Гнойник на десне — болезненное состояние, возникающее из-за стоматологических заболеваний. Важно распознать его признаки и начать лечение, чтобы избежать осложнений. В статье рассмотрим причины появления гнойников, их симптомы и методы лечения, а также рекомендации по уходу за полостью рта. Эти знания помогут справиться с проблемой и предотвратить ее повторение.
Причины гнойной опухоли
На начальной стадии воспаление десен с образованием гноя может не проявляться явно, и лишь в редких случаях пациент ощущает дискомфорт при нажатии на пораженный участок, во время еды или при чистке зубов. Иногда может наблюдаться кровотечение. Если не предпринимать никаких мер, гнойник может увеличиваться, проявляясь кровоточивостью, прорывами и дальнейшим распространением инфекции. В результате возникают сильные боли, десна отекает, что часто приводит к образованию флюса.
Посещение стоматолога является единственным способом избежать различных осложнений, так как специалист сможет определить причину проблемы и помочь избавиться от боли и гнойного образования.
Опасное заболевание с гнойными образованиями может возникнуть даже у маленьких детей. Если не начать лечение вовремя, это может привести к серьезным последствиям, таким как обширное распространение инфекции и заражение крови.
- Одной из причин воспаления с образованием гноя является наличие патогенных бактерий в области зубодесневого кармана.
- Бактериальная микрофлора также может развиваться у пациентов с протезами и коронками на зубах.
- При пародонтите часто образуются гнойники на деснах. Этот процесс начинается, когда бактерии из кармана проникают в мелкие десневые раны, что приводит к образованию гноя из-за их активной жизнедеятельности.
- У детей и взрослых гнойные нарывы могут возникать из-за некачественного пломбирования, когда под пломбой размножаются микробы, что приводит к образованию гнойника. Неправильная техника лечения или занесение инфекции во время хирургического вмешательства с использованием нестерильных инструментов (например, при удалении зуба) также могут быть причиной.
- К другим факторам относятся несоблюдение гигиены полости рта, наличие зубного камня, развитие кариеса, неправильное питание и заболевания органов пищеварения.
При гнойном воспалении многие люди стараются как можно быстрее обратиться к стоматологу. Однако бывают случаи, когда образование, напоминающее гнойник, не вызывает болевых ощущений. В таких ситуациях визит к врачу может откладываться, что является ошибкой. Небольшой гнойничок может быстро развиться и привести к серьезным последствиям. Гнойные образования без боли и других симптомов могут иметь различные причины. Например, при простудах десневой ткани и зуба, а также при инфицировании зубного канала может образоваться киста, представляющая собой законсервированный гнойник внутри десны. Это образование считается очень опасным, и для его выявления врач может назначить рентгенографию. По внешнему виду киста может напоминать жировик или доброкачественную опухоль, которые со временем увеличиваются и представляют собой серьезную угрозу.
Нельзя пытаться избавиться от гнойного образования самостоятельно. Лучше всего незамедлительно обратиться к врачу.
Любое гнойное образование при отсутствии своевременного лечения может потребовать хирургического вмешательства и полного удаления зуба.
Врачи отмечают, что лечение гнойника на десне требует комплексного подхода. В первую очередь, необходимо обратиться к стоматологу для диагностики и определения причины образования гнойника. Специалисты подчеркивают, что самолечение может привести к осложнениям, поэтому важно не откладывать визит к врачу.
В зависимости от состояния пациента, врач может назначить антибиотики для борьбы с инфекцией и противовоспалительные средства для уменьшения боли и отека. В некоторых случаях требуется хирургическое вмешательство для дренирования гнойника и удаления пораженных тканей.
Кроме того, стоматологи рекомендуют соблюдать гигиену полости рта, используя антисептические растворы для полоскания. Важно также следить за общим состоянием здоровья, так как ослабленный иммунитет может способствовать повторному возникновению проблемы. Врачи подчеркивают, что своевременное обращение за медицинской помощью и соблюдение рекомендаций специалиста помогут избежать серьезных последствий.
https://youtube.com/watch?v=Kt6cEDG5eRk
Симптомы и признаки
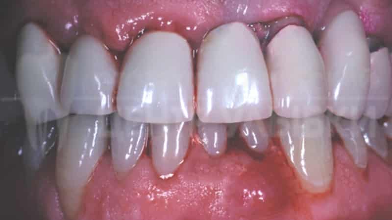
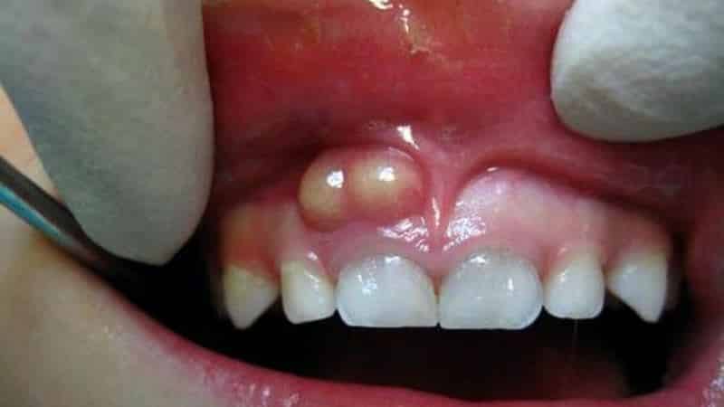
Основные признаки гнойного образования включают кровоточивость десен во время еды или при проведении гигиенических процедур, а также их реакцию на холодные и горячие напитки и пищу. Бактериальная инфекция часто проявляется синеватым оттенком, особенно заметным на деснах у детей. Со временем может образоваться небольшой бугорок, внутри которого скапливается гной. Этот процесс сопровождается болевыми ощущениями, отечностью десен, неприятным запахом изо рта и легким потемнением зубной эмали. В некоторых случаях наблюдается повышение температуры, общее ухудшение состояния, озноб, лихорадка и гнойные выделения из пораженной области.
При обнаружении гнойника на десне необходимо обратиться к врачу и избегать самостоятельного лечения. В экстренных ситуациях специалисты рекомендуют предпринять простые меры для облегчения боли и улучшения состояния.
Перед визитом к врачу можно прополоскать рот антисептическими растворами, такими как хлоргексидин, мирамистин или фурацилин. К пораженному участку можно прикладывать кусочки алоэ. Прокалывание гнойного образования строго запрещено, так как это может привести к попаданию инфекции в кровь. Данная процедура должна выполняться только квалифицированным специалистом с использованием стерильных инструментов. Также крайне не рекомендуется прогревать гнойник, так как это может способствовать распространению инфекции и ухудшению состояния. Если после удаления зуба на десне образовался гнойник и вы не знаете, что делать, следует немедленно обратиться в стоматологическую клинику.
| Этап лечения | Описание | Рекомендуемые действия |
|---|---|---|
| 1. Диагностика и первичная помощь | Определение причины и степени воспаления. | Немедленно обратиться к стоматологу. До визита: полоскание рта солевым раствором (1 ч.л. соли на стакан теплой воды) или отваром ромашки/шалфея для уменьшения воспаления и боли. Не выдавливать гнойник! |
| 2. Профессиональное лечение | Устранение источника инфекции и дренирование гнойника. | Стоматолог проведет: — Вскрытие и дренирование гнойника. — Удаление нерва (при пульпите) или лечение периодонтита. — Назначение антибиотиков (при необходимости) для борьбы с инфекцией. — Профессиональная чистка зубов. |
| 3. Домашний уход и профилактика | Поддержание гигиены полости рта и предотвращение рецидивов. | После лечения: — Регулярная и тщательная чистка зубов (минимум 2 раза в день). — Использование зубной нити и ополаскивателя. — Полоскание рта антисептическими растворами (по рекомендации врача). — Избегание травмирования десны. — Регулярные профилактические осмотры у стоматолога (раз в 6 месяцев). — Сбалансированное питание. |
Виды и способы лечения
При обнаружении гнойника в ротовой полости, неприятного запаха и других признаков воспаления, важно немедленно обратиться к врачу. Специалист проведет диагностику и назначит необходимое лечение. В противном случае может потребоваться хирургическое вмешательство. Первым шагом врач вскроет абсцесс и промоет ротовую полость. Затем он назначит полоскания специальными растворами, противовоспалительные мази и антибиотики. Для ускорения заживления ранок часто применяются лазерные процедуры.
Лечение включает удаление источника инфекции. Например, при периодонтите устраняется воспаление в области верхушки корня зуба, а также проводится перепломбировка корневых каналов. Ключевым этапом является удаление зубного налета.
Простые методы полоскания, аппликации и прием антибиотиков не будут эффективны при периодонтите с гнойным образованием. Игнорирование визита к специалисту может привести к серьезному разрушению костной ткани вокруг зуба и увеличению глубины карманов.
Если на деснах образовались гнойники, лечение в области верхушки корня может быть выполнено двумя способами:
- Консервативным.
- Хирургическим.
Для консервативного подхода сначала выполняется рентген, который помогает выявить периодонтит или другие образования. Снимаются пломбы и коронки, распломбируются корневые каналы. Если зуб поражен кариесом, удаляются поврежденные ткани, нерв и расширяются каналы. После оттока гноя из воспаленного участка проводится обработка каналов и назначаются антибиотики.
Если удалить гной традиционным способом не удается, выполняется хирургический надрез. Когда рентген показывает кисту или гранулему, стоматолог проводит временное пломбирование на три месяца с использованием специального материала на основе гидроокиси кальция. После уменьшения воспалительного процесса, что видно на контрольном снимке, стоматолог окончательно пломбирует каналы и устанавливает коронку или пломбу.
Хирургический метод лечения отличается упрощенной процедурой и более низкой стоимостью. Он применяется при плохо запломбированных корневых каналах, особенно у верхушки корня. Суть хирургического метода заключается в отсечении верхушки корня с помощью стоматологического инструмента, после чего удаляются гранулема или киста. Для этой процедуры не требуется многократных визитов к стоматологу, а также нет необходимости снимать коронки или пломбы. Сначала вскрывается гнойный очаг, назначаются полоскания и антибиотики, а затем, после снятия воспаления, проводится операция, которая занимает до 60 минут.
Если гной выделяется из десен в области нескольких зубов, необходимо сделать панорамный рентген. На снимке врач сможет оценить глубину и объем образования, а также определить метод лечения. Воспаление, затрагивающее множество зубов с выделением гноя, может свидетельствовать о обострении хронического генерализованного пародонтита средней или тяжелой степени.
https://youtube.com/watch?v=PlRO9FmH1Fs
Осложнения и профилактика
При обнаружении гнойного образования на десне важно незамедлительно обратить на него внимание и проконсультироваться со стоматологом о причинах и возможных методах лечения.
Такое явление может свидетельствовать о наличии доброкачественной опухоли, кисты или других серьезных заболеваний, которые могут прогрессировать и усложнять последующее лечение. Например, плотный гнойник с красноватым, жидким содержимым может указывать на остеомиелит, который сопровождается увеличением лимфатических узлов, общей слабостью и повышением температуры тела.
Чтобы избежать появления гнойных образований, необходимо регулярно заботиться о здоровье ротовой полости и проводить профилактические мероприятия:
- чистить зубы не реже двух раз в день;
- полоскать рот специальными растворами или теплой водой после каждого приема пищи;
- использовать зубную нить для тщательного удаления остатков пищи;
- если при ношении брекетов возникают дискомфортные ощущения, следует немедленно сообщить об этом стоматологу для корректировки, чтобы избежать травм десен и нагноений;
- дважды в год посещать стоматолога для своевременной диагностики и лечения заболеваний.
Важно помнить, что любое нагноение в ротовой полости не следует считать безобидным, так как оно может привести к серьезным заболеваниям в будущем.
https://youtube.com/watch?v=dcyS1uKGZKU
Диагностика гнойника на десне
Диагностика гнойника на десне начинается с тщательного осмотра ротовой полости стоматологом. Врач обращает внимание на наличие отека, покраснения и болезненности в области десен. Важно отметить, что гнойник может быть следствием различных заболеваний, таких как пародонтит, кариес или травма десны, поэтому правильная диагностика имеет решающее значение для выбора метода лечения.
На первом этапе диагностики стоматолог проводит визуальный осмотр, чтобы определить степень воспаления и наличие гнойного содержимого. При этом врач может использовать стоматологическое зеркало и зонд для более детального обследования. Если гнойник заметен, врач может оценить его размер, цвет и консистенцию.
Для более точной диагностики могут быть назначены дополнительные исследования. Например, рентгенография позволяет выявить наличие инфекции в корнях зубов или костной ткани, что может указывать на более серьезные проблемы, такие как абсцесс или остеомиелит. В некоторых случаях может потребоваться анализ крови для определения уровня воспалительных процессов в организме.
Также важно учитывать симптомы, которые могут сопутствовать гнойнику на десне. К ним относятся: боль при жевании, неприятный запах изо рта, повышение температуры тела, общее недомогание и увеличение лимфатических узлов. Все эти факторы помогают врачу составить полную картину состояния пациента и определить, требуется ли немедленное лечение или можно обойтись наблюдением.
Если гнойник на десне сопровождается сильной болью или другими острыми симптомами, это может указывать на необходимость срочного вмешательства. В таких случаях стоматолог может рекомендовать дренирование гнойника, чтобы облегчить состояние пациента и предотвратить распространение инфекции.
Таким образом, диагностика гнойника на десне включает в себя комплексный подход, который сочетает визуальный осмотр, дополнительные исследования и анализ симптомов. Это позволяет врачу точно определить причину возникновения гнойника и выбрать наиболее эффективный метод лечения.
Рекомендации по уходу за полостью рта
Уход за полостью рта играет ключевую роль в профилактике и лечении гнойников на деснах. Правильная гигиена помогает предотвратить развитие инфекций и способствует быстрому заживлению уже существующих проблем. Вот несколько рекомендаций, которые помогут поддерживать здоровье десен и зубов:
- Регулярная чистка зубов: Чистите зубы не менее двух раз в день с использованием фторсодержащей зубной пасты. Это поможет удалить налет и бактерии, которые могут вызывать воспаление и образование гнойников.
- Использование зубной нити: Зубная нить помогает удалять остатки пищи и налет из межзубных пространств, где обычная щетка может не достать. Это особенно важно, так как накопление пищи в этих местах может привести к воспалению десен.
- Полоскание рта: Используйте антисептические растворы для полоскания рта, чтобы снизить количество бактерий в полости рта. Это может помочь уменьшить воспаление и ускорить заживление десен.
- Избегание вредных привычек: Курение и употребление алкоголя негативно сказываются на здоровье десен. Отказ от этих привычек может значительно улучшить состояние полости рта и снизить риск возникновения гнойников.
- Сбалансированное питание: Употребление пищи, богатой витаминами и минералами, особенно витаминами C и D, способствует укреплению десен и зубов. Избегайте избыточного потребления сахара, так как он способствует развитию кариеса и воспалительных процессов.
- Регулярные визиты к стоматологу: Профилактические осмотры у стоматолога не менее двух раз в год помогут выявить проблемы на ранних стадиях и предотвратить развитие серьезных заболеваний десен.
- Обращение к специалисту при первых симптомах: Если вы заметили покраснение, отек или гнойные выделения из десен, не откладывайте визит к стоматологу. Раннее обращение за помощью может предотвратить осложнения и ускорить процесс лечения.
Следуя этим рекомендациям, вы сможете значительно снизить риск возникновения гнойников на деснах и поддерживать здоровье полости рта в целом. Помните, что профилактика всегда проще и эффективнее, чем лечение уже возникших проблем.
Когда обращаться к врачу
Гнойник на десне — это серьезное состояние, которое требует внимания и, в большинстве случаев, медицинского вмешательства. Существует несколько признаков и симптомов, при которых необходимо незамедлительно обратиться к стоматологу.
Во-первых, если вы заметили образование гнойника, которое сопровождается сильной болью, это является тревожным сигналом. Боль может быть постоянной или возникать при жевании, а также может иррадиировать в другие области, такие как ухо или височная область.
Во-вторых, если гнойник сопровождается отеком десны или лица, это также является показанием для обращения к врачу. Отек может быть локализованным или распространяться на соседние участки, что указывает на возможное распространение инфекции.
Третьим важным признаком является повышение температуры тела. Если у вас наблюдается лихорадка, это может свидетельствовать о том, что инфекция прогрессирует и требует немедленного лечения.
Кроме того, если вы заметили изменение цвета десен, их покраснение или кровоточивость, это также может указывать на наличие воспалительного процесса. В таких случаях важно не откладывать визит к стоматологу, так как запущенные инфекции могут привести к серьезным осложнениям, включая потерю зуба или распространение инфекции на другие участки организма.
Не стоит забывать и о системных заболеваниях, таких как диабет или заболевания иммунной системы, которые могут усугубить течение инфекции. Если вы страдаете от таких заболеваний и заметили гнойник на десне, вам следует обратиться к врачу как можно скорее.
В заключение, если вы испытываете любые из вышеописанных симптомов, не стоит заниматься самолечением. Обращение к стоматологу поможет вам получить правильный диагноз и соответствующее лечение, что в конечном итоге предотвратит возможные осложнения и сохранит здоровье ваших зубов и десен.



