Воспаление десен — распространенная проблема, вызванная инфекцией, травмой или заболеваниями пародонта. Если десна около зуба распухла, это может вызывать боль и дискомфорт, требующие немедленного внимания. В статье рассмотрим, что делать в такой ситуации, методы снятия боли и воспаления, а также когда следует обратиться к стоматологу. Эти знания помогут облегчить состояние и предотвратить осложнения.
Симптоматика
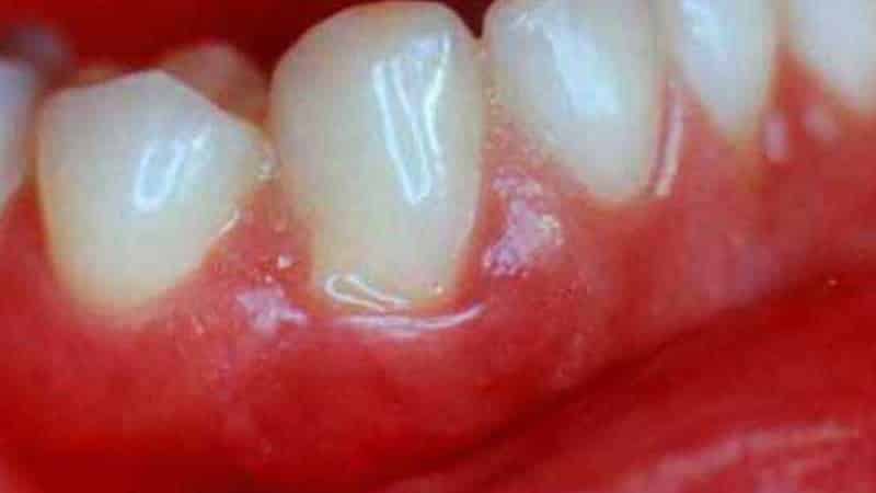
Если десна вокруг зуба опухла, появилась боль и щека увеличилась в размере, это может быть признаком флюса. В некоторых случаях сам зуб может не беспокоить, но отечность сохраняется. Это указывает на то, что воспалительный процесс в тканях пародонта продолжается, а в пораженном зубе присутствует инфекция.
Действительно, заметив значительное увеличение десны над зубом, многие начинают переживать о серьезности этого состояния. Однако не стоит впадать в панику. В большинстве случаев такой отек говорит о воспалительном процессе в пародонтальных тканях. Если вовремя начать лечение пораженного зуба и регулярно обрабатывать очаг инфекции специальными дезинфицирующими средствами, воспаление можно остановить.
Иногда, когда десна под зубом опухает, у человека может подняться температура. Жевать становится болезненно, а иногда даже трудно говорить. У многих пациентов наблюдается асимметрия лица и затруднения в произношении из-за отека в ротовой полости. Затягивать с лечением не следует. Важно остановить распространение инфекции.
Врачи рекомендуют не игнорировать вздутие десны около зуба, так как это может быть признаком воспалительного процесса или инфекции. Первым шагом следует обратиться к стоматологу для диагностики и определения причины проблемы. Врач может провести осмотр и назначить рентген, если это необходимо. В зависимости от диагноза, лечение может включать антисептические полоскания, противовоспалительные препараты или даже антибиотики. Также важно соблюдать гигиену полости рта, чтобы предотвратить дальнейшее развитие воспаления. В некоторых случаях может потребоваться удаление зуба или лечение корневых каналов. В любом случае, своевременное обращение к специалисту поможет избежать осложнений и сохранить здоровье зубов и десен.
https://youtube.com/watch?v=PlRO9FmH1Fs
Факторы, вызывающие отечность и гиперемию
Иногда после стоматологического лечения у пациента наблюдается отек десны. В ряде случаев причиной гингивита становится неправильно выполненное протезирование. Часто нависающая пломба создает давление на слизистую оболочку, что приводит к травмированию мягких тканей, попаданию инфекции в рану и развитию воспалительного процесса. После удаления зубов на десне может остаться значительная область поврежденной слизистой, где при недостаточной гигиене также может возникнуть воспаление.
Нельзя игнорировать любые новообразования. Если выраженный отек десен не проходит даже при регулярных полосканиях, стоит записаться на консультацию к пародонтологу.
У младенцев, когда начинают прорезываться первые зубы, десны часто отекают и причиняют дискомфорт. У взрослых процесс появления зубов мудрости также сопровождается сильной болью и отеком. Иногда третьи моляры могут расти неправильно. Направление их роста можно определить с помощью рентгеновского снимка. Для исправления ситуации может потребоваться сделать надрез и помочь зубу прорезаться.
Если десна вокруг зуба опухла, но причина не связана с прорезыванием третьих моляров, необходимо срочно обратиться к стоматологу. Это может свидетельствовать о развитии пульпита, периодонтита или нагноения. В таких случаях помогут антибактериальные препараты. Не стоит заниматься самолечением; важно, чтобы врач назначил комплексное лечение и соответствующие медикаменты.
Различные травы обладают болеутоляющими свойствами. Полоскания отварами лекарственных растений, таких как ромашка, календула, крапива и кора дуба, могут помочь снять воспаление, отек и неприятные ощущения в деснах.
| Причина вздутия десны | Симптомы | Что делать (первая помощь) |
|---|---|---|
| Гингивит (воспаление десен) | Покраснение, отек, кровоточивость десен, неприятный запах изо рта. | Тщательная гигиена полости рта (чистка зубов 2 раза в день, использование зубной нити), полоскания антисептическими растворами (хлоргексидин, отвары трав — ромашка, шалфей), обратиться к стоматологу. |
| Пародонтит (воспаление тканей вокруг зуба) | Те же, что при гингивите, плюс подвижность зубов, гнойные выделения из десневых карманов, боль при жевании. | Полоскания антисептиками, обезболивающие при сильной боли, немедленно обратиться к стоматологу. |
| Периодонтит (воспаление тканей вокруг верхушки корня зуба) | Острая или ноющая боль, усиливающаяся при накусывании, отек десны, возможно образование свища с гнойным отделяемым. | Обезболивающие, холодный компресс на щеку (не на десну!), немедленно обратиться к стоматологу. |
| Абсцесс десны (гнойное воспаление) | Сильная пульсирующая боль, выраженный отек, покраснение, возможно повышение температуры тела, общее недомогание. | Немедленно обратиться к стоматологу. До визита можно принять обезболивающее, приложить холодный компресс. |
| Прорезывание зуба мудрости | Боль, отек, покраснение десны в области прорезывающегося зуба, иногда затрудненное открывание рта. | Полоскания антисептиками или солевым раствором, обезболивающие при необходимости. Если боль сильная или есть признаки воспаления, обратиться к стоматологу. |
| Травма десны (например, от жесткой пищи, неправильной чистки) | Локальный отек, покраснение, болезненность в месте травмы. | Полоскания антисептиками, избегать раздражающей пищи. Если травма глубокая или не заживает, обратиться к стоматологу. |
| Киста (образование полости, заполненной жидкостью) | Может быть бессимптомной или вызывать отек, боль, дискомфорт. | Обратиться к стоматологу для диагностики и лечения. |
| Остатки пищи под десной | Локальный отек, болезненность, дискомфорт. | Попытаться аккуратно удалить остатки пищи зубной нитью или зубочисткой. Если не удается, обратиться к стоматологу. |
| Неправильно установленная пломба/коронка | Раздражение десны, отек, болезненность. | Обратиться к стоматологу для коррекции или замены пломбы/коронки. |
Пульпит
Воспаление пародонта может быть вызвано пульпитом, который, в свою очередь, развивается на фоне запущенного кариеса.
При этом заболевании зуб подвергается значительному разрушению, что позволяет инфекции добраться до нерва. Воспалительный процесс локализуется в пульпе – нервно-сосудистом образовании внутри зуба, где сосредоточено множество кровеносных и лимфатических сосудов.
Пациенты с пульпитом испытывают сильную боль, которая может быть мучительной и постоянной, особенно в ночное время. Чаще всего боль имеет пульсирующий характер. Даже легкое прикосновение к пораженному зубу вызывает дискомфорт. Также может наблюдаться повышение температуры.
В запущенных случаях пульпит может перейти в хроническую форму. Боль становится более выраженной во время обострений и часто возникает при прикосновении к больному участку. Если десна вокруг зуба сильно опухла, это может указывать на необратимые некротические изменения в пульпе. Когда зубной нерв разрушен, боль может исчезнуть, но воспаление может распространиться на окружающие мягкие ткани.
https://youtube.com/watch?v=xZ9_9c-A7Pw
Периодонтит, его причины и симптомы
Данная болезнь возникает в результате воспаления оболочки корня зуба или периодонта.
Инфекция может проникнуть через межзубные промежутки или распространиться из соседних тканей. В первом случае воспаление часто является следствием невыявленного пульпита. Во втором варианте заболевание может возникнуть из-за проблем в окружающих тканях. Часто различные стоматологические проблемы могут способствовать развитию хронического гайморита, и, в свою очередь, периодонтит может быть следствием воспалительного процесса в гайморовой пазухе. Это связано с тем, что данная область расположена близко к верхней челюсти.
Поэтому крайне важно определить, что делать, если десна вокруг зуба опухла, как лечить это состояние и, что наиболее важно, выяснить причину недуга. В некоторых случаях может потребоваться консультация не только стоматолога, но и терапевта или отоларинголога.
Отек слизистой оболочки, находящейся в одном или двух сантиметрах от шейки зуба, чаще всего наблюдается именно при периодонтите. Воспаление десны может проявляться со стороны щеки.
Основные симптомы заболевания включают пульсирующую боль, которая может отдавать в височную область, ухо и глаз. В месте отека часто можно заметить белое пятно. Опухоль на деснах может достигать нескольких сантиметров в размере.
Итак, если десна опухла и зуб болит, что делать? Существует несколько методов лечения, включая хирургические и консервативные. В некоторых случаях можно обойтись без операции и справиться с недугом с помощью назначенного стоматологом курса процедур. Врач может рекомендовать инъекции в десну.
Резекция верхушки корня зуба, которая сопровождается разрезом мягких тканей десны, выполняется только при условии сохранения коронки. В противном случае зуб может быть удален полностью или частично.
Опухоль на десне и методы лечения
Основная задача стоматолога заключается в определении причины воспаления, когда десна над зубом начинает опухать. Понимание того, как справиться с недомоганием и какие меры предпринять, становится возможным после выявления источника проблемы. В этом случае врач сможет подобрать наиболее эффективный метод лечения. Например, при периодонтите использование полоскания не рекомендуется. Для других причин воспаления могут быть назначены местные обезболивающие средства. При выборе медикаментов важно следовать указаниям стоматолога.
Это особенно актуально для антибиотиков. Неправильное и бесконтрольное их применение может затруднить диагностику, так как маскирует симптомы заболевания.
В более сложных ситуациях одних только медикаментов может быть недостаточно, и потребуется хирургическое вмешательство. Тем не менее, если не откладывать визит к стоматологу, есть возможность избежать операции.
Рецепты простых обезболивающих средств
К сожалению, многие народные средства способны лишь незначительно облегчить болевые ощущения. Для полного устранения причин воспаления потребуется пройти курс комплексного лечения в медицинском учреждении.
Среди популярных народных средств на растительной основе можно выделить травяные отвары и настойки, такие как ромашка, шалфей, кора дуба и календула.
Содовый раствор также демонстрирует высокую эффективность при воспалении десен. В него можно добавить йод или морскую соль. Рекомендуется часто полоскать рот, особенно если боль и отек выражены в острой стадии заболевания. В среднем, такие процедуры следует проводить несколько раз в день: после приема пищи, утром и перед сном.
После использования ополаскивателей желательно принять обезболивающее средство. При необходимости можно также использовать жаропонижающие препараты.
Иногда помогает компресс, но он не должен быть горячим; для таких аппликаций можно применять спиртовую настойку.
Важно своевременно обратиться к пародонтологу, так как некоторые случаи опухания десен могут представлять опасность. Даже если симптомы исчезли, стоит пройти консультацию у врача, чтобы выявить причину недуга.
https://youtube.com/watch?v=OO9EkAHmxXA
Профилактика заболеваний десен
Профилактика заболеваний десен играет ключевую роль в поддержании здоровья полости рта и предотвращении таких неприятных состояний, как вздутие десен. Основные меры профилактики включают в себя:
- Регулярная гигиена полости рта: Чистите зубы не менее двух раз в день с использованием фторсодержащей зубной пасты. Не забывайте про зубную нить и ополаскиватели для рта, которые помогают удалить остатки пищи и налет из труднодоступных мест.
- Посещение стоматолога: Регулярные осмотры у стоматолога (не реже одного раза в полгода) позволяют выявить проблемы на ранних стадиях и предотвратить развитие заболеваний десен.
- Правильное питание: Сбалансированная диета, богатая витаминами и минералами, особенно витамином C и кальцием, способствует укреплению десен. Избегайте избыточного потребления сахара, который может способствовать развитию кариеса и воспалительных процессов.
- Отказ от вредных привычек: Курение и чрезмерное употребление алкоголя негативно сказываются на здоровье десен. Отказ от этих привычек может значительно снизить риск заболеваний.
- Управление стрессом: Хронический стресс может ослабить иммунную систему, что делает десны более уязвимыми к инфекциям. Практикуйте методы релаксации, такие как йога или медитация.
- Использование специальных средств: Рассмотрите возможность использования антисептических ополаскивателей для рта, которые могут помочь в борьбе с бактериями и воспалениями.
Следуя этим рекомендациям, вы сможете значительно снизить риск возникновения заболеваний десен и поддерживать здоровье своей полости рта на высоком уровне. Помните, что профилактика всегда проще и эффективнее, чем лечение уже возникших проблем.
Когда обращаться к стоматологу
Вздутие десны около зуба может быть признаком различных стоматологических заболеваний, и важно не игнорировать этот симптом. Существует несколько ситуаций, когда необходимо незамедлительно обратиться к стоматологу:
- Сильная боль: Если вы испытываете интенсивную боль в области вздутия, это может указывать на инфекцию или воспаление. Боль может быть постоянной или усиливаться при жевании.
- Появление гноя: Если из десны выделяется гной или наблюдается наличие гнойного кармана, это свидетельствует о наличии инфекции, требующей профессионального лечения.
- Кровоточивость: Если десна не только вздулась, но и начала кровоточить, это может быть признаком пародонтита или других заболеваний десен, которые требуют внимания специалиста.
- Отек и покраснение: Если вздутие сопровождается покраснением и отеком, это может указывать на воспалительный процесс, который необходимо лечить.
- Нарушение функции жевания: Если вы испытываете трудности при жевании или ощущаете дискомфорт при закрытии челюсти, это может быть признаком серьезной проблемы, требующей вмешательства стоматолога.
- Температура и общее недомогание: Если вздутие десны сопровождается повышением температуры тела, это может свидетельствовать о системной инфекции, требующей немедленного медицинского вмешательства.
Не стоит откладывать визит к стоматологу, если вы заметили один или несколько из перечисленных симптомов. Чем раньше будет поставлен диагноз и начато лечение, тем выше вероятность избежать серьезных осложнений и сохранить здоровье зубов и десен.
Кроме того, регулярные профилактические осмотры у стоматолога помогут выявить проблемы на ранних стадиях и предотвратить их развитие. Если у вас есть предрасположенность к заболеваниям десен или зубов, важно следить за состоянием полости рта и обращаться к специалисту при первых признаках дискомфорта.
Возможные осложнения при отсутствии лечения
Игнорирование вздутия десны может привести к серьезным осложнениям, которые могут негативно сказаться на здоровье полости рта и общем состоянии организма. Одним из наиболее распространенных последствий является развитие периодонтита — воспалительного процесса, затрагивающего ткани, окружающие зуб. Это состояние может привести к потере зуба, если не будет своевременно диагностировано и лечено.
Кроме того, воспаление десен может перерасти в абсцесс, что представляет собой скопление гноя в тканях. Абсцесс сопровождается сильной болью, отеком и может вызвать повышение температуры тела. В случае, если гной не будет удален, инфекция может распространиться на соседние зубы и ткани, что приведет к более серьезным проблемам.
Также стоит отметить, что хроническое воспаление десен может стать причиной системных заболеваний. Исследования показывают, что существует связь между заболеваниями десен и такими состояниями, как диабет, сердечно-сосудистые заболевания и даже заболевания легких. Инфекция в полости рта может попасть в кровоток и вызвать воспалительные процессы в других органах, что делает своевременное лечение особенно важным.
Не менее важным является и эстетический аспект. Вздутие десны может привести к изменению внешнего вида улыбки, что может негативно сказаться на самооценке человека. Кроме того, воспаленные десны могут быть причиной неприятного запаха изо рта, что также требует внимания и лечения.
В заключение, важно понимать, что вздутие десны — это не просто косметическая проблема, а серьезный сигнал о возможных заболеваниях, требующий немедленного обращения к стоматологу. Пренебрежение симптомами может привести к осложнениям, которые потребуют более сложного и длительного лечения.




