Гингивит у детей — распространенное воспаление десен, которое может вызвать серьезные проблемы с зубами и общим состоянием здоровья при отсутствии лечения. В статье рассмотрим основные симптомы, виды, причины и эффективные методы лечения и профилактики гингивита. Понимание этих аспектов поможет родителям своевременно распознать заболевание и обратиться за медицинской помощью, что позволит избежать осложнений и сохранить здоровье полости рта у детей.
Что провоцирует развитие патологии
Имейте в виду, что только квалифицированный врач способен вовремя выявить патологический процесс. Некоторые мамы предпочитают заниматься самолечением, пытаясь самостоятельно справиться с гингивитом, хотя это совершенно другая проблема. Неправильная диагностика может привести к неэффективному лечению. В данной статье мы обсудим, что такое гингивит, его симптомы и методы лечения у детей.
Недуг чаще всего выявляется именно у малышей.
Существуют различные факторы, способствующие развитию этого заболевания. Наиболее распространенные из них следующие:
- Бактерии создают идеальные условия для инфекции, если ребенок небрежно или быстро чистит зубы. Инфекция размножается очень быстро, и такие условия привлекают микробы гораздо больше, чем тщательная гигиена;
- Механические повреждения, такие как травмы, трещины или ожоги в ротовой полости. Родителям следует внимательно следить за тем, что ребенок берет в рот, как он играет и что ест;
- Биологические агенты. Эта форма заболевания довольно распространена. Чтобы снизить риск ее появления, необходимо регулярно проводить гигиенические процедуры для детей;
- Чрезмерные нагрузки на челюсти и зубы могут нарушить жевательную функцию. Это может быть связано с врожденными аномалиями ротовой полости;
- Длительный процесс прорезывания зубов приводит к накоплению бактерий, которые активно поражают десны.
Кроме перечисленных факторов, существуют и дополнительные, которые сами по себе не вызывают заболевание, но могут способствовать его развитию. Эти факторы делятся на местные и общие. К местным относятся проблемы, возникающие в результате стоматологического лечения, а к общим — врожденные аномалии и различные заболевания. В категорию общих факторов также входят инфекционные болезни, патологии сердечно-сосудистой системы и расстройства пищеварения.
Врачи отмечают, что гингивит у детей является распространенной проблемой, которая требует внимательного отношения. Симптомы заболевания могут включать покраснение и отечность десен, а также их кровоточивость при чистке зубов. Часто дети жалуются на дискомфорт или боль в области десен, что может привести к отказу от еды. Специалисты подчеркивают важность ранней диагностики и лечения, чтобы предотвратить развитие более серьезных стоматологических заболеваний. Лечение гингивита обычно включает регулярную гигиену полости рта, использование антисептических растворов и, в некоторых случаях, назначение противовоспалительных средств. Врачи рекомендуют родителям следить за состоянием зубов и десен детей, а также регулярно посещать стоматолога для профилактических осмотров.
https://youtube.com/watch?v=GrMX4x4kJ5I
Почему возникает воспаление десен у детей
Патологический процесс чаще всего возникает из-за недостаточной гигиены полости рта. Дети могут неправильно чистить зубы и неэффективно удалять зубной налет, что приводит к накоплению зубных отложений.
Причины появления гингивита можно разделить на внешние и внутренние. К внешним факторам относятся медицинские, физические и химические аспекты, тогда как внутренние причины могут быть более обыденными, такими как прорезывание зубов, дефицит витаминов, ослабленный иммунитет, неправильное питание, проблемы с пищеварением и особенности прикуса.
У подростков развитие этого заболевания связано с гормональными изменениями. Гингивит у детей в возрасте одного года обычно возникает из-за попадания инфекции через руки, которые младенцы тянут в рот, а также через игрушки, предметы быта и пищу.
| Симптомы гингивита у детей | Причины гингивита у детей | Лечение и профилактика гингивита у детей |
|---|---|---|
| Покраснение и отечность десен | Плохая гигиена полости рта | Тщательная чистка зубов 2 раза в день |
| Кровоточивость десен при чистке зубов или еде | Накопление зубного налета и камня | Использование зубной нити и ополаскивателей |
| Неприятный запах изо рта (галитоз) | Неправильный прикус | Профессиональная чистка зубов у стоматолога |
| Болезненность десен | Дефицит витаминов (особенно С) | Коррекция прикуса (при необходимости) |
| Изменение контура десны (увеличение, сглаживание) | Гормональные изменения (подростковый возраст) | Сбалансированное питание, богатое витаминами |
| Появление язвочек или эрозий на деснах | Некоторые системные заболевания (например, сахарный диабет) | Регулярные осмотры у стоматолога |
| Отказ от еды из-за боли | Прием некоторых лекарственных препаратов | Лечение сопутствующих заболеваний |
| Повышенная чувствительность зубов | Травмы десен | Применение противовоспалительных гелей и мазей |
| Увеличение лимфатических узлов (в тяжелых случаях) | Аллергические реакции | Полоскания антисептическими растворами (по назначению врача) |
| Общее недомогание, повышение температуры (редко) | Наследственная предрасположенность | Обучение ребенка правильной гигиене полости рта |
Клиническая картина гингивита
Прежде всего, взрослым следует обратить внимание на наличие кровотечения. Если такой симптом наблюдается, необходимо незамедлительно обратиться к врачу. Иногда этот признак проявляется довольно незаметно, и ребенка приводят к специалисту уже в запущенном состоянии, когда десны находятся в критическом состоянии. Это может привести к появлению неприятного запаха изо рта, а также к болезненным ощущениям и жжению.
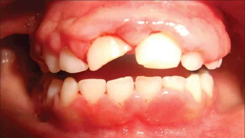
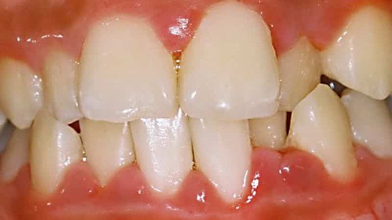
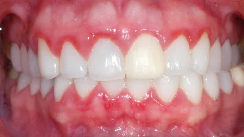
В некоторых случаях у ребенка может наблюдаться повышение температуры. Врач сможет легко установить диагноз всего лишь по результатам визуального осмотра. Гингивит всегда проявляется покраснением десен, отечностью тканей, образованием ранок и язв, а также кровоточивостью.
Маленькие дети могут отказываться от еды из-за отсутствия аппетита, становятся нервными и часто плачут.
https://youtube.com/watch?v=pcD1e535Uv8
Разновидности гингивита
В стоматологии заболевания десен делят на несколько типов: катаральную, гипертрофическую, язвенную и атрофическую формы.
Наиболее часто у детей встречается катаральная форма заболевания. Она сопровождается дискомфортом в области десен, жжением и неприятным запахом изо рта. Во время еды может наблюдаться кровоточивость. Ребенок может не испытывать таких симптомов, как боль или повышение температуры, но часто игнорирует необходимость чистки зубов.
Острая форма недуга может возникнуть из-за случайных повреждений слизистой оболочки или ожогов. Часто заболевание начинает развиваться во время прорезывания молочных зубов.
Гипертрофическая форма чаще всего проявляется в период полового созревания. Также она может быть связана с нехваткой витамина С в организме. Это заболевание затрагивает участки челюстей, где зубы плотно соприкасаются друг с другом. Воспаление может охватывать одну или несколько десен, иногда затрагивая обширные участки с несколькими зубами. Воспаленные сосочки на деснах могут покрывать зубы.
Атрофическая форма заболевания возникает из-за некачественного стоматологического лечения или наличия аномалий. Воспалительный процесс выражен не так сильно, цвет десен остается прежним, и ребенок не жалуется на боль. Тем не менее, ткани десен значительно страдают. Со временем может обнажаться шейка зуба, что приводит к неприятным ощущениям. Зубы становятся чувствительными к горячей и холодной пище.
Язвенный гингивит развивается в результате попадания инфекции в организм или после переохлаждения. Ткани десен отекают, кровоточат, становятся синюшными и вызывают сильную боль и зуд. Это состояние сопровождается образованием налета на зубах.
Если не предпринять своевременные меры по лечению, ребенок может начать плохо спать, отказываться от еды и проявлять капризы.
Иногда заболевание может охватывать все зубы ребенка, в таком случае говорят о генерализованной форме. Если же недуг затрагивает только определенные участки, то это называется локализованной формой.
Лечение гингивита у детей
Терапия данной патологии практически не отличается от лечения аналогичного заболевания у взрослых. Разумеется, используются различные медикаменты, так как для детей специалисты выбирают более щадящие препараты.
Начинать лечение следует с профессиональной чистки зубов у стоматолога. Это включает в себя удаление зубного камня и налета, который накопился на зубах. Процедура может проводиться разными способами: как механическим, так и ультразвуковым методом.
После этого ребенку объясняют, как правильно чистить зубы и как часто это нужно делать. Важно правильно подобрать зубную щетку, предпочтение стоит отдать щетке с мягкой щетиной. Чистящую пасту лучше выбирать на основе лекарственных трав. Кроме того, полезно проводить массаж десен.
Необходимо исключить все факторы, способствующие образованию налета на зубах. Также важно провести лечение кариеса и восстановление прикуса. Значительную роль играют лекарственные растения с антибактериальными и противовоспалительными свойствами.
Обязательно нужно провести общеукрепляющее лечение и мероприятия, направленные на восстановление обменных процессов.
Отлично справляются с проблемой антисептики, такие как мирамистин, хлоргексидин, а также различные травы. В дополнение к этому следует использовать мази и средства для наружного применения. Лучше всего подойдут гели, так как они хорошо проникают в ткани.
Как лечить гингивит у детей (фото ниже) в домашних условиях? Приготовьте для ребенка раствор соды в воде для полоскания, а также спиртовой раствор с прополисом. Полезно смазывать зубы малыша маслом зверобоя, которое обладает обезболивающим и противовоспалительным действием. Также хорошо помогает сок алоэ, известный своими антибактериальными свойствами.
Можно приготовить настой из сбора трав: ромашки, календулы, шалфея и других. Их нужно заваривать в кипятке. Воду следует прокипятить, немного остудить, настоять полчаса, тщательно процедить и использовать для полоскания теплым настоем.
Если у ребенка бактериальный стоматит или кандидоз в полости рта, рекомендуется использовать хлоргексидин. Полоскания проводятся дважды в день в течение одной минуты. После процедуры препарат продолжает оказывать лечебное действие в течение длительного времени. Общий курс лечения составляет десять дней.
Аналогом хлоргексидина является мирамистин. Он эффективно подавляет как бактерии, так и вирусы. Назначается при вирусных и герпетических воспалениях. Полоскания следует проводить три-четыре раза в день. Препарат можно использовать для лечения грудничков, орошая очаги воспаления.
Профилактика и осложнения
Предотвратить возникновение проблемы гораздо проще, чем потом с ней справляться. Поэтому крайне важно избегать воспалительных процессов и обучить детей правильной технике чистки зубов.
Цена зубной пасты не играет решающей роли, поскольку главная задача заключается в удалении налета после еды. Для этого необходимо регулярно и качественно чистить зубы.
Также следует обращать внимание на рацион питания ребенка. Сладости лучше давать только после основного приема пищи, а затем обязательно тщательно почистить зубы и прополоскать рот.
Регулярные визиты к стоматологу, сбалансированное питание и соблюдение гигиенических норм значительно снижают риск возникновения заболеваний.
После лечения важно помнить, что болезнь может вернуться. Как только иммунная система ослабевает, существует вероятность повторного развития патологического процесса. Спусковыми механизмами могут стать стрессы, переохлаждение или травмы. Неправильно вылеченный гингивит может перейти в пародонтит, что приводит к образованию гнойных карманов и разрушению зубов и десен.
https://youtube.com/watch?v=zJ6NE77q3m0
Роль питания в развитии гингивита
Питание играет ключевую роль в здоровье полости рта и может существенно влиять на развитие гингивита у детей. Правильный рацион способствует укреплению десен и зубов, в то время как недостаток необходимых питательных веществ может привести к воспалению и другим стоматологическим проблемам.
Во-первых, важно отметить, что недостаток витаминов и минералов, особенно витамина C, может привести к ухудшению состояния десен. Витамин C отвечает за синтез коллагена, который необходим для поддержания структуры десен. Его нехватка может вызвать их воспаление и кровоточивость. Поэтому в рационе ребенка должны присутствовать продукты, богатые этим витамином, такие как цитрусовые, ягоды, брокколи и перцы.
Во-вторых, недостаток витамина D также может способствовать развитию гингивита. Этот витамин играет важную роль в усвоении кальция, необходимого для здоровья зубов и десен. Продукты, содержащие витамин D, такие как рыба, яйца и молочные продукты, должны быть частью ежедневного рациона ребенка.
Кроме того, избыток сахара в питании является одним из основных факторов, способствующих развитию гингивита. Сахар является питательной средой для бактерий, которые вызывают воспаление десен. Частое употребление сладостей, газированных напитков и других продуктов с высоким содержанием сахара может привести к образованию зубного налета и, как следствие, к гингивиту. Поэтому важно ограничить потребление таких продуктов и приучить детей к более здоровым альтернативам, таким как фрукты и орехи.
Также стоит обратить внимание на важность достаточного потребления жидкости. Вода помогает поддерживать нормальный уровень слюны, которая играет защитную роль в полости рта, нейтрализуя кислоты и удаляя остатки пищи. Недостаток жидкости может привести к сухости во рту, что увеличивает риск развития воспалительных процессов в деснах.
Наконец, регулярные приемы пищи и сбалансированное питание помогут избежать резких колебаний уровня сахара в крови, что также может негативно сказаться на здоровье десен. Рекомендуется включать в рацион ребенка разнообразные продукты, такие как овощи, фрукты, цельнозерновые продукты, белки и полезные жиры, чтобы обеспечить его организм всеми необходимыми веществами.
Таким образом, правильное питание является важным аспектом профилактики и лечения гингивита у детей. Родителям следует уделять внимание не только гигиене полости рта, но и рациону своего ребенка, чтобы поддерживать здоровье десен и зубов на должном уровне.
Методы диагностики гингивита у детей
Диагностика гингивита у детей включает в себя несколько этапов, которые помогают врачу определить наличие заболевания, его степень тяжести и возможные причины. Основными методами диагностики являются:
- Сбор анамнеза: Врач начинает с беседы с родителями или опекунами ребенка, чтобы выяснить, когда появились первые симптомы, как долго они продолжаются, а также есть ли у ребенка хронические заболевания или аллергии. Важно также узнать о гигиенических привычках ребенка и его рационе питания.
- Клинический осмотр: Врач проводит визуальный осмотр полости рта ребенка. Он обращает внимание на состояние десен, наличие покраснения, отека, кровоточивости, а также на наличие зубного налета и камня. При гингивите десны могут выглядеть воспаленными и иметь ярко-красный цвет.
- Проверка на кровоточивость: Врач может провести тест на кровоточивость десен, аккуратно надавливая на них. Если десны кровоточат, это может указывать на наличие воспалительного процесса.
- Рентгенография: В некоторых случаях может потребоваться рентгенографическое исследование, чтобы оценить состояние зубов и окружающих тканей, а также исключить другие заболевания, такие как периодонтит.
- Лабораторные исследования: В редких случаях для более точной диагностики могут быть назначены анализы крови, которые помогут выявить системные заболевания, способствующие развитию гингивита, такие как диабет или нарушения иммунной системы.
- Консультация стоматолога: Если у ребенка наблюдаются симптомы гингивита, важно обратиться к стоматологу, который специализируется на детской стоматологии. Он сможет провести более детальное обследование и назначить соответствующее лечение.
Важно помнить, что ранняя диагностика гингивита у детей позволяет предотвратить развитие более серьезных заболеваний полости рта и сохранить здоровье зубов на долгие годы. Регулярные профилактические осмотры у стоматолога помогут выявить проблемы на ранних стадиях и обеспечить своевременное лечение.
Советы по уходу за полостью рта для детей
Уход за полостью рта у детей является важной частью общего здоровья и профилактики стоматологических заболеваний, включая гингивит. Правильная гигиена полости рта помогает предотвратить накопление налета и развитие воспалительных процессов в деснах. Вот несколько рекомендаций, которые помогут родителям обеспечить своим детям здоровую улыбку.
1. Регулярная чистка зубов
Детям следует чистить зубы два раза в день – утром и перед сном. Используйте зубную щетку с мягкой щетиной и зубную пасту, содержащую фтор. Обратите внимание на то, чтобы ребенок чистил зубы не менее двух минут, уделяя внимание каждому участку рта. Для маленьких детей можно использовать специальные детские щетки и пасты, которые безопасны при проглатывании.
2. Правильная техника чистки
Научите ребенка правильной технике чистки зубов. Рекомендуется использовать круговые движения и легкое нажатие на щетку, чтобы не повредить десны. Также важно чистить язык, так как на его поверхности могут скапливаться бактерии, способствующие образованию налета.
3. Использование зубной нити
С 2-3 лет можно начинать использовать зубную нить, чтобы удалить остатки пищи и налет между зубами, где щетка не может достать. Помогите ребенку освоить этот процесс, показывая, как правильно пользоваться нитью. Это особенно важно для детей с близко расположенными зубами.
4. Ограничение сладостей и кислых продуктов
Сахар и кислые продукты могут способствовать развитию кариеса и гингивита. Ограничьте потребление сладостей, газированных напитков и кислых фруктов. Вместо этого предлагайте детям фрукты, овощи и здоровые закуски. Если ребенок все же съел что-то сладкое, важно сразу же почистить зубы или хотя бы прополоскать рот водой.
5. Регулярные визиты к стоматологу
Посещение стоматолога должно стать регулярной практикой с раннего возраста. Рекомендуется проводить осмотр каждые 6 месяцев. Стоматолог сможет выявить ранние признаки гингивита и других заболеваний, а также дать рекомендации по уходу за зубами и деснами.
6. Обучение и мотивация
Обучайте детей важности ухода за полостью рта с раннего возраста. Используйте игры, книги и мультфильмы, чтобы сделать процесс более увлекательным. Мотивируйте детей, устанавливая небольшие награды за регулярную чистку зубов и соблюдение гигиенических правил.
Следуя этим простым, но эффективным советам, родители могут значительно снизить риск развития гингивита и других стоматологических проблем у своих детей, обеспечивая им здоровую и красивую улыбку на долгие годы.




