Силиконовые зубные протезы — это решение для восстановления утраченных зубов, обеспечивающее комфорт и естественный внешний вид. В статье рассмотрим, что такое силиконовые протезы, их виды, процесс изготовления и ухода, а также показания и противопоказания к их использованию. Эта информация будет полезна тем, кто ищет альтернативу традиционным протезам и хочет узнать о современных методах стоматологической реабилитации.
Описание искусственных силиконовых зубов
Пациенты, обращающиеся к стоматологу с проблемой потери зубов, все чаще интересуются установкой качественных съемных протезов по разумной цене. Но что же представляют собой силиконовые зубные протезы? Этот термин относится к стоматологическим изделиям, которые устанавливаются на челюсти для восстановления зубного ряда. Они получили свое название благодаря силиконовой подложке, которая обеспечивает надежное крепление к деснам. Силикон — это полупрозрачный и мягкий материал, который по своей структуре напоминает слизистую оболочку рта.
Современные съемные гибкие силиконовые протезы обладают высокой эластичностью и изготавливаются на мягкой основе. Искусственные зубы могут быть выполнены из различных материалов, таких как нейлон, акрил, силикон и пластик. Эти протезы используются как для частичного, так и для полного протезирования. Хотя их стоимость выше, чем у металлических или пластинчатых конструкций, они значительно выигрывают в эстетике, гибкости основания и незаметности благодаря кламмерным замкам. Такие протезы часто применяются при отсутствии одного или двух зубов, эффективно восполняя недостающие элементы в центральной части зубного ряда.
Силиконовые зубные протезы представляют собой современное решение для восстановления утраченных зубов. Врачи-стоматологи отмечают, что такие протезы обладают высокой эластичностью и комфортом в использовании. Они идеально подходят для пациентов с чувствительными деснами, так как силикон не вызывает раздражения. Кроме того, протезы из силикона легко адаптируются к форме рта, что обеспечивает надежную фиксацию и естественный внешний вид. Врачи также подчеркивают, что такие протезы требуют минимального ухода и могут быть использованы как временное решение, так и в качестве постоянного. Однако важно помнить, что срок службы силиконовых протезов может быть меньше по сравнению с традиционными вариантами, такими как металлические или керамические. Поэтому стоматологи рекомендуют регулярно посещать врача для контроля состояния протезов и своевременной замены при необходимости.
https://youtube.com/watch?v=89rZ-QRW6b0
Показания и противопоказания
Силиконовые зубные протезы рекомендуется устанавливать в следующих случаях:
- наличие пародонтоза;
- атрофия десен, когда традиционное протезирование невозможно;
- аллергические реакции;
- наличие соматических заболеваний, таких как болезни сердца, сосудов или диабет;
- в детском возрасте, когда теряются молочные зубы, для поддержания правильного прикуса;
- частичное или полное отсутствие зубов;
- занятия экстремальными видами спорта на регулярной основе.
Однако стоит учитывать, что для установки силиконовых протезов существуют противопоказания. К ним относятся пародонтоз второй степени, атрофия с развитием пародонтита (альвеолярного), заболевания десен, оголение корней зубов и патологии опорных отростков.
| Характеристика | Описание | Преимущества | Недостатки |
|---|---|---|---|
| Материал | Изготавливаются из мягкого, гибкого силикона (термопластичного полиуретана или нейлона). | Гибкость, биосовместимость, гипоаллергенность. | Менее прочные, чем акриловые. |
| Тип протеза | Частичные (при отсутствии нескольких зубов) или полные (при полном отсутствии зубов). | Адаптируются к форме десен, не требуют обточки соседних зубов (для частичных). | Могут быть менее стабильными, чем протезы с металлическим каркасом. |
| Крепление | За счет присасывания к деснам, а также с помощью кламмеров (крючков) из того же силикона. | Отсутствие металлических кламмеров, эстетичность. | Могут требовать более частой коррекции. |
| Комфорт | Мягкие и эластичные, хорошо прилегают к деснам. | Удобство ношения, снижение риска натирания и раздражения. | Могут ощущаться менее «жесткими» при жевании. |
| Эстетика | Полупрозрачный материал, имитирующий цвет десен. | Высокая эстетичность, незаметность во рту. | Могут со временем менять цвет (особенно при неправильном уходе). |
| Уход | Требуют регулярной чистки специальными средствами и щетками. | Относительно простой уход. | Чувствительны к абразивным пастам и горячей воде. |
| Срок службы | В среднем 3-5 лет, зависит от ухода и индивидуальных особенностей. | Достаточно длительный срок службы при правильном уходе. | Меньше, чем у некоторых других видов протезов. |
| Показания | Аллергия на акрил, чувствительные десны, частичная или полная адентия. | Широкий спектр показаний. | Не подходят для всех клинических случаев. |
| Стоимость | Средняя, сопоставима с акриловыми протезами, но может быть выше. | Относительно доступная цена. | Может быть выше, чем у стандартных акриловых протезов. |
Преимущества
Силиконовое протезирование зубов обладает множеством преимуществ. По словам пациентов, искусственные зубы практически не ощущаются во рту. Они максимально схожи с натуральными зубами как по внешнему виду, так и по удобству, приятно ощущаются языком. Пользователи не сталкиваются с проблемами привыкания или комплексами во время их ношения. Однако перед тем как принять решение о установке силиконовых протезов, важно ознакомиться с некоторыми аспектами, чтобы избежать неприятных ситуаций. К основным преимуществам можно отнести:
- гипоаллергенность;
- комфорт при ношении;
- надежность крепления;
- высокая эстетика;
- минимальная толщина;
- экологичность;
- прочность, гибкость и эластичность;
- стойкость к различным красителям и влаге;
- идеальное прилегание к мягким тканям;
- отсутствие необходимости обтачивать соседние зубы при установке.
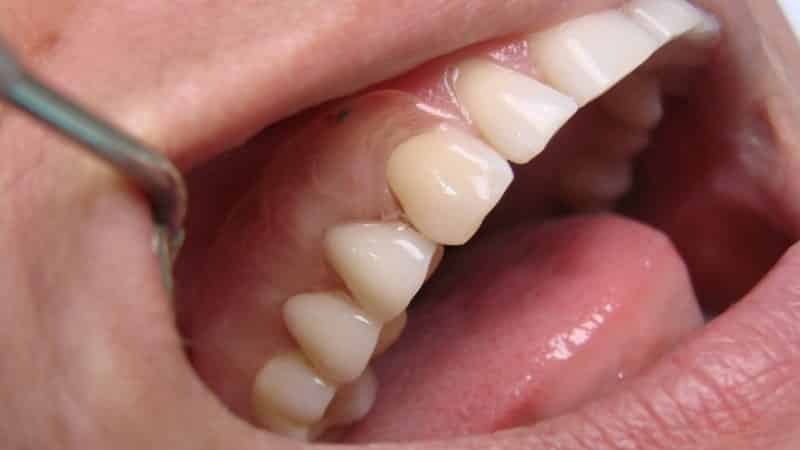
На изображении силиконовых протезов зубов можно увидеть их идеальное прилегание к деснам с точным повторением изгибов.
Эластичные изделия обеспечивают максимальный комфорт в ротовой полости, легко фиксируются на челюсти и со временем становятся практически незаметными.
Они надежно крепятся с помощью присосок на деснах, что предотвращает их случайное выпадение при резких движениях. Мягкие ткани не травмируются во время ношения, а при правильном уходе протезы могут служить долго. Цвет не меняется под воздействием красителей и максимально соответствует натуральному оттенку. Гипоаллергенность также является важным фактором, так как такие протезы идеально подходят людям, страдающим аллергией на другие материалы, такие как акрил или пластик.
Тем не менее, как и любые другие конструкции, силиконовые зубные протезы, как показано на фото, имеют свои недостатки. К ним относятся возможность травмирования слизистой оболочки, проседание краев десен из-за кламмеров (фиксирующих элементов). Также может происходить атрофия костной ткани при повышенном давлении, ограничены возможности для высоких жевательных нагрузок, требуется периодическая коррекция, и со временем могут возникать неприятные запахи. Однако, следуя рекомендациям специалистов по уходу, многие из этих проблем можно избежать и долго наслаждаться легкими и комфортными конструкциями. Они особенно эффективны при отсутствии одного или двух зубов.
К дополнительным недостаткам можно отнести необходимость регулярной профессиональной чистки с использованием специальных средств, чтобы сохранить цвет механического устройства. Также стоит отметить высокую стоимость по сравнению с другими изделиями, необходимость коррекции, а в случае потери одного или двух зубов может потребоваться полная замена.
Силиконовые протезы отличаются длительным сроком службы. При правильном и тщательном уходе их можно использовать более пяти лет. Срок службы можно продлить, регулярно посещая стоматолога для осмотра и соблюдая все правила ухода. В случае поломки, появления трещин или надломов следует немедленно обратиться к врачу. Не рекомендуется пытаться самостоятельно устранять проблемы, чтобы не ухудшить состояние конструкции.
https://youtube.com/watch?v=KcaBLb5vL0k
Виды съемных силиконовых приспособлений
Силиконовые протезы, предназначенные для замены зубов, делятся на три категории: одиночные, частичные и полные. Одиночные протезы являются наиболее распространенными и фиксируются с помощью боковых кламмеров, которые прикрепляются к соседним натуральным зубам.
Частичные протезы отличаются тем, что их недостатки практически не заметны благодаря тщательному подбору цвета зубной эмали, и они также крепятся аналогично одиночным. Полные протезы фиксируются реже, поскольку существует риск повреждения натуральных зубов из-за недостаточной надежности крепления.
Процесс изготовления и установка
Технология силиконового протезирования является одной из современных и инновационных в области стоматологии. В процессе использования таких конструкций пациенты могут столкнуться с некоторыми неудобствами, которые со временем становятся менее заметными. Прежде чем принять решение о их установке, важно проконсультироваться с врачом и рассмотреть альтернативные варианты протезов.
Крепление к опорным зубам осуществляется с помощью кламмеров. Если опорные элементы отсутствуют, в челюсть устанавливаются импланты. Процесс изготовления включает несколько этапов:
- Клинический этап – стоматолог проводит осмотр пациента, выполняет необходимые измерения, очищает зубной ряд от загрязнений и зубного камня. При необходимости врач лечит проблемные участки, заменяет некачественные пломбы и проводит профилактические процедуры;
- Зуботехнический этап (лабораторный) — включает в себя отлив модели, моделирование протеза, термостатическую подготовку силикона, а также шлифовку и полировку протеза. После этого проводится примерка с последующей коррекцией и устранением выявленных недостатков.
Цена съемной конструкции из силикона формируется на основе таких факторов, как стоимость используемых материалов и работа специалистов (стоматолога, зубного техника, а в некоторых случаях — привлечение других врачей). В настоящее время силиконовые протезы в среднем стоят в пять раз дороже акриловых съемных изделий и в два раза дороже бюгельных конструкций.
Основной уход
Силиконовые протезы требуют особого внимания в уходе из-за необходимости применения специализированных чистящих средств. В противном случае они могут потерять свой первоначальный цвет и начать издавать неприятный запах. Регулярное выполнение простых процедур является обязательным:
- на ночь протезы следует снимать и помещать в стакан с раствором;
- избегайте промывания и погружения в горячую воду, чтобы не допустить деформации;
- для улучшения кровообращения перед надеванием рекомендуется аккуратно чистить полость рта, язык и небо мягкой щеткой;
- несколько раз в неделю протезы очищаются дезинфицирующей пастой;
- после каждого приема пищи их нужно промывать теплой, чистой водой;
- эксперты советуют использовать жидкое мыло и специальные таблетки для чистки силиконовых изделий.
Важно помнить, что запоздалое обращение к стоматологу может привести к возникновению заболеваний желудочно-кишечного тракта и ротовой полости.
https://youtube.com/watch?v=fbazDeQgaOg
Сравнение с другими типами протезов
Силиконовые зубные протезы представляют собой один из наиболее современных и востребованных типов зубных протезов, которые используются для восстановления утраченных зубов. В отличие от традиционных акриловых или металлических протезов, силиконовые изделия обладают рядом уникальных свойств, которые делают их привлекательными для пациентов.
Первое, на что стоит обратить внимание, это комфорт. Силиконовые протезы, благодаря своей гибкости и мягкости, обеспечивают более естественное ощущение во рту. Они лучше адаптируются к форме десен и зубов, что снижает риск появления дискомфорта и раздражения. В отличие от жестких акриловых протезов, силиконовые менее подвержены трещинам и повреждениям, что увеличивает их срок службы.
Вторым важным аспектом является эстетика. Силиконовые протезы могут быть изготовлены в различных оттенках, что позволяет добиться максимально естественного внешнего вида. Это особенно важно для передних зубов, где эстетические требования наиболее высоки. В отличие от металлических протезов, которые могут быть заметны при улыбке, силиконовые изделия выглядят более естественно и незаметно.
Третий аспект – это легкость в уходе. Силиконовые протезы не требуют особых условий хранения и ухода. Их можно легко очищать с помощью обычных средств для ухода за зубами. В отличие от некоторых других типов протезов, силиконовые не требуют регулярной профессиональной чистки, что делает их более удобными в повседневной жизни.
Однако, несмотря на все преимущества, силиконовые протезы имеют и свои недостатки. Например, они могут быть менее прочными по сравнению с акриловыми или металлическими протезами, что делает их менее подходящими для пациентов с высокой жевательной нагрузкой. Кроме того, стоимость силиконовых протезов может быть выше, чем у традиционных вариантов, что также стоит учитывать при выборе.
В заключение, силиконовые зубные протезы представляют собой современное решение для восстановления зубного ряда, обладая рядом преимуществ, таких как комфорт, эстетика и легкость в уходе. Тем не менее, выбор между различными типами протезов должен основываться на индивидуальных потребностях пациента, его финансовых возможностях и рекомендациях стоматолога.
Стоимость и доступность
Стоимость силиконовых зубных протезов может варьироваться в зависимости от множества факторов, включая регион, клинику, квалификацию стоматолога и сложность индивидуального случая. В среднем, цена на такие протезы может колебаться от 10 000 до 50 000 рублей за одну единицу. Однако, стоит учитывать, что в некоторых случаях стоимость может быть значительно выше, особенно если требуется индивидуальный подход или дополнительные процедуры.
Доступность силиконовых зубных протезов также зависит от региона. В крупных городах, как правило, существует больше стоматологических клиник, предлагающих подобные услуги, и конкуренция между ними может способствовать снижению цен. В то же время, в небольших населённых пунктах выбор может быть ограничен, и стоимость может быть выше из-за меньшего количества специалистов и материалов.
Важно отметить, что многие стоматологические клиники предлагают различные программы рассрочки или кредитования, что может сделать лечение более доступным для пациентов. Также стоит обратить внимание на возможность использования медицинской страховки, которая может покрывать часть расходов на протезирование.
При выборе клиники для установки силиконовых зубных протезов рекомендуется обратить внимание не только на стоимость, но и на репутацию учреждения, квалификацию врачей и отзывы пациентов. Это поможет избежать неприятных ситуаций и обеспечить высокое качество предоставляемых услуг.
Отзывы пациентов и результаты
Силиконовые зубные протезы становятся все более популярными среди пациентов, нуждающихся в замене утраченных зубов. Отзывы пользователей о таких протезах в основном положительные, что связано с их комфортом, эстетикой и функциональностью. Многие пациенты отмечают, что силиконовые протезы значительно облегчают процесс жевания и улучшают качество жизни.
Одним из главных преимуществ силиконовых протезов является их высокая степень адаптации к деснам. Благодаря мягкой и эластичной структуре силикона, такие протезы не вызывают дискомфорта и не натирают слизистую оболочку рта, что часто бывает с жесткими акриловыми аналогами. Пациенты сообщают, что после установки силиконовых протезов они быстро привыкают к ним и не ощущают их присутствия во рту.
Кроме того, силиконовые протезы обладают хорошими эстетическими качествами. Они могут быть выполнены в различных оттенках, что позволяет добиться максимально естественного внешнего вида. Многие пациенты отмечают, что окружающие не замечают, что у них есть протезы, что значительно повышает уверенность в себе и улучшает социальные взаимодействия.
Однако, несмотря на множество положительных отзывов, стоит отметить и некоторые недостатки. Некоторые пациенты сообщают о необходимости регулярной замены силиконовых протезов, так как со временем они могут терять свою форму и эластичность. Также важно учитывать, что такие протезы требуют особого ухода, чтобы избежать накопления бактерий и неприятного запаха.
В целом, результаты использования силиконовых зубных протезов зависят от индивидуальных особенностей пациента, его состояния здоровья и соблюдения рекомендаций стоматолога. Большинство пользователей отмечают, что после установки протезов они смогли вернуться к привычному образу жизни, улучшив свое питание и общение с окружающими. Таким образом, силиконовые протезы могут стать отличным решением для тех, кто ищет комфортный и эстетичный способ восстановления зубного ряда.



