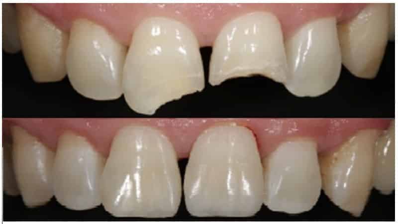
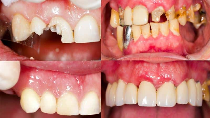
Наращивание зубов — стоматологическая процедура, восстанавливающая эстетику улыбки и функциональность зубного ряда. В статье рассмотрим процесс наращивания, его показания и противопоказания, а также использование фотополимеров и виниров. Представим фото до и после процедуры для наглядной демонстрации результатов. Эта информация поможет тем, кто рассматривает наращивание зубов, узнать о всех аспектах, включая плюсы и минусы.
Сущность процедуры
Ранее любые повреждения зубов, такие как сколы, травмы, глубокий кариес или естественный износ, решались радикальными методами: установка грубой пломбы, удаление оставшейся части зуба или применение дорогих и не всегда эффективных протезов. К сожалению, до появления художественной реставрации не существовало способов сохранить натуральный зуб.
С помощью специальных композитных материалов стоматолог восстанавливает моляр.
Для создания точной копии натурального зуба используются современные компьютерные технологии, которые позволяют врачу выбрать форму, цвет, текстуру и даже угол наклона поврежденного зуба.
Зачем нужна реставрация:
- помогает исправить врожденные аномалии и дефекты зубного ряда;
- устраняет последствия травм, ушибов, падений, сколов и возрастного износа коронки;
- восстанавливает зуб в его первоначальном виде, что является важным аспектом эстетической стоматологии.
Врачи отмечают, что наращивание зубов имеет как свои преимущества, так и недостатки. К плюсам можно отнести восстановление эстетики улыбки и улучшение функции жевания. Процедура позволяет вернуть зубы в их естественное положение, что положительно сказывается на здоровье полости рта. Однако специалисты предупреждают о возможных минусах. Во-первых, наращивание требует тщательного ухода и регулярных визитов к стоматологу для контроля состояния. Во-вторых, не всегда возможно добиться идеального результата, и иногда возникают осложнения, такие как воспаление или отторжение материала. Врачи рекомендуют тщательно взвесить все «за» и «против» перед принятием решения о наращивании зубов.
https://youtube.com/watch?v=bRXOt3zvp7U
Показания и противопоказания к наращиванию
Существует множество медицинских показаний для проведения наращивания переднего или других зубов:
- необходимость в эстетическом (художественном) наращивании, что часто требуется для определенных профессий;
- коррекция врожденных аномалий в строении зубного ряда;
- склонность эмали и дентина к быстрому износу и стиранию;
- устранение острых краев, представляющих опасность для слизистой, которые возникли в результате сколов, ударов или других механических повреждений;
- восстановление коронки после кариозного поражения или остеомиелита;
- значительные промежутки между соседними молярами;
- пигментация эмали, флюороз, повышенная чувствительность и другие проблемы;
- появление диастем (межзубных щелей);
- нарушение прикуса из-за повреждения зуба.
Хотя процедура реставрации выглядит достаточно простой и безопасной для здоровья, существуют противопоказания для ее проведения.
- В первую очередь, процедура не рекомендуется при наличии у пациента дефектов прикуса (неправильное смыкание зубов, что может привести к неравномерному распределению нагрузки на восстановленную коронку).
- Серьезное разрушение зуба, когда осталась лишь часть корня. Многие задаются вопросом, возможно ли нарастить зуб на корень. В стоматологии это возможно, однако в некоторых случаях единственным правильным решением будет полная замена коронки, протезирование или имплантация.
- Наличие серьезных заболеваний слизистой, десен или зубов. Обычно перед проведением процедуры необходимо лечение таких заболеваний, как (гингивит, кистозный периодонтит, пульпит, глубокий кариес и т.д.), после чего осуществляется качественная санация и художественная реставрация.
- Пациент не уделяет должного внимания гигиене полости рта, что приводит к хроническим заболеваниям и патологиям, а также увеличивает риск рецидивов кариеса, остеомиелита и других болезней.
| Аспект | Плюсы наращивания зубов | Минусы наращивания зубов |
|---|---|---|
| Эстетика | Восстановление естественной формы и цвета зуба, устранение сколов, трещин, щелей. | Возможное изменение цвета со временем (особенно при употреблении красящих продуктов), необходимость полировки. |
| Функциональность | Восстановление жевательной функции, защита зуба от дальнейшего разрушения. | Меньшая прочность по сравнению с коронками, риск сколов при сильных нагрузках. |
| Стоимость | Относительно невысокая стоимость по сравнению с коронками или винирами. | Может потребоваться повторное наращивание или коррекция со временем, что увеличивает общие расходы. |
| Процедура | Малоинвазивная, обычно не требует обточки зуба, проводится за одно посещение. | Требует высокой квалификации врача для достижения идеального результата. |
| Долговечность | Срок службы от 5 до 10 лет при правильном уходе. | Меньший срок службы по сравнению с коронками (10-15 лет и более). |
| Уход | Не требует специального ухода, достаточно обычной гигиены полости рта. | Необходимость избегать чрезмерных нагрузок на наращенный зуб, регулярные осмотры у стоматолога. |
| Показания | Небольшие сколы, трещины, изменение формы зуба, закрытие диастем (щелей). | Не подходит для сильно разрушенных зубов, при значительной потере зубной ткани. |
| Материалы | Используются композитные материалы, которые можно подобрать под цвет естественных зубов. | Композитные материалы могут быть менее устойчивы к пигментации, чем керамика. |
Восстановление фотополимером
Наращивание зуба на корень (см. фото ниже) и другие методы восстановления коронки стали возможны благодаря использованию фотополимерных композитов. Этот подход применяется для устранения последствий кариеса, установки качественной пломбы и восстановления моляров после механических повреждений.
Сначала стоматолог проводит санацию ротовой полости и обрабатывает культю, на которую будет производиться наращивание. Затем культя обтачивается и шлифуется до нужной формы. Технолог на специальном столе создает искусственную коронку из полимерного материала, надевает ее на культю и фиксирует с помощью УФ-лампы.
После затвердевания материала его шлифуют, удаляя шероховатости и неровности. Процесс продолжается до тех пор, пока пациент не перестанет ощущать дискомфорт от нового зуба.
Заключительным этапом является нанесение специального защитного покрытия, которое помогает композиту сохранять свой цвет на протяжении многих лет.
Преимуществом такой реставрации является доступная стоимость, распространенность и простота метода, а также длительный срок службы.
Однако в некоторых случаях пломба из фотополимера может оказаться неэффективной:
- слабый корень зуба или его инфицирование, воспалительные процессы;
- подвижность зубов (4 стадия);
- отсутствие двух и более соседних зубов (в этом случае рекомендуется протезирование или имплантация).
https://youtube.com/watch?v=weiqkfU2pvE
Реставрация с применением виниров
Многие пациенты задаются вопросом, как происходит наращивание передних зубов с использованием виниров и вкладок. Внешний вид центральных резцов играет ключевую роль в формировании эстетики улыбки, поэтому их восстановление должно быть выполнено с максимальной точностью, без заметных следов реставрации.
Для этих целей стоматологи используют тонкие фарфоровые пластинки (виниры), которые накладываются на переднюю поверхность резца и фиксируются специальным составом.
Эта методика особенно эффективна для устранения мелких трещин и сколов, природных пятен при флюорозе, пигментации, возрастных потемнений пломб и эмали, а также для коррекции сточенных или стертых краев и рельефных дефектов.
Виниры полностью маскируют недостатки и выглядят естественно, а их срок службы составляет от 5 до 10 лет.
Еще одним преимуществом является высокая устойчивость фарфора к пищевым красителям и природным пигментам, таким как никотин, кофе, свекла, вино и другие.
Тем не менее, даже у этого совершенного метода есть свои недостатки:
- стоимость – даже один винир может обойтись довольно дорого;
- перед установкой фарфоровой накладки природный зуб подвергается значительной обточке, что затрагивает даже здоровые ткани;
- улыбка с винирами может выглядеть слишком идеальной и белоснежной, что привлекает внимание собеседника.
Второй недостаток можно устранить, воспользовавшись так называемыми «люминирами». Этот современный вариант фарфоровых пластинок устанавливается без обточки зуба, оставаясь при этом прочным и долговечным, хотя и более дорогим.
Восстановление зуба на штифте
Наращивание зуба с использованием штифта (см. фото ниже) по своей сути схоже с процедурой имплантации. Этот метод применяется в тех случаях, когда коронка зуба полностью разрушена, но корень остается здоровым.
Сначала стоматолог выполняет рентгенографию проблемной области и с помощью специализированных программ восстанавливает точную форму и внешний вид естественного зуба.
Затем в запломбированный корневой канал помещается штифт, который может быть металлическим, стеклянным или углеводородным. Вокруг штифта размещается композитный материал, который помогает восстановить естественный вид, текстуру и форму коронки.
Преимуществом данной методики является возможность сохранить здоровый корень, который в сочетании с штифтом обеспечивает надежную опору для искусственного материала. Кроме того, срок службы наращенной конструкции может превышать 10 лет. С помощью штифта можно восстановить только основу коронки, укрепить депульпированный зуб, а также провести реставрацию отдельных частей моляра и других зубов. Не стоит забывать, что этот метод также позволяет наращивать передние зубы (смотрите фото до и после).
Что касается недостатков, то к ним можно отнести риск аллергической реакции на материалы, используемые для изготовления штифта, а также сложность процедуры, требующую высокой квалификации стоматолога и определенных финансовых затрат со стороны пациента.
Плюсы и минусы реставрации
Данный подход обладает рядом значительных преимуществ по сравнению с более радикальными методами, такими как имплантация и протезирование.
Прежде всего, эта методика считается безопасной, что позволяет использовать её даже в детской стоматологии. Дети часто падают, участвуют в драках или пробуют на зуб прочные предметы, что приводит к образованию сколов и трещин.
Иногда необходимо сохранить даже молочный зуб, поскольку появление постоянного может произойти не в запланированные сроки, и этот процесс может затянуться.
Во-вторых, с помощью реставрации возможно восстановление естественного зуба, даже если осталась лишь небольшая часть или корень. Искусственный материал подбирается таким образом, чтобы максимально имитировать костную ткань, а также соответствовать ей по прочности, цвету и текстуре.
Кроме того, стоимость таких технологий более доступна по сравнению с имплантацией или протезированием, как и сроки выполнения работ. Восстановить улыбку с помощью реставрации можно всего за один сеанс, тогда как протезирование и имплантация могут занять месяцы, не считая периода адаптации.
Что касается недостатков, то к ним можно отнести наличие противопоказаний, ограниченный срок службы материала и необходимость соблюдения определённых правил: исключение твердой пищи (орехи, сухари и т.д.) и отказ от привычки открывать бутылки зубами.
Мы рассмотрели плюсы и минусы наращивания зубов в целом и по отдельным методам.
Не забывайте, что бережное отношение к зубам, своевременное лечение заболеваний, предотвращение ударов и ушибов, а также оперативная замена изношенных пломб помогут сохранить ваши зубы здоровыми и целыми.
https://youtube.com/watch?v=El62HvzNWqQ
Сравнение с другими методами восстановления зубов
Наращивание зубов, или имплантация, является одним из самых популярных методов восстановления утраченных зубов. Однако, прежде чем принять решение о выборе этого метода, важно рассмотреть его в сравнении с другими способами восстановления зубов, такими как мосты и протезы.
Имплантация зубов представляет собой хирургическую процедуру, при которой в челюстную кость вживляется титановый имплант, служащий заменой корня зуба. На этот имплант затем устанавливается коронка, что позволяет восстановить функциональность и эстетику зуба. Этот метод имеет ряд преимуществ, таких как:
- Долговечность: Импланты могут служить десятилетиями при правильном уходе, в отличие от мостов и съемных протезов, которые требуют замены каждые 5-10 лет.
- Сохранение костной ткани: Импланты стимулируют рост костной ткани, предотвращая ее атрофию, что часто происходит при отсутствии зуба.
- Комфорт и функциональность: Импланты ведут себя как натуральные зубы, что позволяет пациентам есть и говорить без дискомфорта.
Сравнивая имплантацию с мостами, можно отметить, что мосты требуют обтачивания соседних зубов для установки, что может ослабить их структуру. Кроме того, мосты не предотвращают потерю костной ткани, что может привести к дальнейшим проблемам с зубами и челюстью.
Что касается съемных протезов, то они являются более доступным вариантом, но часто вызывают дискомфорт и могут вызывать раздражение десен. Протезы также могут сдвигаться во рту, что затрудняет жевание и речь. В отличие от имплантов, протезы не обеспечивают стимуляцию костной ткани, что может привести к ее атрофии со временем.
Таким образом, выбор метода восстановления зубов зависит от индивидуальных потребностей пациента, состояния его зубочелюстной системы и финансовых возможностей. Имплантация зубов, хотя и является более дорогим вариантом, предлагает ряд преимуществ, которые могут оправдать затраты в долгосрочной перспективе.
Уход за наращенными зубами
Уход за наращенными зубами требует особого внимания и соблюдения определенных правил, чтобы сохранить их эстетический вид и функциональность на длительный срок. Важно понимать, что наращенные зубы, будь то виниры, коронки или импланты, требуют регулярного и тщательного ухода, аналогичного уходу за натуральными зубами.
Первым и самым важным аспектом ухода является регулярная гигиена полости рта. Это включает в себя:
- Чистка зубов дважды в день: Используйте мягкую зубную щетку и фторсодержащую зубную пасту. Чистите зубы не менее двух минут, уделяя особое внимание области вокруг наращенных зубов.
- Использование зубной нити: Зубная нить помогает удалить остатки пищи и налет из межзубных пространств, где щетка может не достать. Это особенно важно для наращенных зубов, так как они могут быть более подвержены образованию кариеса и воспаления десен.
- Полоскание рта: Используйте антисептические ополаскиватели для рта, чтобы уменьшить количество бактерий и предотвратить воспаление десен.
Кроме того, рекомендуется регулярно посещать стоматолога для профессиональной чистки и осмотра. Это поможет выявить возможные проблемы на ранних стадиях и предотвратить более серьезные осложнения.
Важно также учитывать, что некоторые привычки могут негативно сказаться на состоянии наращенных зубов. Например, привычка грызть твердые предметы, такие как орехи или карандаши, может привести к повреждению наращенных зубов. Курение и употребление красящих продуктов, таких как кофе и красное вино, могут вызвать изменение цвета виниров и коронок.
Наконец, стоит помнить о необходимости использования защитных капп при занятиях спортом, чтобы избежать травм наращенных зубов. Это особенно актуально для людей, занимающихся контактными видами спорта.
Следуя этим рекомендациям, вы сможете продлить срок службы наращенных зубов и сохранить их привлекательный внешний вид на многие годы.
Стоимость и доступность процедуры
Стоимость наращивания зубов может варьироваться в зависимости от нескольких факторов, включая регион, квалификацию стоматолога, используемые материалы и сложность процедуры. В среднем, цена на наращивание одного зуба может колебаться от 5 000 до 30 000 рублей. Однако в крупных городах, таких как Москва или Санкт-Петербург, стоимость может быть значительно выше, достигая 50 000 рублей и более.
Одним из основных факторов, влияющих на цену, является выбор материала для наращивания. Наиболее распространенные материалы включают композитные смолы, керамику и металлокерамику. Композитные материалы, как правило, дешевле, но могут быть менее долговечными по сравнению с керамическими. Керамика, в свою очередь, обладает высокой эстетикой и прочностью, но и стоит дороже.
Доступность процедуры также зависит от наличия квалифицированных специалистов в вашем регионе. В крупных городах, как правило, больше стоматологических клиник, предлагающих услуги по наращиванию зубов, в то время как в небольших населенных пунктах выбор может быть ограничен. Кроме того, важно учитывать, что не все стоматологи имеют достаточный опыт и квалификацию для выполнения данной процедуры, что может повлиять на конечный результат.
Некоторые клиники могут предлагать рассрочку или кредит на оплату услуг, что делает процедуру более доступной для пациентов. Однако перед тем как принимать решение, стоит тщательно изучить отзывы о клиниках и специалистах, а также запросить информацию о возможных гарантиях на выполненные работы.
Также следует учитывать, что наращивание зубов может потребовать дополнительных затрат на последующее обслуживание, такие как регулярные визиты к стоматологу для контроля состояния наращенных зубов и возможной коррекции. Это может добавить к общей стоимости процедуры в долгосрочной перспективе.





