Пародонтоз — хроническое заболевание тканей, окружающих зубы, которое может привести к их потере без своевременной диагностики и лечения. В статье рассмотрим стадии пародонтоза с фото до и после лечения, а также сравним его с пародонтитом, чтобы прояснить различия между этими состояниями. Знание причин пародонтоза и методов лечения поможет вовремя обратиться к стоматологу и сохранить здоровье зубов и десен.
Симптомы пародонтоза и отличия от пародонтита
Заболевание развивается очень медленно, и его ранняя диагностика может представлять собой сложность. Чаще всего пародонтоз выявляется во время профилактического осмотра у стоматолога, который замечает расшатывание зубов и проблемы с дёснами.
Из-за отсутствия воспалительных процессов пародонтоз на определённом этапе не вызывает болевых ощущений. Исследования показывают, что пародонтоз может иметь наследственный характер, так как он часто встречается в семьях из поколения в поколение.
Существует множество признаков, позволяющих различить пародонтоз и пародонтит (см. фото до и после):
- Пародонтоз – это редкое заболевание, тогда как пародонтит встречается довольно часто.
- В первом случае основная причина заболевания заключается в нарушении клеточного питания, в то время как во втором – в неблагоприятной микрофлоре ротовой полости и наличии зубных отложений.
- Пародонтоз обычно затрагивает альвеолярные отростки всей ротовой полости, тогда как пародонтит может проявляться как локально, так и на нескольких участках дёсен.
- В первом случае воспаление дёсен отсутствует, и основным процессом является атрофия, тогда как во втором – преобладает воспалительный процесс.
- Пародонтоз не сопровождается образованием абсцессов, гнойных выделений, кровотечений и патологических зубодесневых карманов, в отличие от пародонтита.
- В случае пародонтоза зубы начинают расшатываться постепенно по мере прогрессирования заболевания, тогда как при пародонтите расшатывание может наблюдаться уже на ранних стадиях.
Классификация пародонтоза может основываться на нескольких критериях:
- по месту локализации: он бывает генерализованным (затрагиваются обе челюсти или весь зубной ряд) и локализованным (атрофия наблюдается лишь на ограниченном участке);
- по активности дегенеративных процессов: выделяют хронический и острый пародонтоз;
- в зависимости от степени повреждений костной ткани: выделяют пять стадий развития заболевания:
- Начальная стадия. Появление зуда и отёка на дёснах. Иногда дёсны могут кровоточить, наблюдается повышенная чувствительность дёсен и корней.
- Первая стадия. Увеличивается подвижность зубов, но они не выходят за пределы зубного ряда. Шейки зубов начинают обнажаться, образуется зубной камень. Затрудняется отток крови из дёсен.
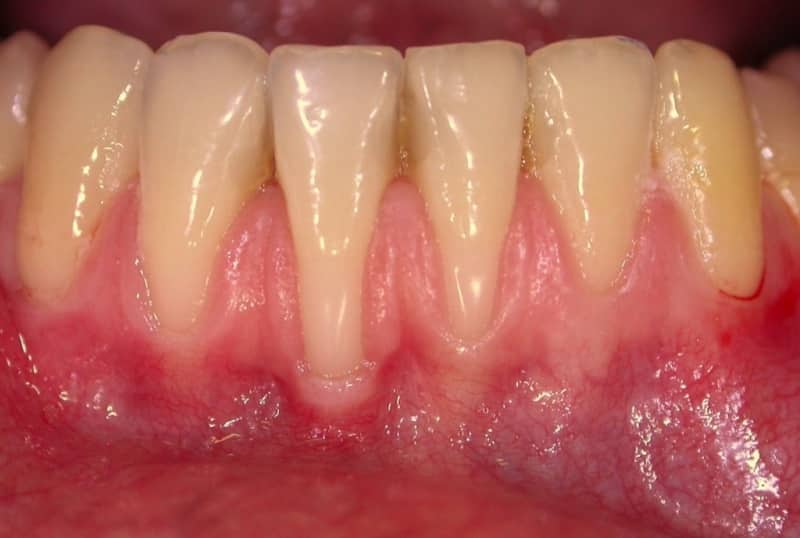
- Вторая стадия. Пародонтоз вызывает значительную рецессию дёсен и оголение зубных корней до трети их длины, зубы начинают сильнее расшатываться, выбиваясь из зубного ряда. Могут появляться скопления гноя и крови, слизистая меняет цвет и начинает чаще кровоточить.
- Третья стадия. Рецессия обнажает корни зубов на половину их длины, которые продолжают покрываться зубным камнем. Пародонтальный карман углубляется, и при контакте из дёсен появляются гнойные выделения. Зубы начинают свободно шататься в любом направлении, рентген показывает значительную атрофию альвеолярных отростков.
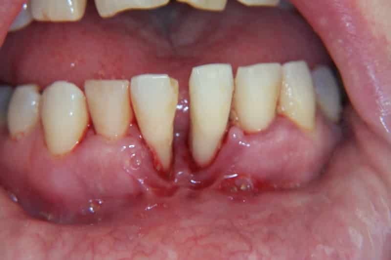
- Четвёртая стадия. Зубы полностью теряют связь с атрофированной костной тканью и удерживаются лишь за счёт мягких тканей. Подвижность зубов возрастает до такой степени, что они могут вращаться вокруг своей оси. Корни зубов видны более чем наполовину и покрыты значительным количеством отложений. Зубодесневой карман простирается на всю длину корня и наполняется гноем.
Пародонтоз — это заболевание, которое характеризуется прогрессирующим разрушением тканей, окружающих зубы. Врачи отмечают, что на начальных стадиях пародонтоз может проявляться незначительными симптомами, такими как покраснение и отечность десен. Однако по мере развития болезни наблюдаются более серьезные изменения. На фотографиях, иллюстрирующих это заболевание, можно увидеть отступление десен, образование карманов между зубами и деснами, а также появление зубного камня. Врачам важно подчеркнуть, что своевременная диагностика и лечение могут значительно замедлить прогрессирование пародонтоза и сохранить здоровье зубов. Визуальные признаки заболевания могут варьироваться, но в любом случае требуют внимания специалиста для предотвращения серьезных осложнений.
https://youtube.com/watch?v=dzs8yqDTBbw
Диагностика и причины
Диагностика пародонтоза квалифицированным специалистом обычно осуществляется с высокой степенью точности. Для установления диагноза анализируются данные анамнеза пациента и результаты осмотра ротовой полости.
На ранних стадиях заболевание чаще всего протекает без явных симптомов, и только со временем начинают проявляться заметные признаки недуга. На начальных этапах пародонтоза может потребоваться проведение дополнительных исследований для уточнения диагноза:
- Проба Кулаженко. Оценивает прочность капилляров, измеряя скорость образования гематом.
- Пузырчатая проба. Определяет скорость рассасывания отёков на деснах, что позволяет оценить уровень их гидрофильности.
Считается, что основным фактором, способствующим развитию пародонтоза, является дистрофия костной ткани в альвеолярных отростках, которая поддерживается такими факторами, как недостаточная гигиена полости рта, ослабленный иммунитет, наследственность, особенности телосложения и питание.
Кроме того, многие специалисты считают, что выделение токсинов микроорганизмами является триггером для начала заболевания. Ткани пародонта подвергаются дегенеративным изменениям на клеточном уровне под воздействием бактерий.
Существуют также научные доказательства влияния сосудистого фактора. Артериальные и склеротические изменения могут негативно сказаться на кровоснабжении и питании тканей пародонта, что приводит к их атрофии.
Недостаток витаминов групп C, E и P также может стать одной из причин развития пародонтоза, так как это способствует ускорению атрофии костных тканей челюсти.
| Признак | Описание | Фото |
|---|---|---|
| Кровоточивость десен | Десны кровоточат при чистке зубов, приеме твердой пищи или даже спонтанно. | [Изображение кровоточащих десен] |
| Отек и покраснение десен | Десны выглядят опухшими, ярко-красными или синюшными, иногда блестящими. | [Изображение опухших и покрасневших десен] |
| Рецессия десны (оголение корней) | Десна опускается, обнажая корни зубов, которые могут выглядеть длиннее обычного. | [Изображение рецессии десны] |
| Подвижность зубов | Зубы становятся шаткими, особенно на поздних стадиях заболевания. | [Изображение зубов с видимой подвижностью] |
| Образование пародонтальных карманов | Между зубом и десной образуются глубокие щели, где скапливаются бактерии и остатки пищи. | [Схематичное изображение пародонтального кармана] |
| Неприятный запах изо рта (галитоз) | Вызван размножением бактерий в пародонтальных карманах. | [Изображение, символизирующее неприятный запах изо рта] |
| Изменение положения зубов | Зубы могут смещаться, расходиться, образовывать щели. | [Изображение зубов со смещением] |
| Гнойные выделения из десен | При надавливании на десну может выделяться гной. | [Изображение гнойных выделений из десен] |
| Чувствительность зубов | Повышенная чувствительность к холодному, горячему, сладкому из-за оголения корней. | [Изображение зуба с чувствительностью] |
| Наличие зубного налета и камня | Скопление бактериального налета и твердых отложений на зубах и под десной. | [Изображение зубов с зубным налетом и камнем] |
Лечение
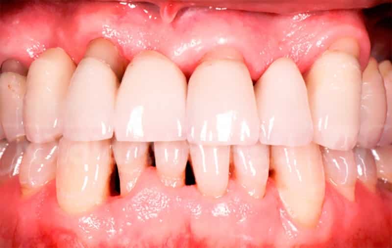
Алгоритм лечения пародонтоза напрямую зависит от стадии, на которой находится заболевание. То есть, выбор метода терапии определяется симптомами пародонтоза (см. фото). Кроме того, важно учитывать количество оставшихся зубов, так как при их отсутствии жевательная нагрузка на каждый зуб будет увеличиваться.
Зубы, ослабленные заболеванием, становятся всё более подвижными из-за повышенной нагрузки, что усугубляет разрушение костной ткани. Поэтому необходимо разработать чёткий план действий:
- Консультация у врача-пародонтолога. На первом приёме специалист проводит осмотр, назначает рентген или анализирует уже имеющиеся снимки. Это позволяет врачу оценить степень повреждения костной ткани, глубину пародонтальных карманов и определить дальнейшие шаги.
- Удаление зубных отложений. На этом этапе ротовая полость очищается от мягкого бактериального налёта и твёрдых минеральных отложений, которые часто становятся причиной пародонтоза. При недостаточном уходе за полостью рта отложения могут вернуться, поэтому важно следить за гигиеной.
- Противовоспалительная терапия. Она будет эффективна только при успешном выполнении предыдущего этапа. Без устранения первопричины воспалительных процессов применение медикаментов лишь снизит проявления симптомов, но заболевание продолжит развиваться. Лекарства и методы их применения назначает лечащий врач.
- Устранение источников инфекции. Необходимо полностью вылечить кариес на поражённых зубах или удалить их, чтобы предотвратить воспалительные процессы, вызванные вредоносными микроорганизмами. Если пародонтоз достиг последней стадии, и некоторые зубы потеряли связь с костной тканью, их следует удалить, а лунку подвергнуть депульпированию, чтобы замедлить разрушительные процессы в челюсти.
- Получение рекомендаций по гигиене полости рта. Важно получить от врача указания по правильной чистке зубов и выбору средств для ухода за полостью рта. Следует строго придерживаться этих рекомендаций, иначе лечение может оказаться неэффективным, и пародонтоз может вернуться.
- Шинирование зубов. При атрофии костной ткани зубы становятся более подвижными, что ускоряет дегенеративные процессы. Шинирование помогает значительно снизить или полностью устранить подвижность зубов, предотвращая их расхождение и дальнейшее разрушение костной ткани.
- Хирургическое вмешательство. После стабилизации зубов необходимо удалить зубодесневые карманы, которые с течением времени увеличиваются и заполняются гнойными выделениями, создавая условия для распространения инфекций в полости рта.
- Протезирование зубов. При отсутствии одного или нескольких зубов их следует заменить искусственными. Это поможет уменьшить жевательную нагрузку на оставшиеся зубы и создать шинирующий эффект, предотвращая повышенную подвижность и расхождение сохранившихся зубов.
Это основные этапы лечения пародонтоза (см. фото до и после). Существуют и дополнительные методы, такие как лазерная терапия, которая применяется для быстрого устранения симптомов воспаления десен.
Важно помнить, что лазер не является основным методом лечения. Для эффективной борьбы с пародонтозом необходимо строго следовать вышеописанному плану действий.
Пародонтоз поддаётся лечению, особенно на ранних стадиях. На более запущенных этапах можно лишь говорить о замедлении или остановке дегенеративных процессов.
Наибольшие трудности возникают при неумелом самолечении, когда пациенты не обращаются к врачу вовремя, до появления явных симптомов.
После завершения лечения рекомендуется посещать пародонтолога хотя бы раз в три месяца, даже при отсутствии жалоб и видимых ухудшений.
Также важно уделять должное внимание гигиене полости рта. Рецидив неизбежен, если не поддерживать чистоту зубов и дёсен. Другим важным аспектом является соблюдение диеты. Следует пересмотреть свой рацион питания в соответствии с новыми требованиями. Во-первых, необходимо исключить очень острые, твёрдые и горячие блюда.
Во-вторых, рацион должен быть сбалансированным и содержать достаточное количество микроэлементов и витаминов. В частности, стоит избегать рафинированных продуктов.
Помните, что при появлении тревожных симптомов следует незамедлительно обратиться к врачу. Справиться с таким серьёзным заболеванием, как пародонтоз, самостоятельно невозможно.
https://youtube.com/watch?v=PY5HW7dyW1Q
https://youtube.com/watch?v=N0QbnPjOt8Y
Профилактика пародонтоза
Профилактика пародонтоза играет ключевую роль в сохранении здоровья десен и зубов. Это заболевание, характеризующееся воспалением тканей, окружающих зубы, может привести к серьезным последствиям, таким как потеря зубов. Поэтому важно знать, как предотвратить его развитие.
Одним из основных методов профилактики является регулярная гигиена полости рта. Это включает в себя не только ежедневную чистку зубов, но и использование зубной нити, ополаскивателей для рта и других средств, которые помогают удалить налет и остатки пищи из труднодоступных мест. Рекомендуется чистить зубы дважды в день, а также посещать стоматолога не реже двух раз в год для профессиональной чистки и осмотра.
Правильное питание также играет важную роль в профилактике пародонтоза. Употребление продуктов, богатых витаминами и минералами, особенно витаминами C и D, способствует укреплению десен и улучшению общего состояния полости рта. Избегание чрезмерного потребления сахара и кислых продуктов помогает снизить риск развития кариеса и воспалительных процессов.
Кроме того, важно контролировать уровень стресса, так как он может негативно сказываться на здоровье десен. Стресс может приводить к привычкам, таким как скрежетание зубами или сжатие челюстей, что, в свою очередь, может усугубить состояние десен. Регулярные физические нагрузки и занятия релаксацией могут помочь в управлении стрессом.
Отказ от курения также является важным аспектом профилактики пародонтоза. Курение негативно влияет на кровообращение в деснах, что затрудняет их восстановление и заживление. Исследования показывают, что курящие люди имеют значительно более высокий риск развития заболеваний десен по сравнению с некурящими.
Наконец, важно обращать внимание на любые изменения в состоянии десен, такие как покраснение, отечность или кровоточивость. При первых признаках проблем следует обратиться к стоматологу для своевременной диагностики и лечения. Ранняя интервенция может предотвратить развитие пародонтоза и сохранить здоровье зубов на долгие годы.
Рекомендации по уходу за полостью рта
Уход за полостью рта играет ключевую роль в профилактике и лечении пародонтоза. Правильная гигиена поможет не только замедлить прогрессирование заболевания, но и улучшить общее состояние десен и зубов. Вот несколько рекомендаций, которые помогут поддерживать здоровье полости рта:
- Регулярная чистка зубов: Чистите зубы не менее двух раз в день с использованием фторсодержащей зубной пасты. Обратите внимание на технику чистки: движения должны быть мягкими и круговыми, чтобы не повредить десны.
- Использование зубной нити: Зубная нить помогает удалить остатки пищи и налет из межзубных пространств, куда не может добраться зубная щетка. Рекомендуется использовать зубную нить хотя бы раз в день.
- Полоскания: Используйте антисептические ополаскиватели для рта, чтобы уменьшить количество бактерий в полости рта. Это поможет снизить воспаление десен и предотвратить образование зубного налета.
- Регулярные визиты к стоматологу: Профилактические осмотры и профессиональная чистка зубов у стоматолога должны проводиться не реже двух раз в год. Это позволит своевременно выявить проблемы и предотвратить развитие пародонтоза.
- Сбалансированное питание: Употребляйте продукты, богатые витаминами и минералами, особенно витамином C и кальцием, которые способствуют укреплению десен и зубов. Избегайте избыточного потребления сахара, который способствует образованию налета и кариеса.
- Отказ от вредных привычек: Курение и употребление алкоголя негативно сказываются на здоровье десен. Отказ от этих привычек поможет улучшить состояние полости рта и снизить риск развития пародонтоза.
- Контроль за состоянием десен: Обращайте внимание на любые изменения в состоянии десен, такие как кровоточивость, отечность или изменение цвета. При появлении таких симптомов необходимо обратиться к стоматологу.
Следуя этим рекомендациям, вы сможете значительно снизить риск развития пародонтоза и поддерживать здоровье своей полости рта на высоком уровне. Помните, что профилактика всегда проще и эффективнее, чем лечение уже запущенного заболевания.
Влияние пародонтоза на общее здоровье
Пародонтоз, или пародонтит, представляет собой хроническое воспалительное заболевание, которое затрагивает ткани, окружающие зубы, включая десны, костную ткань и связки. Это заболевание может иметь серьезные последствия не только для полости рта, но и для общего состояния здоровья человека. Исследования показывают, что пародонтоз может быть связан с рядом системных заболеваний, таких как диабет, сердечно-сосудистые заболевания и респираторные инфекции.
Одним из основных механизмов, связывающих пародонтоз с общим здоровьем, является хроническое воспаление. Воспалительные процессы в деснах могут приводить к повышению уровня системных воспалительных маркеров, таких как С-реактивный белок (СРБ), что, в свою очередь, может способствовать развитию атеросклероза и других сердечно-сосудистых заболеваний. Кроме того, бактерии, присутствующие в воспаленных деснах, могут попадать в кровоток и вызывать инфекционные процессы в других органах.
Исследования также показывают, что пародонтоз может ухудшать контроль уровня сахара в крови у пациентов с диабетом. Воспаление и инфекции в полости рта могут затруднять поддержание нормального уровня глюкозы, что приводит к ухудшению состояния диабетиков. Это создает порочный круг, так как высокий уровень сахара в крови может способствовать прогрессированию пародонтоза.
Кроме того, существует связь между пародонтозом и респираторными заболеваниями. Бактерии из воспаленных десен могут попадать в легкие, вызывая пневмонию и другие инфекции. Это особенно актуально для пожилых людей и пациентов с ослабленной иммунной системой.
Важно отметить, что профилактика и лечение пародонтоза могут значительно улучшить общее состояние здоровья. Регулярные визиты к стоматологу, профессиональная чистка зубов и соблюдение гигиенических норм могут помочь предотвратить развитие заболевания и его осложнений. Также стоит обратить внимание на здоровый образ жизни, включая правильное питание, отказ от курения и физическую активность, что может способствовать улучшению состояния десен и общего здоровья.


