Киста в десне зуба — это патологическое образование, возникающее из-за стоматологических заболеваний или травм. На ранних стадиях киста может не проявляться, но её наличие способно вызвать серьезные последствия для зубов и десен. В статье рассмотрим причины возникновения кист, их симптомы и важность своевременного лечения. Понимание этих аспектов поможет читателям обратиться к стоматологу и избежать осложнений.
Классификация и симптомы болезни
Зубную кисту можно классифицировать по нескольким критериям:
- По месту нахождения новообразование может располагаться:
- рядом с зубом мудрости (примордиальная или кератокиста);
- в гайморовой пазухе (одонтогенная киста верхнечелюстной пазухи);
- под передними зубами.
- По причинам возникновения кисты можно разделить на следующие категории:
- при прорезывании зуба, чаще всего встречается у детей в период появления коренных зубов;
- парадентальная, возникает при проблемах с прорезыванием зуба и его воспалении;
- радикулярная, формируется на корне зуба, часто связана с развитием периодонтита;
- фолликулярная, появляется в месте зубного зачатка при его инфекционном заражении;
- резидуальная, может возникнуть в костной ткани после удаления зуба.
Существует также другое новообразование в челюстных тканях, которое образуется рядом с корнем зуба из-за воспаления периодонта. Это заболевание называется гранулёмой. Как и киста, она может развиваться длительное время без явных симптомов.
Однако, в отличие от кисты, гранулёма не имеет четкой капсулы, заполненной гнойным содержимым, а представляет собой очаг воспаления в соединительной ткани, что затрудняет определение её границ.
С развитием зубной кисты, симптомы и последствия становятся всё более заметными. Сначала человек может ощущать лишь легкую боль при приеме пищи и нажатии на десну. Затем, особенно при ослаблении иммунной системы, инфекция в полости начинает быстро распространяться, заполняя её свежим гнойным экссудатом.
На этом фоне могут возникнуть острые боли и отечность десны. Другими возможными симптомами являются воспаление лимфоузлов и повышение температуры тела.
Кисты на зубах представляют собой серьезную стоматологическую проблему, о которой врачи предупреждают своих пациентов. По мнению специалистов, такие образования могут привести к различным осложнениям, если не обратиться за медицинской помощью. Киста, образующаяся в области корня зуба, может вызывать воспаление и инфекцию, что в свою очередь приводит к боли и дискомфорту. Врачи отмечают, что игнорирование кисты может привести к разрушению костной ткани и потере зуба. Кроме того, кисты могут стать источником хронической инфекции, что негативно сказывается на общем состоянии здоровья. Поэтому стоматологи настоятельно рекомендуют регулярно проходить осмотры и при первых признаках проблемы обращаться за лечением.
https://youtube.com/watch?v=exzJdL6c35U
Причины заболевания и его последствия
Честно говоря, киста зуба опасна прежде всего своими последствиями. Она образуется по одной основной причине – попаданию инфекции в корневые каналы. Однако существует несколько способов, которыми инфекция может проникнуть:
- Кариес или пульпит. Если не лечить кариес, болезнетворные бактерии могут попасть в пульпу зуба, что приведет к пульпиту – воспалению пульпы. При отсутствии должного лечения микробы могут перейти в корневые каналы, что станет причиной формирования кисты.
- Некачественное пломбирование корневых каналов. Если после удаления зуба каналы запломбированы не полностью, инфекция может развиваться в оставшемся пространстве на верхушке корня, что приводит к образованию кисты.
- Травма. Поврежденные ткани становятся уязвимыми для инфекции, и получить травму можно довольно легко, если не соблюдать меры предосторожности.
- Другие инфекционные заболевания. Даже если источник инфекции находится не в ротовой полости, через кровоток болезнетворные микроорганизмы могут попасть в челюстную ткань, поэтому важно заботиться о здоровье всего организма.
Несмотря на то, что киста может казаться безобидной из-за своей изоляции, она и её последствия могут оказать крайне негативное влияние на здоровье человека. Заболевание может привести к разрушению корней зубов или даже перерождению в злокачественную опухоль.
Среди симптомов кисты часто встречаются сильные боли в челюсти и голове, а также появление флюса. Резкое обострение может быть вызвано любым снижением иммунитета, переохлаждением или даже стрессом.
Важно помнить, что невыявленная киста в костной ткани может спровоцировать перелом челюсти. Несмотря на свою замкнутость, в кисты могут проникать и другие бактерии, что вызывает воспаление и может привести к остеомиелиту.
Киста сама по себе является доброкачественным образованием, но оставлять её без лечения не стоит, так как она может привести к образованию злокачественных опухолей, и тогда без онкологического лечения уже не обойтись.
Киста в зубе и её последствия – это мина замедленного действия. Поэтому крайне важно регулярно посещать стоматолога для профилактических осмотров каждые 3-4 месяца.
https://youtube.com/watch?v=D_JNkBN3-R8
| Опасность кисты на зубе | Механизм возникновения опасности | Возможные последствия |
|---|---|---|
| Распространение инфекции | Киста является очагом хронической инфекции, которая может распространяться на соседние ткани и органы. | Остеомиелит челюсти, флегмона, абсцесс, сепсис, гайморит (при кисте верхней челюсти). |
| Разрушение костной ткани | Киста растет, оказывая давление на окружающую кость, что приводит к ее резорбции (рассасыванию). | Разрушение челюстной кости, патологические переломы, потеря зубов. |
| Повреждение соседних зубов | Растущая киста может давить на корни соседних зубов, вызывая их смещение, рассасывание корней или некроз пульпы. | Потеря соседних зубов, нарушение прикуса. |
| Неврологические осложнения | Киста может сдавливать нервные окончания, проходящие в челюсти. | Невралгия тройничного нерва, онемение лица, боли. |
| Малигнизация (озлокачествление) | В редких случаях киста может перерождаться в злокачественную опухоль. | Рак челюсти, требующий серьезного лечения. |
| Нарушение эстетики и функции | Большая киста может вызывать деформацию лица, затруднять жевание и речь. | Косметические дефекты, проблемы с питанием, нарушение дикции. |
Методы диагностики кисты на зубе
Диагностика кисты на зубе является важным этапом в определении состояния здоровья зубочелюстной системы. Существует несколько методов, которые позволяют выявить наличие кисты, оценить её размеры и расположение, а также определить возможные осложнения.
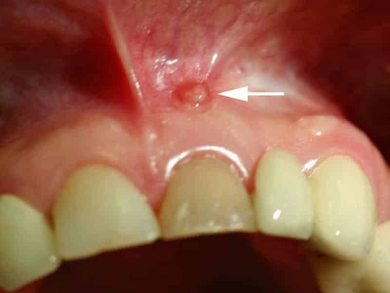
1. Визуальный осмотр: Первоначально стоматолог проводит осмотр полости рта. Врач обращает внимание на наличие опухолей, изменений в деснах и других признаков, которые могут указывать на наличие кисты. Однако визуальный осмотр не всегда может дать полную картину, поэтому необходимы дополнительные методы диагностики.
2. Рентгенография: Один из наиболее распространённых и эффективных методов диагностики кисты на зубе. Рентгеновские снимки позволяют увидеть изменения в костной ткани, которые могут указывать на наличие кисты. На рентгенограмме киста выглядит как затемнённое образование вокруг корня зуба. В зависимости от размера и расположения кисты, стоматолог может определить её тип и стадию развития.
3. Компьютерная томография (КТ): Этот метод предоставляет более детальную информацию о состоянии зубов и окружающих тканей. КТ позволяет получить послойные изображения, что помогает точно определить размеры и расположение кисты, а также оценить её влияние на соседние зубы и челюсть. Это особенно важно в случаях, когда киста большая или расположена в сложной области.
4. Ультразвуковое исследование: Хотя этот метод не так часто используется для диагностики кисты на зубах, он может быть полезен в некоторых случаях. Ультразвук позволяет оценить мягкие ткани и выявить наличие жидкости, что может указывать на кисты или абсцессы.
5. Биопсия: В редких случаях, когда есть подозрение на злокачественное образование, может потребоваться биопсия. Этот метод включает в себя забор образца ткани из кисты для дальнейшего лабораторного анализа. Биопсия помогает исключить рак и другие серьёзные заболевания.
6. Консультация специалистов: В некоторых случаях может потребоваться консультация других специалистов, таких как челюстно-лицевой хирург или онколог, для более точной диагностики и определения дальнейшей тактики лечения.
Важно отметить, что ранняя диагностика кисты на зубе позволяет избежать серьёзных осложнений, таких как инфекция, разрушение костной ткани и потеря зуба. Поэтому регулярные посещения стоматолога и своевременное обращение за помощью при появлении симптомов, таких как боль, отёк или изменение цвета десен, являются ключевыми факторами в поддержании здоровья зубов и десен.
https://youtube.com/watch?v=5ZzbtX6OAJk
Способы лечения и профилактики
Лечение кисты на зубе может варьироваться в зависимости от ее размера, расположения и состояния зуба, к которому она относится. Важно помнить, что игнорирование проблемы может привести к серьезным последствиям, таким как инфекция, потеря зуба или даже распространение инфекции на другие участки организма.
Одним из наиболее распространенных методов лечения кисты является эндодонтическое лечение, или лечение корневых каналов. Этот процесс включает в себя удаление инфицированной или поврежденной пульпы зуба, очистку и дезинфекцию корневых каналов, а затем их заполнение специальным материалом. После завершения процедуры зуб восстанавливается с помощью пломбы или коронки.
В некоторых случаях, если киста слишком велика или зуб сильно поврежден, может потребоваться хирургическое вмешательство. Операция может включать в себя удаление кисты и, в некоторых случаях, удаление самого зуба. Хирургическое лечение может быть более сложным и требует более длительного восстановления, однако оно может быть необходимым для предотвращения дальнейших осложнений.
Профилактика кисты на зубах включает в себя регулярные визиты к стоматологу для профилактических осмотров и чистки зубов. Стоматолог может выявить проблемы на ранних стадиях и предложить соответствующее лечение. Также важно поддерживать хорошую гигиену полости рта: чистить зубы дважды в день, использовать зубную нить и ополаскиватель для рта. Избегание вредных привычек, таких как курение и чрезмерное употребление сахара, также может снизить риск развития кисты.
Кроме того, важно обращать внимание на любые изменения в состоянии зубов и десен. Если вы заметили боль, отек или другие необычные симптомы, необходимо как можно скорее обратиться к стоматологу. Раннее выявление и лечение кисты может значительно улучшить прогноз и снизить риск серьезных осложнений.
Влияние кисты на общее здоровье организма
Киста на зубе, представляющая собой полостное образование, заполненное жидкостью или гноем, может оказывать негативное влияние не только на состояние зуба, но и на общее здоровье организма. Важно понимать, что киста является следствием воспалительного процесса, который может возникнуть в результате инфекции, травмы или неудачного лечения зуба. Если не обратить внимание на данное образование, оно может привести к серьезным последствиям.
Во-первых, киста может стать источником хронической инфекции. Бактерии, находящиеся в полости кисты, могут распространяться в окружающие ткани, вызывая воспаление десен и соседних зубов. Это может привести к развитию периодонтита, который, в свою очередь, может потребовать более серьезного лечения, вплоть до удаления зуба.
Во-вторых, наличие кисты может негативно сказаться на иммунной системе. Хроническое воспаление, вызванное инфекцией, требует от организма дополнительных усилий для борьбы с патогенами, что может ослабить иммунный ответ на другие заболевания. Это особенно опасно для людей с уже ослабленным иммунитетом, таких как пожилые люди или пациенты с хроническими заболеваниями.
Кроме того, киста может вызывать системные реакции организма. Исследования показывают, что хронические инфекции в полости рта могут быть связаны с развитием сердечно-сосудистых заболеваний, диабета и других серьезных заболеваний. Воспалительные процессы в ротовой полости могут способствовать повышению уровня воспалительных маркеров в крови, что негативно сказывается на состоянии сердечно-сосудистой системы.
Также стоит отметить, что киста может вызывать дискомфорт и боль, что влияет на качество жизни пациента. Постоянные боли в области зуба могут привести к нарушению сна, снижению работоспособности и ухудшению психоэмоционального состояния. В некоторых случаях пациенты могут избегать приема пищи, что может привести к недостатку питательных веществ и ухудшению общего состояния здоровья.
Таким образом, киста на зубе представляет собой не только локальную проблему, но и потенциальную угрозу для общего здоровья организма. Поэтому важно своевременно обращаться к стоматологу для диагностики и лечения данного состояния, чтобы избежать серьезных последствий и сохранить здоровье не только зубов, но и всего организма в целом.

