Кариес — распространённое стоматологическое заболевание, затрагивающее людей всех возрастов. Профилактика кариеса важна для поддержания здоровья полости рта и предотвращения серьёзных стоматологических проблем. В статье рассмотрим эффективные способы профилактики, включая эндогенную кальциевую профилактику, методы лечения и особенности серебрения зубов. Эти знания помогут вам и вашим детям сохранить зубы здоровыми и избежать последствий кариеса.
Профилактика кариеса
Профилактика кариеса — это крайне важный аспект в жизни каждого человека. Кариес — это заболевание, которое негативно сказывается на состоянии ротовой полости и в запущенных случаях приводит к разрушению и деформации зубов.
Поэтому особенно важно применять профилактические меры для предотвращения появления кариеса. Существуют различные подходы к профилактике как для взрослых, так и для детей.
К числу профилактических методов относится эндогенная кальциевая профилактика зубов у взрослых. Этот метод заключается в насыщении организма кальцием и другими витаминами, необходимыми для поддержания здоровья зубов.
Суть метода заключается в том, что в течение определенного времени человек должен получать максимальную суточную норму кальция. Кальций способствует укреплению зубов и повышает их устойчивость к стоматологическим заболеваниям.
Первоначально кальций можно получать с помощью витаминных комплексов, приобретенных в аптеке. Однако этого недостаточно. Важно также разработать правильный режим питания, в который обязательно должны входить молочные продукты, твердые сорта сыра и кунжут. Эти продукты богаты кальцием и способствуют укреплению зубной эмали.
Существует также антенатальная профилактика кариеса, направленная на предотвращение этого заболевания у беременных женщин.
Во время беременности у женщины возникает повышенная потребность в витаминах, необходимых для формирования плода. Антенатальная профилактика ориентирована на правильное физиологическое развитие ребенка. Беременным женщинам рекомендуется следовать нескольким правилам, которые помогут снизить риск стоматологических заболеваний:
-
Рациональное питание для беременных крайне важно. В период вынашивания ребенка у женщины могут возникать предпочтения к определенным продуктам. Необходимо избегать избыточного потребления сахара. Питание должно быть сбалансированным, и женщина должна включать в свой рацион продукты, содержащие необходимые питательные вещества и микроэлементы для развития плода. Овощи и фрукты обязательно должны присутствовать в ежедневном меню.
-
Витаминизация также играет важную роль. Беременность — это серьезный стресс для организма, поэтому рекомендуется принимать перинатальные витаминные комплексы на протяжении всей беременности и два месяца после родов. Витамины положительно влияют на рост плода и его физическое развитие. У детей, чьи матери принимали витаминные комплексы во время беременности, наблюдается более высокий уровень иммунитета.
Врачи-стоматологи единодушны в том, что профилактика кариеса зубов начинается с правильной гигиены полости рта. Регулярная чистка зубов дважды в день с использованием фторсодержащей зубной пасты помогает удалить налет и предотвратить развитие бактерий. Кроме того, специалисты рекомендуют использовать зубную нить для очистки межзубных пространств, где часто скапливаются остатки пищи.
Также важным аспектом является сбалансированное питание. Врачи советуют ограничить потребление сахара и кислых продуктов, которые способствуют разрушению эмали. Вместо этого стоит включить в рацион больше овощей, фруктов и молочных продуктов, богатых кальцием.
Регулярные визиты к стоматологу для профессиональной чистки и осмотра зубов также играют ключевую роль в профилактике кариеса. Специалисты подчеркивают, что раннее выявление проблем позволяет избежать серьезных последствий и сохранить здоровье зубов на долгие годы.
https://youtube.com/watch?v=p30N_fXiQu8
Лечение кариеса в домашних условиях
Зная, как предотвратить кариес в домашних условиях, человек защищает себя от развития стоматологических заболеваний. Лечение кариеса в домашних условиях возможно при условии соблюдения правил гигиены полости рта, особенно это касается регулярной чистки зубов. Рекомендуется ежедневно использовать зубные пасты с фтором, которые способствуют укреплению эмали.
Зубная паста с фтором особенно эффективна на ранних стадиях кариеса. Оптимально сочетать использование фторсодержащей пасты с ежедневным полосканием рта антисептическими средствами.
Также возможно провести медикаментозный курс лечения в домашних условиях, который поможет минерализовать эмаль.
Для этого применяют гель, содержащий кальций, магний и фтор. Его наносят тонким слоем на поверхность зубной эмали, и через некоторое время образуется защитная пленка. Эта пленка защищает зубную эмаль от различных раздражителей.
| Категория профилактики | Метод предотвращения кариеса | Описание / Рекомендации |
|---|---|---|
| Гигиена полости рта | Регулярная чистка зубов | Чистить зубы не менее двух раз в день (утром и вечером) в течение 2-3 минут, используя фторсодержащую зубную пасту. |
| Использование зубной нити/ирригатора | Ежедневно очищать межзубные промежутки, где скапливаются остатки пищи и налет, недоступные для зубной щетки. | |
| Использование ополаскивателя для рта | Применять ополаскиватель с фтором или антибактериальными компонентами для дополнительной защиты и свежести дыхания. | |
| Чистка языка | Удалять налет с языка с помощью специального скребка или зубной щетки, чтобы уменьшить количество бактерий. | |
| Питание | Ограничение потребления сахара | Сократить количество сладких напитков, конфет, выпечки и других продуктов с высоким содержанием сахара, особенно между приемами пищи. |
| Сбалансированное питание | Включить в рацион продукты, богатые кальцием (молочные продукты), фосфором (рыба, мясо) и витаминами (овощи, фрукты) для укрепления эмали. | |
| Употребление воды | Пить достаточное количество воды, особенно после еды, чтобы смывать остатки пищи и нейтрализовать кислоты. | |
| Профессиональная профилактика | Регулярные визиты к стоматологу | Посещать стоматолога не реже одного-двух раз в год для профилактических осмотров и профессиональной чистки зубов. |
| Профессиональная чистка зубов | Удаление зубного налета и камня, которые являются основной причиной развития кариеса. | |
| Фторирование зубов | Нанесение фторсодержащих препаратов на зубы для укрепления эмали и повышения ее устойчивости к кислотам. | |
| Герметизация фиссур | Заполнение глубоких бороздок на жевательной поверхности зубов специальным герметиком для предотвращения скопления бактерий и остатков пищи. | |
| Дополнительные меры | Использование жевательной резинки без сахара | Жевательная резинка стимулирует слюноотделение, которое помогает очищать зубы и нейтрализовать кислоты. |
| Отказ от курения | Курение негативно влияет на здоровье полости рта, увеличивая риск развития кариеса и других заболеваний. | |
| Контроль за приемом лекарств | Некоторые лекарства могут вызывать сухость во рту, что способствует развитию кариеса. Обсудите это со своим врачом. |
Кариес у детей
Кариес у детей возникает по нескольким причинам, главной из которых является деминерализация зубной эмали. На начальных этапах заболевание практически не вызывает дискомфорта.
Родители должны обратить внимание на следующие изменения в ротовой полости:
- на зубах образуется налет в виде мелких коричневых или темно-желтых пятен;
- ребенок начинает остро реагировать на холодные и горячие продукты.
Существует мнение, что молочные зубы являются временными, и они выпадут, уступив место постоянным, более крепким зубам. Однако многие родители ошибочно полагают, что кариес на молочных зубах не может повлиять на формирование коренных.
Запущенный кариес негативно сказывается на состоянии всей ротовой полости. Со временем заболевание приводит к разрушению зубов, что также затрагивает слизистую оболочку рта.
В детском организме инфекция распространяется значительно быстрее, чем у взрослых. Неокрепший организм не способен эффективно противостоять заболеваниям. На более поздних стадиях кариеса могут проявляться следующие симптомы:
При воздействии раздражителей (холодная или жесткая пища) у ребенка возникает острая боль, которая охватывает всю полость рта. Эта боль не проходит мгновенно, а может длиться довольно долго. В таком случае необходимо дать ребенку легкое обезболивающее и как можно скорее обратиться к стоматологу.
Для детей дошкольного возраста можно использовать «Нурофен» в качестве обезболивающего.
Стоматолог подскажет, как предотвратить развитие кариеса. Обычно врач рекомендует процедуру глубокого фторирования зубов, которая проводится исключительно специалистом. Этапы этой процедуры следующие:
- ротовая полость тщательно очищается;
- врач наносит на эмаль специальный состав, содержащий магний, фтор и медь;
- затем следует длительная сушка с помощью специальной лампы, что может быть утомительно для ребенка;
- в завершение зубы обрабатываются гидроокисью кальция.
Эффект от процедуры ощущается сразу, однако в первые несколько дней необходимо соблюдать определенные правила и уделять особое внимание гигиене ротовой полости ребенка.
К правилам, которые следует соблюдать после глубокого фторирования, относятся:
- в течение двух часов нельзя ничего есть и пить;
- в первые два-три дня ребенку не следует давать слишком холодную или горячую пищу;
- стоит ограничить малыша от жесткой пищи (это временная мера, так как жесткая еда создает нагрузку на челюсть, что необходимо для человека);
- в первый день категорически запрещается давать ребенку сладости и продукты с высоким содержанием сахара.
В некоторых случаях врач может назначить параллельное лечение фторсодержащими препаратами и рекомендовать комплекс витаминов.
https://youtube.com/watch?v=S8v6MEU3x_0
Профилактика кариеса у детей
Предотвращение кариеса считается наилучшим подходом, и для этого применяются профилактические меры. У детей дошкольного возраста профилактика кариеса осуществляется с помощью простого фторирования или серебрения зубов.
Процесс простого фторирования выполняется стоматологом и включает следующие этапы:
- полное очищение ротовой полости;
- создание индивидуального слепка зубов ребенка;
- нанесение фторсодержащего препарата на слепок;
- надевание слепка на зубы ребенка на срок от 10 до 15 минут.
Эти манипуляции проводятся в течение 10 сеансов. Положительный эффект заметен уже после первого сеанса, эмаль становится более прочной и лучше выдерживает температурные колебания пищи и напитков.
Важно отметить, что результат процедуры во многом зависит от соблюдения правил гигиены ротовой полости.
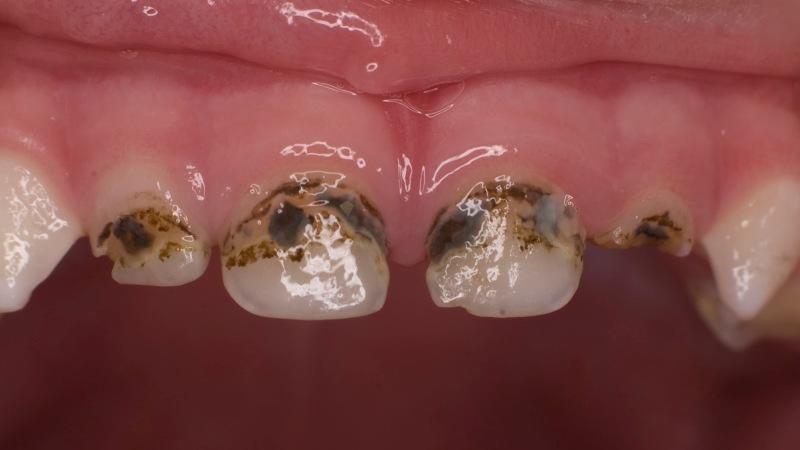
Дети младше трех лет часто испытывают страх перед стоматологом. Поэтому удержать их в кресле врача на длительное время бывает сложно. В таких случаях стоматолог рекомендует серебрение зубов, которое является абсолютно безболезненной процедурой.
При серебрении практически не используются стоматологические инструменты. Процедура осуществляется с помощью антисептиков и раствора нитрата серебра.
Этапы процедуры следующие:
- врач тщательно очищает ротовую полость;
- с помощью ваты или ватного тампона наносит раствор нитрата серебра на зубы;
- смесь остается на эмали на несколько минут, образуя защитную пленку.
Обеспечить своему ребенку защиту от стоматологических заболеваний достаточно просто, главное — знать, как предотвратить развитие кариеса.
Гигиена полости рта
Чтобы сохранить зубы красивыми и здоровыми, важно придерживаться определенных гигиенических норм ухода за полостью рта:
- Чистите зубы дважды в день. Утром, перед завтраком, рекомендуется подождать немного после чистки, прежде чем начинать прием пищи. Второй раз чистка зубов должна происходить перед сном, когда вы уже не планируете есть или пить.
- Старайтесь избегать продуктов и напитков с высоким содержанием сахара. Сахар оказывает крайне негативное влияние на здоровье ротовой полости.
- Регулярно посещайте стоматолога для профилактического осмотра. Врач сможет оценить состояние ваших зубов и, если обнаружит признаки стоматологических заболеваний, сразу же назначит необходимое лечение, что поможет избежать дальнейших проблем.
Каждый человек может защитить себя от кариеса, следуя простым правилам, которые доступны всем. Главное — это желание заботиться о своем здоровье.
https://youtube.com/watch?v=dV2qb6VRP70
Правильное питание для здоровья зубов
Правильное питание играет ключевую роль в поддержании здоровья зубов и предотвращении кариеса. Основные аспекты, на которые стоит обратить внимание, включают баланс питательных веществ, выбор продуктов и режим питания.
Во-первых, важно обеспечить организм достаточным количеством витаминов и минералов, необходимых для здоровья зубов. Кальций и витамин D являются основными элементами, способствующими укреплению зубной эмали. Молочные продукты, такие как молоко, йогурт и сыр, являются отличными источниками кальция. Витамин D, который помогает организму усваивать кальций, можно получить из жирной рыбы, яиц и обогащенных продуктов.
Во-вторых, необходимо включать в рацион продукты, богатые фосфором, который также способствует укреплению зубов. Фосфор содержится в мясе, рыбе, яйцах и орехах. Эти продукты помогают поддерживать баланс минералов в организме и способствуют восстановлению зубной эмали.
Не менее важным является потребление витаминов группы B, особенно витамина B2 (рибофлавина) и B3 (ниацина), которые помогают поддерживать здоровье десен. Эти витамины можно найти в цельнозерновых продуктах, бобовых, мясе и молочных продуктах.
Следует также обратить внимание на продукты, содержащие антиоксиданты, такие как витамины C и E, которые помогают защищать десны от воспалений и инфекций. Фрукты и овощи, особенно цитрусовые, ягоды, шпинат и брокколи, являются отличными источниками этих витаминов.
Однако не менее важно избегать избыточного потребления сахара, который является основным виновником кариеса. Сахар способствует размножению бактерий в полости рта, которые выделяют кислоты, разрушающие зубную эмаль. Поэтому стоит ограничить употребление сладких напитков, кондитерских изделий и закусок с высоким содержанием сахара.
Кроме того, стоит обратить внимание на режим питания. Регулярные приемы пищи, состоящие из здоровых и питательных продуктов, помогут поддерживать уровень сахара в крови стабильным и снизят риск возникновения кариеса. Полезно также включать в рацион продукты, которые способствуют слюноотделению, такие как яблоки и морковь. Слюна помогает нейтрализовать кислоты и очищать зубы от остатков пищи.
В заключение, правильное питание является важным аспектом профилактики кариеса. Сбалансированный рацион, богатый необходимыми витаминами и минералами, а также ограничение сахара и регулярные приемы пищи помогут сохранить здоровье зубов на долгие годы.
Регулярные визиты к стоматологу
Стоматологические осмотры позволяют выявить проблемы на ранних стадиях, когда лечение может быть менее инвазивным и более эффективным. Рекомендуется посещать стоматолога не реже двух раз в год, даже если у вас нет явных проблем с зубами.
Во время визита стоматолог проводит тщательный осмотр полости рта, включая проверку состояния зубов, десен и слизистой оболочки. Он может использовать рентгеновские снимки для выявления скрытых кариозных поражений, которые не всегда видны при визуальном осмотре. Раннее обнаружение кариеса позволяет избежать его прогрессирования и более серьезных последствий, таких как пульпит или абсцесс.
Кроме того, стоматолог может провести профессиональную чистку зубов, удаляя зубной налет и камень, которые способствуют развитию кариеса. Эта процедура помогает предотвратить воспаление десен и другие стоматологические заболевания. Профессиональная чистка также может включать фторирование зубов, что значительно укрепляет эмаль и делает зубы более устойчивыми к кариесу.
Стоматологи также могут дать рекомендации по правильной гигиене полости рта и диете, что является важным аспектом профилактики кариеса. Они могут посоветовать, какие зубные пасты и ополаскиватели лучше использовать, а также как правильно чистить зубы и пользоваться зубной нитью.
Важно помнить, что регулярные визиты к стоматологу не только помогают предотвратить кариес, но и способствуют общему здоровью полости рта. Забота о зубах и деснах в раннем возрасте закладывает основы для здоровой улыбки на всю жизнь. Поэтому не стоит откладывать визит к стоматологу, даже если вам кажется, что с зубами все в порядке.
Использование фторсодержащих средств
Фтор является одним из наиболее эффективных средств в профилактике кариеса зубов. Он помогает укрепить зубную эмаль и делает её более устойчивой к воздействию кислот, которые образуются в результате жизнедеятельности бактерий в полости рта.
Существует несколько форм фторидов, которые могут быть использованы для профилактики кариеса:
- Фторидные зубные пасты: Наиболее распространённый способ получения фтора. Рекомендуется использовать зубные пасты, содержащие фтор, с концентрацией от 1000 до 1500 ppm (частей на миллион). Чистка зубов дважды в день с использованием фторсодержащей пасты помогает укрепить эмаль и предотвратить образование кариеса.
- Фторидные ополаскиватели: Эти средства могут использоваться дополнительно к зубной пасте. Ополаскиватели с фтором обеспечивают дополнительную защиту, особенно для людей с высоким риском кариеса. Рекомендуется использовать их один раз в день, особенно после чистки зубов.
- Фторидные гели и пенки: Эти продукты обычно применяются в стоматологических клиниках, но могут быть рекомендованы и для домашнего использования. Они содержат более высокую концентрацию фтора и наносятся на зубы с помощью специальной щётки или аппликатора. Такие процедуры могут быть особенно полезны для людей с повышенной чувствительностью зубов или теми, кто уже имеет проблемы с кариесом.
- Фторидные таблетки: В некоторых случаях стоматологи могут рекомендовать приём фторидных таблеток, особенно для детей, которые не получают достаточного количества фтора из других источников. Однако важно помнить, что чрезмерное употребление фтора может привести к флюорозу — состоянию, при котором на зубах появляются белые пятна или полосы.
Важно отметить, что использование фторсодержащих средств должно быть сбалансированным. Чрезмерное количество фтора может быть вредным, поэтому всегда следует следовать рекомендациям стоматолога и инструкциям на упаковке. Кроме того, стоит учитывать, что фтор может быть токсичным при проглатывании в больших количествах, особенно для детей. Поэтому родителям следует контролировать, сколько пасты или ополаскивателя использует ребёнок, и обучить его правильным привычкам гигиены полости рта.
В заключение, использование фторсодержащих средств является важной частью профилактики кариеса. Регулярное применение таких продуктов в сочетании с правильной гигиеной полости рта и регулярными визитами к стоматологу поможет сохранить здоровье зубов на долгие годы.



