Проблемы с зубами влияют на качество жизни, вызывая дискомфорт и снижая уверенность. В этой статье рассмотрим, какие вставные зубы лучше выбрать для восстановления функциональности и эстетики улыбки. Опишем различные методики и процедуры, которые помогут сделать осознанный выбор, а также предоставим фото до и после для наглядности. Знание о лучших вариантах вставных зубов поможет пациентам принять правильное решение и вернуть здоровье улыбке.
Имплантация зубов
Неопытный пациент, впервые столкнувшийся с вопросом восстановления зубов, зачастую не знает, какие зубы выбрать для установки и какой метод протезирования предпочесть. В таких случаях он полностью доверяется квалификации своего стоматолога, который подскажет, какой зуб лучше всего установить. Чтобы итоговый результат оправдал ожидания, важно обсудить все детали с врачом, включая выбор метода протезирования.
Имплантация представляет собой стоматологическую процедуру, направленную на восстановление зубного ряда путем установки искусственного зуба. Этот метод становится все более популярным как среди врачей, так и среди пациентов, поскольку, несмотря на высокую стоимость, он может служить практически всю жизнь. Имплантат необходим, так как отсутствие «клыка» может привести к атрофии костной ткани, что, в свою очередь, может изменить форму лица и мимику.
Преимущества имплантации:
- имплантаты выглядят как натуральные зубы;
- отсутствуют съемные конструкции;
- нет необходимости в обтачивании соседних зубов;
- сохраняются зубы, находящиеся рядом с протезом;
- операция проходит быстро и безболезненно;
- имплантаты полностью имитируют натуральные зубы по структуре и функциям;
- хорошо приживаются в челюсти;
- служат долго, практически на всю жизнь.
Недостатков у имплантации значительно меньше, чем преимуществ. Тем не менее, их стоит упомянуть.
К основным недостаткам этого метода можно отнести высокую стоимость имплантатов, а также длительный период, необходимый для того, чтобы убедиться в полном приживлении имплантата.
Врачи-стоматологи единодушны в том, что выбор зубных протезов зависит от индивидуальных особенностей пациента. Наиболее популярными являются имплантаты, которые обеспечивают максимальную функциональность и естественный внешний вид. Они интегрируются в челюстную кость, что позволяет избежать потери костной ткани и обеспечивает долговечность. Однако для их установки требуется достаточное количество костной ткани и отсутствие противопоказаний.
Альтернативой имплантатам могут стать съемные протезы, которые подходят для пациентов с ограниченными финансовыми возможностями или теми, кто не может перенести хирургическое вмешательство. Врачи отмечают, что современные технологии позволяют создавать протезы, которые выглядят естественно и комфортно в использовании.
Важно, чтобы пациент обсудил все варианты с врачом, учитывая свои предпочтения и состояние здоровья. Правильный выбор зубов для вставки может значительно улучшить качество жизни и уверенность в себе.
https://youtube.com/watch?v=MdvY0_1GmCs
Вид протезирования-мост
Мостовой протез представляет собой стационарную конструкцию, играющую ключевую роль в восстановлении зубного ряда при наличии небольших пробелов. Этот тип протеза особенно эффективен, когда отсутствуют несколько зубов подряд. Обычно мостовидные протезы фиксируются на опорных зубах, расположенных по обе стороны от дефекта.
Существует несколько видов мостовидных протезов, которые различаются по материалам:
- Паяные — состоят из штампованных коронок, соединенных с помощью пайки. Такие протезы не рекомендуются к использованию, так как часто имеют низкое качество и могут негативно влиять на слизистую оболочку рта. В настоящее время они практически вышли из употребления.
- Цельнолитые — изготавливаются из кобальт-хромового сплава методом литья. Эта технология позволяет избежать дефектов в производстве, а также обеспечивает разнообразие компонентов.
- Металлокерамические — аналогичны металлокерамическим коронкам, обладающим прочной металлической основой, покрытой керамическим слоем. Металлокерамические протезы уступают керамическим по внешнему виду и стоимости, которая обычно ниже.
- Керамические — изготавливаются из диоксида циркония на основе компьютерной модели, созданной в специализированной программе.
Преимущества мостовидных протезов:
- долговечность;
- возможность изготовления любой длины;
- доступная цена;
Однако недостатки мостовидных протезов также следует учитывать. При установке такого протеза опорные зубы требуют обтачивания, что может привести к их расшатыванию. Поэтому перед принятием решения о выборе этого метода восстановления зубов рекомендуется проконсультироваться с врачом.
| Критерий выбора | Имплантация | Мостовидный протез | Съемный протез |
|---|---|---|---|
| Количество отсутствующих зубов | От одного до полной адентии | От одного до нескольких (при наличии опорных зубов) | От нескольких до полной адентии |
| Состояние соседних зубов | Не требует обточки соседних зубов | Требует обточки соседних зубов для опоры | Не требует обточки соседних зубов |
| Срок службы | Долговечный (15-25 лет и более) | Средний (5-15 лет) | Короткий (3-7 лет) |
| Эстетика | Высокая, максимально приближенная к натуральным зубам | Хорошая, но может быть заметна граница с десной | Удовлетворительная, может быть заметна |
| Функциональность | Полностью восстанавливает жевательную функцию | Хорошо восстанавливает жевательную функцию | Частично восстанавливает жевательную функцию |
| Комфорт | Высокий, ощущается как собственные зубы | Хороший, но может быть ощущение инородного тела | Может вызывать дискомфорт, требует привыкания |
| Стоимость | Высокая | Средняя | Низкая |
| Необходимость хирургического вмешательства | Да (установка имплантата) | Нет | Нет |
| Уход | Как за собственными зубами | Требует тщательной гигиены под мостом | Требует регулярного снятия и чистки |
| Предотвращение атрофии кости | Да, стимулирует костную ткань | Нет, кость под отсутствующим зубом может атрофироваться | Нет, кость под отсутствующими зубами может атрофироваться |
| Показания | Отсутствие одного или нескольких зубов, полная адентия | Отсутствие одного или нескольких зубов при наличии здоровых соседних зубов | Отсутствие нескольких или всех зубов, противопоказания к имплантации |
| Противопоказания | Некоторые хронические заболевания, курение, недостаточный объем костной ткани | Заболевания пародонта, разрушение опорных зубов | Аллергия на материалы, сильный рвотный рефлекс |
Коронки
Наиболее распространенным и простым способом восстановления зубов является установка коронки.
Преимущества коронок:
- практически любой зуб можно восстановить с помощью коронки;
- форма коронки может быть изменена по желанию;
- этот метод является более доступным и популярным среди пациентов.
Недостатки коронок:
- необходимо обрабатывать больной зуб и соседние с ним зубы;
- при глубоком размещении коронки в десне существует риск воспалительных процессов;
- если коронка будет установлена неправильно, это может привести к разрушению зуба, однако из-за наличия протеза это может быть незаметно.
Коронки, как и мосты, бывают разных типов:
- Металлические — изготавливаются из стали, титана, золота и платины. Эти протезы полностью восстанавливают жевательную функцию, но имеют не самый привлекательный внешний вид.
- Металлокерамические — состоят из металла и керамики. Они надежны и выглядят довольно эстетично.
- Цельнокерамические — изготавливаются из диоксида циркония, что делает их прочными и практически неотличимыми от натуральных зубов. Стоимость таких протезов высока, но их внешний вид впечатляет.
Если у пациента широкая улыбка и важен внешний вид, стоматологи часто рекомендуют устанавливать металлокерамические или обычные керамические коронки на коренные зубы. Это касается задних зубов. На передних зубах чаще встречаются металлокерамика или фарфор.
Кроме эстетических соображений, выбор материала коронки также зависит от медицинских показателей пациента и его финансовых возможностей.
https://youtube.com/watch?v=tpB1j7vCsrI
Съемные протезы
Если пациент оказался в ситуации, когда потерял все зубы, установка протезов становится необходимостью, и желательно выполнить эту процедуру как можно скорее. В стоматологической практике используются как съемные, так и частично съемные протезы. Этот метод является наиболее распространенным и, как правило, доступным по цене.
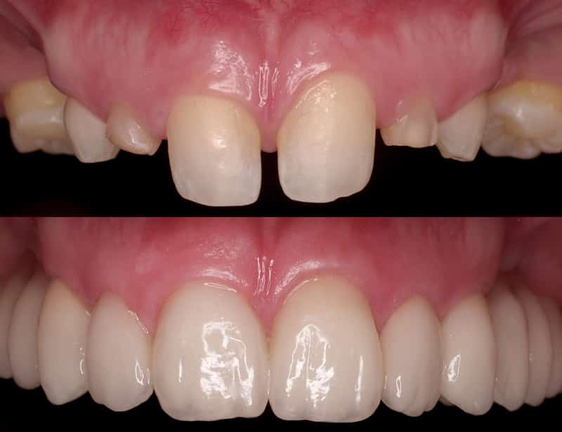
Вы можете увидеть фотографии до и после установки зубов ниже в нашей статье.
Преимущества съемных протезов:
- подходят для людей любого возраста;
- доступная стоимость;
- пациенты быстро привыкают к ним, так как они изготавливаются индивидуально;
- установка происходит в короткие сроки.
Недостатки съемных протезов:
- требуют регулярного ухода;
- длительное ношение может привести к атрофии костной ткани челюсти;
- срок службы ограничен.
Обе части протеза фиксируются с помощью:
- Кламмеров — которые надежно удерживают протез в ротовой полости, но могут быть заметны.
- Аттачменов — которые обеспечивают стабильность протеза во рту.
Какие вставные зубы лучше вставлять
Существует закономерность: чем более естественно и привлекательно выглядит вставной зуб, тем выше стоимость его установки.
Исходя из этого, при выборе метода протезирования следует учитывать три ключевых аспекта:
- Клиническая ситуация. Необходимо пройти медицинское обследование для выявления возможных аллергий на препараты и рисков инфекций.
- Расположение зубов, подлежащих протезированию. Это поможет определить наиболее подходящий метод установки.
- Финансовые возможности пациента. Стоимость стоматологических услуг напрямую зависит от качества материалов и эстетических характеристик.
Важно помнить, что здоровье зубов играет значительную роль, поэтому регулярные визиты к стоматологу помогут предотвратить множество проблем с зубами и полостью рта в целом. Если вы столкнулись с проблемой, когда зубы начинают ломаться или крошиться, незамедлительно обратитесь к специалисту. Вместе с врачом вы сможете выбрать оптимальный метод протезирования и обсудить, какие зубы лучше всего восстановить, учитывая вышеуказанные факторы.
https://youtube.com/watch?v=JmJXPpQ45Ys
Преимущества и недостатки различных методов протезирования
Протезирование зубов – это важная процедура, которая позволяет восстановить утраченные зубы и вернуть функциональность и эстетику улыбки. Существует несколько методов протезирования, каждый из которых имеет свои преимущества и недостатки. Рассмотрим наиболее распространенные из них.
1. Мостовидные протезы
Мостовидные протезы представляют собой конструкцию, которая фиксируется на соседних здоровых зубах. Этот метод подходит для восстановления одного или нескольких зубов подряд.
- Преимущества:
- Эстетика: мосты выглядят естественно и могут быть выполнены из различных материалов, включая керамику.
- Функциональность: мосты восстанавливают жевательную функцию и помогают избежать смещения соседних зубов.
- Недостатки:
- Необходимость обтачивания соседних зубов, что может привести к их ослаблению.
- Если опорные зубы повреждены или подвержены заболеваниям, мост может не быть надежным решением.
2. Съемные протезы
Съемные протезы могут быть полными или частичными и предназначены для замещения нескольких или всех зубов в челюсти.
- Преимущества:
- Доступность: съемные протезы обычно дешевле, чем другие методы протезирования.
- Легкость в уходе: их можно легко снять для чистки и ухода за деснами.
- Недостатки:
- Комфорт: многие пациенты сообщают о дискомфорте при ношении съемных протезов.
- Снижение жевательной эффективности: съемные протезы могут не обеспечивать такую же жевательную силу, как естественные зубы.
3. Импланты
Зубные импланты представляют собой искусственные корни зубов, которые вживляются в челюстную кость и служат основой для установки коронок.
- Преимущества:
- Долговечность: импланты могут служить десятилетиями при правильном уходе.
- Сохранение костной ткани: импланты стимулируют кость, предотвращая ее атрофию.
- Недостатки:
- Высокая стоимость: установка имплантов требует значительных финансовых затрат.
- Хирургическое вмешательство: процедура вживления импланта требует операции и может иметь риски, связанные с анестезией и восстановлением.
Выбор метода протезирования зависит от индивидуальных потребностей пациента, состояния зубов и десен, а также финансовых возможностей. Консультация с опытным стоматологом поможет определить наиболее подходящий вариант для каждого конкретного случая.
Выбор материала для протезов
При выборе зубных протезов одним из ключевых аспектов является материал, из которого они изготовлены. Разные материалы обладают своими уникальными свойствами, преимуществами и недостатками, что влияет на долговечность, эстетику и комфорт использования протезов.
Существует несколько основных типов материалов, используемых для изготовления зубных протезов:
- Металлы: Протезы из металлов, таких как золото, серебро или нержавеющая сталь, отличаются высокой прочностью и долговечностью. Они хорошо переносят жевательные нагрузки и имеют длительный срок службы. Однако, эстетически они могут быть менее привлекательными, особенно для передних зубов.
- Керамика: Керамические протезы, включая фарфор, обладают отличной эстетикой и могут имитировать натуральные зубы. Они не подвержены окрашиванию и хорошо сохраняют цвет. Однако, керамика может быть менее прочной по сравнению с металлом и требует более аккуратного обращения.
- Композитные материалы: Композиты представляют собой смесь смол и наполнителей, что позволяет создавать протезы, которые обладают хорошей эстетикой и приемлемой прочностью. Они часто используются для временных протезов или в качестве материала для восстановления отдельных зубов. Однако, композиты могут быть менее долговечными по сравнению с керамикой и металлом.
- Пластик: Пластиковые протезы, такие как акриловые, часто используются для съемных протезов. Они легкие и относительно недорогие, но могут быть менее прочными и подвержены износу. Пластик также может менять цвет со временем, что может повлиять на эстетику.
При выборе материала для протезов важно учитывать не только эстетические предпочтения, но и функциональные требования. Например, для задних зубов, которые подвергаются большим жевательным нагрузкам, лучше подойдут металлические или керамические протезы. В то время как для передних зубов, где важна эстетика, предпочтение может быть отдано керамике или композитам.
Также стоит учитывать индивидуальные особенности пациента, такие как аллергические реакции на определенные материалы, состояние десен и зубочелюстной системы. Консультация с опытным стоматологом поможет определить наилучший вариант протезирования, исходя из всех этих факторов.
В заключение, выбор материала для зубных протезов — это важный шаг, который требует внимательного подхода. Правильный выбор не только обеспечит долговечность и функциональность протезов, но и поможет сохранить естественную красоту улыбки пациента.
Рекомендации по уходу за вставными зубами
Уход за вставными зубами является важным аспектом поддержания их долговечности и здоровья полости рта. В зависимости от типа вставных зубов, будь то съемные протезы, мосты или импланты, существуют различные рекомендации по уходу.
Съемные протезы требуют особого внимания. Их следует снимать на ночь, чтобы дать деснам отдохнуть. Протезы необходимо очищать ежедневно с помощью специальной щетки и растворов для чистки, которые помогут удалить налет и предотвратить образование бактерий. Также важно промывать протезы под теплой водой перед и после чистки, чтобы избежать повреждений.
Для мостов и имплантов уход включает в себя регулярную гигиену полости рта. Чистка зубов должна проводиться не менее дважды в день с использованием зубной пасты, содержащей фтор. Также рекомендуется использовать зубную нить или специальные щетки для очистки труднодоступных мест, чтобы предотвратить накопление налета и развитие кариеса.
Важно регулярно посещать стоматолога для профессиональной чистки и осмотра. Специалист сможет выявить возможные проблемы на ранней стадии и предложить необходимые меры для их устранения. Кроме того, стоматолог может порекомендовать дополнительные средства ухода, такие как антисептические ополаскиватели для рта, которые помогут поддерживать здоровье десен.
Следует также учитывать, что некоторые продукты могут негативно сказаться на состоянии вставных зубов. Например, жесткая или липкая пища может повредить протезы или мосты, поэтому стоит избегать их употребления. Курение и чрезмерное употребление алкоголя также могут негативно влиять на здоровье полости рта и состояние вставных зубов.
В заключение, правильный уход за вставными зубами включает в себя регулярную гигиену, использование специализированных средств и регулярные визиты к стоматологу. Соблюдение этих рекомендаций поможет сохранить здоровье полости рта и продлить срок службы вставных зубов.



