Повышенная стираемость зубов, или патологическая стираемость, — это стоматологическая проблема, способная вызвать осложнения, такие как боль, нарушение жевательной функции и эстетические дефекты. В статье рассмотрим основные причины и механизмы развития этой патологии, а также симптомы, указывающие на ее наличие. Обсудим современные методы диагностики и лечения, что поможет читателям своевременно выявить проблему и сохранить здоровье зубов.
Сущность недуга и его причины
При нормальном прикусе у человека наблюдается более интенсивный износ внешней поверхности нижних зубов и внутренней части верхних. Жевательная поверхность моляров подвергается регулярной нагрузке во время еды, что приводит к стиранию естественных бугров.
Возрастное стирание зубов обычно начинается после 40 лет, причем мужчины обращаются к стоматологам значительно чаще, чем женщины. Если такая проблема возникает у подростков или молодых людей до 30 лет, это свидетельствует о патологической стираемости.
Рассмотрим основные причины, способствующие этому явлению.
- Неравномерная нагрузка на соседние зубы после удаления зуба, установки протезов или брекетов. Например, если удаляются коренные моляры, нагрузка перераспределяется на клыки и резцы.
- Увеличенный износ зубов при аномальном прикусе или патологиях челюсти, включая врожденные. Например, при прямом прикусе быстрее изнашиваются режущие и боковые края фронтальных зубов.
- Бруксизм – это состояние, при котором человек бессознательно скрежещет зубами во сне, что приводит к разрушению эмали.
- Профессиональные риски. Некоторые профессии (например, кондитер, химик, работник завода) могут подвергать человека неблагоприятным условиям труда, когда частицы используемых веществ оседают на коже и зубах. Эти компоненты могут разрушать эмаль значительно быстрее, чем это происходит естественным образом, и износ происходит равномерно.
- Недостаточная твердость зубной ткани. Заболевания, такие как гипоплазия, эрозия эмали, клиновидный дефект и флюороз, приводят к истончению эмали и снижению прочности костной ткани, что ускоряет деформацию зубов.
- Системные заболевания. Нарушения обмена веществ и работы эндокринной системы (например, щитовидной железы, гипофиза) или специфические заболевания (например, синдром Стейнтона-Капдепона) могут снижать прочность зубной ткани из-за нарушения ее структурной резистентности.
- Неправильное питание. Преобладание в рационе твердых продуктов (таких как яблоки, морковь, семечки, орехи), а также газированных сладких напитков, кондитерских изделий и кислых блюд ухудшает здоровье зубов и снижает их твердость.
-
Вредные привычки. Употребление алкоголя и курение негативно сказываются на эмали и костной ткани, ускоряя их разрушение. К вредным привычкам также относится удерживание в ротовой полости посторонних предметов (например, колпачков от ручек, зубочисток, ногтей). Использование зубов для открытия банок или выполнения других неприродных действий также приводит к образованию сколов и выщербин на эмали.
-
Прием медикаментов. Некоторые агрессивные препараты (например, на основе соляной кислоты) могут разрушать верхний слой эмали.
- Интенсивные физические нагрузки. У спортсменов и грузчиков часто наблюдается патологическая стираемость зубов, что связано с плотным смыканием челюстей во время подъема тяжестей.
Врачи-стоматологи отмечают, что повышенная стираемость зубов становится все более распространенной проблемой среди пациентов. Основными факторами, способствующими этому явлению, являются неправильное питание, недостаток минералов и витаминов, а также вредные привычки, такие как курение и чрезмерное употребление кислых напитков. Специалисты подчеркивают, что стираемость зубов может привести к серьезным последствиям, включая повышенную чувствительность, кариес и даже потерю зубов. Важно своевременно обращаться к стоматологу для диагностики и профилактики. Регулярные осмотры и соблюдение гигиенических норм помогут сохранить здоровье зубов и предотвратить их износ. Врачи рекомендуют использовать специальные зубные пасты и щетки, а также следить за рационом, чтобы минимизировать риск стираемости.
https://youtube.com/watch?v=3_wBK7dPbiA
Симптомы патологии
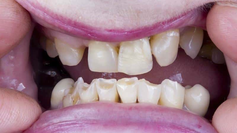
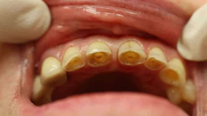
Клиническая картина заболевания проявляется в ускоренном истирании верхнего слоя зуба (эмали), что приводит к повреждению более глубоких тканей (дентин).
При обнажении дентина зубы изнашиваются значительно быстрее, что может вызвать образование сколов, острых краев и выемок на поверхности зуба.
Эти дефекты способны вызывать микротравмы слизистой оболочки, языка и губ.
На начальной стадии наблюдается повышенная чувствительность эмали к температурным, химическим и механическим воздействиям. Острая боль может возникать при употреблении горячей или холодной пищи и напитков, а также при контакте с острыми, кислыми, сладкими или солеными продуктами. Болезненные ощущения также могут возникать при прикосновении к зубу и во время обычной гигиенической процедуры.
При обнажении дентина и образовании защитного слоя чувствительность может временно снизиться, однако износ зуба при этом значительно увеличивается.
Прогрессирование заболевания приводит к быстрому сокращению длины моляров, что в свою очередь вызывает изменения в мимике и симметрии лица. Пациенты часто замечают опущение уголков губ, а также испытывают дискомфорт в височно-челюстном суставе. В некоторых случаях может наблюдаться ухудшение слуха и боль в области языка.
В этот период также происходит изменение прикуса, что создает неудобства при кусании и жевании пищи. В некоторых ситуациях нарушения в процессе пережевывания могут негативно сказаться на состоянии пищеварительной системы.
В процессе истирания сглаживаются фиссуры и неровности, что делает поверхность эмали более гладкой и ровной. Это может помочь частично устранить ранние проявления кариеса, находящегося на дне таких бороздок.
При значительном износе резцов процесс рано или поздно достигает шейки зуба, и через дефекты в дентине становится видна полость зуба.
Глубокий прикус может привести к повреждению поверхности как нижних, так и верхних резцов.
Если заболевание началось после удаления зуба, то соседние зубы, а также клыки и резцы подвергаются стиранию.
Когда патология выявляется у работников, занятых в производстве химических соединений, металлоконструкций или кондитерских изделий, наблюдается равномерное повреждение эмали, гладкая поверхность зубов и отсутствие глубоких фиссур. При этом поверхность имеет не характерный глянцевый, а матовый оттенок без налета и камня.
В некоторых случаях может быть заметен обнаженный сглаженный дентин. Если пациент трудится на предприятии, занимающемся производством кислот, моляры могут стираться до уровня шейки. В этом случае человек ощущает шероховатость поверхности зуба, болезненность и дискомфорт при жевании.
На последних стадиях заболевания наблюдаются изменения в положении зубов, их подвижность и даже выпадение. Также возможна резорбция твердых тканей у корней зубов и перегородок.
| Причина повышенной стираемости | Симптомы | Методы лечения и профилактики |
|---|---|---|
| Бруксизм (скрежетание зубами) | Износ эмали, чувствительность зубов, боль в челюсти, головные боли | Каппы для сна, физиотерапия, снижение стресса, коррекция прикуса |
| Неправильный прикус | Неравномерная нагрузка на зубы, сколы эмали, изменение формы зубов | Ортодонтическое лечение (брекеты, элайнеры), пришлифовка зубов |
| Чрезмерное употребление абразивных продуктов | Истончение эмали, повышенная чувствительность, изменение цвета зубов | Ограничение потребления кислых и абразивных продуктов, использование мягких зубных щеток, реминерализующие пасты |
| Неправильная техника чистки зубов | Клиновидные дефекты, рецессия десны, повышенная чувствительность | Обучение правильной технике чистки зубов, использование мягких зубных щеток, пасты с низким индексом абразивности |
| Гастроэзофагеальная рефлюксная болезнь (ГЭРБ) | Эрозия эмали, повышенная чувствительность, изменение цвета зубов | Лечение основного заболевания, использование фторсодержащих паст, регулярные осмотры у стоматолога |
| Дефицит кальция и фтора | Ослабление эмали, повышенная подверженность стиранию | Сбалансированное питание, прием витаминно-минеральных комплексов, фторирование зубов |
| Профессиональные вредности (работа с абразивными материалами) | Истончение эмали, повышенная чувствительность, изменение формы зубов | Использование средств индивидуальной защиты, регулярные осмотры у стоматолога, профессиональная гигиена |
Диагностика и лечение недуга
Лечение патологической стираемости зубов зависит от типа заболевания, его причин и стадии развития.
Перед началом терапии стоматолог проводит детальную диагностику и помогает выявить и устранить факторы, способствующие повышенному износу зубов. После этого назначается восстановительное лечение, которое направлено на реставрацию зубов и восстановление их эстетики.
Диагностика включает в себя сбор анамнеза, анализ жалоб пациента и выявление причин стираемости. Стоматолог проводит визуальный осмотр ротовой полости и зубного ряда, обращая внимание на изменения прикуса и симметрию лица.
Также специалист определяет характер и степень окклюзии, фиксирует визуальные симптомы, оценивает твердость и устойчивость тканей, а также степень стирания эмали и дентина.
Обязательно проводится оценка состояния корневых каналов и полости пульпы с использованием электроодонтодиагностики, рентгенографии и ортопантомографии.
С помощью компьютерных технологий стоматолог анализирует модель челюсти, определяет форму, глубину и степень повреждения зуба, а также окклюзионные соотношения верхнего и нижнего рядов.
На поздних стадиях может потребоваться исследование работы челюстного сустава и жевательных мышц, для чего используются рентген, томография ВНЧС, электромиография и другие методы.
Лечение, как правило, проводит команда стоматологов: терапевт, ортопед и ортодонт.
На первом этапе устраняются причины стирания, что может включать лечение системных и стоматологических заболеваний, коррекцию прикуса, замену протезов или имплантов, отказ от вредных привычек, изменение рациона или даже рабочего места, а также восстановление утраченных зубов с помощью коронок и других методов.
Параллельно назначаются вспомогательные препараты, пищевые добавки и витаминно-минеральные комплексы, которые помогают восстановить баланс веществ в организме, обеспечивая поступление кальция, минеральных солей, фтора и других необходимых микроэлементов для здоровья зубов.
Затем устраняется гиперестезия зубного ряда с помощью реминерализации. Пациент продолжает принимать витаминно-минеральные комплексы и проходит физиотерапевтические процедуры (например, электрофорез). Также проводятся аппликации с фторсодержащими препаратами.
Острые края, сколы и дефекты эмали шлифуются до гладкой и безопасной для мягких тканей поверхности.
Дефекты и пробелы в зубном ряду корректируются с помощью протезирования и имплантации.
Для лечения бруксизма назначаются индивидуальные ночные капы, которые помогают предотвратить износ эмали во время ночного скрежета.
Заключительным этапом является восстановление естественной формы зубов (коронки, режущие края и т.д.) с использованием пломбировочных композитов, культевых вкладок, виниров, искусственных коронок, люминиров или художественной реставрации.
Чтобы избежать длительного и дорогостоящего лечения, важно своевременно обращать внимание на состояние своих зубов.
Если вы заметили описанные в статье симптомы, уменьшение длины зубов или сколы на эмали, запишитесь на прием к стоматологу для исключения повышенной стираемости зубов. Также не забывайте о необходимости принимать микроэлементы и витамины, а также очищенную воду с нормальным содержанием фтора для здоровья зубного ряда.
https://youtube.com/watch?v=YuE7zGhTPis
https://youtube.com/watch?v=bPTGPVPCB6I
Профилактика повышенной стираемости зубов
Профилактика повышенной стираемости зубов является важным аспектом стоматологического здоровья, так как она помогает предотвратить развитие серьезных проблем, связанных с зубами и деснами. Стираемость зубов может быть вызвана различными факторами, включая неправильную гигиену полости рта, использование жесткой зубной щетки, а также привычки, такие как скрежетание зубами (бруксизм). Для снижения риска стираемости зубов необходимо соблюдать несколько рекомендаций.
Во-первых, важно правильно выбирать зубную щетку. Рекомендуется использовать щетки с мягкой щетиной, которые не травмируют эмаль зубов и десны. Также стоит обратить внимание на технику чистки зубов: движения должны быть мягкими и круговыми, избегая сильного давления на зубы.
Во-вторых, регулярные визиты к стоматологу играют ключевую роль в профилактике стираемости зубов. Стоматолог сможет выявить ранние признаки стираемости и предложить соответствующее лечение или рекомендации. Профессиональная чистка зубов также помогает удалить налет и камень, которые могут способствовать ухудшению состояния зубной эмали.
В-третьих, следует обратить внимание на рацион питания. Избегание чрезмерного потребления кислых и сладких продуктов поможет сохранить здоровье зубов. Кислоты могут разрушать эмаль, а сахар способствует образованию кариеса. Включение в рацион продуктов, богатых кальцием и фосфором, таких как молочные продукты, орехи и рыба, способствует укреплению зубной эмали.
Кроме того, если у вас есть привычка скрежетать зубами, стоит обратиться к стоматологу для получения рекомендаций по лечению бруксизма. В некоторых случаях может потребоваться использование специальных капп, которые защищают зубы от износа во время сна.
Наконец, важно следить за общим состоянием здоровья, так как некоторые заболевания, такие как диабет, могут негативно влиять на здоровье зубов. Поддержание общего здоровья организма также способствует профилактике стоматологических заболеваний.
Влияние питания на здоровье зубов
Питание играет ключевую роль в здоровье зубов и может существенно влиять на их стираемость. Разнообразие продуктов, которые мы употребляем, а также их химический состав, могут как укреплять зубную эмаль, так и способствовать её разрушению. Важно понимать, какие именно продукты могут негативно сказаться на состоянии зубов.
Прежде всего, следует отметить, что высокое содержание сахара в рационе является одним из главных факторов, способствующих развитию кариеса и, как следствие, повышенной стираемости зубов. Сахар является питательной средой для бактерий, которые обитают в полости рта. Эти микроорганизмы, перерабатывая сахар, выделяют кислоты, которые разрушают зубную эмаль. Чем больше сахара мы потребляем, тем выше риск повреждения зубов.
Кроме того, кислые продукты и напитки, такие как цитрусовые фрукты, газированные напитки и некоторые виды уксуса, могут также негативно влиять на эмаль. Кислоты, содержащиеся в этих продуктах, могут вызывать деминерализацию зубной эмали, что делает её более подверженной стираемости. Поэтому важно ограничивать потребление таких продуктов и, по возможности, полоскать рот водой после их употребления.
На здоровье зубов также влияют продукты, богатые минералами и витаминами. Кальций и фосфор, содержащиеся в молочных продуктах, а также витамины D и C, способствуют укреплению зубной эмали и поддержанию её здоровья. Употребление таких продуктов, как сыр, йогурт, рыба и зеленые листовые овощи, может помочь в профилактике стираемости зубов.
Не менее важным аспектом является режим питания. Частое перекусывание и употребление сладостей в течение дня увеличивает количество времени, когда зубы подвергаются воздействию кислот. Рекомендуется придерживаться регулярного режима питания и ограничивать частоту перекусов, чтобы снизить риск повреждения зубов.
В заключение, правильное питание является важным фактором в поддержании здоровья зубов и предотвращении их стираемости. Сбалансированный рацион, богатый необходимыми витаминами и минералами, а также ограничение потребления сахара и кислых продуктов помогут сохранить зубы крепкими и здоровыми на долгие годы.
Советы по уходу за зубами при повышенной стираемости
Повышенная стираемость зубов, или абразия, является серьезной проблемой, которая может привести к различным стоматологическим заболеваниям и дискомфорту. Чтобы минимизировать последствия этого состояния, важно следовать определенным рекомендациям по уходу за зубами.
1. Правильная техника чистки зубов: Используйте мягкую зубную щетку и не прилагайте чрезмерных усилий при чистке. Чистите зубы круговыми движениями, избегая горизонтальных движений, которые могут способствовать стиранию эмали. Рекомендуется чистить зубы не менее двух раз в день, уделяя внимание всем участкам рта.
2. Выбор зубной пасты: Обратите внимание на зубные пасты, содержащие фтор, так как они помогают укрепить эмаль и защищают зубы от кариеса. Избегайте паст с абразивными частицами, которые могут усугубить проблему стираемости.
3. Ограничение кислых продуктов: Кислые продукты и напитки, такие как цитрусовые, газированные напитки и уксус, могут разъедать эмаль. Старайтесь ограничивать их потребление и, если употребляете, полощите рот водой после этого.
4. Регулярные визиты к стоматологу: Профилактические осмотры у стоматолога помогут выявить проблемы на ранних стадиях. Специалист может предложить индивидуальные рекомендации и, при необходимости, провести процедуры по укреплению эмали.
5. Использование защитных средств: Если вы занимаетесь спортом или имеете привычку скрежетать зубами (бруксизм), рассмотрите возможность использования капы для защиты зубов. Это поможет предотвратить механическое повреждение и стираемость.
6. Здоровый образ жизни: Правильное питание, богатое витаминами и минералами, способствует укреплению зубной эмали. Включайте в рацион продукты, содержащие кальций и витамин D, которые необходимы для здоровья зубов.
7. Избегание курения: Курение негативно сказывается на здоровье зубов и десен, способствуя их стираемости. Отказ от этой привычки поможет сохранить зубы в хорошем состоянии.
Следуя этим рекомендациям, вы сможете значительно снизить риск повышенной стираемости зубов и сохранить их здоровье на долгие годы. Помните, что забота о зубах — это инвестиция в ваше общее здоровье и качество жизни.


