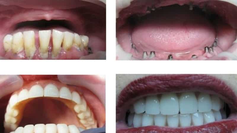
Базальная имплантация зубов — метод восстановления утраченных зубов, который набирает популярность благодаря эффективности и быстроте. В статье рассмотрим, что такое базальная имплантация, ее преимущества и недостатки, этапы процедуры и особенности ухода после протезирования. Эта информация будет полезна тем, кто рассматривает имплантацию зубов и хочет узнать о современных стоматологических технологиях и их влиянии на качество жизни.
Методика базальной имплантации зубов
Сегодня мы обсудим, что такое базальная имплантация.
Несмотря на все свои преимущества, данная методика имеет и ряд противопоказаний. Одним из наиболее распространенных является атрофия костной ткани, которая может возникнуть из-за длительного отсутствия зубов и значительной нагрузки, а также в результате использования съемных протезов. Хотя они и восстанавливают зубы, такие протезы могут способствовать дальнейшему уменьшению костной массы.
Эти проблемы могут привести к деформации лица, нарушению целостности зубов и возникновению различных заболеваний желудочно-кишечного тракта.
Методика базальной имплантации была разработана в Швейцарии на основе исследований, проводимых в центрах, занимающихся инновационными подходами к имплантации.
На сегодняшний день базальное протезирование считается одной из самых современных и престижных процедур. Вот несколько причин, подтверждающих это:
- Во-первых, нет необходимости в наращивании костной ткани. Это стало возможным благодаря уникальному дизайну имплантов, которые обеспечивают надежное крепление сразу после установки. Если имеется достаточный объем костной ткани, импланты могут быть установлены под определенным углом;
- Установка имплантов осуществляется методом простого прокола, что исключает необходимость в больших разрезах. Фиксация происходит в глубоких слоях кости.
> Этот подход значительно снижает риск отторжения и сокращает время адаптации; - Уже на третий день после процедуры возможно установить протез. В начале это будет легкая конструкция из металлопластика, которая не создает сильного давления на только что установленные импланты. Поскольку этот материал является мягким, его легко подогнать под индивидуальный прикус, а через несколько лет можно будет изготовить идеальный протез из другого материала;
- Базальная методика, в отличие от традиционной, позволяет быстро нагружать специальные протезы: жевательная функция восстанавливается сразу после вмешательства. Во время еды, когда нагрузка на жевательные органы постепенно увеличивается, происходит давление на корни, что активирует процессы восстановления.
Врачи отмечают, что базальная имплантация зубов представляет собой современный и эффективный метод восстановления утраченных зубов. Этот подход отличается от традиционной имплантации тем, что импланты устанавливаются в базальную кость, что позволяет избежать необходимости в наращивании костной ткани. Специалисты подчеркивают, что такая методика особенно полезна для пациентов с недостатком костной массы, так как она обеспечивает надежную фиксацию и быстрое заживление. Кроме того, базальная имплантация позволяет сократить общее время лечения и снизить количество посещений стоматолога. Врачи также отмечают, что данный метод требует высокой квалификации специалиста, поэтому важно выбирать клиники с хорошей репутацией и опытными врачами.
https://youtube.com/watch?v=b2vYA25SFns
Базальная имплантация: за и против
Методика базальной имплантации применяется в следующих ситуациях:
- для комплексного восстановления челюсти;
- при недостатке костной ткани в области челюсти;
- если пациент является курильщиком;
- при наличии хорошего состояния здоровья у пациента;
- в случаях пародонтита.
Противопоказания для проведения базальной имплантации:
- наличие злокачественных опухолей;
- инфекционные и вирусные заболевания;
- проблемы с центральной нервной системой, сердечно-сосудистой системой и иммунитетом;
- нарушения жевательного тонуса мышц.
| Аспект | Описание | Преимущества |
|---|---|---|
| Суть метода | Установка имплантатов в глубокие, базальные слои кости, которые менее подвержены атрофии. | Возможность имплантации при значительной атрофии кости без костной пластики. |
| Тип имплантатов | Используются специальные односоставные имплантаты с широкой резьбой, часто компрессионные. | Высокая первичная стабильность, позволяющая немедленную нагрузку. |
| Сроки протезирования | Немедленная нагрузка протезом (в течение 3-7 дней после операции). | Быстрое восстановление жевательной функции и эстетики. |
| Количество этапов | Одноэтапная процедура (имплантация и протезирование за один визит или в короткие сроки). | Меньшее количество визитов к врачу, сокращение общего времени лечения. |
| Показания | Значительная атрофия костной ткани, пародонтит, отсутствие большого количества зубов. | Решение сложных клинических случаев, когда классическая имплантация невозможна. |
| Противопоказания | Острые воспалительные процессы в полости рта, некоторые системные заболевания. | Важно тщательное обследование и консультация с врачом. |
| Стоимость | Может быть сопоставима или выше классической имплантации из-за сложности метода и материалов. | Экономия времени и отсутствие необходимости в дополнительных операциях (например, синус-лифтинг). |
| Срок службы | При правильном уходе и соблюдении рекомендаций может быть длительным (10-20 лет и более). | Долгосрочное решение проблемы отсутствия зубов. |
Как проводится
Подготовка к процедуре включает в себя стандартный набор действий, который занимает около месяца:
- проведение диагностического обследования;
- определение противопоказаний;
- санация ротовой полости;
- тщательное изучение состояния костной ткани и выбор оптимального типа протеза с учетом будущей установки.
Эти устройства взаимодействуют со всеми слоями костной ткани, что позволяет избежать необходимости в наращивании.
Процесс протезирования занимает примерно один час и осуществляется через несколько дней после установки имплантатов. Протезы из металлопластика изготавливаются на основе слепков и фиксируются на постоянной основе. Такие конструкции сразу начинают выполнять нагрузку, что способствует быстрому восстановлению тканей и их насыщению необходимыми веществами.
https://youtube.com/watch?v=OyBUB8Ii_Ew
Одноэтапный метод
Методику часто называют одноэтапной, поскольку она не требует длительного ожидания адаптации, которое может занять от трех до шести месяцев. Имплант устанавливается непосредственно в кость, что позволяет провести процедуру всего через несколько дней после вмешательства.
Упрощенный вариант процедуры включает в себя пошаговый подход, который следует определенному протоколу: установка импланта, ожидание адаптации в течение нескольких месяцев, а затем протезирование. Весь процесс в среднем занимает не более одного месяца.
Время от установки импланта до начала протезирования составляет примерно пять дней.
Достоинства методики
Что такое базальная имплантация зубов и какие ее преимущества? Этот метод обладает рядом достоинств по сравнению с другими способами восстановления зубов:
- короткий срок лечения;
- импланты устанавливаются и фиксируются сразу после операции;
-
восстановительный период минимален, вмешательство незначительное, отсутствуют швы и кровотечения.
В случае возникновения каких-либо проблем, их можно быстро и эффективно решить.
-
устраняются признаки старения, так как происходит быстрое восстановление мышц лица и прикуса, исчезают морщины на губах;
- необходимость в наращивании кости возникает редко;
- метод может быть применен сразу после терапии пародонтита;
- низкая вероятность отторжения имплантов;
- стоимость процедуры значительно ниже, чем у традиционных методов, благодаря использованию меньшего количества материалов.
Особенности ухода
Срок службы протезов во многом зависит от материалов, из которых они изготовлены. Конструкции, как правило, рассчитаны на минимум двадцать лет. Протезы, выполненные из металлопластика, могут прослужить от одного до трех лет, тогда как металлокерамические изделия имеют срок службы около десяти лет. Однако наибольшей долговечностью отличаются протезы из диоксида циркония, которые могут функционировать до двадцати пяти лет.
Следует отметить, что срок эксплуатации изделий является условным и зависит от ухода и бережного отношения к ним.
Уход за протезами включает в себя следующие рекомендации:
- чистка зубной щеткой с мягкой щетиной и использованием специальной пасты дважды в день;
- промывание теплой водой и применение антисептических растворов;
- для устранения вредных микроорганизмов рекомендуется использовать ирригатор;
- дважды в год необходимо посещать стоматолога для оценки состояния протезов и, при необходимости, назначения лечения.
Заботьтесь о своей иммунной системе и предотвращайте развитие хронических заболеваний и травм челюсти.
Недостатки
На сегодняшний день данная методика остается процедурой, которая не получила одобрения со стороны европейских специалистов в области имплантологии. Это связано с рядом недостатков базальной имплантации:
- внедрение базальных систем является достаточно сложным процессом;
- во время установки происходит значительное повреждение тканей;
- в случае отторжения конструкции на месте ее установки наблюдается поражение костной ткани, что приводит к необходимости проведения процедур по наращиванию;
- протезирование имеет серьезные ограничения с точки зрения эстетики. Многие пациенты отмечают, что конструкции выглядят неестественно и напоминают недорогие съемные протезы.
К недостаткам также следует отнести саму процедуру установки.
Устройство внедряется таким образом, чтобы обеспечить срастание с костью. Применяется местное обезболивание. Пациенту делают разрез и отслаивают слизистую оболочку, после чего в челюсти формируются специальные желобки вертикального и горизонтального направления. Устройство устанавливается в подготовленное место, а десна зашивается.
https://youtube.com/watch?v=buIE09inqgE
Показания к базальной имплантации
Базальная имплантация зубов представляет собой современный метод восстановления зубного ряда, который применяется в случаях, когда традиционные методы имплантации не могут быть использованы из-за недостатка костной ткани или других анатомических особенностей.
Во-первых, базальная имплантация показана пациентам с выраженной атрофией челюстной кости. Это состояние может возникнуть в результате потери зубов, травм, заболеваний десен или длительного отсутствия зубных протезов. В таких случаях традиционные импланты могут не иметь достаточной опоры, и базальная имплантация становится оптимальным решением.
Во-вторых, этот метод рекомендуется пациентам, которые не могут или не хотят проходить длительные процедуры по наращиванию костной ткани. Базальная имплантация позволяет избежать сложных хирургических вмешательств, так как импланты устанавливаются в базальную (глубокую) часть челюсти, где костная ткань обычно сохраняется в лучшем состоянии.
Третьим показанием является наличие заболеваний, которые могут усложнить процесс традиционной имплантации. Например, пациенты с диабетом, сердечно-сосудистыми заболеваниями или другими хроническими состояниями могут столкнуться с повышенным риском осложнений при стандартной имплантации. Базальная имплантация, как правило, требует меньшего времени на заживление и может быть более безопасной альтернативой.
Кроме того, базальная имплантация может быть рекомендована пациентам, которые нуждаются в немедленном восстановлении зубного ряда. Этот метод позволяет установить импланты и временные протезы в один день, что значительно сокращает время ожидания и позволяет пациентам быстрее вернуться к привычной жизни.
Наконец, базальная имплантация может быть показана пациентам, которые ранее имели неудачный опыт с традиционными имплантами. В таких случаях важно провести тщательную диагностику и оценить индивидуальные особенности пациента, чтобы определить целесообразность применения данного метода.
Таким образом, базальная имплантация зубов является эффективным решением для различных клинических ситуаций, обеспечивая надежное восстановление зубного ряда даже в сложных случаях. Перед принятием решения о проведении процедуры важно проконсультироваться с квалифицированным стоматологом, который сможет оценить все показания и противопоказания, а также предложить оптимальный план лечения.
Противопоказания и риски
Базальная имплантация зубов, как и любая медицинская процедура, имеет свои противопоказания и риски, которые необходимо учитывать перед принятием решения о её проведении. Важно понимать, что не все пациенты подходят для этой процедуры, и наличие определённых факторов может значительно увеличить вероятность осложнений.
Одним из основных противопоказаний является наличие острых или хронических заболеваний, которые могут повлиять на процесс заживления. К таким заболеваниям относятся диабет, сердечно-сосудистые заболевания, заболевания крови и иммунной системы. Эти состояния могут затруднить интеграцию имплантата и привести к его отторжению.
Также стоит учитывать состояние костной ткани. Базальная имплантация предполагает использование костной ткани, расположенной в области базальных структур челюсти. Если у пациента наблюдается значительная атрофия костной ткани или её недостаток, это может стать серьёзным препятствием для успешного проведения процедуры. В таких случаях может потребоваться предварительная подготовка, например, костная пластика.
Возраст пациента также играет важную роль. Хотя нет строгих возрастных ограничений, у пожилых людей могут наблюдаться замедленные процессы заживления и более высокая вероятность сопутствующих заболеваний, что увеличивает риски. Кроме того, у молодых пациентов, чьи челюсти ещё не полностью сформированы, базальная имплантация может быть нецелесообразной.
Курение является ещё одним фактором риска. Оно негативно сказывается на кровообращении и заживлении тканей, что может привести к осложнениям после операции. Поэтому стоматологи часто рекомендуют пациентам отказаться от курения как минимум за несколько недель до и после процедуры.
Кроме того, существуют и другие риски, связанные с самой процедурой. К ним относятся инфекционные осложнения, повреждение соседних зубов или нервов, а также неудачная интеграция имплантата. Важно, чтобы пациент был осведомлён о возможных последствиях и тщательно обсудил все риски с врачом перед проведением операции.
В заключение, базальная имплантация зубов может быть эффективным решением для восстановления утраченных зубов, однако важно учитывать все противопоказания и риски, чтобы обеспечить успешный результат и минимизировать вероятность осложнений. Перед проведением процедуры необходимо пройти полное обследование и проконсультироваться с квалифицированным специалистом.
Сравнение с традиционной имплантацией
Базальная имплантация зубов и традиционная имплантация имеют свои особенности, преимущества и недостатки. Важно понимать, как они различаются, чтобы выбрать наиболее подходящий метод восстановления зубного ряда.
Традиционная имплантация зубов включает в себя установку имплантатов в челюстную кость, что требует наличия достаточного объема костной ткани. В случае ее недостатка, пациентам может потребоваться предварительная процедура по наращиванию кости, что увеличивает время лечения и общие затраты. Базальная имплантация, в свою очередь, направлена на использование базальных (или кортикальных) участков челюстной кости, которые обычно более плотные и устойчивые. Это позволяет избежать сложных манипуляций по наращиванию костной ткани и значительно сократить время лечения.
Еще одним важным аспектом является срок службы имплантатов. Базальные имплантаты, как правило, имеют более высокую степень остеоинтеграции благодаря тому, что они устанавливаются в более плотные участки кости. Это может привести к более длительному сроку службы имплантатов по сравнению с традиционными. Однако, как и в случае с любым другим методом, долговечность имплантатов зависит от множества факторов, включая качество ухода за полостью рта и общее состояние здоровья пациента.
В процессе традиционной имплантации требуется более длительный период заживления, так как имплантаты должны интегрироваться с костной тканью. Это может занять от нескольких месяцев до года. Базальная имплантация, как правило, позволяет значительно сократить этот срок, и в некоторых случаях пациенты могут получить временные зубные протезы уже в день операции.
С точки зрения эстетики, оба метода могут обеспечить хорошие результаты, однако базальная имплантация может быть предпочтительнее для пациентов с выраженной атрофией челюстной кости, так как она позволяет избежать сложных и дорогостоящих процедур по восстановлению костной ткани.
Наконец, стоит отметить, что выбор между базальной и традиционной имплантацией должен основываться на индивидуальных особенностях пациента, его состоянии здоровья и предпочтениях. Консультация с опытным стоматологом-имплантологом поможет определить наиболее подходящий метод для каждого конкретного случая.



