Кровоточивость десен у двухлетнего ребенка — распространенная проблема, вызывающая беспокойство у родителей. Эти симптомы могут указывать на различные заболевания, включая стоматит, и требуют внимательного подхода. В статье рассмотрим причины кровоточивости десен, основные симптомы и методы лечения, чтобы помочь родителям своевременно распознать проблему и принять меры для здоровья ребенка.
Симптомы и причины появления
Определить, что у ребенка кровоточат десна, довольно просто. Достаточно внимательно осмотреть его рот. Десна могут выглядеть воспаленными, с заметными покраснениями и твердым налетом. Ребенок может проявлять капризы и жаловаться на дискомфорт.
Существует множество причин появления таких симптомов. Чаще всего это связано с несоблюдением правил личной гигиены, когда дети могут засунуть в рот грязные руки. Поскольку слизистая оболочка ротовой полости не защищена от инфекций, начинается воспалительный процесс, что приводит к кровоточивости десен.
Кроме того, малыш может случайно повредить десна, если ковыряет в рту карандашом, ручкой или другим острым предметом, что довольно часто случается. В этом случае кровоточивость обычно прекращается после заживления повреждения.
Еще одной распространенной причиной кровоточивости десен у детей является нехватка витаминов в организме. Чтобы решить эту проблему, необходимо скорректировать рацион питания ребенка. То же самое следует сделать, если причиной является неправильное питание.
В некоторых случаях кровоточивость десен у ребенка может быть признаком более серьезных заболеваний, таких как стоматит или гингивит. Чтобы предотвратить развитие этих заболеваний, важно обратиться к специалисту.
Кровоточивость десен у ребенка — это проблема, которая вызывает беспокойство у родителей и требует внимания специалистов. Врачи отмечают, что подобные симптомы могут быть связаны с различными факторами, включая недостаток витаминов, особенно витамина C, а также плохую гигиену полости рта. Педиатры и стоматологи рекомендуют регулярно проверять состояние зубов и десен, особенно в период смены молочных зубов.
Кроме того, важно обратить внимание на возможные заболевания, такие как гингивит или другие воспалительные процессы. Врач может порекомендовать специальные ополаскиватели и пасты, а также провести профессиональную чистку зубов. Раннее обращение к специалисту поможет избежать серьезных осложнений и сохранить здоровье зубов и десен ребенка.
https://youtube.com/watch?v=GrMX4x4kJ5I
Симптомы и лечение стоматита
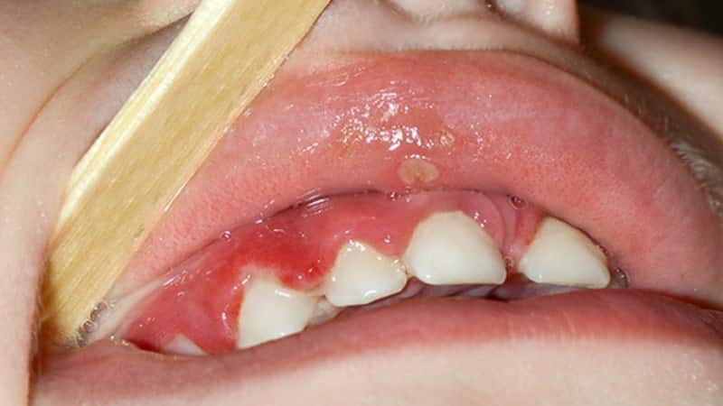
Понять, что стоматит является причиной кровоточивости десен, довольно просто. В ротовой полости ребенка появляются маленькие бугорки диаметром около 2 мм, которые вызывают дискомфорт и беспокойство у малыша.
Существует множество видов стоматитов, однако наиболее распространенным является грибковый. Тем не менее, у детей в возрасте 2-3 лет чаще всего наблюдается кровоточивость десен, вызванная герпетическим стоматитом.
Это связано с тем, что иммунная система ослабевает, так как антитела, переданные от матери, начинают исчезать в возрасте 2-3 лет. Это состояние может сопровождаться повышением температуры, хотя не всегда.
Ребенок становится капризным, отказывается от пищи, у него нарушается сон. Если стоматит протекает в легкой форме, он обычно проходит быстро и не вызывает серьезных неудобств.
В случае тяжелой формы могут возникнуть сложности с понижением температуры. Также возможно увеличение лимфатических узлов. Высыпания могут появляться не только в ротовой полости, но и вокруг нее – на губах или носу.
Болезнь может сопровождаться рвотой и головной болью.
Лечение любого стоматита требует обращения к врачу. Не стоит заниматься самолечением, но перед визитом к специалисту можно немного облегчить симптомы, чтобы ребенку стало легче.
Если у двухлетнего ребенка кровоточат десна из-за стоматита, рекомендуется полоскать рот. В этом возрасте малыш уже способен делать это самостоятельно. Родителям достаточно приготовить отвар из трав, чтобы успокоить воспаленную слизистую.
Для этого подойдут шалфей, календула, зверобой, ромашка или кора дуба. Также можно использовать антисептические средства, такие как перманганат калия или фурацилин, для полоскания рта между приемами пищи. Крепкий, свежезаваренный чай также поможет в этой ситуации.
Если ребенок жалуется на сильную боль, ее можно облегчить с помощью обезболивающих препаратов. Однако не следует злоупотреблять ими, так как важно не только снять боль, но и устранить саму болезнь.
Все эти методы помогут облегчить симптомы и окажут положительное влияние на здоровье вашего малыша.
| Причина кровоточивости десен | Симптомы | Рекомендации и лечение |
|---|---|---|
| Недостаточная гигиена полости рта | Покраснение, отек десен, кровоточивость при чистке зубов или еде, неприятный запах изо рта. | Регулярная и правильная чистка зубов (2 раза в день, не менее 2 минут) мягкой щеткой и детской пастой. Использование зубной нити (по возрасту). Посещение стоматолога для профессиональной чистки и обучения гигиене. |
| Гингивит (воспаление десен) | Десны красные, опухшие, легко кровоточат, особенно при чистке. Могут быть болезненными. | Улучшение гигиены полости рта. Полоскания антисептическими растворами (по назначению врача). Удаление зубного налета и камня у стоматолога. |
| Прорезывание зубов | Десны вокруг прорезывающегося зуба красные, опухшие, могут кровоточить. Ребенок может быть беспокойным, грызть предметы. | Охлаждающие прорезыватели. Массаж десен чистым пальцем. Гели для десен с анестетиком (по назначению врача и согласно инструкции). |
| Неправильная техника чистки зубов | Десны кровоточат при слишком сильном давлении щеткой или использовании жесткой щетки. | Использование мягкой зубной щетки. Обучение правильной технике чистки зубов (круговые движения, без сильного давления). |
| Травма десны | Кровоточивость после удара, падения, укуса твердой пищи. | Промывание полости рта чистой водой. При сильном кровотечении или глубокой ране – обращение к врачу. |
| Дефицит витаминов (особенно витамина С) | Общая слабость, бледность, кровоточивость десен, частые простуды. | Коррекция рациона питания (больше фруктов и овощей). Прием витаминных комплексов (по назначению врача). |
| Некоторые заболевания (например, нарушения свертываемости крови, сахарный диабет) | Кровоточивость десен может быть одним из симптомов более серьезного заболевания. | Консультация педиатра и узких специалистов для диагностики и лечения основного заболевания. |
| Прием некоторых лекарств | Некоторые медикаменты (например, антикоагулянты) могут вызывать повышенную кровоточивость. | Обсуждение с врачом возможных побочных эффектов принимаемых лекарств и корректировка дозировки или замена препарата. |
| Аллергическая реакция | Кровоточивость десен может быть вызвана аллергией на компоненты зубной пасты, ополаскивателя или пищи. | Выявление и исключение аллергена. Консультация аллерголога. |
Питание при кровоточивости десен
Когда у малыша начинают кровоточить десна из-за стоматита или гингивита, процесс кормления становится более сложным, так как ребенок испытывает дискомфорт. В такой ситуации рекомендуется исключить из рациона жирные продукты, так как они плохо усваиваются.
Чтобы минимизировать неудобства для ребенка, следует предлагать ему мягкую пищу, которая не повредит слизистую оболочку еще больше. К таким продуктам относятся каши, пюре из вареных овощей и кисломолочные изделия с низким содержанием жира.
Мясо лучше давать только в вареном виде, предварительно дважды пропустив его через мясорубку. Температура пищи должна быть умеренной.
Необходимо избегать продуктов с резкими вкусами: кислыми, солеными, острыми и сладкими. Кормить малыша рекомендуется не чаще 3-4 раз в день, чтобы снизить риск повреждения слизистой.
При приеме назначенных врачом лекарств такая диета поможет улучшить усвояемость препаратов. Также следует избегать питья воды сразу после обработки рта лечебными средствами, иначе эффективность препаратов может снизиться.
https://youtube.com/watch?v=x38mfuCDzCY
Кровоточивость десен при гингивите
Если у ребенка наблюдается кровоточивость десен из-за гингивита, необходимо обратиться к врачу, как и в предыдущих случаях. Игнорирование этой проблемы может привести к разрушению костной ткани вокруг зуба, а также к повышенной подвижности зубов.
Кровоточивость десен у детей является одним из наиболее распространенных признаков гингивита. Кроме того, процесс чистки зубов может стать болезненным.
Наиболее частыми причинами возникновения этого заболевания являются недостаточная гигиена и неправильный уход за полостью рта. Однако в некоторых ситуациях причиной может стать ОРВИ. При наличии этой инфекции иммунная система ослабевает, что ухудшает защитные функции десен и увеличивает риск инфицирования, что, в свою очередь, приводит к кровоточивости.
Гингивит может проявляться в легкой, средней и тяжелой формах, причем последняя из них является наиболее опасной. Поэтому важно не допускать ее развития. Для лечения гингивита в первую очередь следует посетить стоматолога.
Специалист удалит инфекционный налет с зубов вашего ребенка и очистит ротовую полость от зубного камня. Не стоит пытаться сделать это самостоятельно, так как использование любых препаратов может усугубить воспаление и привести к осложнениям.
Снятие воспаления десен является вторым важным шагом в лечении. Без предварительной чистки зубов от налета и камней применение медикаментов не даст желаемого результата, или даже может оказать негативное воздействие. Воспаление снимается препаратами, которые назначит врач.
Для временного облегчения состояния десен ребенка можно использовать те же методы, что и при стоматите: отвар трав, крепкий чай и антисептические средства. Полоскать рот следует в перерывах между приемами пищи. Эти меры можно применять одновременно с лечением, назначенным врачом, так как народные средства могут помочь ускорить процесс выздоровления.
Третьим этапом в лечении гингивита является санация ротовой полости. Важно вылечить все зубы, чтобы избежать рецидива заболевания. Не стоит пренебрегать этим этапом, так как в кариозных зубах содержится множество бактерий, способных вызвать новое воспаление десен. После лечения зубов гингивит исчезнет окончательно.
Эти три этапа достаточно, чтобы избавить ребенка от заболевания. К каждому из них следует подходить с полной ответственностью, чтобы не запустить болезнь и избежать неприятных последствий. В дальнейшем необходимо проводить профилактику заболевания.
Забота о здоровье детей — это большая ответственность, и к этому вопросу нужно относиться серьезно. Чтобы избежать такого неприятного симптома, как кровоточивость десен у ребенка, необходимо следовать простым правилам: соблюдать гигиену ротовой полости, своевременно лечить все зубы, правильно подбирать зубную пасту и обеспечивать ребенка полезными продуктами.
Важно научить ребенка правильно ухаживать за полостью рта и объяснить, почему забота о здоровье так важна.
Кровоточивость десен — это неприятный симптом, который может привести к серьезным последствиям, поэтому лучше заранее предотвратить его появление.
Если же проблема все-таки возникла, пройдите курс лечения, и ваш ребенок, осознавая последствия, будет более внимателен к своему здоровью и не допустит нарушения правил личной гигиены.
https://youtube.com/watch?v=FBjE0e_cdi4
Профилактика заболеваний десен у детей
Заболевания десен могут проявляться в виде кровоточивости, воспаления и других неприятных симптомов, которые могут привести к более серьезным проблемам, если не принять меры вовремя.
Одним из основных методов профилактики является регулярная гигиена полости рта. Рекомендуется чистить зубы дважды в день с использованием фторсодержащей зубной пасты. Для детей младшего возраста важно использовать зубные щетки с мягкой щетиной, чтобы избежать повреждения десен. Также стоит обратить внимание на технику чистки: движения должны быть мягкими и круговыми, чтобы не травмировать десны.
Кроме того, важно следить за рационом ребенка. Употребление большого количества сладостей и кислых продуктов может негативно сказаться на состоянии десен. Рекомендуется включать в рацион больше овощей, фруктов и молочных продуктов, которые способствуют укреплению зубов и десен. Также стоит ограничить потребление газированных напитков и соков с высоким содержанием сахара.
Регулярные визиты к стоматологу также играют ключевую роль в профилактике заболеваний десен. Специалист сможет выявить ранние признаки воспаления и предложить соответствующее лечение. Рекомендуется посещать стоматолога не реже двух раз в год для профилактического осмотра и профессиональной чистки зубов.
Дополнительно, использование флоссов и ополаскивателей для рта может помочь в поддержании здоровья десен. Флосс позволяет удалить остатки пищи и налет из труднодоступных мест между зубами, а ополаскиватели могут иметь антисептические свойства, что способствует уменьшению воспаления и предотвращению инфекций.
Важно также обучать детей правильным привычкам с раннего возраста. Объясняйте им важность ухода за зубами и деснами, чтобы они понимали, что это не просто рутина, а необходимая часть их здоровья. Игровые методы, такие как использование забавных зубных щеток или создание ритуалов чистки зубов, могут сделать процесс более увлекательным.
Наконец, стоит помнить, что некоторые заболевания могут быть связаны с общими состояниями здоровья, такими как диабет или аллергии. В таких случаях важно консультироваться с врачом и следить за состоянием десен в контексте общего здоровья ребенка.
Когда обращаться к стоматологу
Кровоточивость десен у ребенка может быть признаком различных стоматологических и общих заболеваний, поэтому важно внимательно следить за состоянием полости рта вашего малыша. Если вы заметили, что десны вашего ребенка кровоточат, необходимо обратить внимание на несколько факторов, которые могут помочь определить, когда следует обратиться к стоматологу.
Во-первых, если кровоточивость десен наблюдается регулярно, это может указывать на наличие воспалительного процесса, такого как гингивит. Гингивит — это заболевание, вызванное накоплением зубного налета, который содержит бактерии. Если не принять меры, это состояние может прогрессировать и привести к более серьезным заболеваниям, таким как пародонтит.
Во-вторых, если кровоточивость десен сопровождается другими симптомами, такими как боль, отек, неприятный запах изо рта или изменение цвета десен, это также является серьезным поводом для обращения к специалисту. Эти симптомы могут указывать на наличие инфекции или других заболеваний, требующих медицинского вмешательства.
Третьим важным моментом является возраст ребенка. У маленьких детей, особенно в период прорезывания зубов, может наблюдаться временная кровоточивость десен. Однако если это состояние продолжается более нескольких дней или сопровождается сильной болью, необходимо проконсультироваться с врачом.
Также стоит обратить внимание на привычки ребенка. Если он не соблюдает правила гигиены полости рта, это может привести к проблемам с деснами. В таком случае, даже если кровоточивость незначительна, стоит посетить стоматолога для получения рекомендаций по улучшению гигиенических привычек.
Наконец, если у ребенка есть хронические заболевания, такие как диабет или нарушения свертываемости крови, это также может быть причиной кровоточивости десен. В таких случаях консультация стоматолога становится особенно важной, чтобы предотвратить возможные осложнения.
В заключение, если вы заметили кровоточивость десен у вашего ребенка, не откладывайте визит к стоматологу. Раннее обращение за помощью поможет выявить причину проблемы и предотвратить развитие более серьезных заболеваний.
Домашние средства для облегчения состояния
Существует множество домашних средств, которые могут помочь облегчить состояние ребенка с кровоточащими деснами. Эти методы могут быть использованы в качестве дополнения к основному лечению, назначенному стоматологом, и могут помочь уменьшить дискомфорт и улучшить здоровье полости рта.
1. Полоскания солевым раствором: Одним из самых простых и доступных средств является полоскание рта теплым солевым раствором. Для его приготовления необходимо растворить половину чайной ложки соли в стакане теплой воды. Полоскания помогают уменьшить воспаление, убивают бактерии и способствуют заживлению десен. Рекомендуется полоскать рот два-три раза в день, особенно после еды.
2. Чай из ромашки: Ромашка известна своими противовоспалительными и успокаивающими свойствами. Заварите чай из ромашки и дайте ему остыть. Полоскание рта таким чаем может помочь уменьшить воспаление и облегчить боль. Также можно использовать компрессы с ромашкой, прикладывая их к деснам на несколько минут.
3. Алое вера: Гель алое вера обладает мощными противовоспалительными и антисептическими свойствами. Нанесите немного геля на пораженные участки десен, чтобы помочь уменьшить воспаление и ускорить заживление. Алое вера также может помочь в борьбе с бактериями, вызывающими инфекции.
4. Масло чайного дерева: Это эфирное масло известно своими антимикробными свойствами. Разведите несколько капель масла чайного дерева в столовой ложке масла-основы (например, кокосового или оливкового) и аккуратно массируйте десны. Это может помочь уменьшить воспаление и предотвратить дальнейшее кровотечение.
5. Увлажнение: Обеспечение достаточного уровня увлажненности в помещении может помочь предотвратить сухость во рту, что, в свою очередь, может снизить риск кровоточивости десен. Используйте увлажнитель воздуха, особенно в зимний период, когда воздух становится более сухим.
6. Правильная гигиена полости рта: Обучение ребенка правильной технике чистки зубов и использования зубной нити также является важным аспектом. Используйте мягкую зубную щетку и нежные движения, чтобы не травмировать десны. Регулярная чистка зубов дважды в день и использование зубной нити помогут поддерживать здоровье десен и предотвратить их воспаление.
Важно помнить, что если кровоточивость десен продолжается или сопровождается другими симптомами, такими как боль, отек или неприятный запах изо рта, необходимо обратиться к стоматологу для профессиональной оценки и лечения. Домашние средства могут быть полезны, но не заменяют квалифицированную медицинскую помощь.


