Перфорация корня зуба — серьезное стоматологическое заболевание, способное вызвать осложнения при отсутствии своевременной диагностики и лечения. В статье рассмотрим основные причины и симптомы перфорации, а также методы лечения и профилактики. Понимание этой патологии поможет читателям обратиться к специалисту и избежать негативных последствий для здоровья зубов и полости рта.
Понятие о перфорации зуба
Когда пациенту ставят диагноз перфорация, важно разобраться, что именно это означает.
Перфорация представляет собой небольшое отверстие в зубе, которое может возникнуть по нескольким причинам:
- Изгиб корневых каналов. Это явление чаще всего наблюдается во время процедуры расширения каналов или подготовки зуба к установке штифта. Данная причина является одной из самых распространенных и может значительно усложнить лечение стоматологических заболеваний.
- Механические повреждения. Травмы, приводящие к перфорации, могут возникнуть в результате удара по челюсти, например, во время драки. Также стоит отметить, что неумелые действия стоматолога могут стать причиной повреждения.
> В процессе стоматологического вмешательства врач может случайно травмировать ротовую полость. Поэтому важно обращаться к квалифицированным специалистам с хорошей репутацией и опытом работы. - Осложнения кариеса. На ранних стадиях кариес может не вызывать боли и дискомфорта, но быстро прогрессирует. Из-за этого многие пациенты не начинают лечение вовремя, что может привести к серьезным осложнениям, включая перфорацию зуба. К сожалению, запущенный кариес может не только вызвать проблемы с зубами, но и привести к их утрате.
Запущенная перфорация может вызвать серьезные осложнения, такие как изменение структуры зуба и разрушение костной ткани.
Перфорация зуба представляет собой серьезное стоматологическое состояние, при котором происходит нарушение целостности зубной ткани, что может привести к образованию отверстий. Врачи отмечают, что данное явление часто возникает в результате запущенного кариеса, травм или неправильного лечения. Специалисты подчеркивают, что перфорация может вызвать не только физический дискомфорт, но и серьезные осложнения, такие как воспаление или инфекцию. Важно своевременно обратиться к стоматологу для диагностики и лечения, чтобы избежать дальнейших проблем. Профилактика, включая регулярные осмотры и гигиену полости рта, играет ключевую роль в предотвращении перфорации и сохранении здоровья зубов.
https://youtube.com/watch?v=Lhl2_ukuqW0
Симптомы перфорации
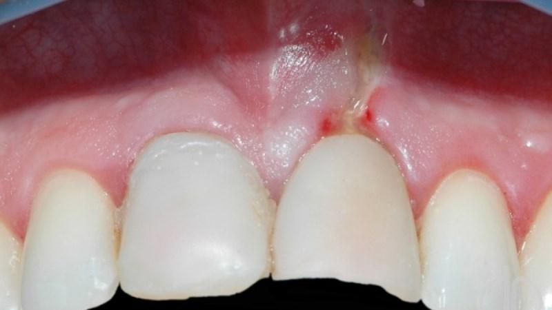
Симптомы перфорации на начальной стадии выражены достаточно явно, и они сопровождаются интенсивной болью в области рта. Также может наблюдаться кровотечение из лунки зуба, которое может начаться как во время стоматологических процедур, так и в домашних условиях. Если это происходит во время визита к врачу, то, скорее всего, он допустил ошибку при использовании инструментов.
Если перфорация не была обнаружена на ранней стадии, она может перейти в более серьезную форму. Это состояние опасно тем, что зачастую не вызывает выраженных болевых ощущений. Человека могут беспокоить лишь редкие, незначительные ноющие боли, в то время как воспалительный процесс развивается очень быстро.
Такую патологию может выявить стоматолог во время профилактического осмотра.
При ее обнаружении врач, как правило, сразу предлагает провести пломбирование зуба. В большинстве случаев этого оказывается достаточно для остановки патологического процесса. Однако, если диаметр отверстия превышает 2 мм, пломбирование может оказаться неэффективным, и даже привести к выталкиванию пломбировочных материалов в пародонт, что может вызвать его инфекцию. В результате развивается деструктивный пародонтит.
| Аспект перфорации зуба | Описание | Последствия |
|---|---|---|
| Определение | Патологическое или ятрогенное сообщение между полостью зуба (пульпарной камерой или корневым каналом) и периодонтом (тканями, окружающими корень зуба). | Инфекция, воспаление периодонта, потеря зуба. |
| Причины | Ятрогенные: Ошибки при эндодонтическом лечении (неправильное использование инструментов, чрезмерное препарирование). Патологические: Кариес, резорбция корня, травма зуба. | Боль, отек, свищ, абсцесс, резорбция костной ткани, потеря зуба. |
| Виды | По локализации: Коронковая, корневая (в области фуркации, в апикальной трети). По времени возникновения: Острая, хроническая. | Различные подходы к лечению в зависимости от вида и локализации. |
| Симптомы | Боль (часто острая, пульсирующая), отек десны, кровотечение из перфорации, неприятный запах изо рта, подвижность зуба. | Ухудшение качества жизни, необходимость срочного лечения. |
| Диагностика | Клинический осмотр, рентгенография (прицельный снимок, КТ), электронный апекслокатор, микроскоп. | Точное определение локализации и размера перфорации для выбора оптимального метода лечения. |
| Лечение | Консервативное: Закрытие перфорации биосовместимыми материалами (МТА, биокерамика). Хирургическое: Резекция верхушки корня, гемисекция, ампутация корня, удаление зуба. | Сохранение зуба, предотвращение дальнейшего распространения инфекции. |
| Прогноз | Зависит от размера, локализации, времени обнаружения перфорации, качества лечения и общего состояния здоровья пациента. | От полного выздоровления до потери зуба. |
Разновидности перфорации
Перфорация может возникать в различных участках ротовой полости:
- на дне зубной полости;
- в корневой части зуба;
- на стенках зуба.
В зависимости от места локализации выделяются несколько типов патологического процесса:
- Перфорация дна зубной полости может возникнуть из-за значительного стирания зубной коронки. Бывают случаи, когда этот вид патологии проявляется в результате чрезмерного расширения зубной полости во время лечения. При этом наблюдается смещение оси зуба в сторону языка или щеки.
- Перфорация корневой части возникает при искривлении зубов, и ее можно выявить с помощью рентгенографии челюсти. Этот тип патологии требует срочного лечения, так как важно защитить пародонт от возможного разрушения. Уничтожение пародонта может привести к потере зубов. Эффективность лечения зависит от степени перфорации, а также от места ее возникновения: в средней части корня, на верхушке или между корнями.
> Перфорация в верхней части корня может быть следствием неправильного выбора инструментов стоматологом при пломбировании зуба, и выявить такую ошибку сразу бывает довольно сложно.
Перфорация в средней части корня происходит из-за недостаточной обработки зубных каналов или их неправильного пломбирования. Наиболее опасной считается перфорация, возникающая между корнями зубов, так как она может нарушить их функционирование.
* Перфорация на стенках зуба может быть результатом ошибки стоматолога во время лечения с использованием стоматологических инструментов. Это может быть связано как с недостаточной квалификацией врача, так и с неисправностью оборудования. Если врач вовремя замечает свою ошибку, он может остановить кровотечение.
Диагностика перфорации на видимых участках проходит быстро, однако если осложнение локализуется на дне зубной полости, рекомендуется провести рентгенографию челюсти с использованием контрастных средств.
https://youtube.com/watch?v=ynQc6L9Htrs
Лечение пораженных перфорацией зубов пломбированием
Лечение данной патологии осуществляется индивидуально для каждого пациента, принимая во внимание локализацию перфорации и степень ее распространения.
Перфорация корня зуба, лечение которой можно начать сразу после появления симптомов, считается наиболее серьезной, так как может привести к множеству осложнений. Способ лечения определяет стоматолог, который проводит оценку степени повреждения.
Среди эффективных методов лечения выделяется пломбирование зуба. В процессе пломбирования врач сначала очищает пораженную область от видимых загрязнений, затем использует конусный бор для обработки корневой части.
В корневые каналы поочередно вводится файл большего размера. После этого стоматолог наносит на область, пораженную перфорацией, специальный цемент, который полностью закрывает корневое дно зуба.
После того как материал затвердеет, врач удаляет оставшиеся файлы из ротовой полости. Однако лечение на этом не завершается. После пломбирования рекомендуется каждые полгода проводить рентгенографию челюсти, чтобы при возможном повторном воспалительном процессе можно было оперативно вмешаться.
В некоторых случаях требуется лечение с использованием микрохирургических методов. Эту процедуру может выполнять только опытный стоматолог. Такое решение принимается, если перфорация имеет значительные размеры или расположена в труднодоступной области.
Врач создает условия для доступа к пораженной зоне и предотвращает кровотечение. Затем он очищает поврежденную область и проводит ирригацию. После завершения процедуры достаточно просто запломбировать зуб.
Удаление зубов при перфорации
Одним из наиболее сложных методов лечения перфорации является реплантация. Этот процесс включает в себя удаление зуба и последующее внедрение зубного имплантата в его альвеолу.
Удаление зуба осуществляется бережно и рекомендуется в тех случаях, когда невозможно точно определить место локализации перфорации.
После хирургического вмешательства лечение не завершается в стоматологическом кабинете. Даже при отсутствии видимых признаков воспаления пациентам назначаются антибиотики. Рекомендуются препараты с широким спектром действия, способные проникать в костную ткань.
В первые два-три дня назначаются противовоспалительные средства, которые помогают ускорить восстановление тканей ротовой полости. Если пациент испытывает сильную боль, врач также может прописать обезболивающие препараты.
В целях профилактики рекомендуется проводить полоскания антисептическими растворами, которые можно приобрести в аптеке или приготовить самостоятельно. Из аптечных средств хорошо подойдет хлорофиллипт, так как он обладает не только антисептическими, но и легкими противовоспалительными свойствами.
Для приготовления раствора в домашних условиях рекомендуется использовать йод, который обладает мощным антисептическим эффектом.
Профилактические меры
Профилактические меры заключаются в том, что лечение перфорации должно проводиться квалифицированным специалистом, который сможет предотвратить возникновение возможных осложнений.
Для обеспечения безопасности пациента врач учитывает следующие рекомендации:
- во время лечения необходимо обеспечить хороший доступ к ротовой полости.
- все инструменты, используемые в процессе, должны быть в идеальном состоянии.
- важно тщательно контролировать состояние зуба пациента на протяжении всего лечения.
Чтобы минимизировать риск возникновения проблем со структурой зубов, достаточно внимательно следить за состоянием своей ротовой полости.
https://youtube.com/watch?v=dADjOz7zX90
Причины перфорации зуба
Перфорация зуба – это процесс, при котором происходит образование отверстия или разрыва в структуре зуба. Причины, вызывающие перфорацию, могут быть разнообразными и часто связаны с заболеваниями зубов, неправильным лечением или травмами.
Одной из основных причин перфорации является кариес. Это инфекционное заболевание, которое приводит к разрушению зубной эмали и дентина. Если кариес не лечить, он может прогрессировать, проникая глубже в зуб и достигая пульпы, что может привести к образованию перфорации.
Еще одной причиной перфорации зуба может стать некачественное стоматологическое лечение. Например, при проведении эндодонтического лечения (лечение корневых каналов) врач может случайно перфорировать стенку корня зуба. Это может произойти из-за неправильного выбора инструмента, недостаточной квалификации специалиста или отсутствия должного контроля во время процедуры.
Травмы зуба также могут стать причиной перфорации. Удары, падения или другие механические повреждения могут привести к образованию трещин и отверстий в зубной ткани. Особенно это касается зубов, которые уже имеют предрасположенность к повреждениям, например, из-за кариеса или предыдущих стоматологических вмешательств.
Кроме того, некоторые заболевания, такие как пародонтит, могут способствовать перфорации зуба. Воспалительные процессы, происходящие в деснах, могут ослаблять зубные ткани и приводить к их разрушению, что в конечном итоге может вызвать перфорацию.
Наконец, неправильная гигиена полости рта и отсутствие регулярных стоматологических осмотров также могут способствовать развитию перфорации зуба. Накопление зубного налета и камня, а также игнорирование рекомендаций стоматолога могут привести к серьезным проблемам с зубами, включая перфорацию.
Диагностика перфорации зуба
Диагностика перфорации зуба является важным этапом в стоматологической практике, так как своевременное выявление данной патологии позволяет избежать серьезных осложнений и сохранить зуб. Перфорация зуба представляет собой образование отверстия в стенке зуба, что может привести к проникновению инфекции и развитию воспалительных процессов.
Для диагностики перфорации зуба стоматологи используют несколько методов. Первым и наиболее распространенным является визуальный осмотр. Врач обращает внимание на наличие видимых повреждений, изменения цвета зуба, а также на наличие свищей или абсцессов, которые могут указывать на наличие перфорации.
Однако визуальный осмотр не всегда позволяет точно установить диагноз, особенно если перфорация находится в труднодоступных местах. В таких случаях применяются рентгенологические методы. Рентгенография позволяет получить четкое изображение зуба и окружающих тканей, что помогает выявить наличие перфорации, а также оценить степень повреждения корней и окружающих тканей.
Современные технологии, такие как компьютерная томография (КТ), также могут быть использованы для более детального изучения состояния зуба. КТ позволяет получить трехмерное изображение, что значительно повышает точность диагностики и помогает стоматологу лучше понять анатомические особенности и степень повреждения зуба.
Кроме того, в некоторых случаях может потребоваться использование дополнительных методов, таких как электронная пульпотомия или тестирование на чувствительность, чтобы определить состояние пульпы и окружающих тканей. Эти тесты помогают оценить жизнеспособность зуба и необходимость дальнейшего лечения.
Важно отметить, что ранняя диагностика перфорации зуба позволяет избежать серьезных последствий, таких как потеря зуба или развитие системных заболеваний. Поэтому регулярные профилактические осмотры у стоматолога играют ключевую роль в поддержании здоровья зубов и десен.
Последствия untreated перфорации зуба
Перфорация зуба, если она не лечится, может привести к множеству серьезных последствий, которые могут негативно сказаться на здоровье полости рта и общем состоянии организма. Одним из основных последствий является развитие инфекций. Перфорация создает прямой путь для бактерий из ротовой полости в пульпу зуба, что может вызвать пульпит — воспаление мягких тканей внутри зуба. Если инфекция не будет устранена, она может распространиться на окружающие ткани, вызывая периодонтит, который характеризуется воспалением тканей, окружающих корень зуба.
Еще одним важным последствием является возможность потери зуба. Если перфорация не будет своевременно диагностирована и лечена, инфекция может привести к разрушению костной ткани, что в конечном итоге может потребовать удаления зуба. Это не только создает эстетические проблемы, но и может вызвать функциональные нарушения при жевании, а также смещение соседних зубов.
Кроме того, untreated перфорация может привести к образованию абсцессов — скоплений гноя, которые могут вызывать сильную боль и отек. Абсцессы требуют немедленного медицинского вмешательства, так как могут привести к более серьезным осложнениям, включая распространение инфекции на другие участки тела.
Не менее важным последствием является влияние на общее состояние здоровья. Хронические инфекции в полости рта могут стать источником системных заболеваний, таких как сердечно-сосудистые заболевания, диабет и даже респираторные инфекции. Исследования показывают, что воспалительные процессы в ротовой полости могут оказывать влияние на общее состояние организма, усугубляя уже существующие заболевания.
Таким образом, untreated перфорация зуба представляет собой серьезную угрозу не только для здоровья зуба, но и для всего организма. Поэтому важно своевременно обращаться к стоматологу при первых признаках проблемы, чтобы избежать серьезных последствий и сохранить здоровье полости рта.




