Имплантаты Nobel Biocare являются надежным и эффективным решением в стоматологической имплантологии. В статье рассмотрим основные виды имплантатов этой марки, их характеристики и преимущества, которые делают их популярными среди стоматологов и пациентов. Понимание различий между имплантатами и методами их установки поможет вам сделать осознанный выбор для долговечности и здоровья вашей улыбки.
Из каких материалов и с помощью каких технологий делают зубные импланты Нобель
Производство основано на использовании титана марки Grade 4, обладающего высокой прочностью. В настоящее время этот материал считается одним из лучших благодаря отсутствию вредных примесей в своем составе. Это обеспечивает отличные показатели остеоинтеграции. Чистый титан не вызывает аллергических реакций и отторжения.
Керамическое покрытие внешней части конструкции способствует активному проникновению белков, что ускоряет рост костных структур. С 2001 года компания начала применять технологию напыления диоксида циркония на поверхность импланта. Это позволяет упростить процесс вживления, а благодаря пористой структуре обеспечивается надежная винтовая фиксация внутри кости, что является гарантией практически стопроцентной приживаемости.
Революционным достижением компании Nobel Biocare стала поверхность TiUnite, представляющая собой умеренно шероховатый утолщенный слой диоксида титана с добавлением фосфора. В результате анодирования увеличивается общее количество микропор и толщина оксидного слоя. Ультра-гидрофильные свойства поверхности TiUnite позволяют ей быстро абсорбировать тромбин, что способствует ускоренному росту тромбоцитов и, соответственно, быстрому наступлению полной остеоинтеграции.
Разработанная компанией технология Nobel Procera TM позволяет производить индивидуальные виниры, абатменты и мостовидные протезы. Для достижения максимальной точности соответствия анатомическим особенностям используется метод CAD/CAM.
Производство имплантов включает дополнительный этап контроля качества. Каждая конструкция получает уникальный серийный регистрационный номер, что исключает возможность использования подделок.
Компания продолжает внедрять в производство 2G-сканеры, работающие по принципу коноскопической голографии. На основе отсканированных оттисков удается создавать импланты и видимые части коронок, точно воспроизводящие геометрические формы любой сложности.
Врачи отмечают, что имплантаты Nobel Biocare представляют собой один из самых передовых вариантов на рынке стоматологических решений. Существует несколько видов имплантатов этой марки, включая NobelReplace, NobelActive и NobelParallel. Каждый из них имеет свои уникальные характеристики и преимущества. Например, NobelReplace подходит для большинства клинических случаев благодаря своей универсальности и надежности. NobelActive, в свою очередь, обеспечивает отличную первичную стабильность, что особенно важно при сложных условиях установки. NobelParallel отличается параллельной формой, что позволяет использовать его в ограниченных пространствах. Врачи подчеркивают, что все имплантаты Nobel Biocare обладают высокой биосовместимостью и долговечностью, что делает их отличным выбором для пациентов, стремящихся к восстановлению зубного ряда.
https://youtube.com/watch?v=su2Hi8-L9sU
Почему пациенты и врачи во всем мире доверяют имплантам Нобель
Компания Nobel Biocare заслуженно считается лидером в сфере дентальной имплантологии. Ее история началась в 50-х годах прошлого века, и за это время накоплен огромный опыт в производстве имплантов.
Уникальная конструкция титановых изделий позволяет достигать уровня приживаемости близкого к 100%.
Имплант состоит из двух основных компонентов:
- прочного титанового винта, который вживляется в костную ткань;
- абатмента – внешнего элемента, на который устанавливаются съемные коронки.
Импланты Nobel имеют конусообразную форму, что упрощает процесс вживления и делает его менее травматичным. Дополнительные двойные бороздки на резьбе способствуют лучшему уплотнению кости в период приживления. Более надежная фиксация достигается благодаря треугольной верхушке.
Ключевые преимущества:
- надежная защита от подделок – каждому импланту присваивается уникальный серийный номер;
- запатентованная технология обработки покрытия TiUnite, обеспечивающая высокую эффективность имплантации;
- возможность использования имплантов при полной и частичной адентии;
- восстановление утраченного зуба за одно посещение стоматолога;
- протезирование может осуществляться с применением любых материалов;
- надежное соединение между имплантом и абатментом;
- широкий ассортимент моделей;
- пожизненная гарантия при условии качественной установки (гарантия на абатменты составляет от 12 лет);
- использование специализированного программного обеспечения для планирования операции и точного прогнозирования результатов;
- возможность применения скуловой кости как альтернативы костной пластике;
- быстрое наступление остеоинтеграции.
| Вид имплантата Nobel Biocare | Особенности и назначение | Преимущества |
|---|---|---|
| NobelReplace Conical Connection | Коническое соединение, универсальный дизайн, подходит для большинства клинических случаев. | Высокая первичная стабильность, предсказуемый результат, широкий спектр ортопедических решений, возможность немедленной нагрузки. |
| NobelActive | Агрессивная резьба, коническая форма, высокая первичная стабильность даже в мягкой кости. | Идеален для немедленной имплантации и немедленной нагрузки, обеспечивает отличную фиксацию, подходит для сложных клинических случаев. |
| NobelParallel Conical Connection | Параллельные стенки, коническое соединение, универсальный дизайн. | Простота установки, предсказуемость, подходит для широкого круга показаний, хорошая остеоинтеграция. |
| NobelZygoma | Длинные имплантаты, устанавливаемые в скуловую кость. | Решение для пациентов с сильной атрофией верхней челюсти, позволяет избежать костной пластики, возможность немедленной нагрузки. |
| NobelReplace Tapered | Коническая форма, универсальный дизайн, подходит для большинства клинических случаев. | Высокая первичная стабильность, предсказуемый результат, широкий спектр ортопедических решений. |
| NobelSpeedy | Специальная резьба для быстрой установки, коническая форма. | Сокращение времени операции, высокая первичная стабильность, подходит для немедленной нагрузки. |
| NobelReplace Select | Универсальный имплантат с широким спектром показаний. | Надежность, предсказуемость, простота использования, проверенная временем система. |
Пожизненная гарантия производителя – это показатель самого высокого качества
Компания активно занимается исследованием новых технологических решений. Важное внимание уделяется случаям отторжения, чтобы исключить любые ошибки в будущем. Nobel Biocare производит изделия высокого качества, что позволяет с уверенностью гарантировать их пожизненный срок службы.
В случае возникновения периимплантита, компания готова выполнить все свои обязательства по замене, при условии, что данная клиническая ситуация не возникла из-за некомпетентности имплантолога. Именно поэтому Nobel Biocare организует обязательные обучающие семинары для специалистов, работающих с их продукцией.
Сертифицированные специалисты получают диплом, подтверждающий их высокую квалификацию. Еще одной причиной отторжения имплантов Nobel может стать небрежное отношение пациента к гигиене полости рта.
https://youtube.com/watch?v=5zHKPodkdsk
Обзор каталога имплантационных систем компании Nobel Biocare
На рынке стоматологии представлен разнообразный ассортимент имплантов Нобель, что дает возможность эффективно решать клинические задачи различной степени сложности.
Линейка имплантатов Active (Актив)
Уникальные конструкции, которые применяются в самых сложных клинических ситуациях. Они могут использоваться для восстановления утраченных фронтальных и жевательных зубов в процессе одномоментной имплантации.
Импланты Нобель Актив, благодаря своей особой форме, обеспечивают высокую стабильность сразу после установки. Ключевые преимущества:
- Наличие сменных платформ и обратноконусной шейки импланта гарантирует получение эстетически привлекательного результата.
- Возможность корректировать положение титанового стержня в процессе вживления.
- Высокая стабильность конструкции достигается благодаря внутреннему соединению конической формы.
- Импланты Нобель Актив могут устанавливаться даже в условиях ограниченного межзубного пространства.
- Возможность формирования естественного пришеечного контура коронки в области моляров.
- Улучшенный процесс остеоинтеграции, обеспечиваемый уникальной поверхностью TiUnite.
Nobel Replace, Replace-Select (Реплейс, Реплейс-Селект)
Наиболее популярной системой в области имплантологии является Nobel Replace. Она подходит как для одноэтапных, так и для двухэтапных процедур, независимо от объема костной ткани. Основные характеристики:
- Анатомическая форма стержня значительно упрощает процесс вживления и делает его максимально безопасным.
- Внутренняя трехканальная структура обеспечивает универсальность, легкость соединения и возможность постоянного контроля на протяжении всей операции.
- Световая кодировка позволяет точно распознавать различные элементы системы.
- Широкий ассортимент длины, диаметров и типов верхних частей.
- Зауженная шейка способствует лучшему приживлению импланта.
- Покрытие TiUnit.
- Наличие простых и универсальных протоколов для имплантации.
Импланты Реплейс-Селект обеспечивают высокие эстетические результаты, что делает их идеальными для особых случаев. Ключевые особенности:
- Узкая шейка (1 – 2 мм) с полированной поверхностью облегчает подбор глубины для формирования правильного десневого края.
- Возможность ускорения процесса лечения с использованием экспресс-методов.
- Трехканальное соединение упрощает установку импланта.
Системы Conical Connection (Коникал Коннекшн)
Применяются при заболеваниях различной степени сложности. Оснащены конусообразной шестигранной системой крепления, которая отличается высокой надежностью. Ключевые характеристики:
- Гарантируют отличный эстетический результат благодаря возможности замены платформ.
- Обеспечивают высокую первичную стабилизацию в костной ткани с низкой плотностью благодаря уникальной корневидной форме импланта.
- Предлагают два варианта шейки.
Имплантаты Nobel Parallel (Параллель)
Данная линейка предназначена для двухступенчатой имплантации. Обычно такие импланты применяются для восстановления утраченных зубов в области улыбки.
Специальная шейка с уступом вокруг конструкции способствует формированию необходимого объема мягких тканей в процессе остеоинтеграции. Это обеспечивает высокие эстетические результаты. Линейка Parallel известна своими выдающимися прочностными характеристиками.
Branemark System (Бранмарк Систем)
Самая исследованная клиническая система в мире. Она обладает рядом преимуществ:
- Высокая универсальность. Длина имплантов варьируется от 7 до 52,5 мм.
- Подходит для использования при средней и высокой плотности костной ткани.
- Обеспечивает отличную первичную стабилизацию в условиях мягкой костной ткани.
- Уникальное внешнее шестигранное соединение позволяет осуществлять любой вид протезирования даже при тонком биотипе десны.
- Поверхность TiUnite способствует улучшению остеоинтеграции.
Импланты Speedy и Speedy Groovy (Спиди, Спиди Груви)
Применяются при имплантации по ускоренным методам. Могут быть внедрены в кости с средней и низкой плотностью. Особенно полезны при установке мостов в условиях полной адентии.
Система Speedy Groovy обеспечивает отличную первичную стабилизацию в мягкой кости верхней челюсти благодаря углубленной резьбе. Она подходит для использования в различных клинических ситуациях.
Система Nobel-Zygoma (Нобель-Зигома)
Скуловые импланты для верхней челюсти имеют длину до 5,2 см и обеспечивают максимальную первичную и вторичную стабилизацию. Их можно применять при значительном дефиците костной ткани без необходимости в остеопластике.
Эти импланты созданы специально для реализации протокола операции All-on-4.
Есть ли риск, что могут установить подделку
Компания ценит свою репутацию и активно защищает свою продукцию от фальсификаций. Каждому имплантату присваивается уникальный серийный номер, который фиксируется в паспорте пациента.
Продукция упаковывается в индивидуальную стерильную упаковку. Для подтверждения подлинности Nobel Biocare создала специальный инструмент, который доступен медицинским специалистам.
Сколько стоят дентальные изделия и их установка «под ключ»
Импланты Nobel Biocare имеют стоимость в диапазоне 50 000 – 53 000 рублей. Цены на абатменты колеблются от 10 000 до 30 000 рублей. Протезирование на основе имплантов Нобель обойдется в сумму от 20 000 до 50 000 рублей.
Цена синус-лифтинга варьируется от 6 500 до 60 000 рублей. Экспресс-имплантация будет стоить от 50 000 до 70 000 рублей, а установка имплантов под ключ (включая все сопутствующие работы и материалы) составит от 75 000 до 120 000 рублей.
В нашей клинике действует программа лояльности. Пациенты получают баллы на карту Sky port, которые можно обменять на подарки и скидки на медицинские услуги.
Весь процесс подготовки полости рта и самой операции по этапам
Импланты Нобель демонстрируют высокую эффективность в различных клинических ситуациях. Их можно применять при имплантации, используя один из четырех основных методов:
- Двухэтапный протокол – традиционный способ установки импланта. На первом этапе осуществляется вживление конструкции с последующим наложением заглушки. После завершения остеоинтеграции заглушка удаляется, и устанавливается абатмент, который соединяет имплантат с протезом.
- Протокол одномоментной операции – имплант вводится сразу после удаления зуба, при условии отсутствия воспалительных процессов.
- Экспресс-имплантация – установка выполняется в один этап, без необходимости разрезать десну. Для этого применяется система Nobel Guide, что особенно актуально при восстановлении утраченных фронтальных зубов. Одним из преимуществ данной технологии является возможность установки временной коронки в течение 5-7 дней после имплантации.
- Комбинированный метод – одновременное применение нескольких технологий.
Процесс установки импланта включает следующие этапы:
- Диагностика – определяются возможные факторы, которые могут негативно сказаться на приживлении. При выявлении рисков проводится детальная оценка потенциальных преимуществ и недостатков имплантологического лечения.
- При необходимости выполняется наращивание костной ткани.
- Вживление импланта.
- Установка абатмента.
- Фиксация сначала временной, а затем постоянной коронки.
Особенности процедуры «All-on-4»
Революционная методика установки имплантов была создана в середине 90-х годов XX века. В переводе она означает «все на четырех». Суть данной процедуры заключается в протезировании (до 12 коронок одновременно) на четырех имплантах. Боковые конструкции устанавливаются под углом, а передние импланты вживляются строго вертикально в области фронта.
Метод подходит для полной и частичной адентии. Его можно применять только при наличии достаточного объема костной ткани или при незначительных атрофических изменениях. Данная методика используется для операций с немедленной нагрузкой.
Несъемный протез фиксируется в тот же день, но при этом сохраняется возможность его снятия при необходимости. Кроме того, под импланты можно адаптировать ранее использовавшийся съемный протез пациента.
Преимущества данной технологии:
- восстановление полной функциональности зубочелюстного аппарата;
- отсутствие необходимости в остеопластике при недостатке костной ткани;
- сокращение времени лечения;
- более низкая стоимость по сравнению с традиционными методами имплантации при различных степенях адентии;
- высокая степень приживаемости;
- тщательно клинически исследована.
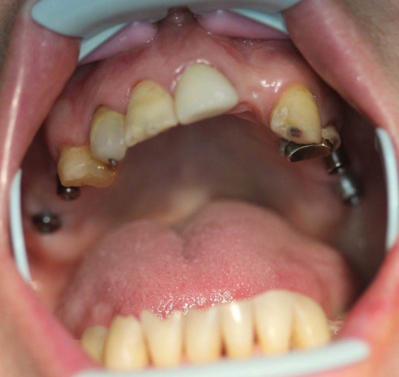
Фото зубов до и после установки имплантатов Nobel
Что говорят о Нобель пациенты
Дмитрий
Семь лет назад мне удалили два полностью разрушенных верхних моляра. На протяжении всех этих лет мне было сложно нормально жевать. В клинике Давтяна мне порекомендовали установить импланты швейцарской компании Нобель. Мне предоставили список необходимых анализов, которые нужно было сдать. Также провели компьютерную диагностику для оценки состояния костной ткани. Назначили профессиональную чистку зубов, и мне повезло, так как в клинике в это время действовала акция со скидкой на эту услугу. В назначенный день мне сделали имплантацию, и я остался очень доволен результатом. Поэтому рекомендую всем, кто сомневается в выборе имплантов и клиники, обратиться в клинику Давтяна.
Алла
К 60 годам на верхней челюсти у меня осталось всего несколько зубов, и их состояние было крайне плохим.
Врач предложил мне операцию «все на четырех» с использованием имплантов Нобель. Сначала меня огорчила высокая цена, и я начала искать более доступные альтернативы. Однако, узнав о всех преимуществах этого производителя и самой процедуры, я решилась на имплантацию. В итоге устанавливаются всего четыре импланта, на которые крепятся необходимые несъемные протезы. Спустя два года я ни разу не пожалела о потраченных средствах, так как результат полностью оправдал ожидания!
Сергей
На протяжении многих лет я страдал от неудобств, связанных с съемным протезом. В клинике я согласился на одномоментную имплантацию. Несмотря на высокую стоимость, я выбрал импланты Нобель, производимые в Швейцарии и США. Всего через несколько дней у меня были все зубы на месте. Я даже некоторое время чувствовал себя непривычно, так как давно не испытывал такого комфорта в ротовой полости!
Сравнение характеристик с другими популярными на мировом рынке системами
Компании, которые на протяжении многих лет предлагают свои импланты на современном рынке, предоставляют разнообразные функции, размеры и новейшие технологии. Премиальные бренды имеют свои уникальные характеристики, которые отличают их друг от друга.
Astra Tech
Система имеет ряд уникальных особенностей:
- формирование шероховатой поверхности;
- соединительная система с абатментом Conical Seal Design обеспечивает надежную фиксацию протеза на имплантате;
- технология Microthread гарантирует равномерное распределение нагрузки;
- система Connective Contour расширяет область контакта с мягкими тканями.
Узнайте больше об этой системе здесь.
Альфа Био
Имплантационные системы данной марки имеют следующие преимущества:
- пористую поверхность, способствующую эффективной остеоинтеграции;
- форму, максимально приближенную к естественной, что обеспечивает меньшую травматичность при установке;
- разнообразие моделей, позволяющее проводить имплантацию независимо от объема костной ткани;
- специализированные наборы хирургических инструментов, которые гарантируют высокое качество выполнения операции.
Mis
Основные характеристики:
- Поверхность импланта обрабатывается с использованием кислотного травления и пескоструйной обработки, что обеспечивает высокую первичную стабильность;
- Отсутствие дополнительных химических слоев на поверхности изделий минимизирует риск возникновения аллергических реакций;
- Неровное нанесение резьбы способствует улучшению фиксации и позволяет выбрать наиболее подходящий вариант конструкции;
- На каждом импланте указаны данные о производителе и серийный номер.
Straumann
Уникальные особенности:
- форма в виде конуса, что облегчает процесс установки;
- SLA-поверхность с неровностями и углублениями, способствующая более быстрому встраиванию в костную ткань;
- возможность применения жевательной нагрузки начиная с 4-й недели после имплантации;
- установка возможна даже при наличии диабета, гепатита и курении;
- специальные контейнеры для хранения и транспортировки, обеспечивающие сохранение стерильности.
Friadent Xive
Ключевые положительные аспекты:
- снижение уровня травматичности при проведении установки;
- подходят для любых условий костной ткани;
- обеспечивают высокую стабильность первоначальной конструкции;
- позволяют точно предсказать результаты имплантации;
- широкий ассортимент моделей;
- надежная защита от фальсификаций;
- могут быть установлены пациентам всех возрастных категорий.
Видео
https://youtube.com/watch?v=aXNtlKogPA8
Преимущества имплантатов Nobel Biocare для различных клинических случаев
Имплантаты Nobel Biocare предлагают широкий спектр решений для различных клинических случаев, что делает их универсальными и востребованными в стоматологической практике. Основные преимущества этих имплантатов заключаются в их высоком качестве, надежности и способности адаптироваться к индивидуальным потребностям пациентов.
Одним из ключевых аспектов является использование инновационных технологий в производстве имплантатов. Nobel Biocare применяет уникальные методы обработки поверхности, такие как TiUnite и NobelActive, которые способствуют лучшему остеоинтеграции. Это означает, что имплантаты быстрее и надежнее срастаются с костной тканью, что особенно важно для пациентов с ограниченной плотностью кости.
Имплантаты Nobel Biocare также предлагают разнообразие форм и размеров, что позволяет стоматологам выбирать оптимальное решение для каждого конкретного случая. Например, имплантаты NobelReplace имеют конусообразную форму, что обеспечивает стабильную фиксацию даже в сложных анатомических условиях. Это делает их идеальными для пациентов с недостатком костной ткани или для тех, кто нуждается в немедленной нагрузке на имплантат.
Для пациентов, которые страдают от значительного разрушения зубного ряда, Nobel Biocare предлагает систему All-on-4, которая позволяет установить полный протез на всего четыре имплантата. Это решение не только сокращает время лечения, но и минимизирует хирургическое вмешательство, что делает его более безопасным и комфортным для пациента.
Еще одним важным преимуществом является возможность использования имплантатов Nobel Biocare в сочетании с цифровыми технологиями. Системы CAD/CAM и 3D-сканирование позволяют создавать индивидуальные решения, что повышает точность установки имплантатов и улучшает общий результат лечения. Это особенно актуально для сложных случаев, когда требуется высокая степень точности.
Кроме того, Nobel Biocare предоставляет обширную гарантию на свои имплантаты, что подтверждает их надежность и долговечность. Это создает дополнительное доверие как у стоматологов, так и у пациентов, которые могут быть уверены в качестве выбранного решения.
В заключение, имплантаты Nobel Biocare представляют собой высококачественные и надежные решения для различных клинических случаев. Их преимущества, такие как высокая степень остеоинтеграции, разнообразие форм и размеров, возможность использования цифровых технологий и обширная гарантия, делают их отличным выбором для стоматологов и пациентов, стремящихся к восстановлению утраченных зубов.
Технологические инновации Nobel Biocare в области имплантологии
Nobel Biocare является одним из ведущих производителей зубных имплантатов, предлагая широкий ассортимент решений для восстановления зубов. В основе их продукции лежат передовые технологии и инновационные материалы, что позволяет достигать высоких результатов в стоматологической практике. Рассмотрим основные технологические инновации, которые делают имплантаты Nobel Biocare уникальными.
Одной из ключевых особенностей имплантатов Nobel Biocare является использование титана, который обладает высокой биосовместимостью и прочностью. Титановые имплантаты не вызывают аллергических реакций и хорошо интегрируются с костной тканью, что обеспечивает надежную фиксацию и долговечность. Кроме того, Nobel Biocare предлагает имплантаты с различными покрытиями, такими как SLA (Sandblasted, Large grit, Acid-etched), которые способствуют ускорению остеоинтеграции.
Компания также внедрила инновационные технологии, такие как NobelActive и NobelParallel, которые обеспечивают возможность установки имплантатов в сложных клинических ситуациях. NobelActive, например, имеет уникальную форму и резьбу, что позволяет устанавливать имплантат в условиях ограниченного пространства и при недостаточной костной ткани. Это делает его идеальным выбором для пациентов с атрофией челюсти.
Еще одной важной инновацией является система NobelGuide, которая позволяет проводить планирование имплантации с использованием 3D-моделирования. Это значительно повышает точность установки имплантатов и минимизирует хирургические риски. С помощью NobelGuide стоматологи могут заранее увидеть, как будет выглядеть конечный результат, что повышает уровень удовлетворенности пациентов.
Кроме того, Nobel Biocare предлагает широкий ассортимент абатментов, которые позволяют адаптировать имплантаты под индивидуальные анатомические особенности каждого пациента. Это обеспечивает не только эстетический, но и функциональный результат, что особенно важно для восстановления передних зубов.
В заключение, технологические инновации Nobel Biocare в области имплантологии делают их продукцию высокоэффективной и надежной. Использование современных материалов и технологий позволяет стоматологам достигать отличных результатов в восстановлении зубов, что в свою очередь повышает качество жизни пациентов.
Отзывы стоматологов о работе с имплантатами Nobel Biocare
Имплантаты Nobel Biocare зарекомендовали себя как одни из самых надежных и качественных на рынке стоматологических решений. Стоматологи отмечают высокую степень интеграции этих имплантатов с костной тканью, что обеспечивает долговечность и стабильность конструкции. Многочисленные исследования подтверждают, что имплантаты Nobel Biocare имеют высокий уровень успеха, достигающий 95-98% в течение первых 10 лет после установки.
Стоматологи также подчеркивают разнообразие моделей имплантатов, что позволяет выбрать оптимальный вариант для каждого пациента. Например, имплантаты NobelActive предназначены для установки в условиях ограниченной костной ткани и имеют уникальную форму, способствующую первичной стабильности. Это особенно важно для пациентов с атрофией челюсти, где традиционные методы могут оказаться неэффективными.
Другой популярной моделью являются имплантаты NobelReplace, которые подходят для большинства клинических случаев и обеспечивают отличную эстетику и функциональность. Стоматологи отмечают, что благодаря системе платформенной смены, можно легко адаптировать имплантаты под индивидуальные потребности пациента, что значительно упрощает процесс установки и уменьшает риск осложнений.
Кроме того, имплантаты Nobel Biocare имеют уникальную поверхность, обработанную с использованием технологии TiUnite, что способствует более быстрому и надежному заживлению. Стоматологи отмечают, что такая поверхность улучшает остеоинтеграцию, что особенно важно для пациентов с ослабленной костной тканью.
Многие стоматологи также выделяют простоту и удобство работы с системой Nobel Biocare. Наличие разнообразных инструментов и протоколов, а также доступ к обучающим материалам и поддержке от производителя, значительно упрощает процесс установки имплантатов и повышает уверенность врачей в своих действиях.
В заключение, отзывы стоматологов о работе с имплантатами Nobel Biocare в целом положительные. Врачи отмечают высокое качество продукции, широкий выбор моделей и удобство в использовании, что делает эти имплантаты отличным выбором для пациентов, нуждающихся в восстановлении зубного ряда.






