких как открытый кюретаж или лоскутные операции на деснах), берутся за операцию.
Как проходит процедура? Сначала медсестра вводит местную проводниковую анестезию, после чего врач начинает чистку карманов с использованием ручных или ультразвуковых инструментов. Специалист тщательно удаляет мягкие и твердые отложения под деснами, исследуя каждый карман и удаляя из него заместительную ткань и патологические массы. Очищенные области промываются изотоническим раствором на основе хлорида натрия. Затем врач полирует корни зубов.
После завершения процедуры врач рекомендует использовать специальные повязки (например, стомальгин, цинкопласт, дентол и другие). В течение 4-5 часов после сеанса пациенту не следует есть или пить агрессивные жидкости. Лучше ограничиться обычной водой без газа при комнатной температуре.
Через месяц после закрытой процедуры врач проводит оценку глубины карманов. Обычно самые мелкие карманы исчезают, а более глубокие уменьшаются.
| Аспект | Описание | Важность |
|---|---|---|
| Определение | Процедура удаления инфицированных тканей, зубного налета и камня из пародонтальных карманов. | Ключевой этап в лечении пародонтита. |
| Цель | Устранение воспаления, уменьшение глубины карманов, предотвращение дальнейшего разрушения костной ткани. | Восстановление здоровья десен и сохранение зубов. |
| Показания | Пародонтит легкой и средней степени тяжести, наличие пародонтальных карманов глубиной более 3 мм. | Определение необходимости процедуры для конкретного пациента. |
| Виды | Закрытый (без отслаивания десны) и открытый (с отслаиванием десны). | Выбор метода в зависимости от глубины карманов и степени поражения. |
| Инструменты | Кюреты Грейси, универсальные кюреты, ультразвуковые скейлеры. | Эффективное и безопасное удаление отложений. |
| Анестезия | Местная анестезия (инфильтрационная или проводниковая). | Обеспечение комфорта пациента во время процедуры. |
| Этапы | Обезболивание, удаление зубного камня и налета, выскабливание грануляционной ткани, полировка корня. | Последовательность действий для достижения оптимального результата. |
| Послеоперационный уход | Антисептические полоскания, щадящая диета, избегание травмирования десны. | Предотвращение осложнений и ускорение заживления. |
| Возможные осложнения | Кровотечение, отек, боль, повышенная чувствительность зубов. | Информирование пациента о возможных побочных эффектах. |
| Прогноз | Благоприятный при своевременном и адекватном лечении, регулярной гигиене полости рта. | Оценка долгосрочных результатов лечения. |
Открытая методика
Открытый кюретаж пародонтальных карманов назначается для устранения воспалительных процессов, удаления поддесневых отложений и заместительной ткани. Эта процедура позволяет полностью ликвидировать пародонтальные карманы и способствует восстановлению естественной костной ткани, для чего врач использует искусственный материал.
Перед началом операции врач проводит необходимую подготовку. Выполняется профессиональная чистка всей полости рта от налета, зубного камня и гноя, при необходимости осуществляется шинирование зубов, а также назначается курс антибиотиков и противовоспалительных средств.
В назначенное время пациенту вводят местную проводниковую анестезию. Операция проводится на ограниченной области, охватывающей не более 8 зубов.
Открытая процедура включает в себя отслоение слизистой ткани десен хирургом-пародонтологом. Для этого врач делает небольшие разрезы в области шейки зубов. Полученные лоскуты отводятся от кости, обнажая зубные корни и участки разрушенной кости. На этом этапе врач получает полный доступ к поддесневым камням и налету, а также грануляционной ткани. Он удаляет эти патологические образования (включая карманы) с помощью хирургических кюрет. В современных клиниках также используется ультразвуковой скалер для выскабливания заместительной ткани и камней. Таким же образом может быть удален пародонтальный карман.
После этого врач проводит антисептическую обработку области. После удаления грануляционной ткани в костной ткани остаются пустоты. Дантист заполняет их костью, полученной синтетическим путем.
Этот искусственный материал способствует восстановлению собственной ткани, что позволяет значительно уменьшить глубину пустот.
Заключительным этапом является наложение швов в области межзубных сосочков. Также на эту зону накладывается специальная повязка, защищающая рану от инфекции и способствующая регенерации ткани. Швы удаляются врачом через 10 дней.
В течение нескольких дней после операции пациенту запрещено выполнять стандартные гигиенические процедуры (чистка зубов щеткой, использование межзубных ершиков, флосса и ирригатора) в области вмешательства. Эта зона должна обрабатываться тампоном, смоченным антисептическим или противовоспалительным средством.
Через месяц дантист проводит контрольное зондирование глубины костных карманов и может назначить повторную процедуру.
https://youtube.com/watch?v=KSN241lDuWk
Плюсы и минусы процедуры
Кюретаж вызывает как положительные, так и отрицательные мнения среди врачей и пациентов, которые мы рассмотрим ниже.
Закрытая методика имеет ряд преимуществ: специалист способен удалить глубокие поддесневые отложения и очистить карманы от патологических масс, что может способствовать уменьшению их размера.
Кроме того, процедуры занимают немного времени, а восстановление проходит достаточно быстро. Также данная процедура доступна для широкой аудитории.
Однако у этой операции есть и недостатки:
- ее не рекомендуют при средней или тяжелой форме пародонтита;
- в 99% случаев наблюдается рецидив и прогрессирование заболевания;
- процедура выполняется вслепую (врач не видит глубину карманов и поверхность корней), что может привести к неполному очищению некоторых карманов и оставлению отложений и грануляций.
Что касается открытого кюретажа десен, то здесь положительных аспектов значительно больше: врач не только очищает пародонтальный карман, но и удаляет его, что позволяет остановить пародонтит и исключить возможность рецидива. Подсадка искусственной ткани помогает уменьшить глубину дефектов в кости, что также способствует устранению подвижности зубов.
К сожалению, у этой методики есть и недостатки:
- квалификация хирурга-пародонтолога должна быть на высоком уровне для выполнения сложной операции;
- процедура является дорогостоящей: оплачивается работа хирурга и медсестры, а также расходные материалы, включая дорогую искусственную костную ткань и монофиламент для швов;
- после процедуры могут возникнуть неприятные последствия – опущение десны, что приводит к оголению корней зубов и связанным осложнениям;
- десневые сосочки становятся более плоскими на несколько месяцев, что увеличивает глубину межзубных промежутков;
- операция занимает достаточно много времени (около 2 часов) и требует реабилитации (ограничение в гигиене области, использование специальных противовоспалительных средств, соблюдение диеты на мягкой пище и т.д.);
- методика оказывается неэффективной при наличии определенных патологий: тонкая десневая ткань, глубокое залегание или большой объем кармана, аномальное строение зубного ряда, загноение кармана и т.д.
При выборе между двумя видами процедуры помните, что только открытый кюретаж способен навсегда остановить заболевание и попытаться восстановить утраченную костную ткань.
https://youtube.com/watch?v=6MhoV6HisPc
Подготовка к процедуре
Первым шагом в подготовке является тщательная диагностика состояния пародонта. Врач должен провести полное обследование, включая рентгенографию, чтобы оценить степень разрушения костной ткани и глубину пародонтальных карманов. Это поможет определить объем вмешательства и выбрать наиболее подходящую методику кюретажа.
После диагностики необходимо информировать пациента о предстоящей процедуре. Важно объяснить, что такое кюретаж, как он будет проводиться, и какие результаты можно ожидать. Пациент должен быть осведомлен о возможных рисках и осложнениях, а также о том, как будет проходить восстановительный период. Это поможет снизить уровень тревожности и повысить доверие к врачу.
Также следует обсудить с пациентом его медицинскую историю, включая наличие аллергий, хронических заболеваний и принимаемых медикаментов. Это важно для выбора оптимальной анестезии и предотвращения возможных осложнений во время процедуры.
Выбор метода анестезии является еще одним ключевым аспектом подготовки. В зависимости от глубины пародонтальных карманов и общего состояния пациента, врач может выбрать местную анестезию или седацию. Местная анестезия позволяет минимизировать дискомфорт во время процедуры, в то время как седация может быть рекомендована для пациентов с высокой тревожностью или в случае сложных манипуляций.
Перед самой процедурой необходимо провести гигиеническую подготовку полости рта. Это включает в себя профессиональную чистку зубов, удаление зубного налета и камня, что способствует лучшему доступу к пародонтальным карманам и снижает риск инфекций.
Наконец, важно обеспечить комфортные условия для пациента в день процедуры. Это включает в себя создание спокойной обстановки, наличие необходимых материалов и инструментов, а также подготовку ассистента, который поможет врачу в процессе кюретажа. Все эти меры способствуют успешному проведению процедуры и быстрому восстановлению пациента.
Послеоперационный уход
После кюретажа пародонтальных карманов важным этапом является правильный послеоперационный уход, который способствует заживлению тканей и предотвращает возможные осложнения. Восстановительный период может варьироваться в зависимости от индивидуальных особенностей пациента, объема проведенной процедуры и состояния десен до вмешательства.
Первое, что необходимо учитывать, это соблюдение гигиенических норм. В течение первых 24 часов после процедуры рекомендуется избегать чистки зубов, чтобы не травмировать обработанные участки. Вместо этого можно использовать антисептические растворы для полоскания рта, которые помогут снизить риск инфекции и ускорить заживление. Важно следовать рекомендациям стоматолога относительно выбора антисептика.
В течение первых нескольких дней после кюретажа может наблюдаться легкая боль и отек в области десен. Для облегчения дискомфорта можно применять обезболивающие препараты, назначенные врачом. Также стоит избегать горячей, острой и твердой пищи, которая может раздражать десны. Рекомендуется употреблять мягкую и прохладную пищу, чтобы минимизировать нагрузку на десны.
Кроме того, важно следить за состоянием десен. Если наблюдаются сильные кровотечения, гнойные выделения или резкое ухудшение состояния, необходимо незамедлительно обратиться к стоматологу. Эти симптомы могут указывать на развитие инфекции или другие осложнения, требующие медицинского вмешательства.
В течение нескольких недель после процедуры следует регулярно посещать стоматолога для контроля за процессом заживления. Врач сможет оценить состояние десен, при необходимости провести дополнительные процедуры и дать рекомендации по дальнейшему уходу.
Также стоит обратить внимание на привычки, которые могут негативно сказаться на процессе восстановления. Курение, например, замедляет заживление и увеличивает риск осложнений. Поэтому рекомендуется временно отказаться от этой привычки на период восстановления.
В заключение, правильный послеоперационный уход после кюретажа пародонтальных карманов играет ключевую роль в успешном восстановлении здоровья десен. Соблюдение рекомендаций стоматолога, внимание к своему состоянию и поддержание гигиенических норм помогут достичь наилучших результатов и предотвратить повторное развитие пародонтита.
Осложнения и риски
Кюретаж пародонтальных карманов, несмотря на свою эффективность в лечении заболеваний пародонта, может сопровождаться рядом осложнений и рисков. Понимание этих аспектов является важным для пациентов и стоматологов, чтобы минимизировать негативные последствия и обеспечить успешное восстановление здоровья полости рта.
Одним из наиболее распространенных осложнений после кюретажа является кровотечение. В процессе удаления зубного налета и камня может произойти повреждение мягких тканей, что приведет к кровотечению. Обычно это незначительное кровотечение, которое останавливается самостоятельно, однако в редких случаях может потребоваться дополнительное вмешательство для его остановки.
Еще одним возможным осложнением является инфекция. После процедуры в области пародонтальных карманов могут возникнуть условия, способствующие развитию инфекционного процесса. Это может проявляться в виде боли, отека и гноетечения. Для предотвращения инфекций стоматологи часто назначают антибиотики или антисептические средства.
Боль и дискомфорт — это также частые жалобы пациентов после кюретажа. Хотя процедура проводится под местной анестезией, после ее окончания может возникнуть болезненность в области десен. Обычно боль проходит через несколько дней, но в некоторых случаях может потребоваться применение обезболивающих средств.
Кроме того, существует риск повреждения окружающих тканей, включая зубы и десны. Неправильное выполнение процедуры или недостаточная квалификация специалиста могут привести к травмам, что в свою очередь может усугубить состояние пациента и потребовать дополнительных вмешательств.
Важно также отметить, что рецидив заболевания является одним из основных рисков после кюретажа. Если пациент не соблюдает рекомендации по уходу за полостью рта или не проходит регулярные профилактические осмотры, то пародонтальные карманы могут вновь увеличиться, что приведет к необходимости повторного вмешательства.
В заключение, хотя кюретаж пародонтальных карманов является эффективным методом лечения заболеваний пародонта, важно осознавать возможные осложнения и риски. Пациенты должны внимательно следовать рекомендациям стоматолога и сообщать о любых необычных симптомах, чтобы обеспечить успешное восстановление и предотвратить дальнейшие проблемы с зубами и деснами.



